典型病例149:患者31岁男,间断抽搐27年(结果公布)
患者男性,31岁。
主诉:确诊癫痫27年,间断四肢抽搐1天。
现病史:家属代诉患者于入院前27年无明显诱因出现四肢抽搐,抽搐时四肢呈强直状态,牙关紧闭、双目上翻、呕吐白沫,伴意识不清,呼之不应、问之不答,就诊于外院,诊断“癫痫”明确,给予药物口服抗癫痫,后患者自行停药,未规律口服药物,每间隔1月余患者发作1次,症状同前,于本次入院前1天,患者因淋雨后再发抽搐,每半小时到一小时抽搐1次,每次抽搐持续约2分钟可自行缓解。为求诊治,遂来我院。
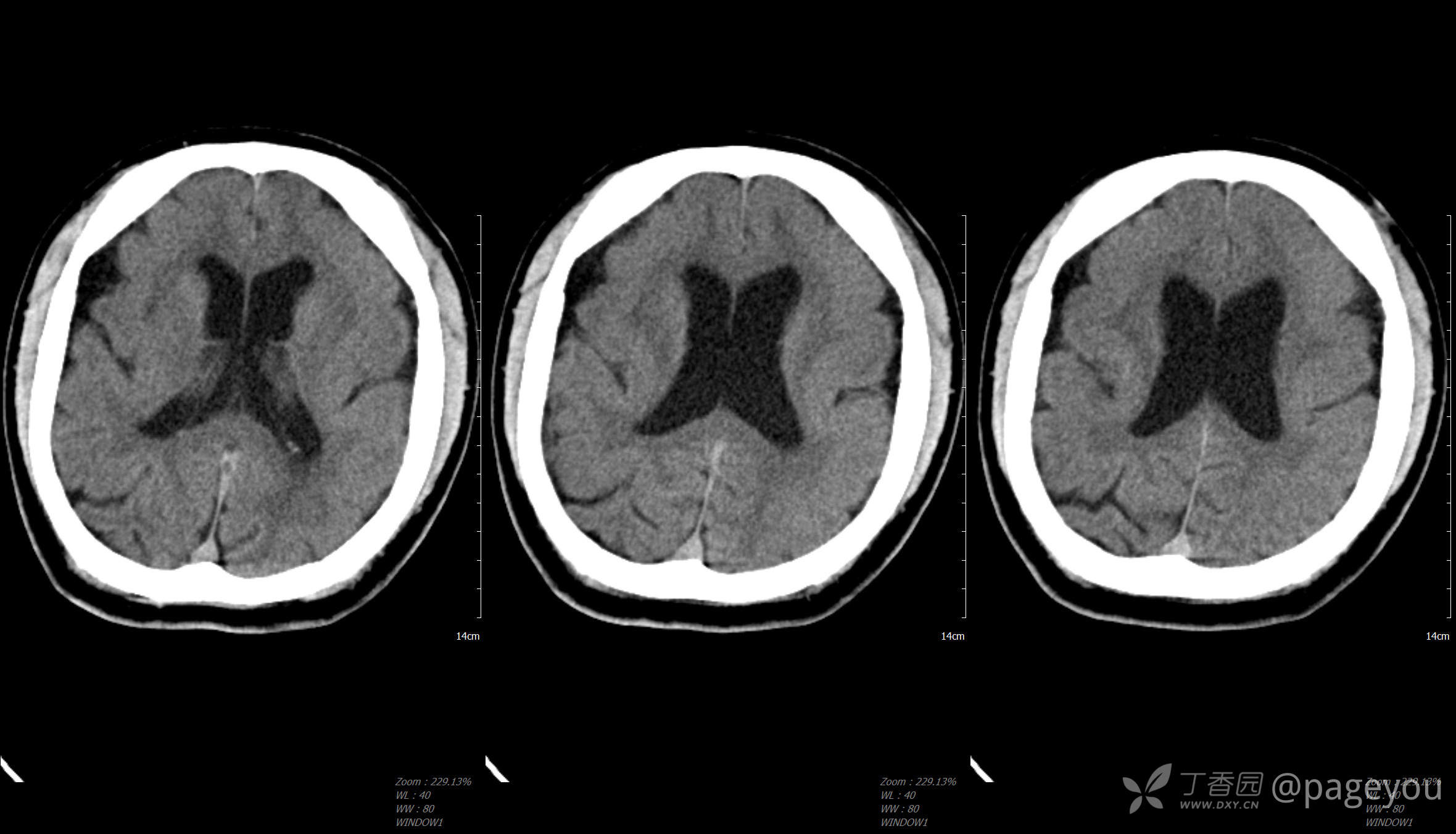
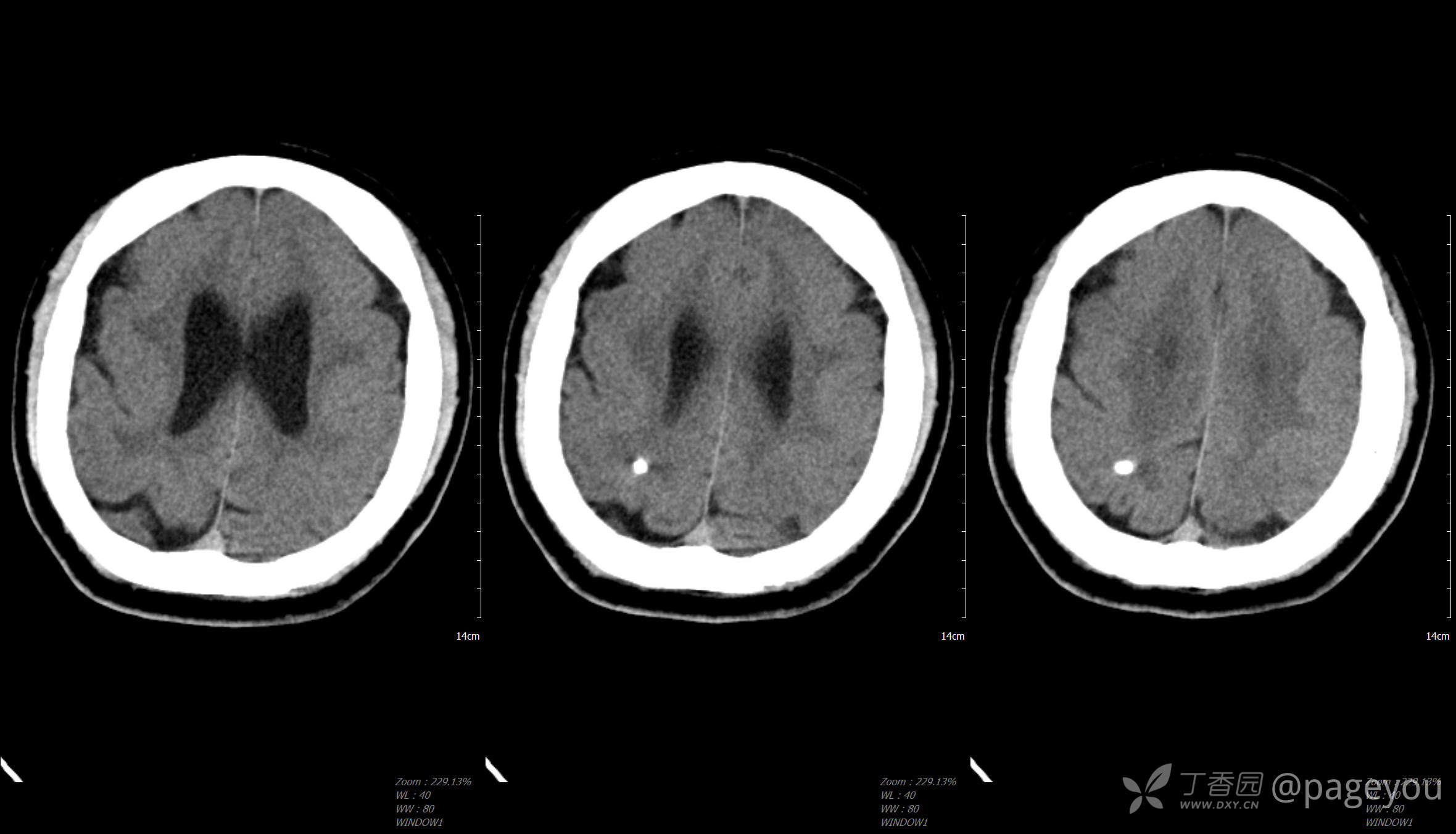
