侧颅底进修日志27:颞下窝小圆细胞恶性肿瘤
患者性别:男
患者年龄:9岁
主诉:发现左颞部肿物半年,加重伴头昏1月
简要病史:患儿父母半年前发现患儿左颞部较右侧突起,无伴随症状,未重视未诊治,1月前,患儿左颞部肿物长大,伴头晕,向一侧倾倒感,头痛,两次剧痛,余为胀痛,偶有夜间出现左下颌区域皮肤麻木,咀嚼时左面部疼痛,10天前,患儿出现左眼睑肿胀伴疼痛,睁眼疼痛加重,不伴视力障碍,无畏寒发热,无意识障碍,无饮水呛咳,在XX同仁医院行颅脑核磁示:左侧颞下窝占位。门诊以“颞下窝占位(左)”收入院。患者目前精神状态良好,体力正常,食欲正常,睡眠正常,体重无明显变化,大便正常,排尿正常。
体格检查:左侧颞部可见约7*4cm大小肿物突起,质软,边界不清,局部皮肤无红肿,伴疼痛,左眼睑肿胀,不能睁眼,角膜反射检查不能配合。嗅觉粗测正常,双眼视力粗测正常,双侧瞳孔等大同圆,直径约3mm,对光反射灵敏。眼底检查未见异常。右眼睑无下垂,左眼睑肿胀,眼裂约4mm,无眼球下陷,眼球各方向活动自如。双面部痛温觉正常。双侧颞肌、咀嚼肌无萎缩,咀嚼动作基本对称,张口无歪斜,伸舌无偏斜。双侧额纹对称,闭眼无露白,双侧鼻唇沟无变浅,鼓腮无漏气、示齿时口角无明显偏斜。双侧咽腭弓对称,悬雍垂居中,双侧咽反射正常。声音无嘶哑,无饮水呛咳,无吞咽困难。双侧斜方肌、胸锁乳突肌均无萎缩,双侧转头、耸肩对称有力。
辅助检查:
听力:

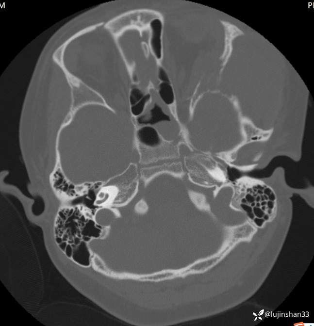
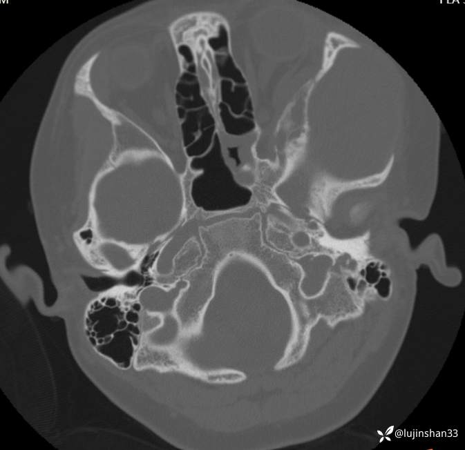
颞骨CT:2020年12月











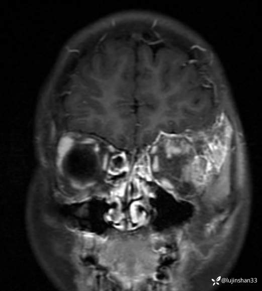
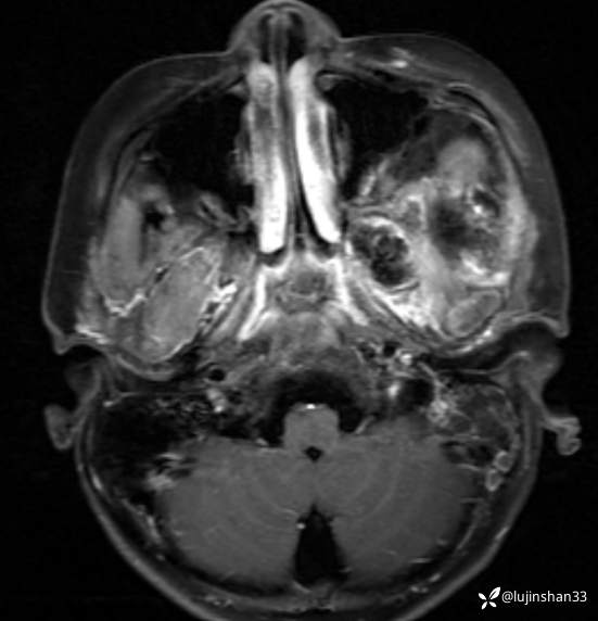
临床诊断:颅中窝、颞下窝小圆细胞恶性肿瘤

