侧颅底进修日志24:桥小脑角血管母细胞瘤
患者性别:男
患者年龄:49
主诉:反复眩晕、耳鸣及渐进性听力下降1年余,近20天加重
简要病史:患者2020-12月无明显诱因突发眩晕,呈天旋地转伴恶心、呕吐及蝉鸣音样耳鸣,持续约半小时。此后3-4个月内眩晕频繁发作,平均2次/周,眩晕程度较前加重、持续时间延长至每次约40分钟。当时首诊于当地某私人诊所,诊断“肩周炎”,给予口服中药及针灸治疗一段时间后,无明显改善。2021-04月自觉渐进性听力下降但眩晕明显好转。未进一步治疗。2022-06月出现头蒙昏沉伴走路不稳,持续性“蝉鸣音”样耳鸣伴耳闷及渐进性听力下降。2022-07月就诊于XX市第二人民医院耳鼻喉科,行颞骨CT及颅脑MRI检查后提示:听神经瘤(右)。先后又分别就诊于XX省立医院及XX医科大学第一附属医院,诊断同前,均建议上级医院进一步就诊。2022-08月自觉眩晕、耳鸣及听力均较前进一步加重。今为求进一步治疗,2022-08-04就诊我院,门诊以“听神经瘤(右)”收入院。
患者自发病以来,否认眼球活动受限、视力变化、面部感觉异常、面肌活动障碍,咳嗽、咳痰、饮水呛咳、声音嘶哑及耸肩无力等症状。患者目前神志清、精神可、睡眠、饮食及二便均未见明显异常,近期体重未见明显变化。
体格检查:耳:双耳廓无畸形,双外耳道无异常分泌物,双鼓膜完整,标志清,动度可。音叉试验(C256):WT偏左,RT双耳(+)。
颅神经:嗅觉粗测正常,双眼视力粗测正常,双侧瞳孔等大同圆,直径约3mm,对光反射灵敏。眼睑无下垂,眼裂无增宽,无眼球下陷,眼球各方向活动自如。面部痛温觉、轻触觉正常。双侧颞肌、咀嚼肌无萎缩,咀嚼动作基本对称,张口伸舌居中。额纹无变浅,闭眼双眼无露白,双侧鼻唇沟对称,鼓腮无漏气、示齿时口角无明显偏斜,舌前2/3味觉正常,泪液分泌试验正常。双侧咽腭弓对称,悬雍垂居中,双侧咽反射正常。声音无嘶哑,无饮水呛咳,无吞咽困难。双侧斜方肌、胸锁乳突肌均无萎缩,双侧转头、耸肩对称有力。


辅助检查:
听力学检查:



