dxy logo
首页丁香园病例库全部版块
搜索
登录

1月特别精彩病例|腹胀10余天,经典病例分享,不要错过哟【病理已公布】

影像核医学版版主 · 发布于 2023-01-14 · IP 江西江西
3398 浏览
推荐、达人点赞 2 项荣誉
这个帖子发布于 2 年零 315 天前,其中的信息可能已发生改变或有所发展。

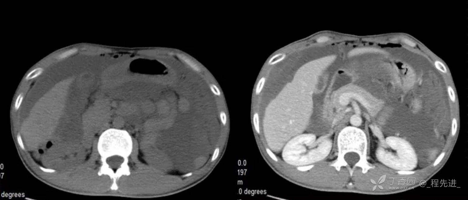
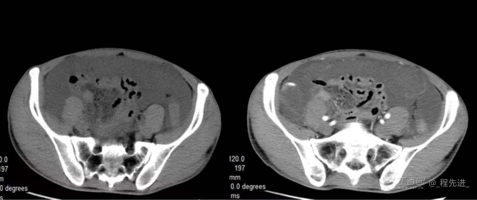
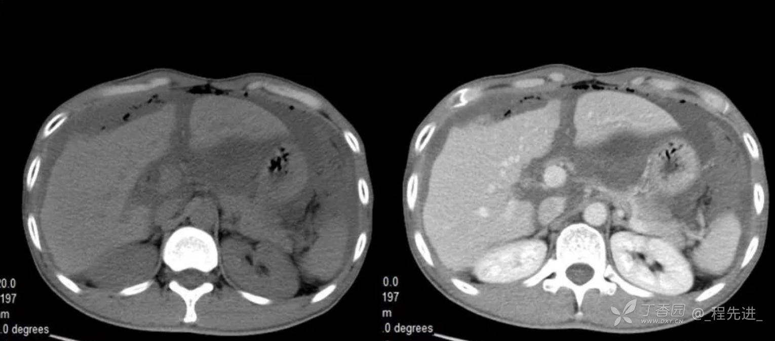
患者性别:男

患者年龄:46岁

主诉:腹胀10余天

现病史:患者10余天前无诱因腹胀,进食后加重,便后缓解,余无特殊

既往史、个人史、婚育史:无特殊


img
img
img
img
img
img
img
img
腹膜假黏液瘤 (5)
纠错
40 5 18
同行评议(0)
已评议
不开通精选
开通精选
精选已授权,待上线
评议结果暂未公布
参与评议
去邀请
NaN
病例完整NaN
临床实用NaN
诊疗科学NaN
学术价值NaN

全部讨论(0)

默认最新
avatar
40
分享帖子
share-weibo分享到微博
share-weibo分享到微信
认证
返回顶部