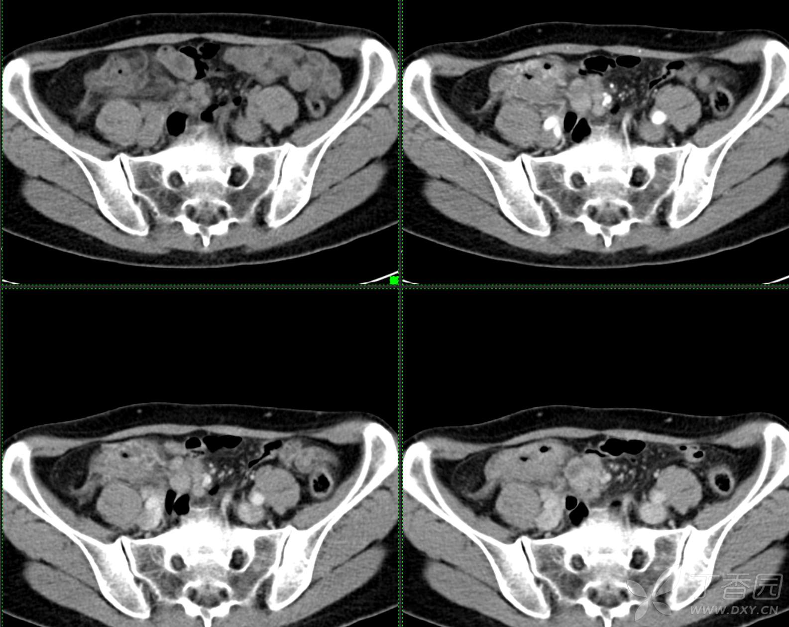
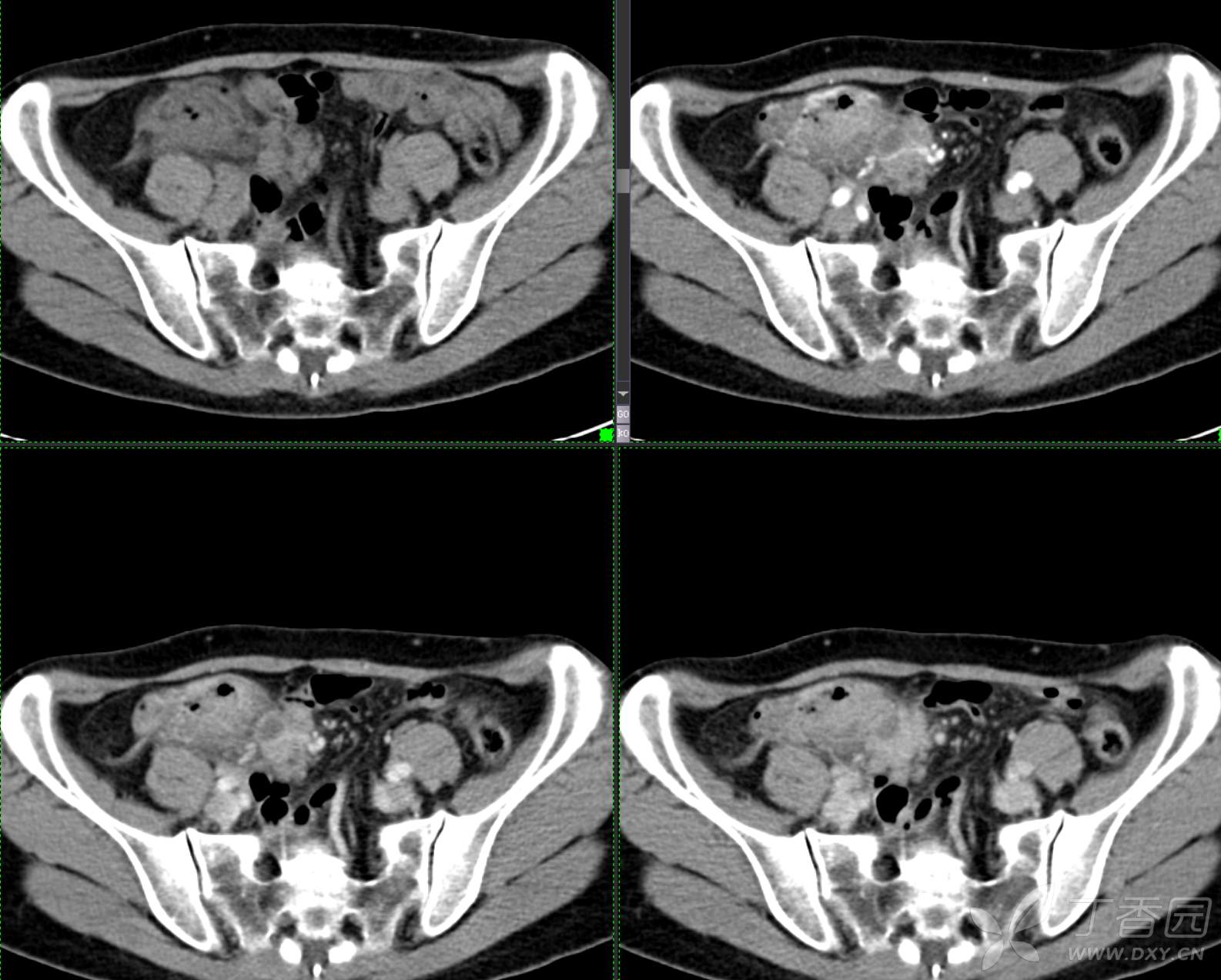
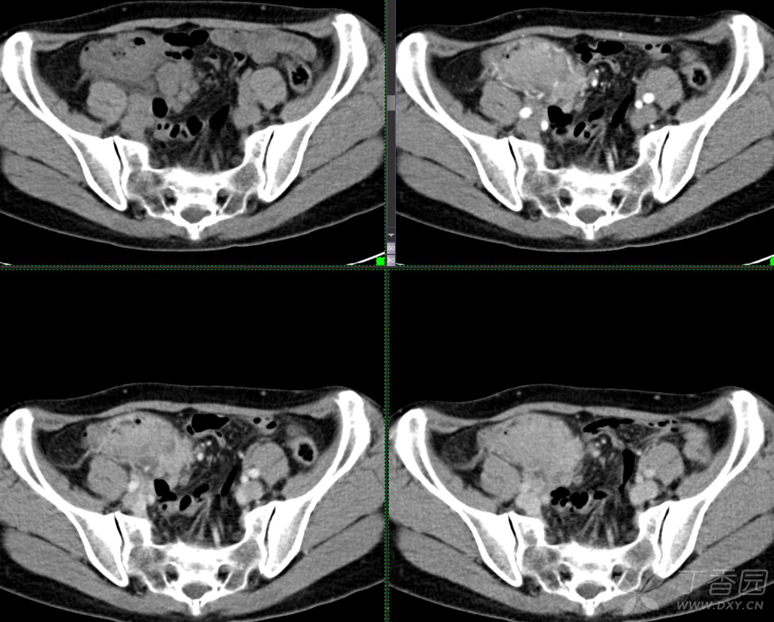
