男性61岁,因咳嗽、咳痰伴胸闷憋气7天,这个空洞病变还算典型吗?
病例信息
男, 61 岁,主因咳嗽、咳痰伴胸闷憋气7天于2024-06-15 08:14入院。
病例特点
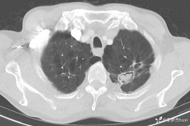
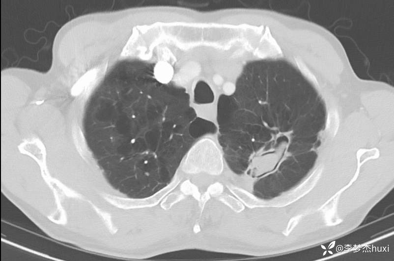
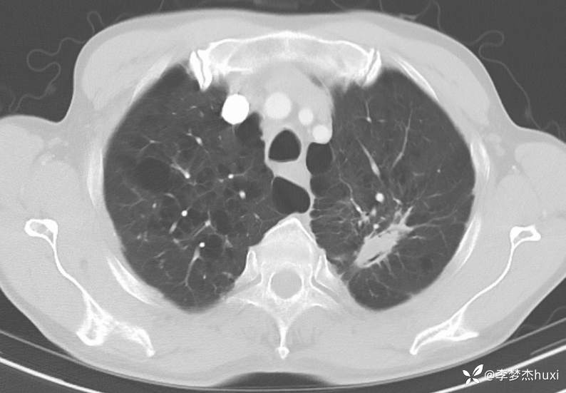
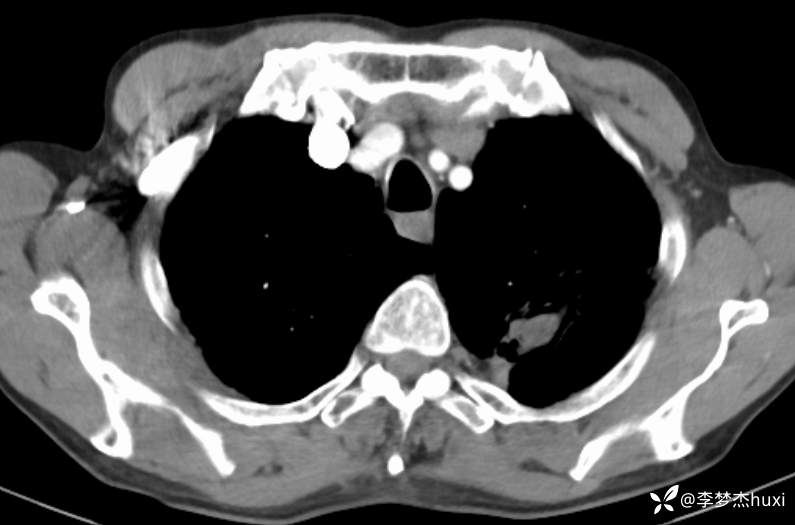
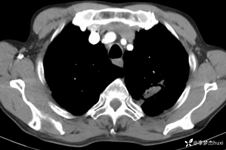
1.现病史:患者老年 男,患者于入院前7天“感冒”后出现咳嗽、咳痰,为白痰,不易咳出,伴胸闷憋气,活动后加重,病初发热,最高达38.0℃,无胸痛,无咯血,无腹痛、腹泻,无恶心、呕吐,无尿频、尿急、尿痛,院外给予口服药物(自诉口服药物,具体药物名称不详)治疗,病情无明显好转,6-13于我院门诊查胸部CT:左肺上叶软组织密度影-性质待定,双肺炎症,双肺气肿,双肺大泡,双肺部分实性结节-炎症?双肺实性结节,主动脉及冠状动脉钙化,双侧胸膜局限性增厚;肝脏多发囊性病变。6-14查胸部增强CT:左肺上叶空洞-真菌感染?占位不除外;双肺炎症,双肺气肿,双肺大泡,双肺部分实性结节-考虑炎症,双肺实性结节,主动脉及冠状动脉钙化,双侧胸膜局限性增厚;肝脏多发囊性病变;今日为进一步诊治来我院;门诊以“肺空洞”收入院。
2.既往史:既往高血压病史5年余,血压最高160/100mmHg,院外未规律应用药物,未规律监测血压;无冠心病、糖尿病等慢性病史,无肝炎、伤寒、结核等传染病史,无外伤史,无手术史,无输血史,预防接种史不详,否认食物药物过敏史。
3.查体:T36.3℃,P60次/分,R17次/分,BP120/80mmHg。神清,呼吸平稳,浅表淋巴结不大,双肺叩清音,双肺呼吸音粗,双肺未闻及干湿性啰音,心率60次/分,心律齐,无杂音。腹部平坦软,全腹无压痛,无反跳痛及肌紧张,肝脾肋下未触及,双下肢无水肿。
4.辅助检查:心电图示窦性心律,大致正常。
初步诊断
肺空洞
分析处理
抗感染对症处理
总结与讨论
如何进一步检查及治疗?

























































