女性53岁,腮腺癌术后反复咳嗽、咳痰,胸部CT以树芽征为特点改变,最可能的是哪种疾病
病例信息
【患者信息】:女, 53 岁
【主诉】:主因咳嗽、咳痰5天
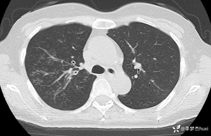
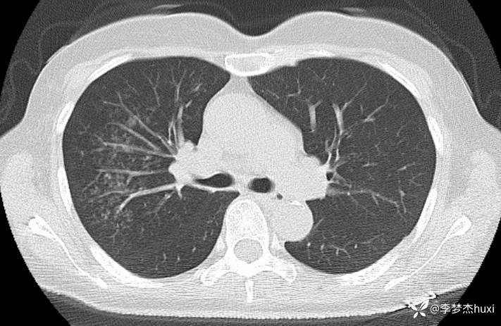
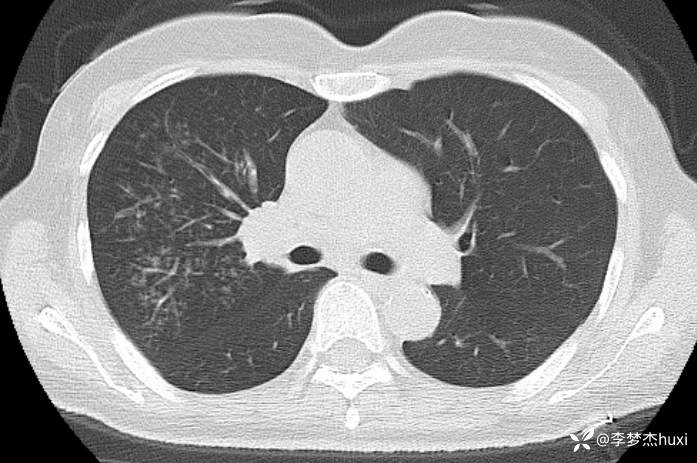
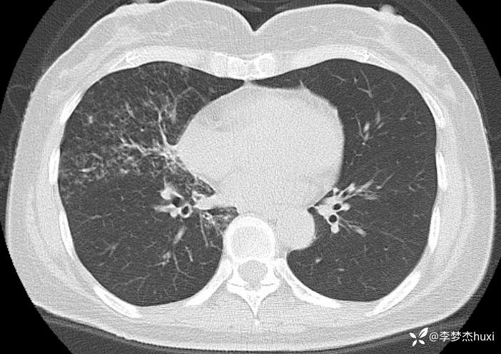
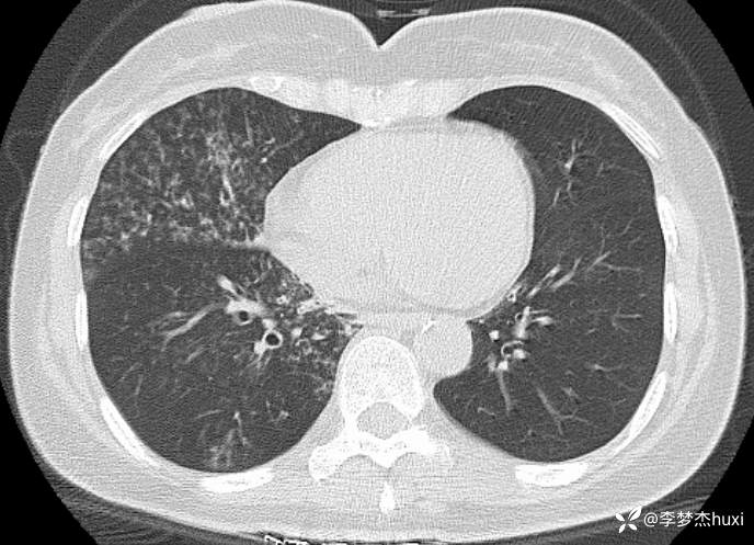
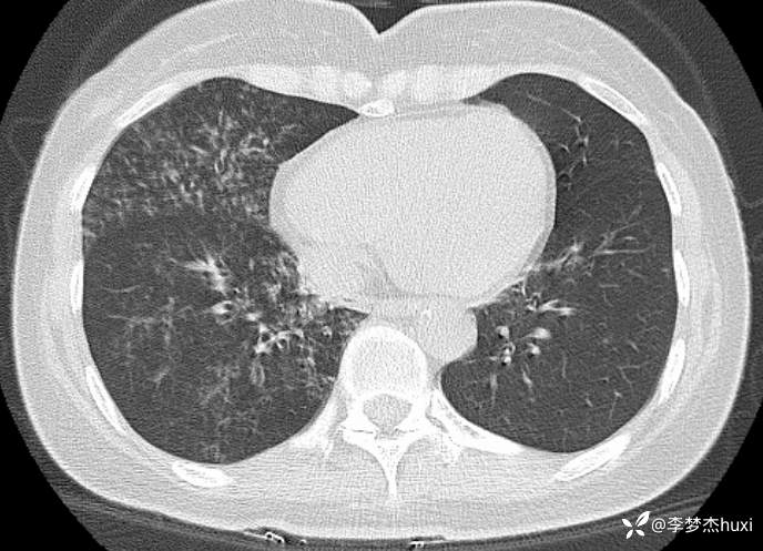
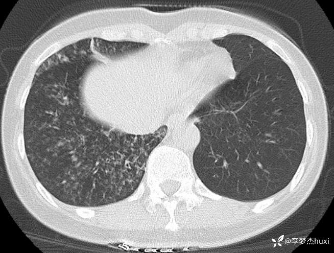
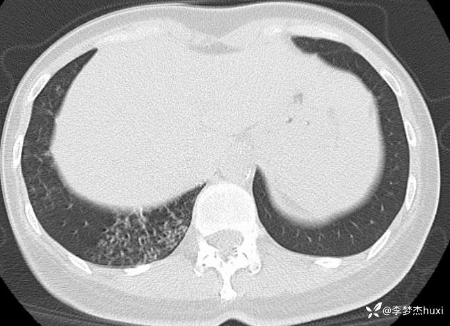
【现病史及既往史】: 1.患者中年 女,患者于入院前5天无明显诱因出现咳嗽,咳痰,为黄绿色痰,量少,不易咳出,伴发热,最高体温不详,伴周身乏力,无胸痛,无呼吸困难,无恶心、呕吐,无腹痛、腹泻,无抽搐及意识障碍,院外未诊治,症状无好转,今患者及家属为进一步诊治前来我院就诊,门诊查胸部CT:右肺上叶占位性病变应考虑,右肺上叶空洞;右肺下叶占位?双肺炎症,支气管炎?右肺门淋巴结增大,双肺实性结节,纵隔结节,主动脉及冠状动脉钙化,右侧乳腺结节?建议结合超声,建议结合临床复查。门诊以“肺炎”收入院 。
