dxy logo
首页丁香园病例库全部版块
搜索
登录
跟学练|狐臭专场第二期:亮出你的观点、秀出你的狐臭手术,一起成长一起进步......
烧伤整形邹普功烧伤科医师
活动背景和目的:我从去年九月份陆续在丁香园写了几十帖有关腋臭微创手术的帖子,受到很多同行老师的关注及跟帖,其中有很多同行老师也在尝试用我的这种方法治疗狐臭,并且收到很好的效果。随着站内外科同行对狐臭微创手术的关注度日渐增高,近期受丁香园邀请,特举办一次关于狐臭微创手术的跟学练活动。这也是本人根据临床工作中的一些手术案例总结的经验,分享给大家一起交流学习。让我们一起做好除臭这件事!各位站友可点击下面狐臭专场链接交流学习(包含本人视频操作教学详解、常见问题讨论和各位站友同行的手术佳作):https://3g.dxy.cn/newh5/view/nodeActivityTopic/270第一期我给大
cover
1226 浏览 · 7 点赞 · 3 讨论
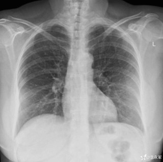
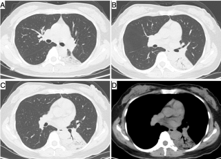
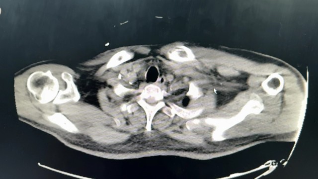
被铝水烧穿胸腔,右肺全部裸露在外,这群医生凭什么救活「必死之人」?
浙大二院整形科浙江大学医学院附属第二医院整形科官方账号
整个右侧胸腔被滚烫的铝水烧穿,多根肋骨骨折、碳化、坏死,背腹部和面部也有大面积烧伤……右肺完全暴露在外,被压缩到只剩一半的体积。这样的病人,还救得活吗?300℃ 铝水烧了 10 分钟,整个右胸都烧穿了时间拨回到 2024 年 9 月 26 日,下午 15 点,救护车的警笛声撕破了浙江大学医学院附属第二医院(文内简称「浙大二院」)解放路院区的平静。警笛声由远及近,停在了急诊的门口。不多时,一群人冲进急诊。「300 多度的铝水烧了 10 分钟,整个右胸都烧穿了!」负责转运的同事几乎是咆哮着喊出这句话。急诊医学科的许永安主任医师看到患者情形时,心下一惊。本该完整的右侧胸腔,现在成了一个焦黑的大洞,大
cover
polegepo 回复
看的我大气不敢喘,太厉害了
11.2 万浏览 · 562 点赞 · 347 讨论
停奖金→停绩效→停医保→停工资
考了个编,刚上班一年,如标题所示,单位就一副马上要倒闭的样子,10月份的工资是几个院长凑了一下加上贷款借的,然后中层的工资已经“缓发”了。下个月的工资估计够呛了。唉
大爷读文献公众号 回复
感觉楼主考的这个编制如同1949年进国军一样!