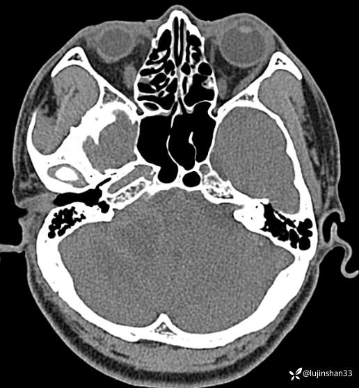
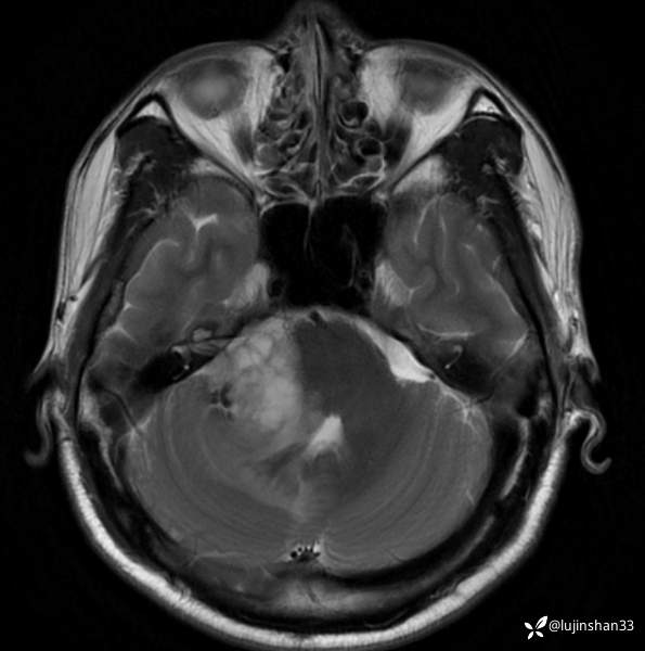
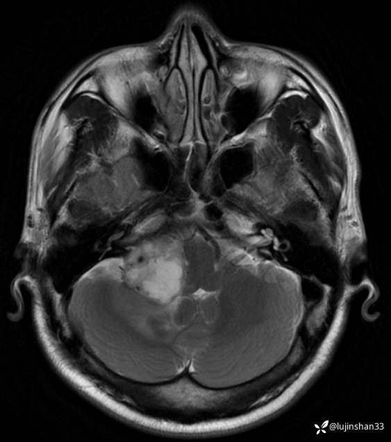
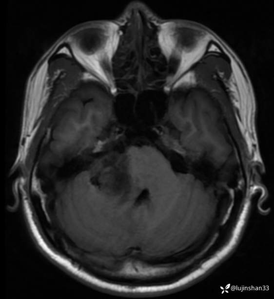
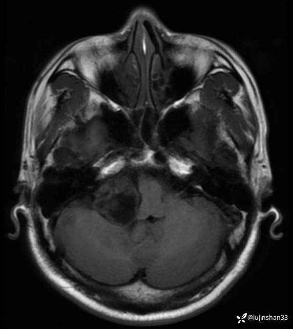
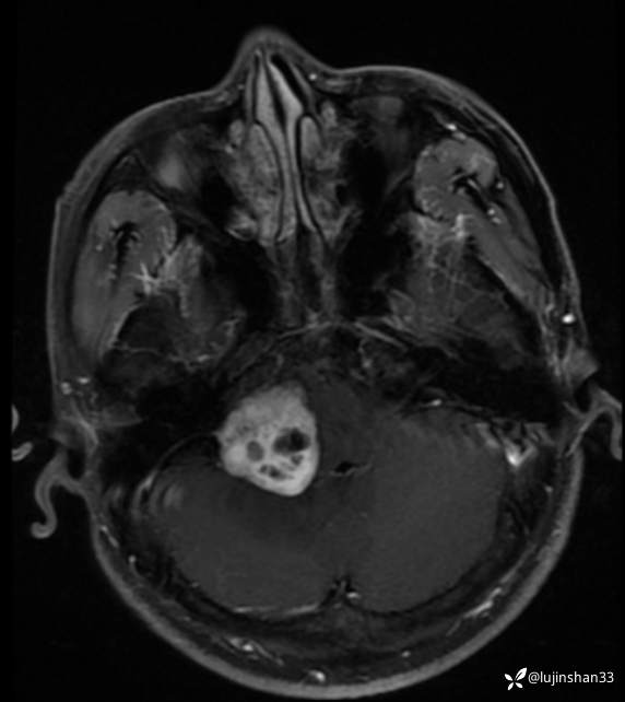
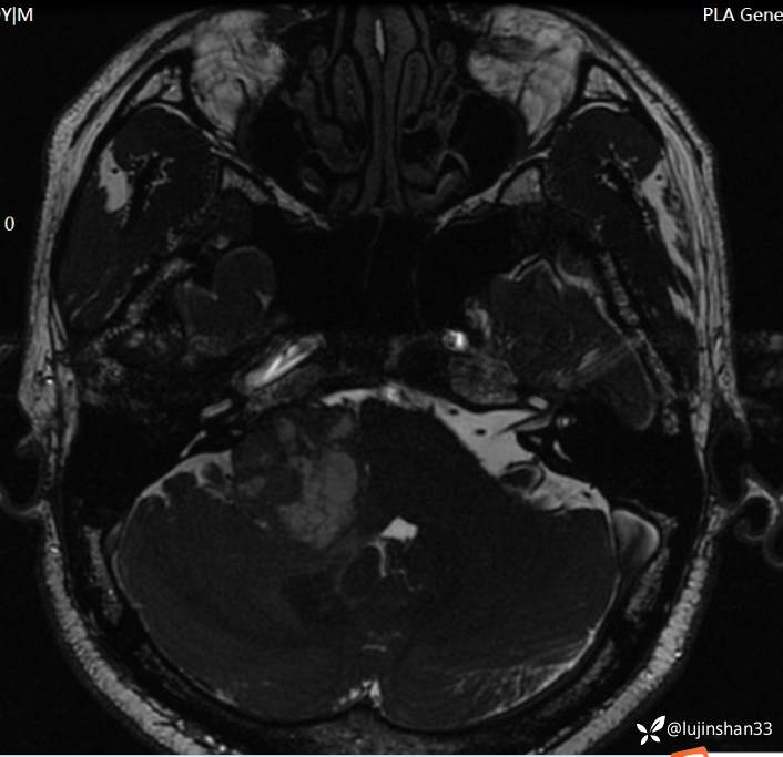
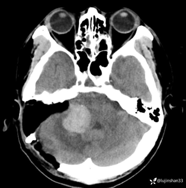
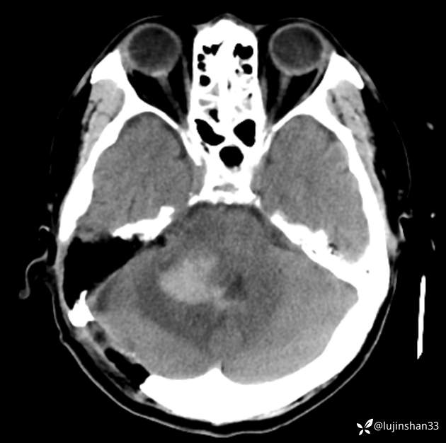
术前CT及MRI









术后CT:



术后病检:
术后病理示:(右侧桥小脑角)考虑为血管母细胞瘤,WHO?1级,术中及术后送检组织大小分别为0.6x0.5x0.3cm,2.5x2.5x0.6cm。免疫组化结果:CD34(血管+),S-100(部分+),Inhibin-α(+),CAⅨ(+),Ki-67(+5%),NSE(部分+),EMA(-),Vimentin(+),CD56(+),VEGF(+),GFAP(部分+),D2-40(部分+),Olig-2(-)。特殊染色结果:网织纤维染色(+)。补充诊断:免疫组化结果:CD10(-),PR(-),CD68(小灶+),SSTR2(-)。术
临床诊断:右侧桥小脑角血管母细胞瘤
治疗经过:1.经迷路进路桥小脑角肿瘤次全切除+乙状窦后入路桥小脑角出血止血+腹部脂肪取出、术腔填塞术
2.因出血原因,瘤体有残留,术后7个月放疗
讨论:桥小脑角区占位,血供情况如何判定?良恶性如何从影像学判定?
















































