【腹盆】特别精彩病例|腹胀伴劳累性胸闷1月
李梦杰huxi 等 3 位达人已点赞病例信息
患者性别:女
患者年龄:56岁
简要病史:腹胀伴劳累性胸闷1月
肿标:CA125: 546.99U/ml;CA199: 269.9 U/ml,余未见异常
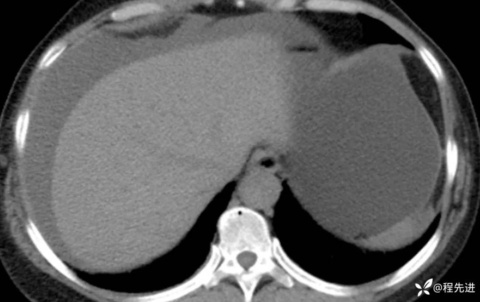
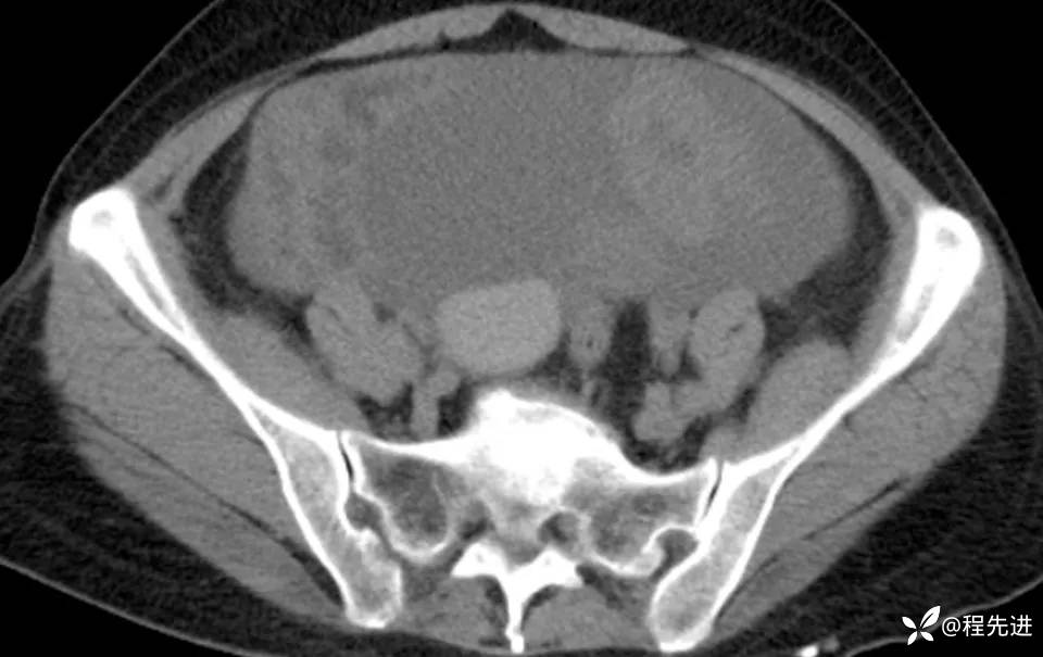
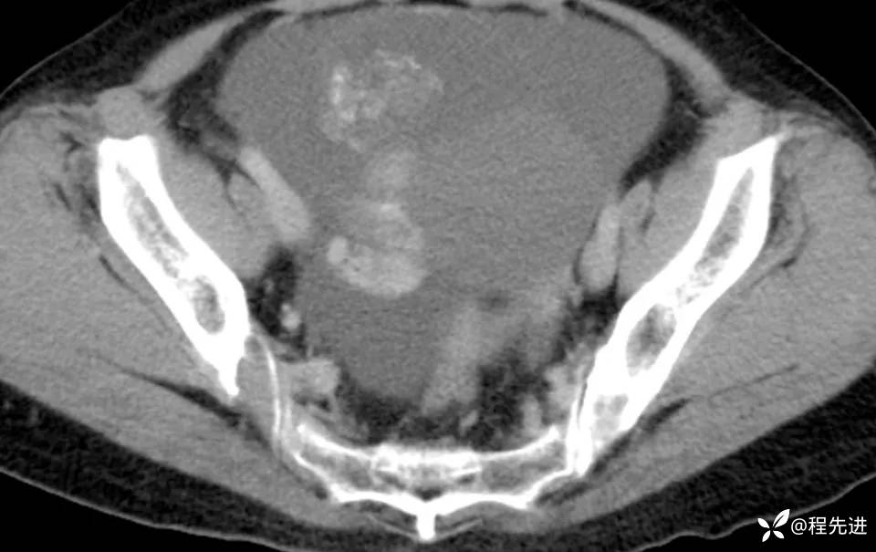
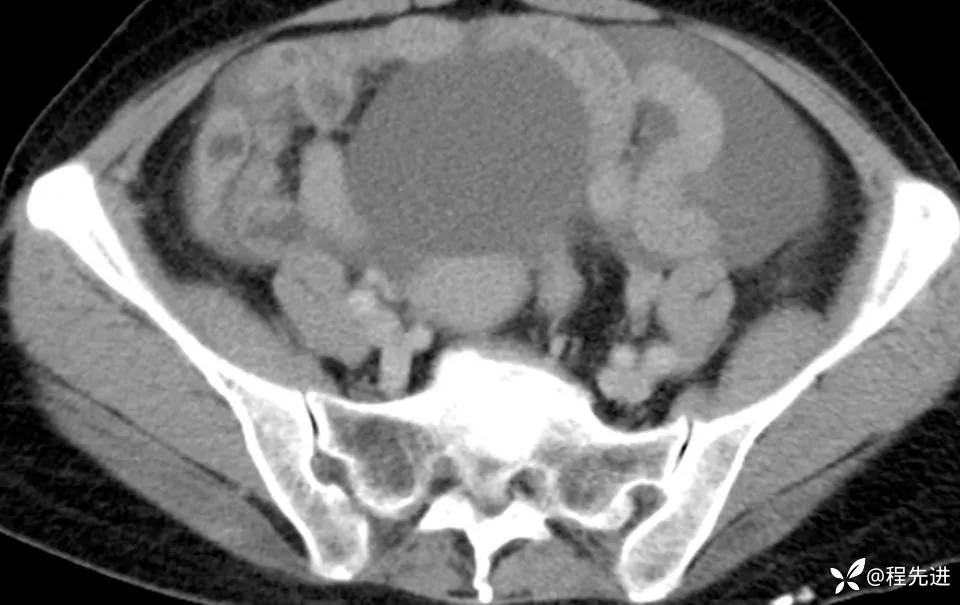
CT平扫+增强:





