中年男性,腹胀10天。腹部涨水如“决堤”般汹涌---结果公布~
华夏览雄 等 2 位达人已点赞病例信息
性别:男
年龄:45岁
主诉:腹胀10天
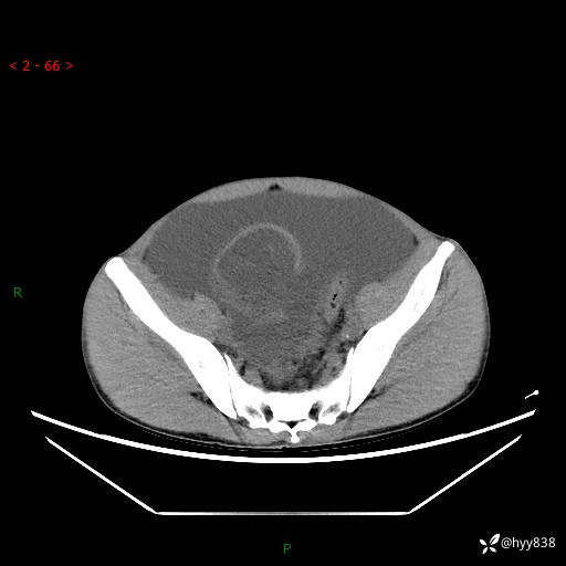
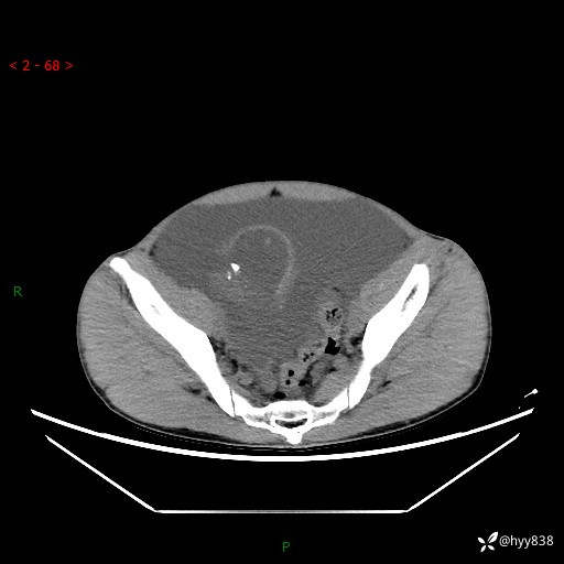
现病史:患者10天前无明显诱因出现腹部胀痛不适,无畏寒发热,无胸痛胸闷,无心慌气短,无恶心呕吐,无腹泻及黑便,无粘液血便及里急后重等症状,4天前在当地县人民医院就诊,行腹部CT示:下腹部占位性病变,腹腔及盆腔积液;今患者为求进一步诊治来我院治疗,门诊以“腹水”收治入院。 发病以来,精神饮食可,大小便正常,体重体力无明显变化。
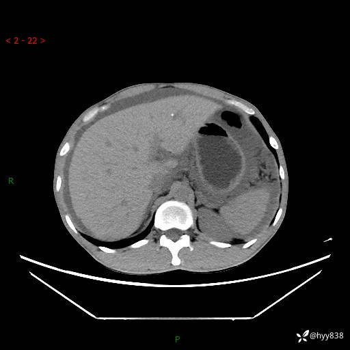
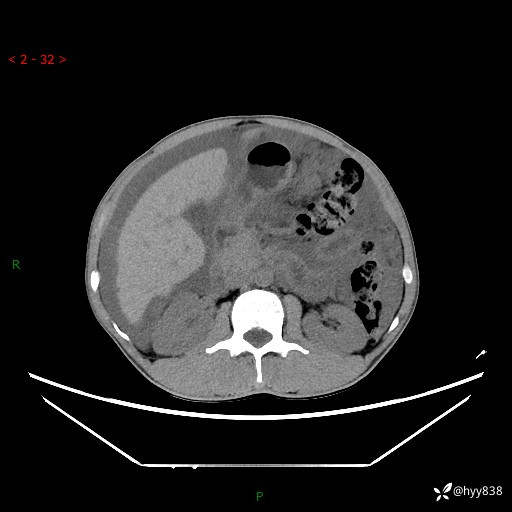
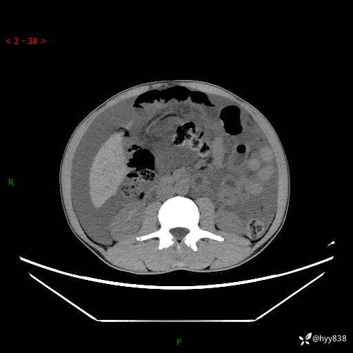
