女性35岁,主因咳嗽、咳痰1月,胸部CT报肺炎,猜对乃神医!
病例信息
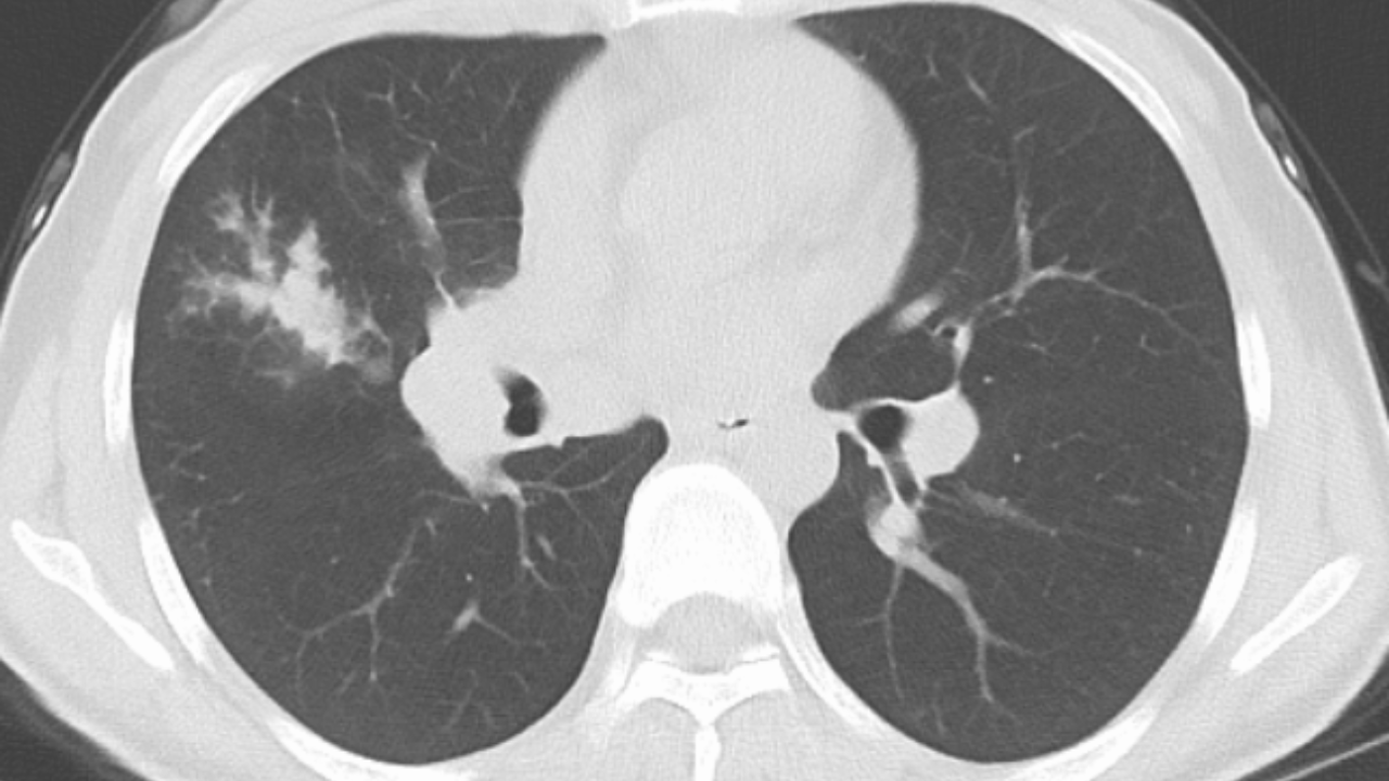
女, 35 岁,主因咳嗽、咳痰1月于2025-11-05 08:46入院。
病例特点
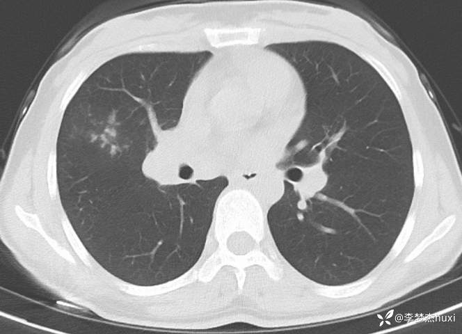
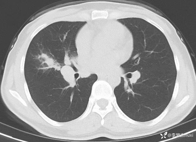
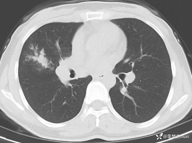
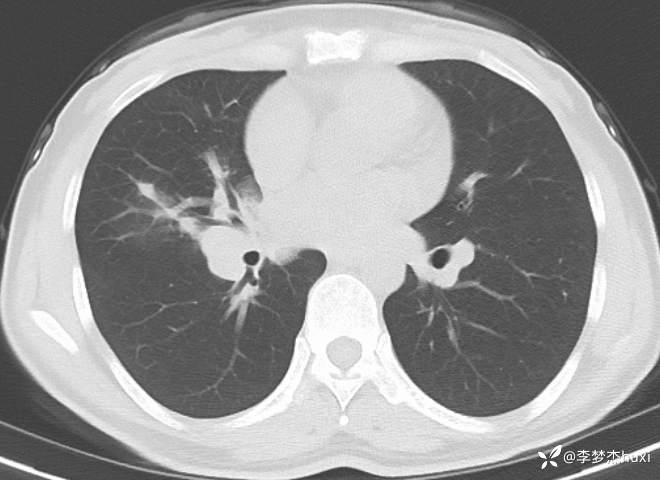
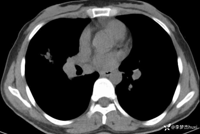
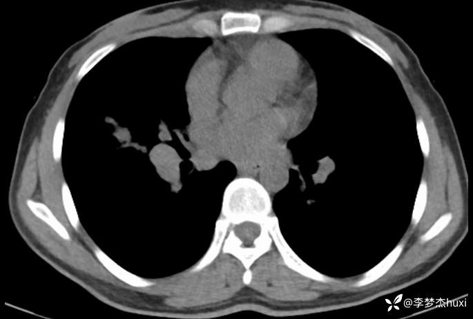
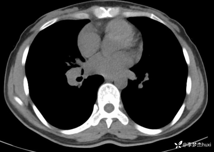
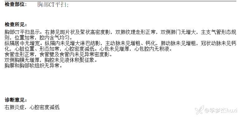
1.现病史:患者中年 女,患者于入院前1月“感冒”后出现咳嗽、咳痰,为黄白痰,不易咳出,无痰中带血,咽部刺痒不适,咳嗽明显,无胸痛,无胸闷、憋气,无恶心,未呕吐,无腹痛、腹泻,无尿频、尿急、尿痛,于院外口服药物(具体不详)治疗,病情未见好转,2025-11-4于我院门诊查胸部CT提示右肺炎症。为进一步诊治来我院;门诊以“肺炎”收入院 。
2.既往史:既往无高血压、糖尿病、冠心病等慢性病史,无肝炎、伤寒、结核等传染病史,无外伤史,无输血史,预防接种史不详,否认食物药物过敏史。
3.查体:T36.5℃,P90次/分,R18次/分,BP105/65mmHg。神清,呼吸平稳,浅表淋巴结不大,双肺叩清音,双肺呼吸音粗,右肺可闻及湿性啰音,左肺未闻及干湿性啰音,心率90次/分,心律齐,无杂音。腹部平坦软,全腹无压痛,无反跳痛及肌紧张,肝脾肋下未触及,双下肢无水肿。
4.辅助检查:心电图示窦性心律,大致正常。
初步诊断
肺炎。
病例讨论
猜病



























