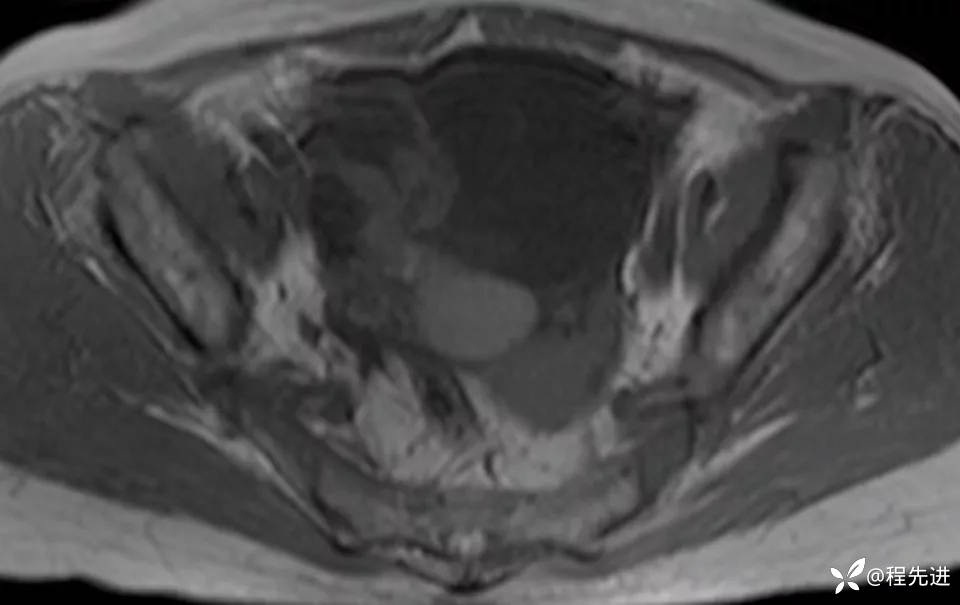
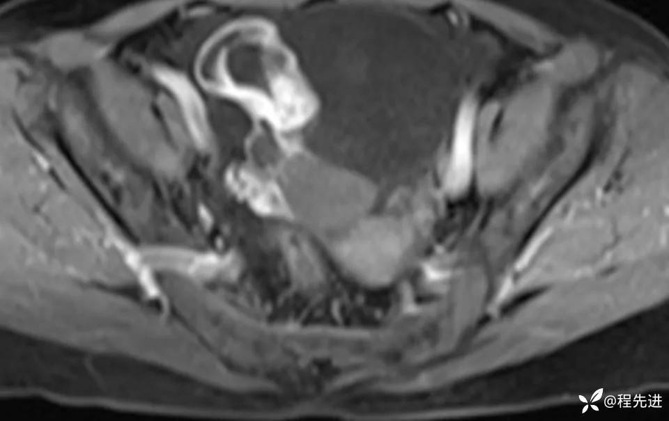
MRI平扫+增强:






期待您的点赞支持!
期待您的精彩解读!
李梦杰huxi 等 3 位达人已点赞病例信息
患者性别:女
患者年龄:56岁
简要病史:腹胀伴劳累性胸闷1月
肿标:CA125: 546.99U/ml;CA199: 269.9 U/ml,余未见异常
CT平扫+增强:





MRI平扫+增强:






期待您的点赞支持!
期待您的精彩解读!
