侧颅底进修日志18:岩部胆脂瘤术后复发
患者性别:男
患者年龄:67
主诉:右耳胆脂瘤术后21年伴头痛2月
简要病史:患者自诉2002年因右耳听力下降在XXX中心人民医院行右耳胆脂瘤切除术,术后听力无明显提高,轻度面瘫,无流脓。一直未行定期复查。2021年因右耳再次流脓,就诊于XXX第一附属医院,诊断右侧岩部胆脂瘤,并行“右侧颞骨全切术+面神经粘连松解术”,术后面部全瘫,术后2月右耳再次流脓,耳后瘘管形成,予以抗炎、局部换药治疗后缓解。2年来右耳间断性流脓,对症治疗后可暂时缓解。2023年3月出现右侧头痛,耳道流脓加重,无发烧、昏迷、恶心、呕吐等,在XXX中心人民医院就诊,完善相关检查后诊断“1.脑脓肿2.右侧中耳胆脂瘤术后”,予以亚胺培南抗炎治疗1个月,头痛有所缓解。为进一步诊治来我院,门诊“1.颞骨全切术后并感染、耳后瘘管(右)2.周围性面瘫(右)”收住我科。患者目前精神状态良好,体力情况良好,食欲食量适中,睡眠情况良好,体重无明显变化,大便正常,小便正常。为进一步检查及治疗入院。
既往史:2002年行右耳胆脂瘤切除术,2021年行右侧颞骨全切术+面神经粘连松解术,2022年行肺癌根治术,术后规律放化疗。否认肝炎、结核、疟疾等传染病史,否认高血压、心脏病史,否认糖尿病、脑血管疾病、精神疾病史,否认其他手术史,否认输血史,否认药物、食物过敏史,预防接种史不详。
个人史:生于XXX市,久居于原籍,无疫区、疫情、疫水居住史,无牧区、矿山、高氟区、低碘区居住史,无化学性物质、放射物、毒物接触史,无毒品接触史,无吸烟史,无饮酒史。
体格检查:双耳廓无畸形,右侧外耳道可见脂肪,脓性分泌物,右侧耳后皮肤瘘管,未见分泌物流出。左耳鼓膜完整,标志清楚;左侧乳突区无红肿,无压痛。音叉检查C256:WT偏左;RT:L(+),R(-)。右侧鼻唇沟变浅、额纹消失,闭目露白5mm,鼓腮漏气、示齿不对称。双侧咽腭弓对称,悬雍垂居中,双侧咽反射正常。声带运动、闭合可,无吞咽困难。右侧斜方肌、胸锁乳突肌有萎缩,双侧转头、耸肩对称不对称,舌肌无萎缩及震颤,伸舌无偏斜。



辅助检查:
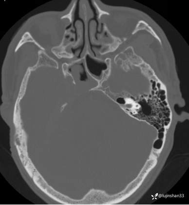
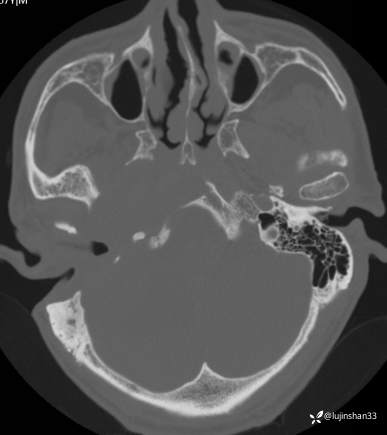
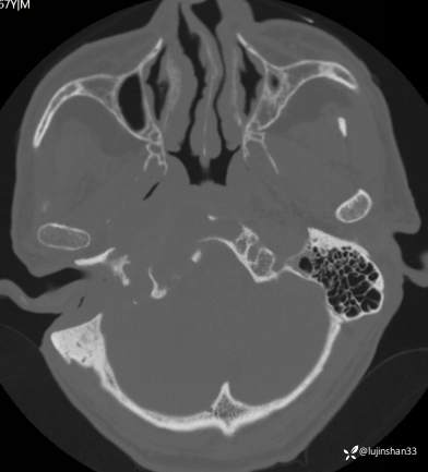
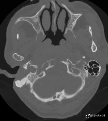
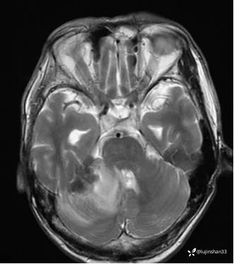
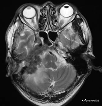
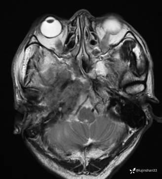
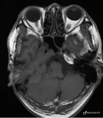
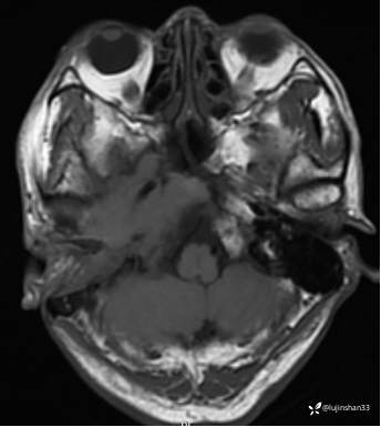
(2023-06-02 11:09,本院)磁共振(颅脑):1、右侧颞骨全切除术后改变,术区及相邻右侧斜坡、颞肌、咬肌、翼内外肌异常信号,考虑炎性肉芽肿性病变可能,请结合临床随诊复查;2、右侧小脑半球异常信号,考虑炎性病变可能;3、脑内散在缺血灶,软化灶形成;4、双侧蝶窦炎。
(2023-05-30 20:18,本院)CT(胸部):两肺下叶间质性改变可能,请对比前片确诊并关注。右肺叶部分切除术后改变,两肺多发索条,请结合临床诊治情况定夺。
(2023-05-29 16:07,本院)CT颅脑:1、右侧颞骨全切除术后改变,术区见气体密度影,瘘管形成可能;术区多发软组织影,不完全除外炎性改变可能。2、左侧颞骨CT平扫未见明显异常。










临床诊断:
1.颞骨全切除术后合并瘘管感染(右)2.周围性面瘫(右)
治疗经过:
右侧颞部肿物切除术,外耳道封闭,腹部脂肪取出术腔填塞术
沿耳后发迹后1.0cm作一弧形切口,将耳后瘘管皮肤切除。切口下端乳突尖,将肌骨膜瓣向后分离暴露既往乳突腔,耳廓向前牵拉,分离外耳道内皮瓣,封闭外耳道口。以电钻磨除残余乳突皮质、乳突尖骨质,轮廓化乙状窦,中颅窝脑膜。可见颞骨内瘢痕组织增生,切除后可见残留的脂肪组织,小心清理,面神经结构尚在,予以保留,向后颅窝探查,可见一个脓腔,内侧为脓苔组织,取少许送术中冰冻,(2023-06-05 16:24,本院)行病理(冰冻)检查提示::(右侧颞骨肿物)镜下见增生的纤维组织伴急、慢性炎细胞浸润及片状坏死,未见明确恶性成分。小心清理后颅窝脓腔,防止脑脊液漏、防止损伤颅内血管等。进一步向岩尖探查,无骨质结构,为坏死、感染的脂肪组织,颈内动脉完好,注意保护,最深部与蝶窦相通,彻底清理病变组织后,取颞肌筋膜将岩尖与蝶窦相隔,再填塞颞肌于岩尖。取腹部脂肪填塞颞部术腔,缝合封闭耳道口。逐层缝合耳后切口。
讨论:
是否应该补充诊断“小脑脓肿”?
















