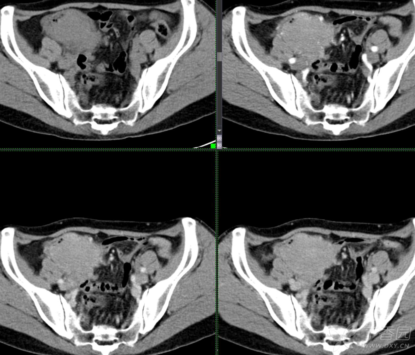
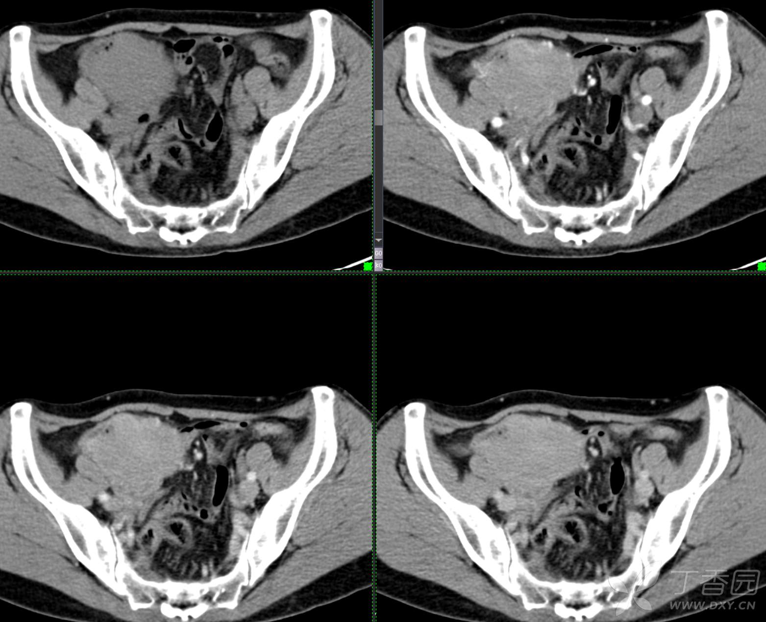
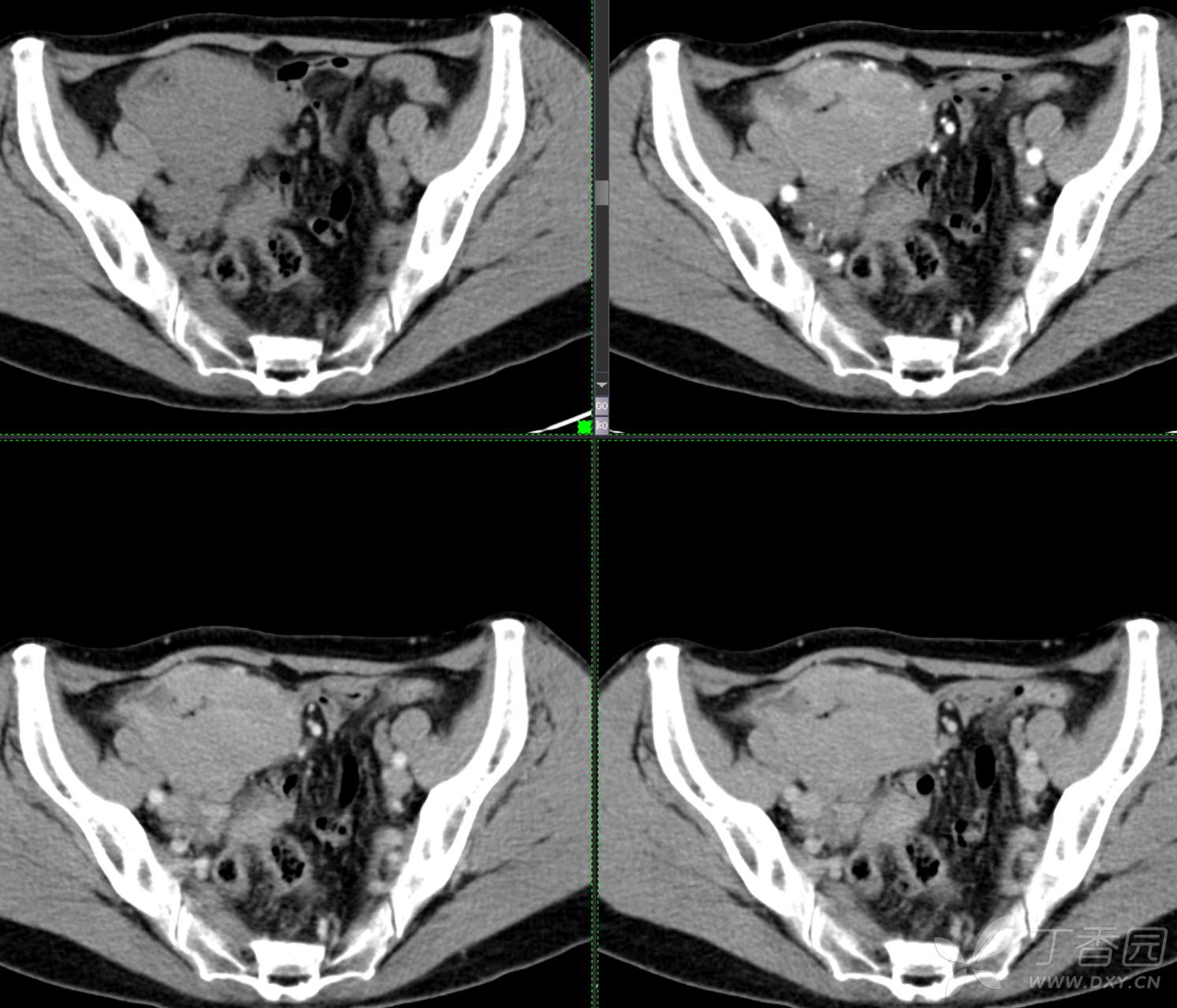
