侧颅底进修日志14:岩骨胆脂瘤
患者性别:女
患者年龄:27
主诉:右外道耵聍腺癌术后17年,再发耳痛、流脓1个月
简要病史:患者2006年发现右侧外耳道肿物,在XXXX医院手术治疗,病理结果:(右外耳道)耵聍腺腺癌。术后听力无明显改善,无其他特殊不适。1个月前无明显诱因出现张口受限,咀嚼时肌肉乏力,曾于外院口腔就诊,诊断为"智齿冠周炎”,后症状逐渐加重,出现耳痛,耳后、耳道口肿块,在北京协和医院急诊科就诊,给予头孢类、甲硝唑片口服药物治疗15天,症状减轻,20天前XXXX医院就诊查头部增强核磁,考虑术后肿物复发,建议肿瘤医院进一步诊治,1周前右侧耳周出现肿块破溃,流脓,自行口服头孢类药物5天,未见好转,否认头痛、头晕、恶心、呕吐、味觉障碍、面肌活动异常及走路不稳等症状,患者为求进一步治疗来我院就诊,门诊行专科检查及辅助检查,诊断为“外耳道耵聍癌术后复发(右)”收入院手术治疗。病程中精神状态良好,体力正常,食欲正常,睡眠正常,体重无明显变化,大便正常,排尿正常。
既往史:2年前行左侧乳腺良性肿物切除术,2022年12月新冠肺炎阳性,已治愈;否认肝炎、结核、疟疾等传染病史,否认高血压、心脏病病史,否认糖尿病、脑血管疾病、精神疾病病史。否认外伤史,否认输血史,否认药物过敏史,无食品过敏史,预防接种史不详。
体格检查:
右侧外耳道口处可见一增生物,暗红色,界限不清楚,肿物堵塞外耳道口,右耳后可见一包块,皮肤破溃,有脓性分泌物溢出,周缘皮肤充血,左侧外耳道、鼓膜形态正常。
辅助检查:
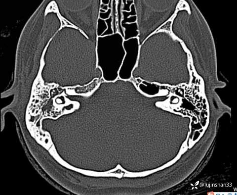
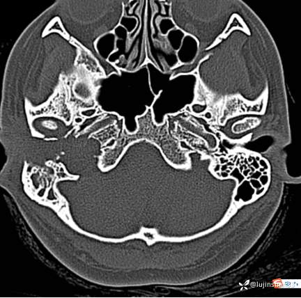
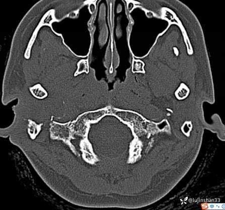
颞骨CT:




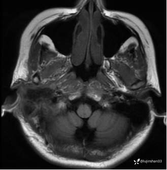
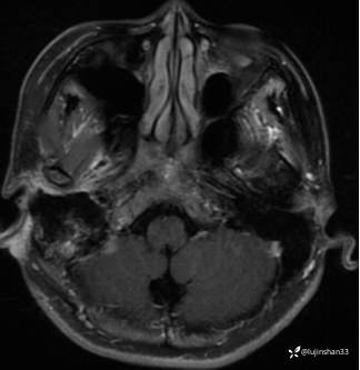
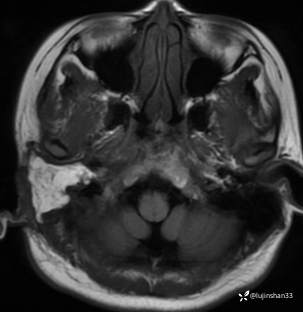
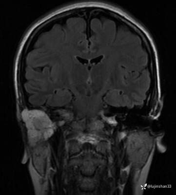
颞骨MRI:




临床诊断:1.右侧岩部胆脂瘤 2.外耳道耵聍癌术后(右)
治疗经过:右侧颞骨次全切+外耳道封闭+腹部脂肪填塞术
送冰冻快速病理,回报:纤维组织内见急慢性炎细胞浸润,并见多核巨细胞浸润,可见少许胞浆淡染的细胞,考虑为增生的组织细胞,待石蜡及免疫组化进一步明确诊断。因未回报恶性成分,结合术腔内大量胆脂瘤组织,考虑为外耳道耵聍腺癌术后继发胆脂瘤伴感染。
术后MRI:





讨论:
若该病例耳道封闭后,后期术腔感染,脂肪液化,该如何处理?
















