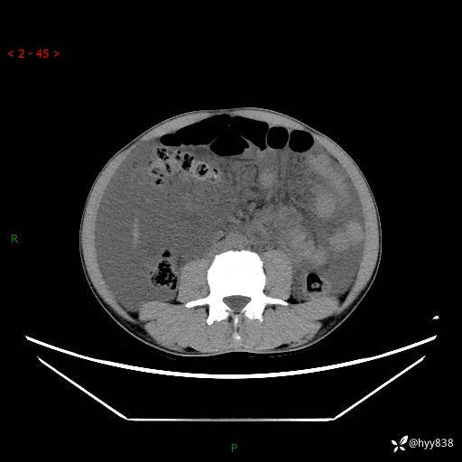
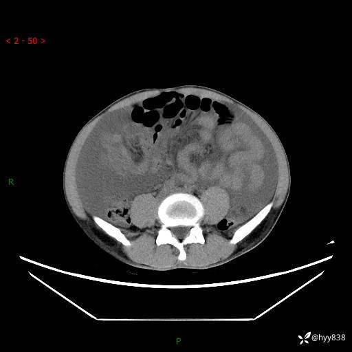
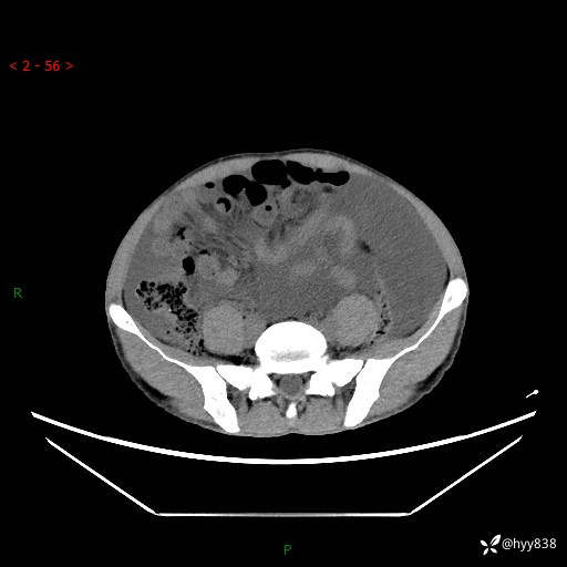
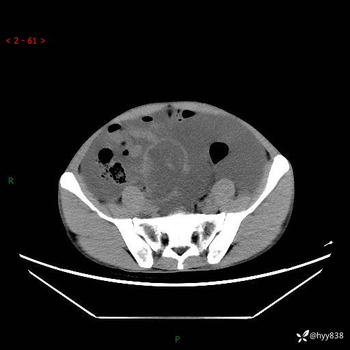
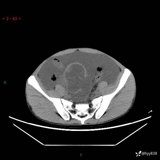
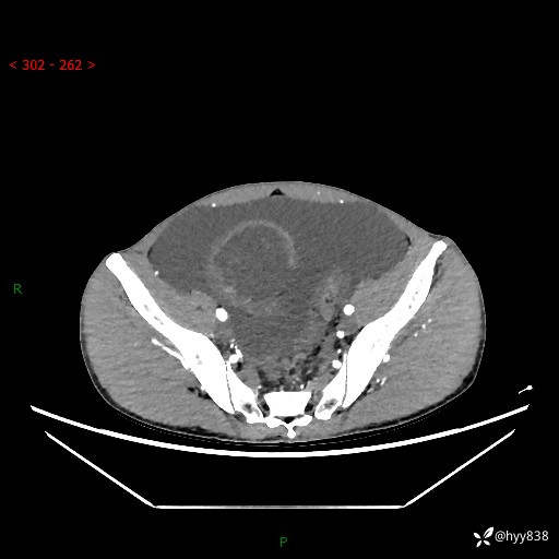
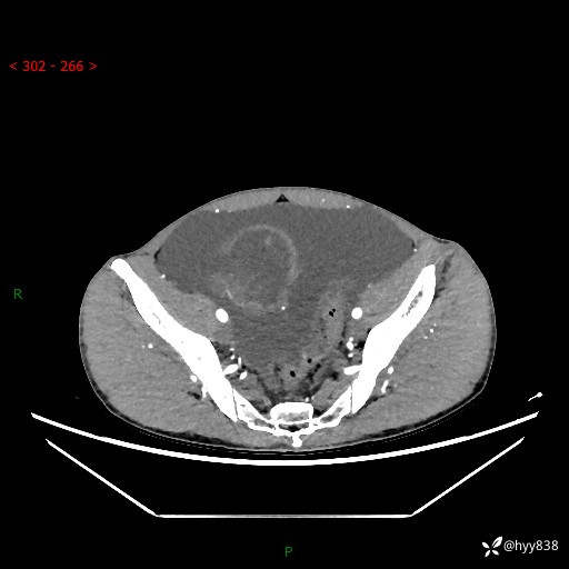
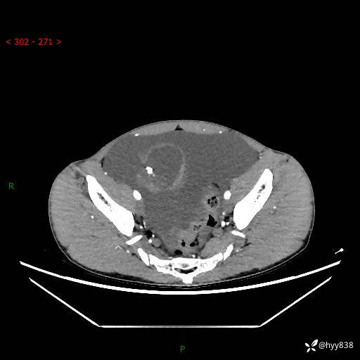
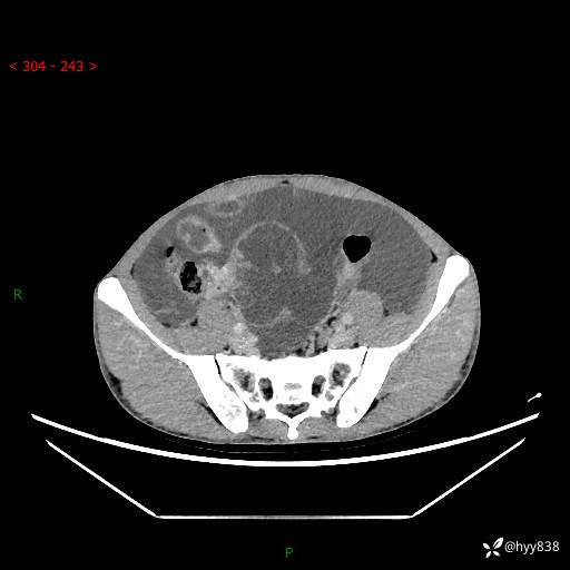
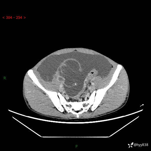
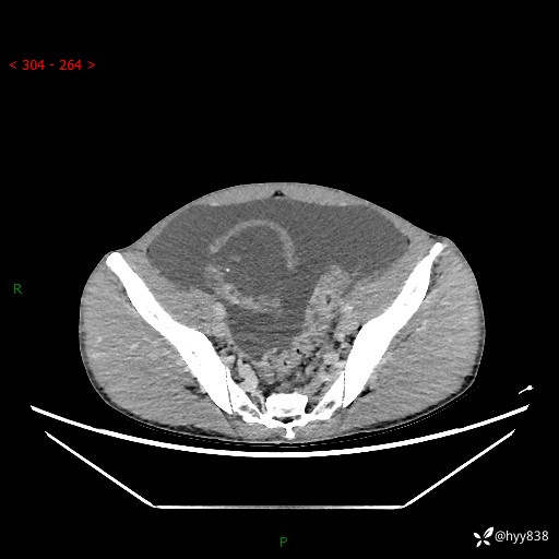