2.既往高血压病史20余年,最高达180/?mmHg,目前口服“缬沙坦胶囊、硝苯地平控释片、酒石酸美托洛尔”等药物治疗,血压未监测;2008年因右侧腮腺腺样囊性癌于天津肿瘤医院行手术治疗,术后给予放化疗,2019年肿瘤原位复发,于北京大学口腔医院再次行手术治疗,2023-8发现肿瘤侵犯右耳道,目前口服仑伐替尼治疗约12个月;2023-11开始应用帕博利珠单抗注射液免疫治疗,患者右肺上叶占位,2024-7于沧州市中心医院行穿刺活检,病理:腺样囊性癌,2024-08于北京市某医院行“肺部射频消融术”;患者术后时常呛咳,否认“冠心病、糖尿病”病史,否认“肝炎”、“结核”等传染病史;否认外伤史,无输血史;否认食物、药物过敏史,预防接种史不详,系统回顾无特殊。。
3.查体:T37.3℃,P84次/分,R19次/分,BP130/80mmHg。神清,呼吸平稳,浅表淋巴结不大,双肺叩清音,双肺可闻及少许湿性啰音,心率84次/分,律齐,无杂音。腹部平坦,软,无压痛,无反跳痛及肌紧张,肝脾肋下未触及,双下肢无水肿。
【检查】:心电图示:窦性心律,完全性右束支传导阻滞。
【临床诊断】: 1.肺炎
2.肺恶性肿瘤 (腺样囊性癌)射频消融术后。
【治疗经过及结果】:抗感染治疗
总结与讨论
考虑哪种疾病可能大?


























