2.9 万浏览 · 25 点赞 · 82 讨论
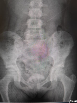
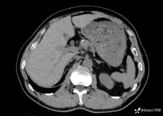
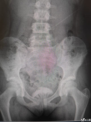
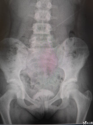
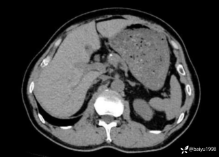
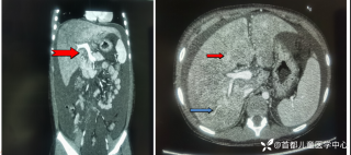
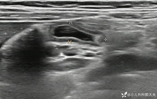
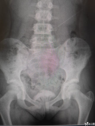
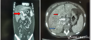
灼见|如果是你,如何处置山东男孩(多器官切除病例)
西地兰vip普外科医师
文/西地兰 特别声明:所有观点仅代表个人言论 特别声明:与当事双方均无利益相关 山东男孩,目前全网沸沸扬扬,看过一些观点,直言不讳地说,大多偏颇。要么一股脑地指责医方的全责,甚至有说千万别在县医院看病。要么又为医方无休止的遮羞,认为这样的手术在县医院做下来已经非常了不起。而我想到的是,以后面临类似的病例,我们怎么办?那么我们不如来一次专业的病案讨论。既然是事后讨论,难免有事后诸葛亮的感觉,但是假如下一次,同行们遭遇这样的病例,如何处置?这是医疗行业所面临的问题。希望我整理的这些思路和相关病例,对同行们有所帮助!就目前的资讯外界不足以判断是否需要急诊,如果需要急诊,那么只能根据术中所见进行处理,
cover
智商不太富裕 回复
目前知道的消息,第一,术前发现一个血肿,然后做增强CT发现一个占位,没说血肿与肿瘤的关系,术后病理没有描述肿瘤出现破裂出血,大概率就一个小血肿,我就不明白当地主任凭哪个指针去给这小孩开急诊刀的?哪个指南告诉他需要急诊开?第二,诊断不明确他想的不是进一步检查,一边观察一边进一步查,他反而选择腹腔镜探查,这个探查的指针在哪?第三,腹腔一个血肿,没有活动性出血,没有血压心率出现问题,为什么要开腹进去碰它?不能等血肿吸收再明确肿瘤性质吗?第四,1点进腹,3点病理结果出来,按这个时间还算顺利,应该还没出事,孩子还算平稳,病理是低度恶性,切了就治愈,他一年能开几台这手术,就敢继续做,拿孩子练手。第五,后面
4.0 万浏览 · 75 点赞 · 253 讨论
2708 浏览 · 8 点赞 · 11 讨论
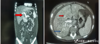
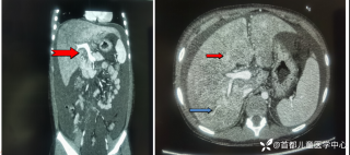
玩耍被撞后10岁男孩被诊断有肿瘤,多器官切除 当地卫健局:医院存在问题,已立案
丁香医小白普外科医师
2023年10月26日,来自山东菏泽市成武县的小烨和他家人的命运被彻底改变了。这个原本阳光、可爱的小男孩在一次意外被撞击后,在医院检查出了腹腔内存在肿瘤,并在手术中被切除了包括十二指肠、胰腺、大部分胃和小肠等多个器官。此后便无法再像正常人一样吃饭、喝水,活着要靠长期静脉注射营养液。一份2024年12月由第三方机构出具的司法鉴定意见书显示,当时给小烨做手术的成武县人民医院在该医疗行为中存在过错,与小烨的损害后果之间存在因果关系,建议医疗过错在损害后果中的原因力大小为同等原因。此外,另一份由成武县卫生健康局在2025年9月28日发出的书面答复中显示,成武县人民医院存在24小时内未完成病历;手术知情
cover
豫刀匠秦 回复
医疗无小事,更何况牵涉到孩子,局部获益要让位于整体生存获益,SPT目前划为低度恶性,如果小于3cm可以局部切除,如果大于3cm,在主胰管附近,可以保十二指肠的胰头切除,当然保十二指肠还是要到大中心去,不过SPT应该也没有这么急切,不了解当时情况,无法置评,只能说术前评估有些草率了,当然有可能该县医院技术确实比较强,不过TPN,应该是损伤了SMA,或者SMV大出血缝闭了,不过SMV能修也能接,如果是SMB按理说不至于,只能说一句艺高人胆大!何况儿童手术,当慎之又慎!当下环境,窃以为病不好慎做,病人不好慎做,病人家属不好慎做!救命手术,下台为主!非救命手术,预后为首!炫技无用,又没人给你点赞加薪!