治疗经过:颅中窝入路侧颅底、颞下窝肿瘤切除、腹部脂肪取出、术腔填塞术
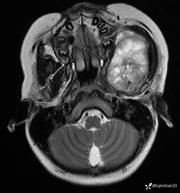
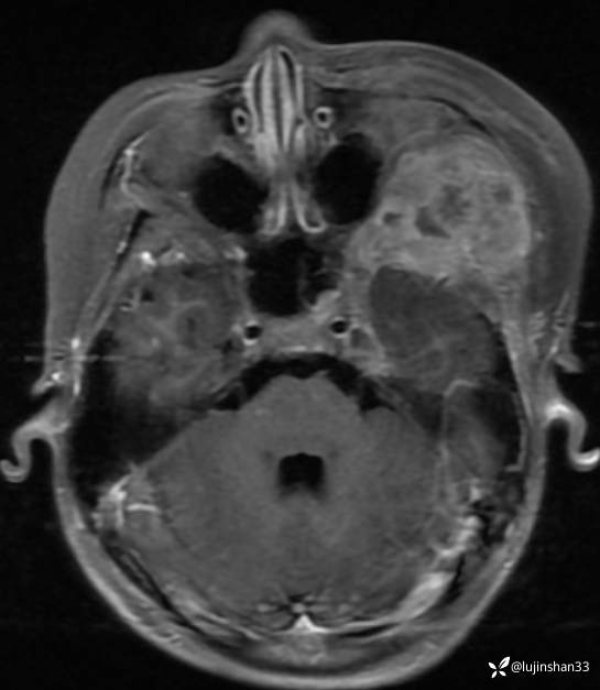
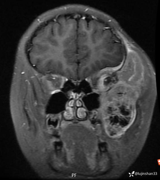
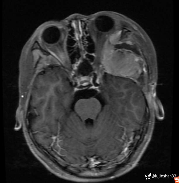
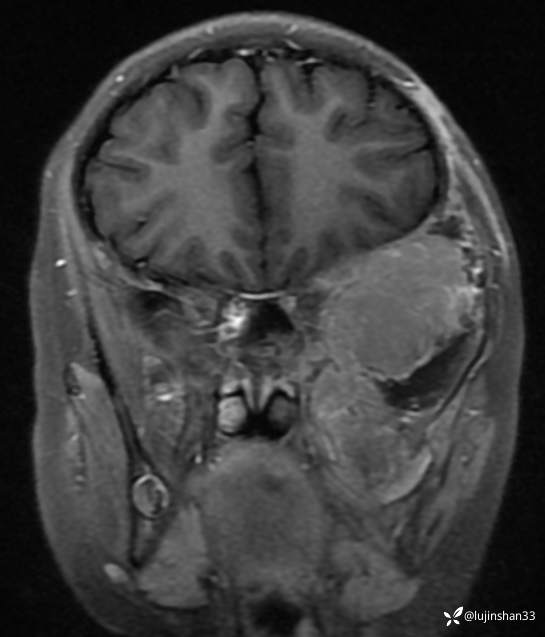
术后MRI:2022年2月考虑复发



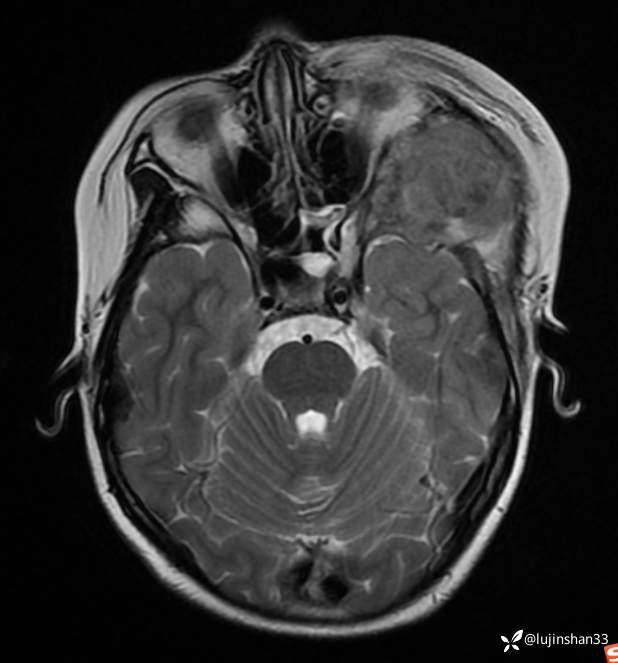
2021年8月复查MRI



讨论:
小圆细胞恶性肿瘤术后放化疗效果如何?
















































