侧颅底进修日志33:颅底骨巨细胞瘤
病例信息
【患者信息】:男,21岁
【主诉】:左耳听力下降、耳鸣2年,颞骨骨巨细胞瘤术后1年余
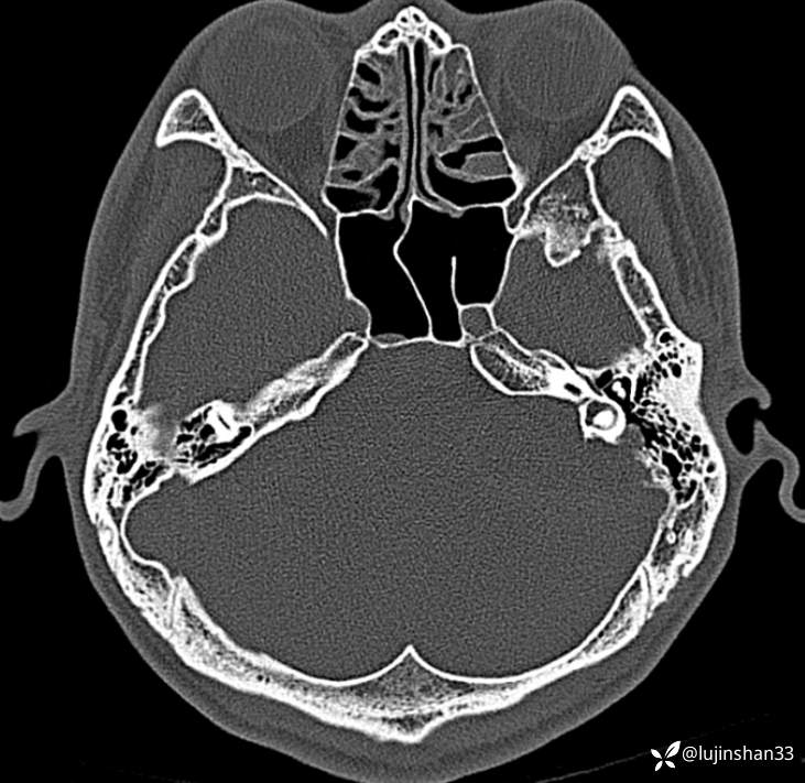
【现病史及既往史】:患者2年前无明显诱因出现左耳搏动性耳鸣、听力下降,耳鸣持续存在,伴轻度头晕,无眩晕及恶心、呕吐,无左侧外耳道流脓、流血,无视力下降,于2018-09-19在XXX市第一人民医院行颞骨CT及颅脑核磁示:左侧岩骨-桥小脑角区占位性病变,伴骨质破坏,考虑肿瘤性病变,于2019-02-19日于在我科住院行“经枕颈联合径路颞骨、颈静脉球窝及后颅窝肿瘤切除+腹部脂肪取出术腔填充+外耳道封闭”,病理结果(2019-2-19,我院)(左颞骨、左颞骨后颅窝、后颅窝硬脑膜) 富于破骨样巨细胞的肿瘤,背景为基质细胞梭形,界限不清,部分区域可见出血,局部见反应性骨形成,考虑为骨巨细胞瘤。送检瘤组织大小分别为1.2x1.2x0.7cm、7x6x2.5cm、3x2x0.8cm。(左颈部)淋巴结未见转移肿瘤(0/2)。免疫组化结果:p63(部分+),SATB2(+),Ki-67(+10%)。术后定期门诊随访,于2019-09-02行颞骨CT示:左侧颞骨骨巨细胞肿瘤术后改变,左后颅窝异常强化灶累及左侧颞骨斜坡,考虑复发,为进一步手术治疗来我院,以"颞骨骨巨细胞瘤术后(左)"收住入院。
查体:双耳廓无畸形,左侧外耳道封闭,左耳耳后见S型瘢痕约12CM,左侧乳突区及耳屏无红肿,无压痛,右侧外耳道通畅,鼓膜完整,右侧乳突区及耳屏无红肿
【检查】:
首次术前耳道查体:

