dxy logo
首页丁香园病例库全部版块
搜索
登录

病例【腹盆】特别精彩病例|男,61岁,右下腹部疼痛伴腹胀2天

影像核医学版版主 · 发布于 2024-09-10 · 来自 iOS · IP 江西江西
1.0 万 浏览
icon呱呱叫了 等 4 位达人已点赞
这个帖子发布于 1 年零 75 天前,其中的信息可能已发生改变或有所发展。

病例信息

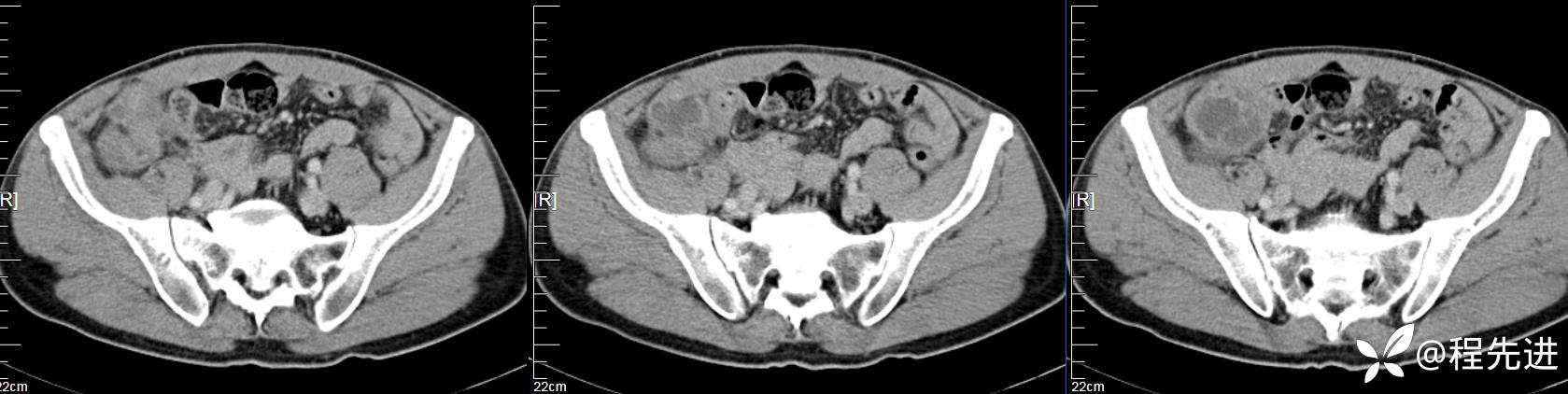
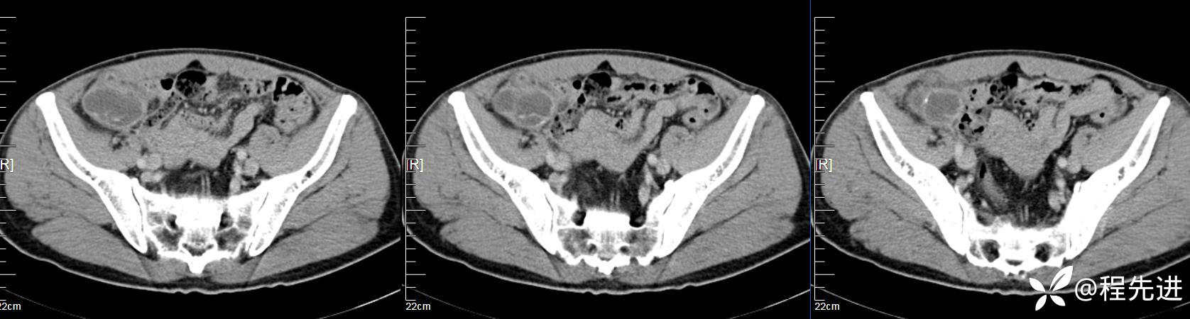
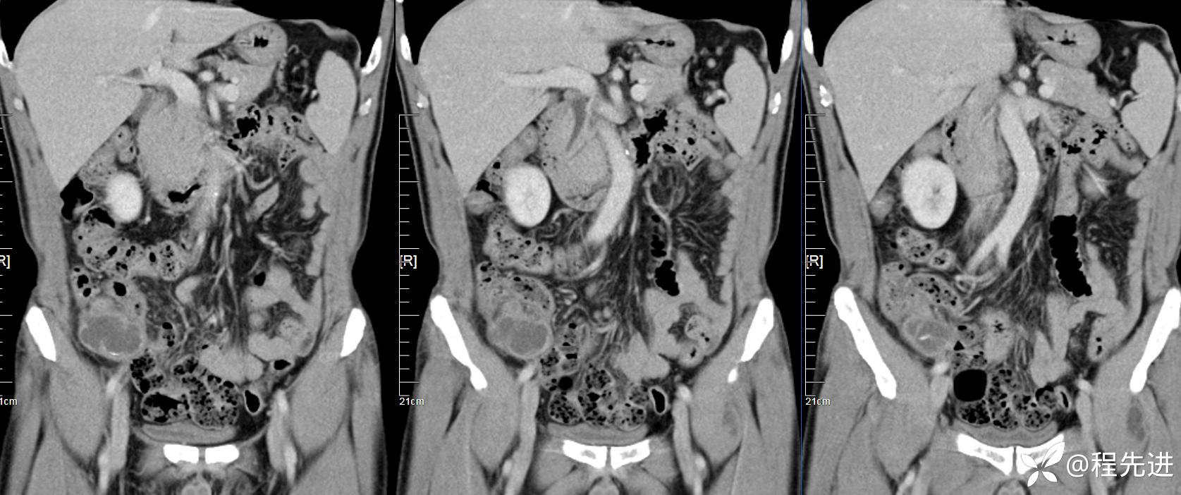
