侧颅底进修日志19:颞部蔓状血管瘤
患者性别:男
患者年龄:50岁
主诉:右侧耳颈部肿物50年伴耳后出血1个月
简要病史:患者于50年前即出生时发现右侧下颌角有一血管异常搏动,耳廓皮温热,未就诊,未治疗,12岁时在沈阳463医院就诊,诊断为血管瘤,给予“局部血管结扎术”,术后症状未缓解,逐渐出现耳后出血,每次出血量少,每年出血1-2次,2011年右侧颞部出现一包块,约蚕豆大小,于XXXXX附属一院手术治疗(具体不详),术后病情好转,近4年来右侧耳廓出现肿物,生长迅速,近1个月右耳后破损出血,呈喷射状,出血量达300ml,反复发作5次,出血量较前少,右侧颌下处血管异常搏动,右侧外耳道流脓,有臭味,听力减退,患者为求进一步治疗来我院,门诊以“耳廓、颞骨蔓状血管瘤合并出血(右)”收入我科。病程中,患者无头痛、头晕、恶心、呕吐、乏力,无面部麻木、肌肉活动障碍。患者目前精神状态良好,体力正常,食欲正常,睡眠正常,体重无明显变化,大便正常,排尿正常。
体格检查:右侧耳廓畸形肥大,前面及背面可见多发不规则暗红色突起样肿块,表面皮肤粗糙,皮温稍高,触之质软、有搏动感,无明显压痛,耳垂后方可见一破损处,破损口约1.5CM*1.5CM。右侧耳廓上6cm处可见一块皮肤瘢痕,局部组织凹陷。右侧耳垂下腮腺区局部隆起,触之柔软,无压痛,左侧外耳道、鼓膜未见异常。双乳突区无压痛。


辅助检查:
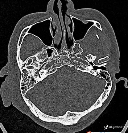
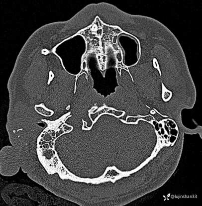
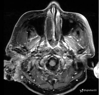
(2023-02-17 17:52,本院)行CT(血管心脏)检查提示:1、右侧耳颞部异常改变,考虑血管瘤可能,可见粗大供血动脉及引流静脉,局部动静脉瘘可能,右侧颈外动脉分支增粗,请结合临床及相关检查。2、左侧颈内动脉粥样硬化,管腔轻微狭窄,请结合临床。血管外科会诊意见:CTA示右颈外动脉起始部结扎后闭塞,介入栓塞暂无合适入路;











临床诊断:耳廓、颞骨蔓状血管瘤合并出血
治疗经过:右侧耳廓、颞骨、腮腺血管瘤切除术
患者仰卧,插管全麻,头偏对侧,碘伏消毒耳周皮肤,铺手术巾。耳后、上颈部可见多个前次手术的疤痕。术中见肿瘤累及耳廓及周围、耳甲腔、耳垂下方,耳廓肥厚明显,外耳道口狭窄,耳廓可触及明显搏动,耳廓后方可见破溃、出血、结痂。取生理盐水20m+5滴0.1%肾上腺素做局部浸润麻醉。取耳廓前后Y形切口,向下沿胸锁乳突肌前缘延伸至上颈部,距离肿瘤约1cm,切开皮肤、皮下组织。贴骨面分离肿瘤后方至外耳道并离断。分离并暴露肿瘤下方,肿瘤连同累及的腮腺一并切除,见肿瘤血供丰富,滋养血管扩张。贴近耳轮脚前方分离并暴露肿瘤,见肿瘤的主要供血血管来自颞浅动脉,直径约3mm。分离并暴露肿瘤的滋养动脉,阻断后缝扎、切断供血血管。肿瘤切除后术区严密止血。分离并刮除外耳道皮肤及鼓膜表面的皮肤,脂肪填塞外耳道。局部皮肤减张后对位缝合,修复局部的组织缺损,局部加压包扎。术中出血200ml,输注A型悬浮红细胞2u。


讨论:
手术难度大,出血较大,栓塞效果差,是否有更好的建议,针对该类疾病?
















