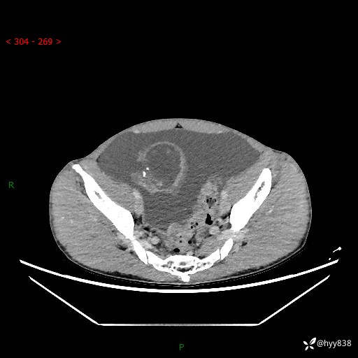
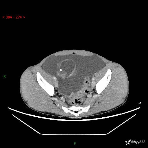
腹部CT平扫+增强

























华夏览雄 等 2 位达人已点赞病例信息
性别:男
年龄:45岁
主诉:腹胀10天
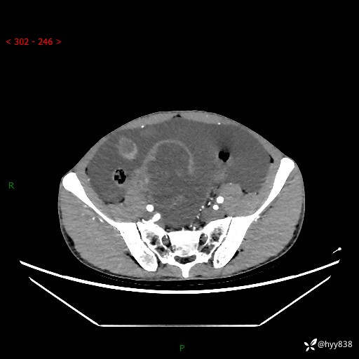
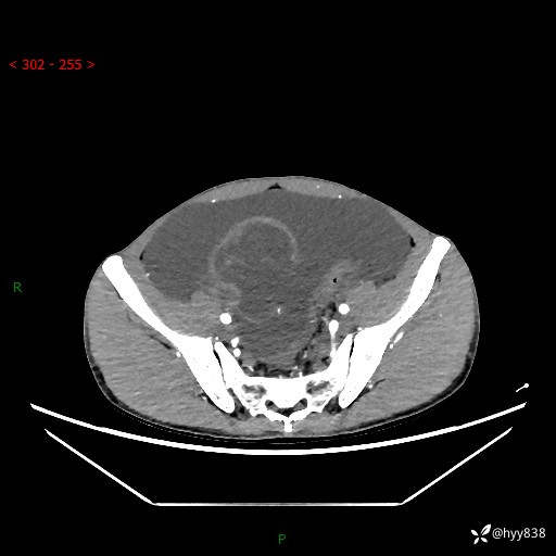
现病史:患者10天前无明显诱因出现腹部胀痛不适,无畏寒发热,无胸痛胸闷,无心慌气短,无恶心呕吐,无腹泻及黑便,无粘液血便及里急后重等症状,4天前在当地县人民医院就诊,行腹部CT示:下腹部占位性病变,腹腔及盆腔积液;今患者为求进一步诊治来我院治疗,门诊以“腹水”收治入院。 发病以来,精神饮食可,大小便正常,体重体力无明显变化。
腹部CT平扫+增强

























