侧颅底进修日志15:NF2
患者性别:女
患者年龄:28
主诉:双耳听力差伴耳鸣9年
简要病史:患者于2014年自觉双耳听力下降,伴持续性耳鸣,无头痛、头晕、眩晕感,无恶心、呕吐,无行走不稳,无面肌痉挛,无口角歪斜,于当地医院给予药物治疗(具体不详)3月,自觉耳鸣症状减轻,听力同前。病程中,患者自觉听力下降进行性加重,耳鸣亦有所加重,于2016年双耳佩戴助听器,助听听力可,未进一步诊治。于2021年03月在我院就诊,诊断“1.听神经瘤(双)2.神经纤维瘤病2型”,并行左侧乙状窦后入路桥小脑角肿物切除,术后恢复良好,此次为进一步治疗右耳来我院,遂门诊以“1.听神经瘤(右)2.神经纤维瘤病2型3.左耳听神经瘤术后”收入住院。患者目前精神状态良好,体力正常,食欲正常,睡眠正常,体重无明显变化,大便正常,排尿正常,为进一步检查及治疗入院。
既往史:幼年时有牛皮癣病史,自诉现牛皮癣已治愈。10年前行双侧扁桃体切除术,2018年在XX县医院行颈部神经鞘瘤切除术,2021年行左侧听神经瘤切除术。曾输自体血2U。否认肝炎、结核、疟疾等传染病史,否认高血压、心脏病病史,否认糖尿病、脑血管疾病、精神疾病病史,否认其他手术史,否认外伤史,否认其他输血史,否认药物、食物过敏史,预防接种史不详。
个人史:生于河北承德隆化县,久居于本地,无疫区、疫情、疫水居住史,无牧区、矿山、高氟区、低碘区居住史,无化学性物质、放射物、毒物接触史,无毒品接触史,无吸烟史,无饮酒史。
婚育史:未婚未育。
月经史:,月经规律,有痛经。
家族史:父母健在,均体健,1弟健在,均体健,家族中无传染病及遗传病史。
体格检查:
双耳廓无畸形,双侧外耳道通畅,鼓膜完整,标志清楚;双侧乳突区无红肿,无压痛。嗅觉检查正常,双侧瞳孔等大同圆,约3mm,对光反射灵敏。眼底未查。眼球各方向活动自如。

辅助检查:
听力学检查:





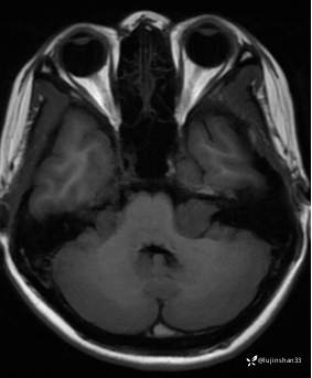
第一次术前颞骨CT及MRI:





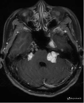
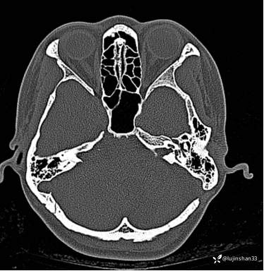
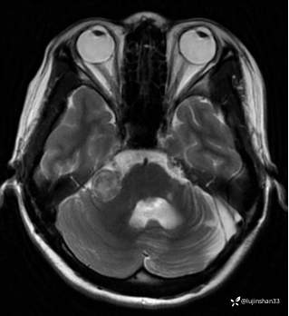
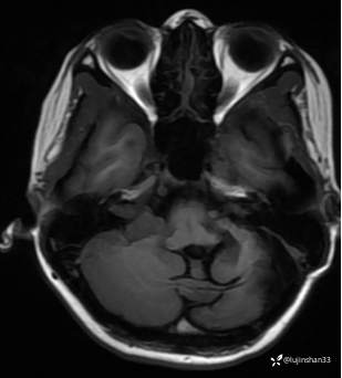
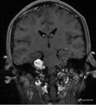
第二次术前CT及MRI





临床诊断: 1.听神经瘤(右)2.神经纤维瘤病2型 3.左耳听神经瘤术后
治疗经过:2023-06-02 右侧经迷路入路听神经瘤切除,腹部脂肪取出术
2021-03-10 左侧乙状窦后入路桥小脑角肿物切除
讨论:
听力重建方法有哪些?
















