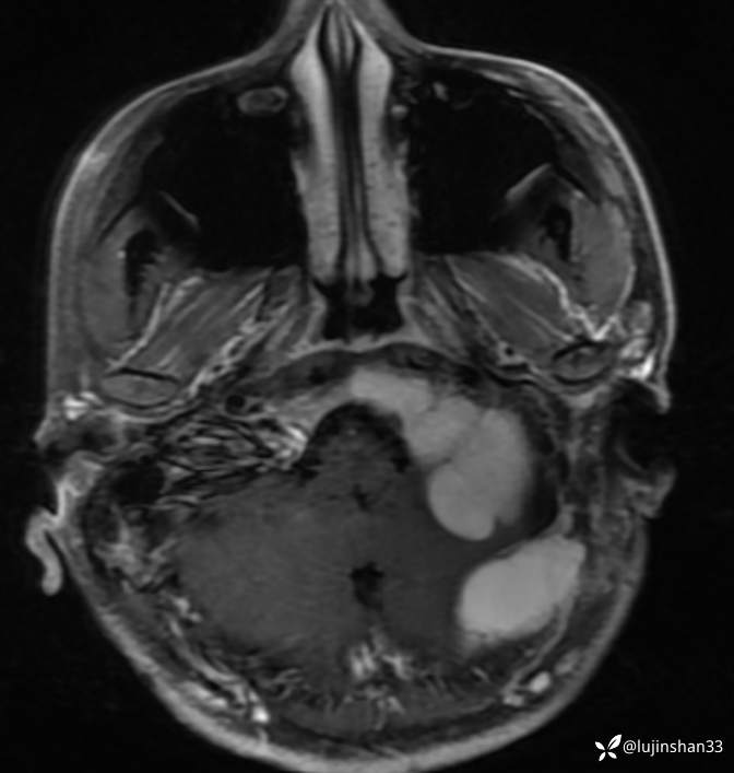
首次术前MRI





首次术前CT:



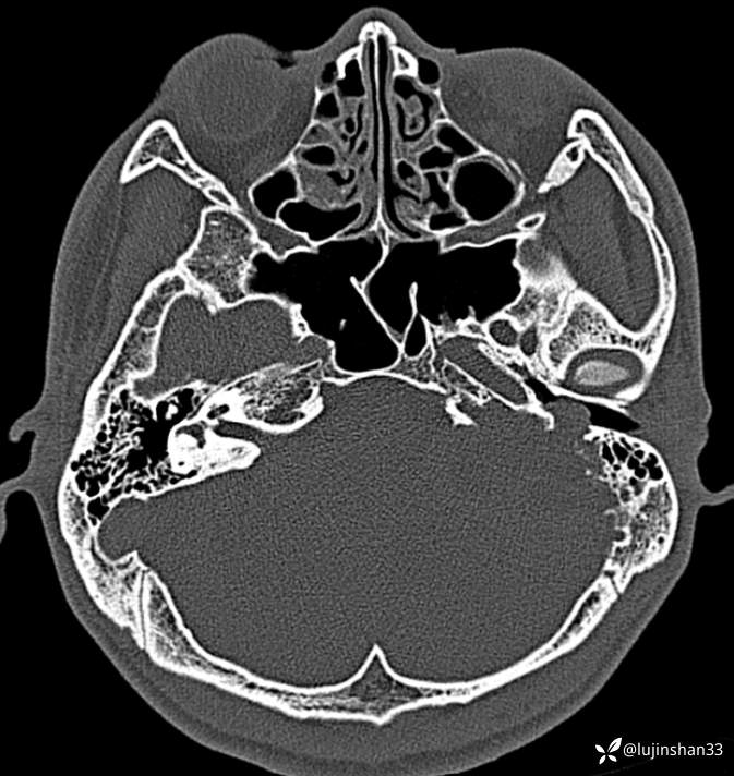
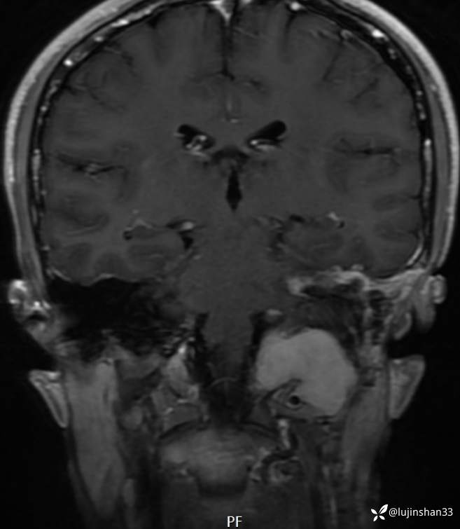
未行手术,4个月后复查,病变进展