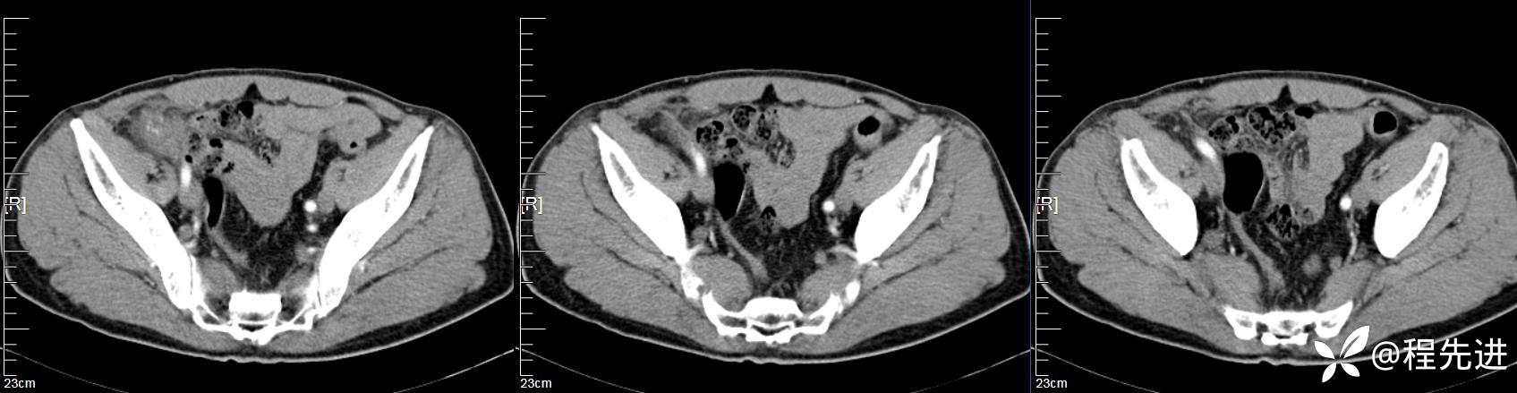
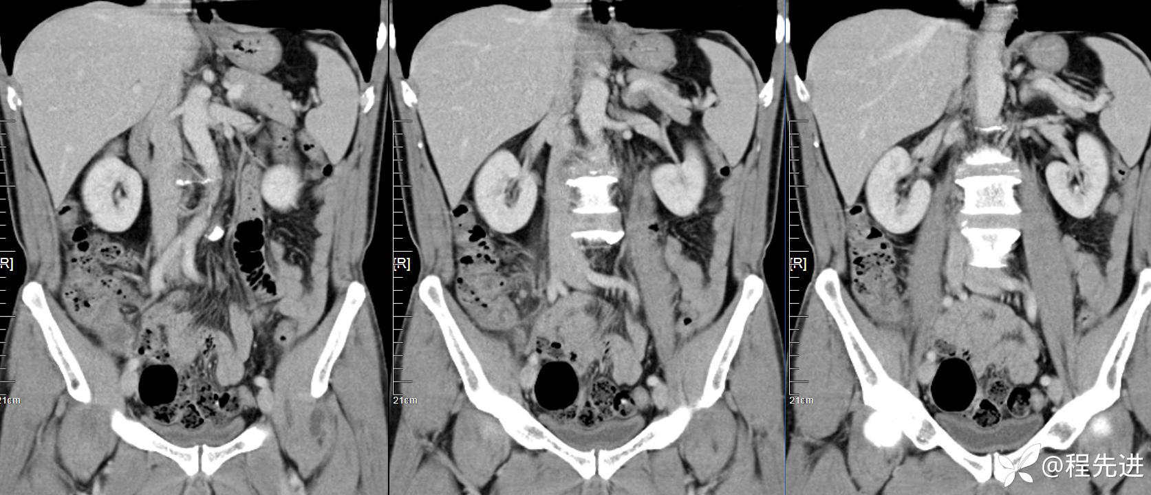
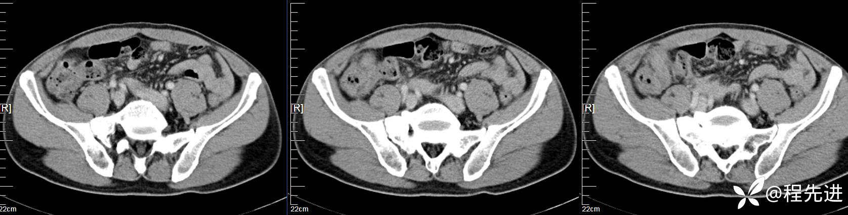
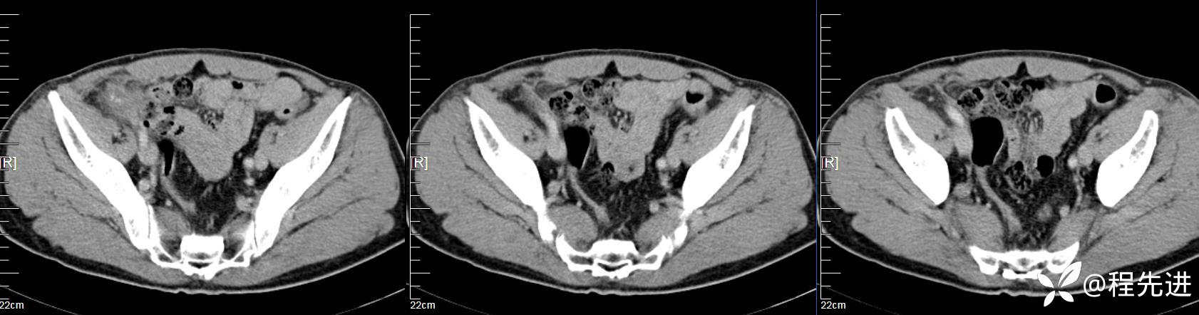