28.6 万浏览 · 175 点赞 · 758 讨论
反思 | 赶高铁时一过性晕厥的老年男性
月叔打怪兽急诊科医师
昨天值班遇到的一例晕厥病例,差点漏诊,而最终的解法,始于最简单而质朴的查体。国庆中秋双节的最后一天,8号的早上8点,抢救室床旁晨交班,病人依旧是多而重,交到6床,一个刚入室不久的病人,准备去做CT,夜班医师汇报病史:69岁男性,本次因“头晕伴一过性晕厥1小时”为主诉入抢,1小时前于高铁站因即将赶不上高铁走路快时突发头晕,伴一过性晕厥,约3-4分钟后清醒,清醒后诉今晨未吃早餐,已服用降压药物,仍有头晕头痛、四肢乏力等不适,无胸闷胸痛,无畏寒发热,无咳嗽咳痰,无恶心呕吐,无肢体麻木,无视物模糊等不适,路人拨打120送至我院急诊就诊。既往高血压,长期服用氨氯地平+福辛普利,血压控制一般;糖尿病,长期
coverplay
3932 浏览 · 24 点赞 · 9 讨论
我被门诊患者挂d音上了
呼吸机小王子呼吸科医师
今天科里都在传我的瓜,我反而成了最后一个知道的。医院发现某音有个关于我的负面评论。门诊患者对我不满意。似乎不好意思直接跟我说,就辗转通过好多人告诉我有这么一回事。我除了背个水平不行的骂名,其他没什么可说的,没有坑钱,甚至都没说我态度不好。医院查到的病历如下门诊病历非常重要,评估对错的关键证据。处置也很重要,好在平时没有开大处方的习惯,也不喜欢开中成药,用药很干净,涉及到要院外购买医疗设备药品的情况都是走拼夕夕。医院除了督促我认真学习怎么治疗咳嗽以外,都不知道该怎么批评我,所以通过好几个人转告我这事。如果要说有什么问题,病历里面没有直接说明慢性咳嗽可能跟睡眠呼吸暂停和潜在的哮喘有关,所以建议尝试
cover
dxy_oqrtmxe8 回复
小王子,其实文化程度低的病人只在乎症状的缓解,不在乎其他复杂的远期的东西
6.8 万浏览 · 87 点赞 · 355 讨论
大瓜:湖南省人民医院副院长出轨眼科主任?
护伟达护士
号外号外,湖南省人民医院副院长祖雄兵和眼科主任医师曾琦被指存在不正当关系,并有不雅视频传出。对此,医院工作人员回应:组织正在调查,请给医院宣传部门联系。当地卫生健康委员会对此回应:暂未接到相关的信访反映。祖雄兵为湖南省人民医院副院长,泌尿外科学科带头人。曾琦,博士,主任医师,硕士研究生导师。现任湖南省人民医院眼科副主任、眼科一病区主任,湖南省卫生健康高层次青年骨干人才,湖南省预防医学会眼病防治专业委员会主任委员、湖南省女医师协会眼科专业委员会主任委员、湖南省医学会眼科学专业委员会防盲学组副组长、湖南省医学会眼科学专业委员会眼外伤及职业病学组副组长、湖南省医学会眼科学专业委员会白内障学组副组长、
莫道悲凉好个秋 回复
人家严格执行“全院一张床”的政策
1.1 万浏览 · 2 点赞 · 41 讨论
第一次听护士教育病人,你这纹身关键时刻会要你的命!
zxxssy普外科医师
病例信息【患者信息】:男、16岁【主诉】:全身皮肤瘙痒伴皮疹10分钟【现病史及既往史】:10分钟前患者骑摩托车行驶途中,突感全身瘙痒,奇痒无比伴全身发热,心跳加快。急诊就诊,既往无类似病史,否认咽喉梗阻感、胸闷、气短、呼吸困难、恶心、呕吐、腹泻、乏力等不适。【检查】:血压:138/80mmHg,心率:116次/分,呼吸:21次/分。【临床诊断】:急性荨麻疹【治疗经过及结果】:给予吸氧、肌注扑尔敏1支,口服氯雷他定1片,静滴甲泼尼龙40mg后瘙痒明显减退,皮疹消失。病例讨论双手十指及双足未纹身,护士最后穿刺左手大拇指。
cover
大龙猫啊啊啊 回复
孩子nb,父母也是nb,感觉自己挺社会,实际上社会大哥没几个,基本都是该溜子还唧唧歪歪的
2.0 万浏览 · 23 点赞 · 29 讨论
查看更多
返回顶部