2019年2月首次手术后




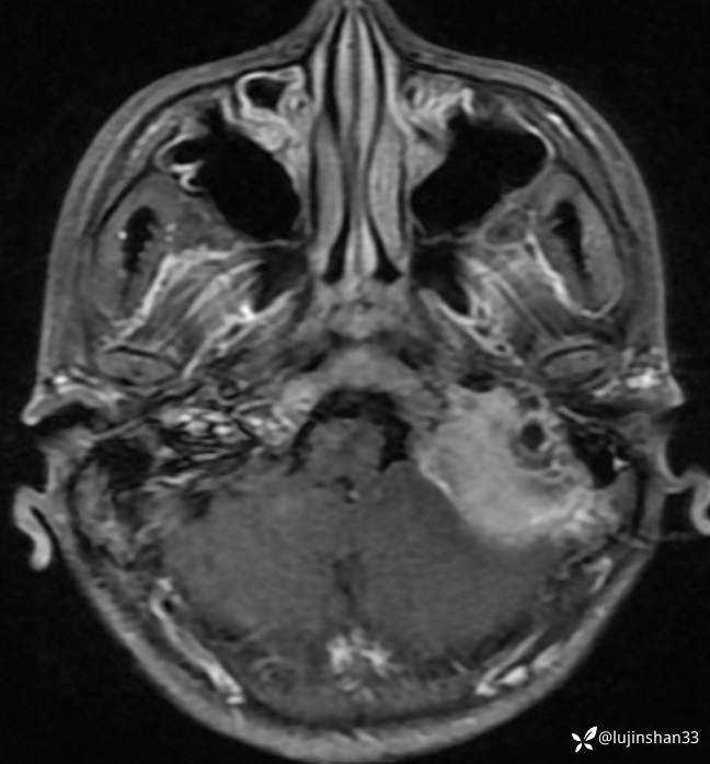
首次手术有残留

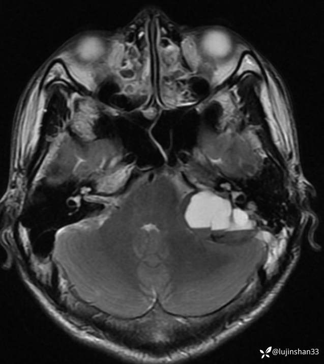
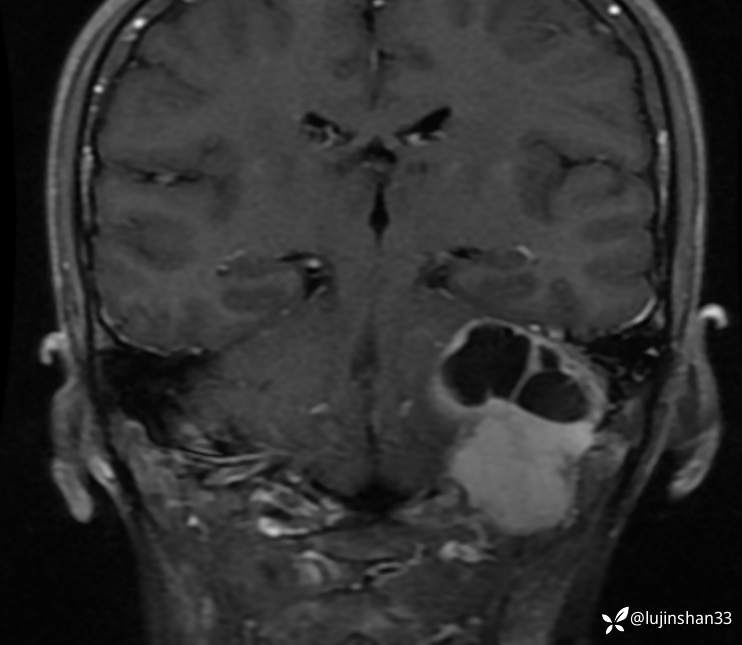
半年后复查