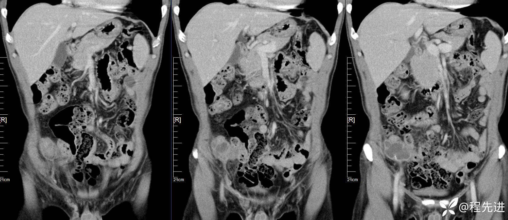
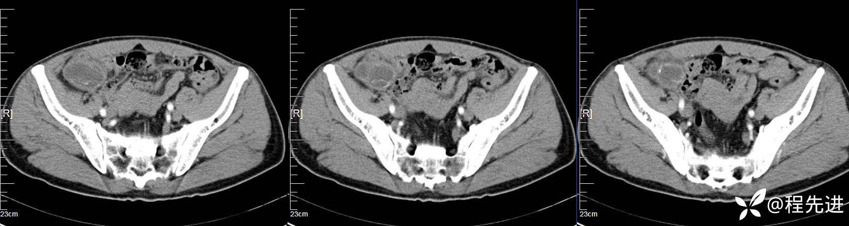
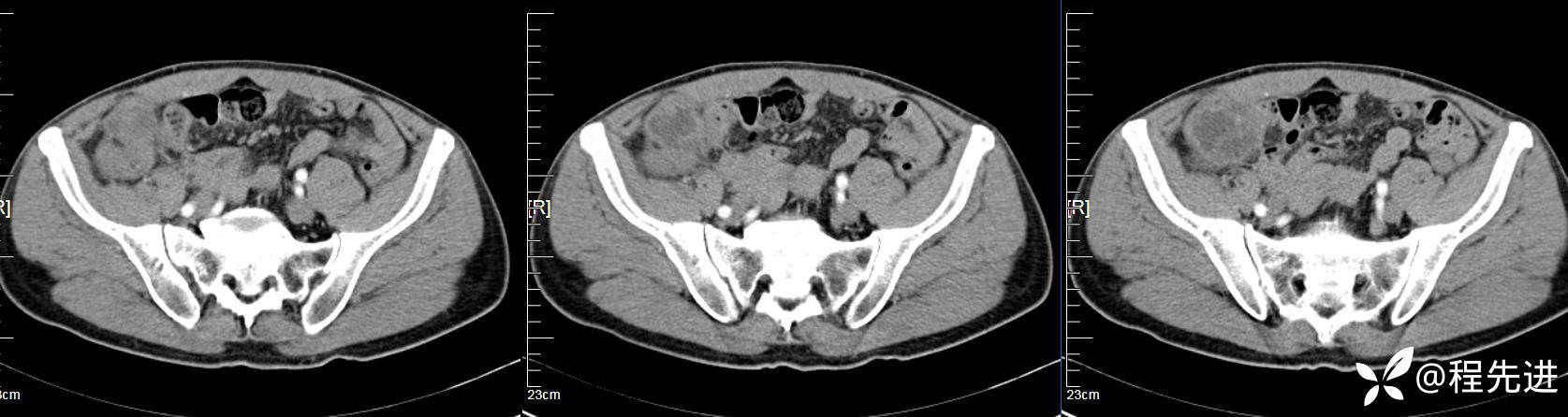
【患者信息】:男,61岁