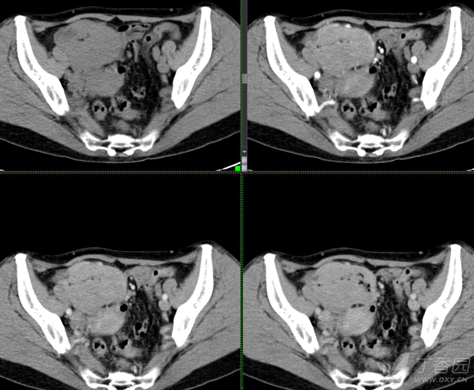
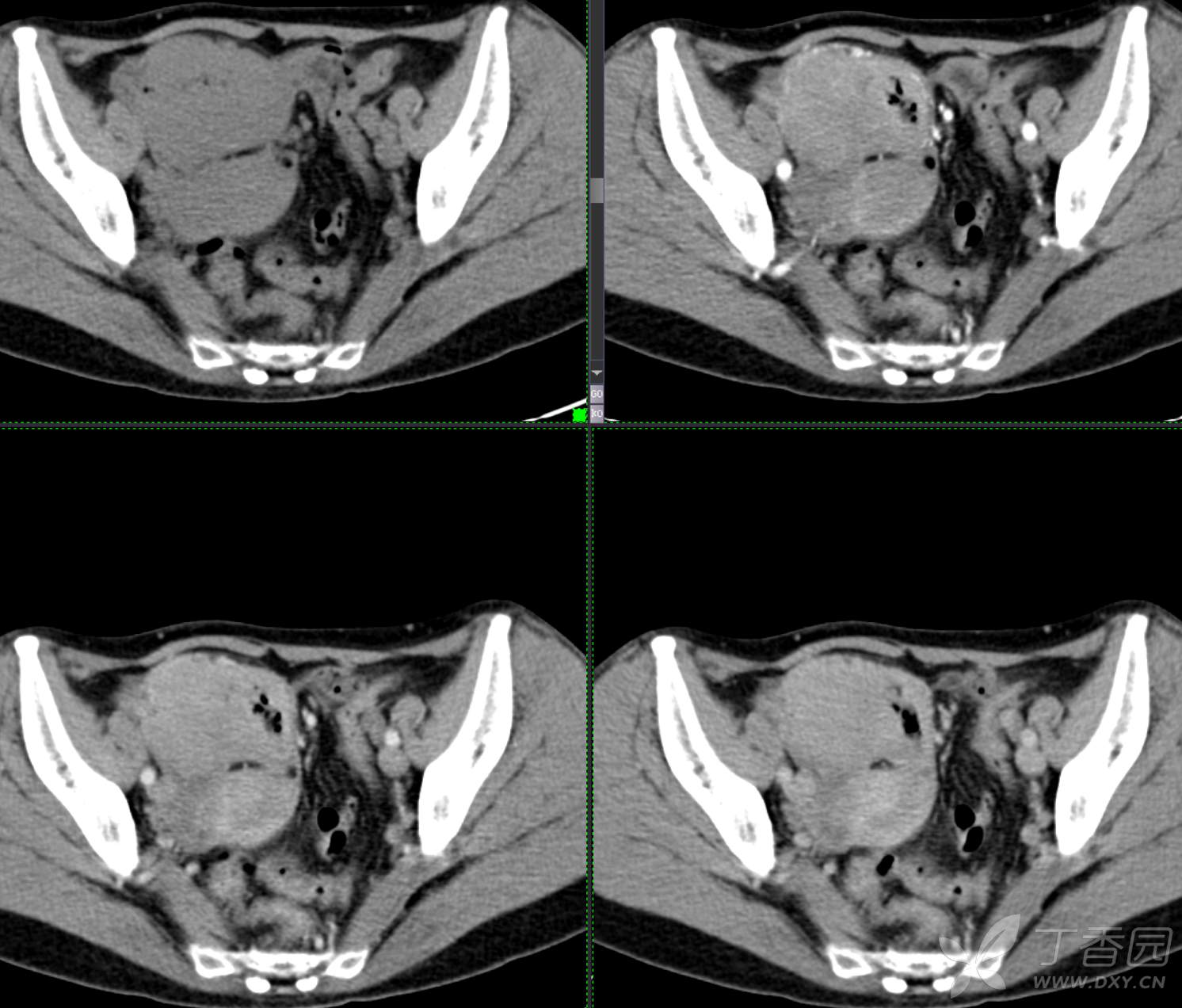
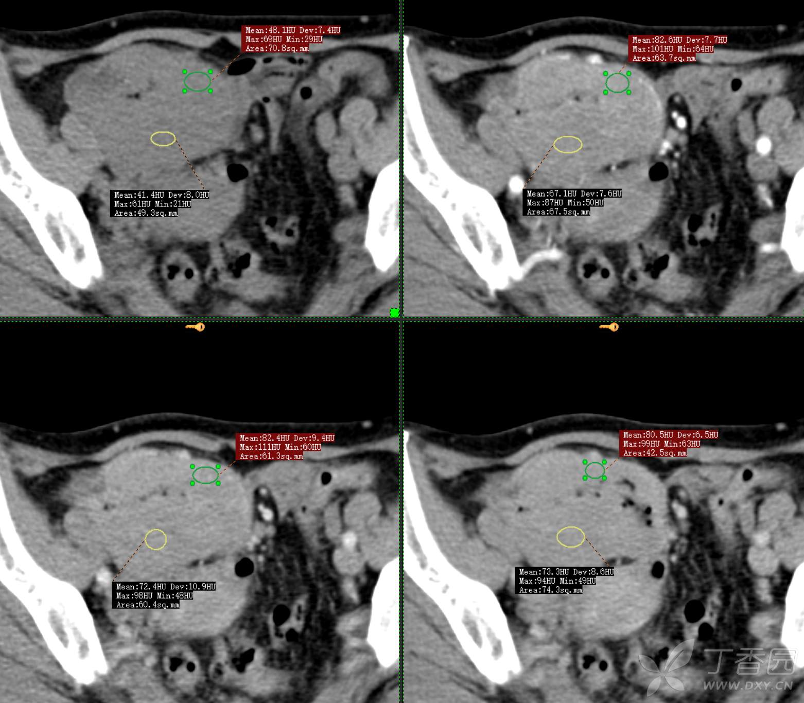
