侧颅底进修日志2:颈静脉孔区软骨肉瘤
患者性别:女
患者年龄:60
主诉:右侧面瘫、听力下降2年
简要病史:患者于2年前开始出现右侧鼻唇沟消失、眼睑下垂、闭合不全、畏光、口角歪斜、饮水呛咳,进行性听力下降。于当地诊所行针灸、口服甲钴胺治疗,症状无好转。2023-03-01于当地某医院行头部MRI检查,结果提示:右侧经静脉孔及乳突区病变较前稍增大,病灶累及右侧后颅窝。无头剧烈头痛头晕、面部感觉异常、消化不良、腹痛腹泻、肢体抽搐。今为行手术治疗来我院,门诊以“右侧颈静脉孔区占位”收入院。患者目前精神状态良好,体力正常,食欲正常,睡眠正常,体重无明显变化,大便正常,排尿正常。
既往:15年前因“肾结石”行“左肾切除术”,术后未出现皮肤水肿,排尿正常。
体格检查:右侧外耳道可见新生物,质地韧,色红,阻塞外耳道。右侧面瘫HB分级Ⅴ级,伸舌偏右,舌肌无萎缩,偶有呛咳,无声嘶,右侧胸锁乳突肌、斜方肌较对侧萎缩。

辅助检查:
术前喉镜检查:无声带麻痹

听力学检查


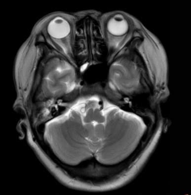
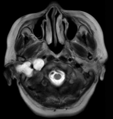
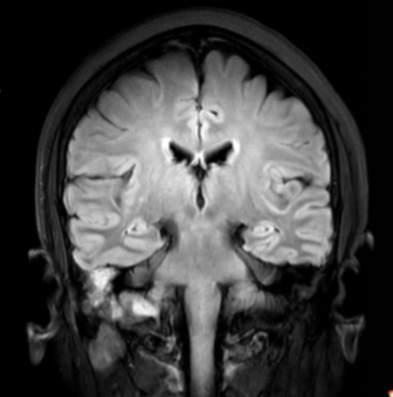
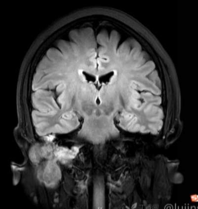
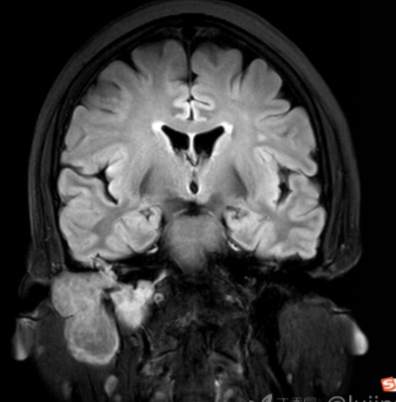
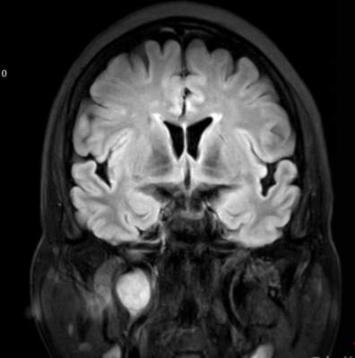
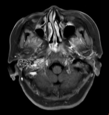
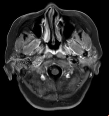
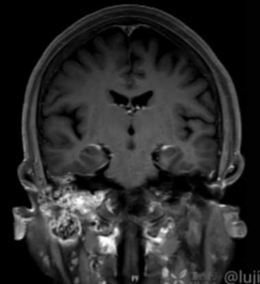
(2023-05-15 10:00,本院)行磁共振(颅脑)检查提示:右侧乳突区异常信号,考虑恶性、软骨来源肿瘤,软骨肉瘤可能性大。(集体讨论意见);脑内散在多发缺血灶。

















(2023-05-12 10:15,本院)行CT(颅脑)检查提示:右侧颞骨广泛骨质破坏,伴巨大软组织肿块,性质待定,考虑肿瘤性病变,颈静脉球瘤?软骨源性肿瘤?请结合临床及病理进一步明确。






初步诊断:
1.颈静脉孔区占位:软骨肉瘤?(右)
2.周围性面瘫(右,HBⅤ级)
3.右侧传导性耳聋
治疗方案:
手术方案:右侧颅颈联合入路颈静脉孔区肿瘤切除,外耳道封闭,腹部脂肪取出,耳大神经移植,面神经吻合
术中冰冻:(右侧颈静脉孔区占位)黏液性肿瘤,间质富于血管,待石蜡及免疫组化进一步明确诊断及除外其他。
常规诊断: (右侧颈静脉孔区肿物)黏液性肿瘤伴浸润性生长,结合免疫组化结果考虑为黏液性软骨肉瘤,间质富于血管,肿瘤分次送检总大小请结合临床。免疫组化结果:CK(-),S-100(+),S-100(+),CK(-),SATB2(+),CK8&18(-),SATB2(微弱+),CK8&18(-),IDH-1(+),CDK4(-)。
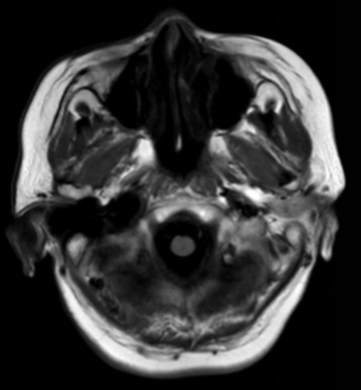
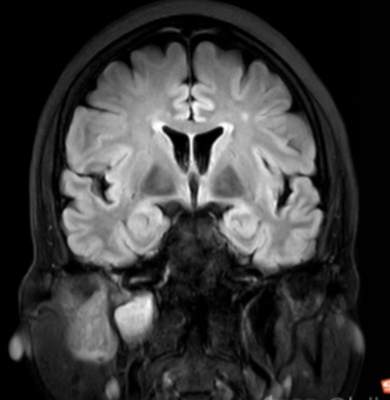
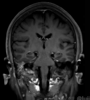
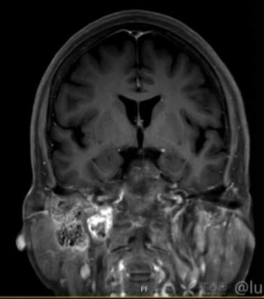
术后复查MRI:





讨论:
术后进一步治疗如何?
















