头颅CT:


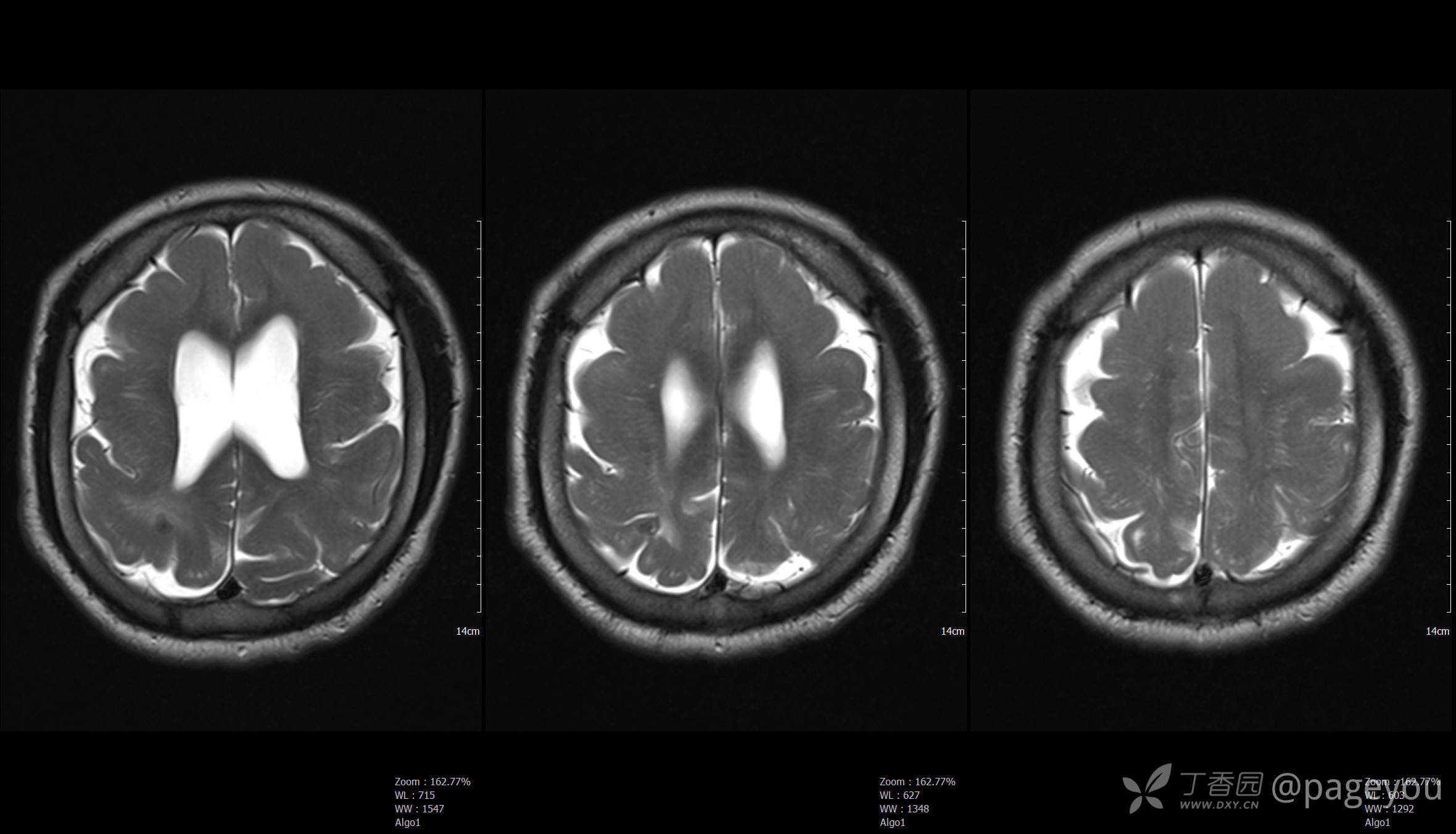
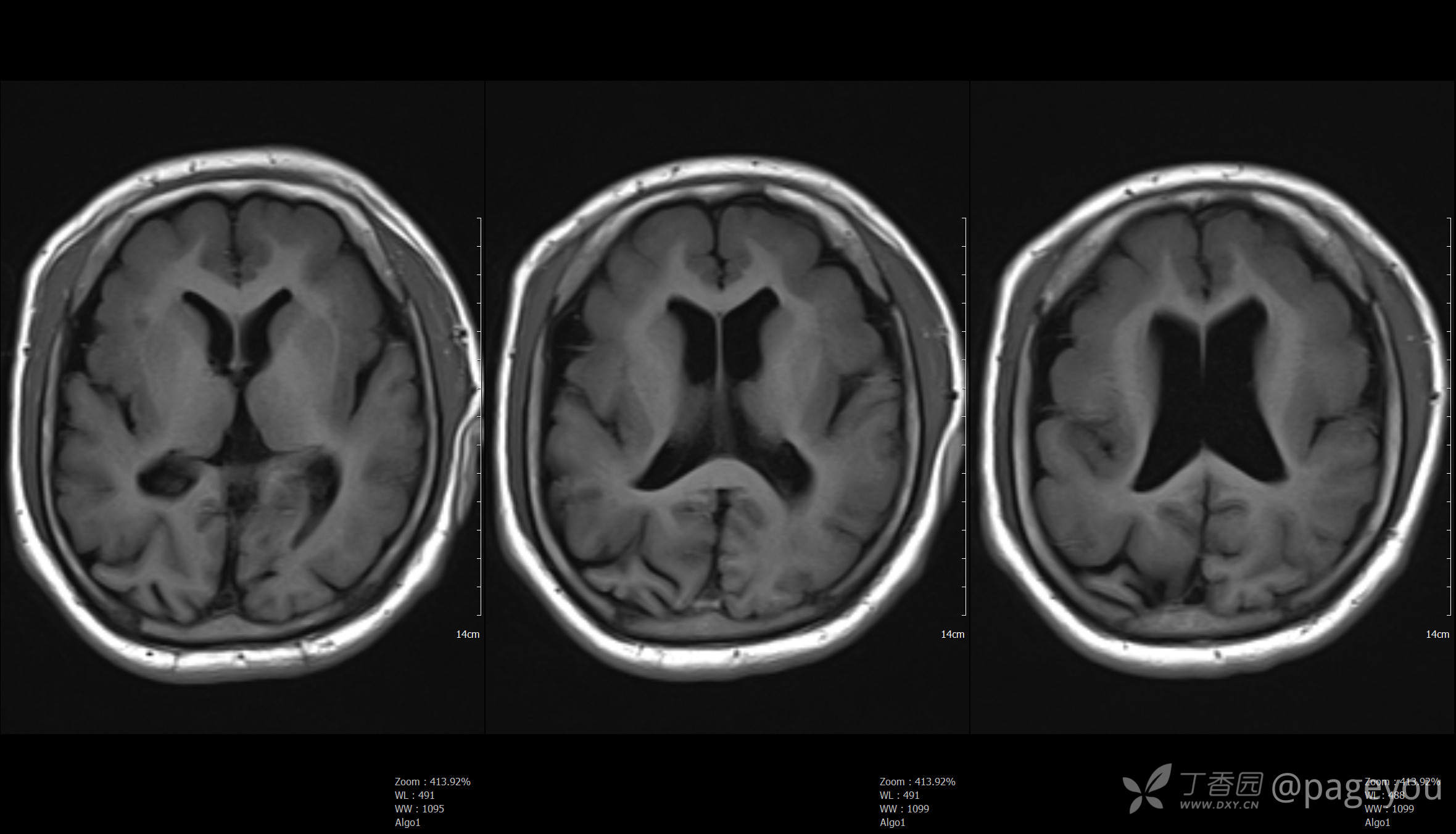