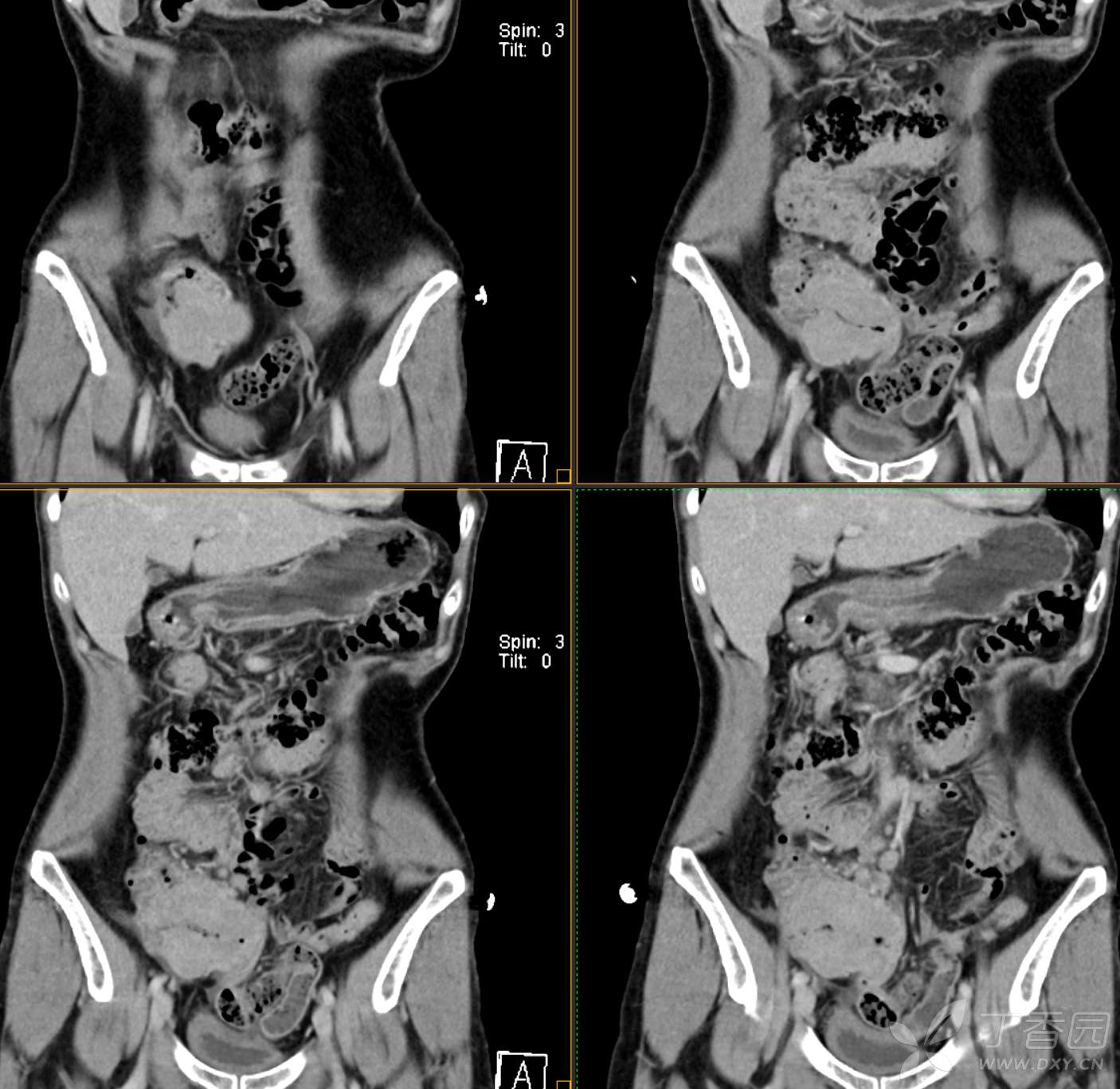
腹组13:患者,女,62岁,大便习惯改变2月余
患者性别:女
患者年龄:62
主 诉: 【大便性状改变2月余】
现病史: 患者2月余前无明显诱因下出现大便次数增多,无明显血便黑便及粘液脓血便,大便次数由1次/日增加至2-3次/日,大便形状变细如小指,偶稀软不成形,无腹痛腹胀腹泻,无恶心呕吐、胸闷气促,肛门排气通畅,无发热盗汗。至当地医院就诊,行肠镜检查发现"回盲部占位"。为进一步治疗,我院门诊拟"回盲部肿瘤"收住入院。
病来,患者神志清,精神可。食欲、睡眠一般,大便如上述,小便如常,近3月来体重减轻2.5kg。



























































