侧颅底进修日志16:颞骨鳞癌
患者性别:男
患者年龄:68
主诉:右耳疼痛、流水、听力下降半年
简要病史:患者2022年10月掏耳后出现右耳疼痛,流水,伴血性分泌物,伴听力下降,无头痛头晕,无口角歪斜,自行购买滴耳液及口服罗红霉素,效果不佳。后右耳痛加剧,偶需止疼药治疗。后于XXXXXX医院行中耳乳突CT检查示“右耳恶性肿瘤?坏死性外耳道炎?”颅脑磁共振平扫示“脑内多发缺血灶、梗塞灶,脑白质疏松,脑萎缩、右中耳恶性占位。”建议上级医院治疗。2023-4-13就诊于我科门诊,行右外耳道病理活检示“鳞状上皮黏膜慢性炎伴急性炎,可见较多炎性坏死,部分上皮增生明显伴不典型增生,小灶上皮呈重度异型增生伴癌变。”建议手术治疗。今患者为求进一步诊治,门诊以“颞骨占位(右)“收治入院。
既往史:否认肝炎、疟疾等传染病史,2018年行双侧股骨头置管术。高血压病史10余年,口服硝苯地平缓释片控制可。糖尿病史6年,目前行胰岛素注射。否认心脏病病史,否认脑血管疾病、精神疾病病史,否认外伤史,否认食物、药物过敏史,预防接种史不详。
体格检查:
右侧外耳道见隆起新生物,色白。右耳鼓膜无法窥及。左侧耳廓无畸形,外耳道干净,鼓膜完整,标志欠佳。

辅助检查:
纯音:

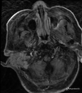
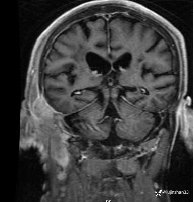
CT:



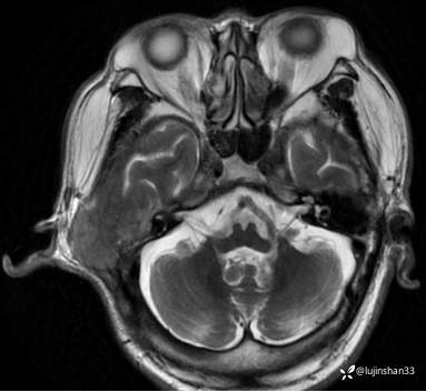
MRI:






术后病检:
冰冻诊断:
(右外耳道切缘)未见明确癌,部分上皮增生显著,待石蜡进一步明确诊断。
(右乳突肿物)癌,考虑为鳞状细胞癌,部分细胞挤压明显,待石蜡及免疫组化进一步明确诊断。
检查所见:
术中送检:1.(右外耳道切缘)灰红色组织一块,大小4.6x0.3x0.2cm,上附皮肤面积4.5x0.3cm。
术中送检:2.(右乳突肿物)灰红色组织一块,大小4.5x1.2x1.3cm,灰白色,质中。
术后送检:1.(右侧颞部肿物)灰褐色破碎组织一堆,总大小10x7.5x2cm,切面灰白色,实性,质中。其中涎腺组织大小6x5.5x2.5cm,切面灰黄色,分叶状。涎腺周围检出淋巴结2枚,大者大小0.4x0.3x0.2cm,小者大小0.2x0.1x0.1cm,均质中。
术后送检:2.(颈部)淋巴结淋巴结18枚,大者大小2.3x1.4x0.5cm,小者大小0.1x0.1x0.1cm,均质中。
术后送检:3.(后切缘)灰白色组织一块,大小3x1.3x0.2cm,质软。
术后送检:4.(下切缘)灰褐色组织一块大小2x1.5x0.2cm,质软。
术后送检:5.(前切缘)灰褐色组织一块大小2.2x1x0.2cm,质软。
术后送检:6.(上切缘)灰褐色组织一块大小1.5x1x0.2cm,质软。
常规诊断:
(右侧颞部)中分化鳞状细胞癌,术中及术后送检组织大小分别约为4.5x1.3x1.2cm、10x7.5x2cm。癌组织侵犯周围横纹肌组织及骨组织。涎腺组织未见癌。涎腺周围及(颈部)淋巴结见转移癌(1/2、11/18)。术中送检(右外耳道切缘)及术后送检(后切缘、下切缘、前切缘、上切缘)均未见癌。
免疫组化结果:HER-1(EGFR)(+),p63(+),PDL1(SP263)(CPS:20),Ki-67(+75%)。
临床诊断:
右侧颞骨鳞癌(T4)
治疗经过:
1.右侧颞骨次全切除术,腮腺切除术、功能性淋巴结清扫术、外耳道封闭,腹部脂肪取出术腔填塞术

耳后反问号切口,暴露肿瘤

大部分肿瘤已切除,面神经不保留,一起切除

腮腺浅叶切除

二区淋巴结清扫

取切缘送检

最终术腔
术后感染



2.放疗
讨论:
术后感染,脂肪液化,切口未愈合,下一步处理如何?
















