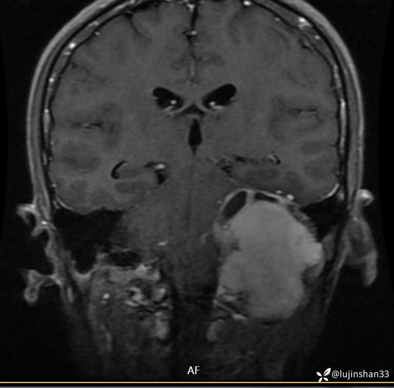
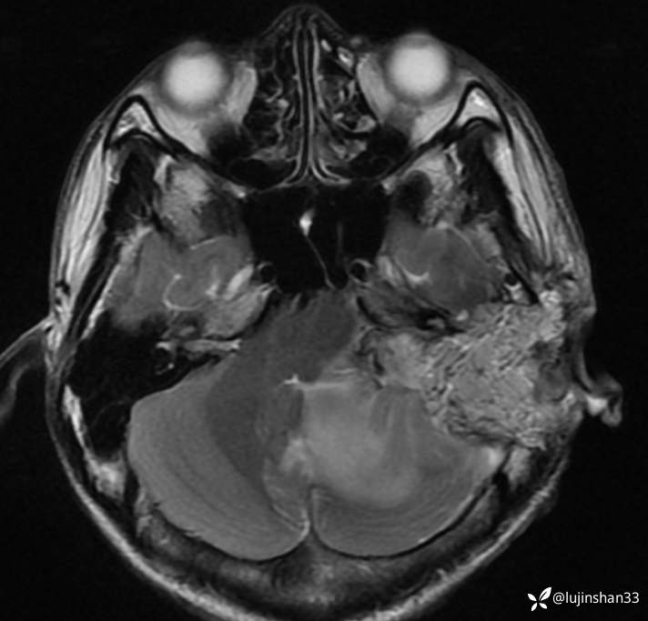
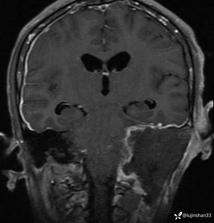
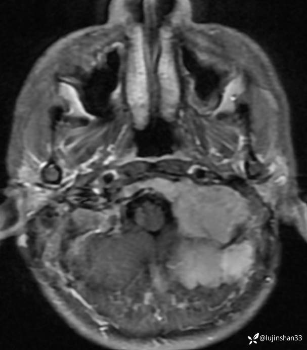
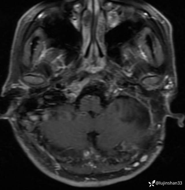
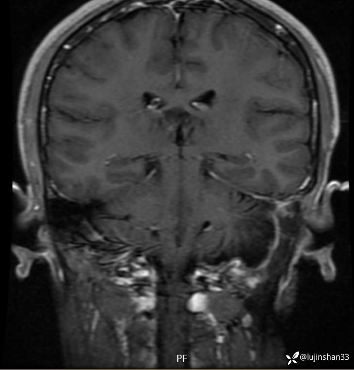
术后1年半复查CT及MRI



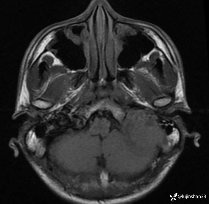
二次手术后1年半,肿瘤切除术后,未见复发



【临床诊断】:颞骨、颈静脉球窝、后颅窝骨巨细胞瘤切除术后复发
【治疗经过及结果】:左侧颞枕入路颞骨枕下骨巨细胞瘤切除,腹部脂肪填充
总结与讨论
有无其他辅助治疗?如放化疗,靶向治疗等
















