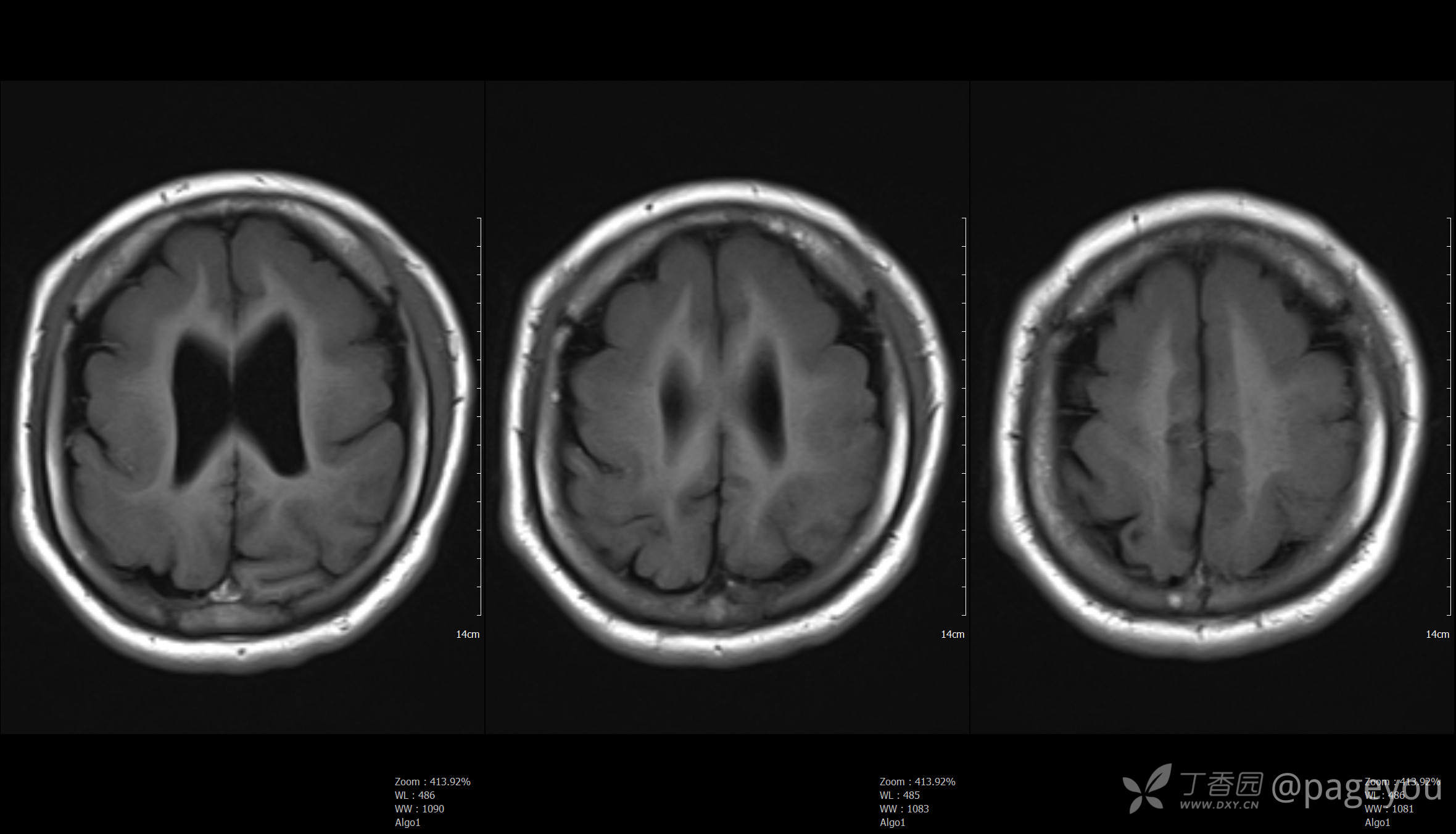
头颅MRI:























