【现病史及既往史】:右下腹部疼痛伴腹胀2天

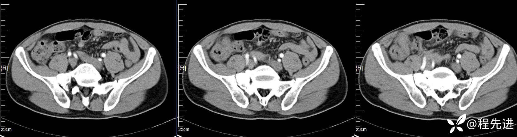
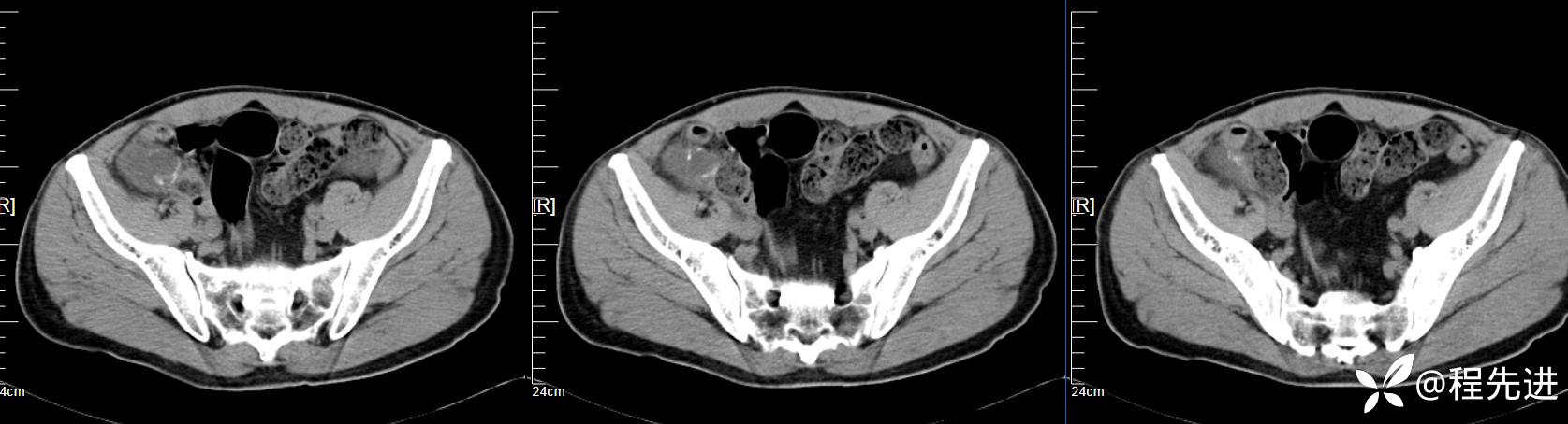
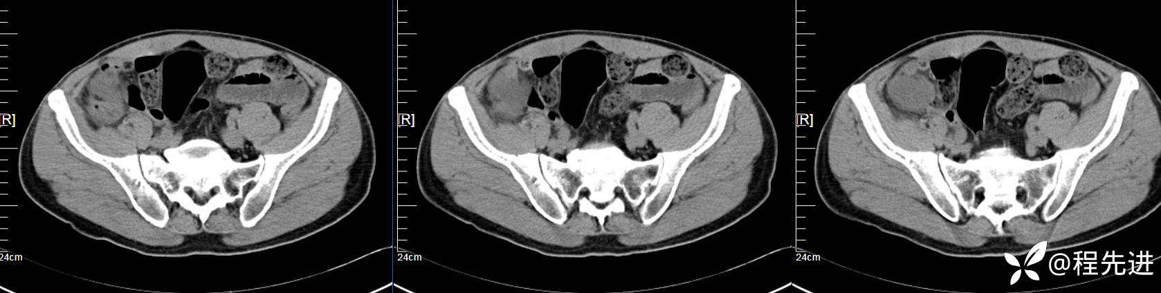
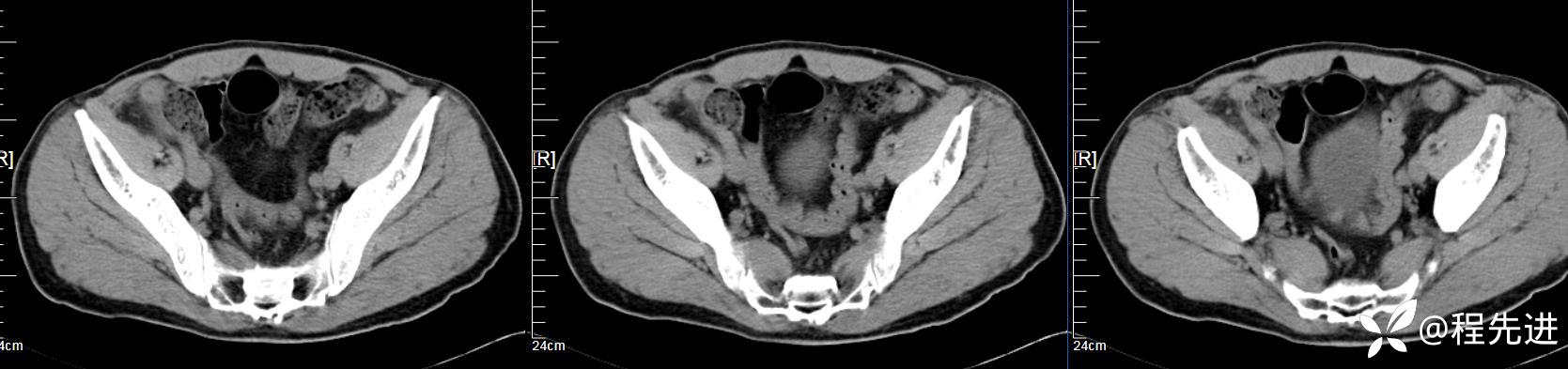
【影像检查】

img


img


img


img


img


img


img


img


img


img


img


img


img


img
该帖还没有疾病标签去添加
33 5 34
同行评议(0)
已评议
不开通精选
开通精选
精选已授权,待上线
评议结果暂未公布
参与评议
去邀请
NaN
病例完整NaN
临床实用NaN
诊疗科学NaN
学术价值NaN

全部讨论(0)

默认最新
avatar
33
分享帖子
share-weibo分享到微博
share-weibo分享到微信
认证
返回顶部