【腹盆】特别精彩病例|腹胀2周余
胡志勇HZY 等 2 位达人已点赞病例信息
患者性别:女
患者年龄:15岁
主诉:腹胀2周余
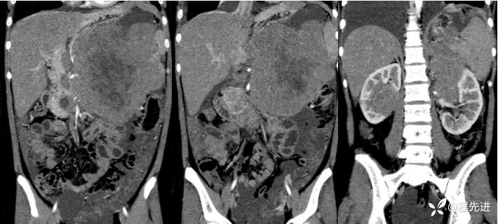
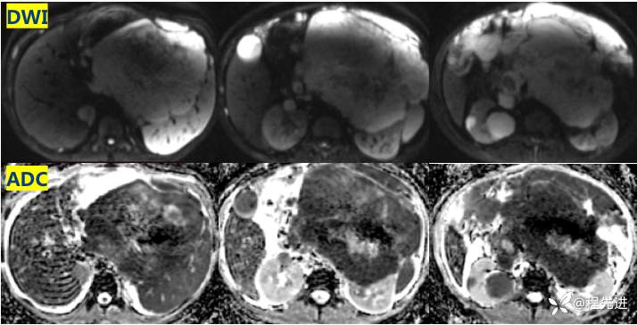
现病史:患者2周余前无明显诱因出现上腹部腹胀,无恶心呕吐等不适,于当地诊所就诊,服用中药一周,症状无好转,后于当地医院就诊,外院检查提示腹腔占位,伴肝占位,为求进一步诊治,来我院就诊。
实验室检查:
r-谷氨酰转肽酶 73 U/L,谷草转氨酶 117 U/L,乳酸脱氢酶 10962 U/L,淀粉酶 163 U/L,脂肪酶279.9 U/L。
肿标--CA125:4485.1;NSE:340.9;B-HCG: 5.3
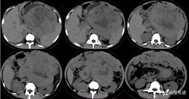
CT平扫:

增强早期:

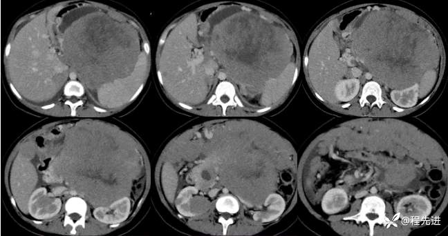
增强晚期:

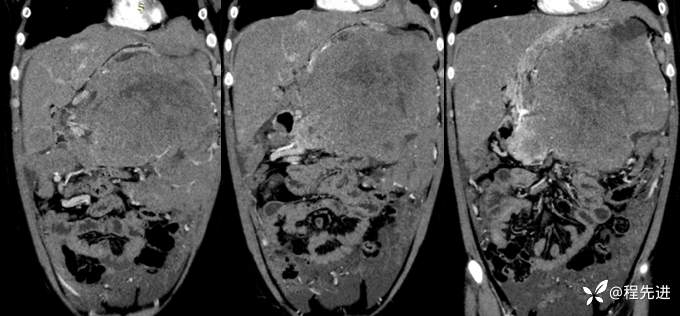
冠状位:


T1、T2:




期待您的点赞支持!
期待您的精彩解读!















































