老年男性,腹胀一周。胃脾胰间巨块占位,定位是关键,如何分析---结果公布~
患者性别:女
患者年龄:58岁
主诉:腹胀1周
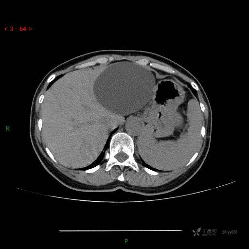
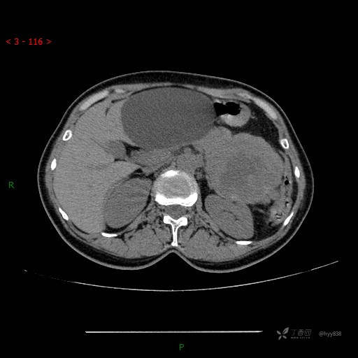
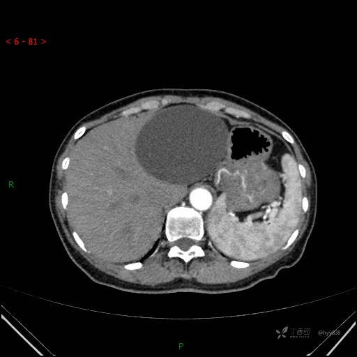
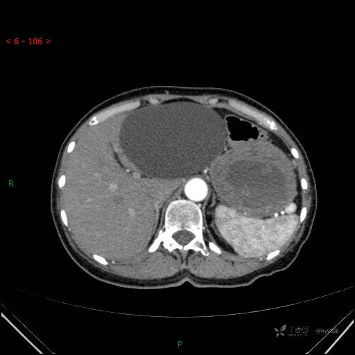
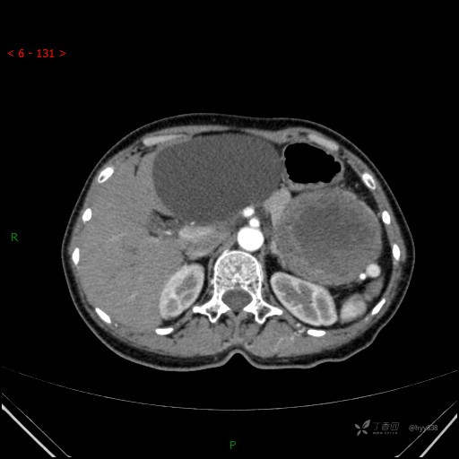
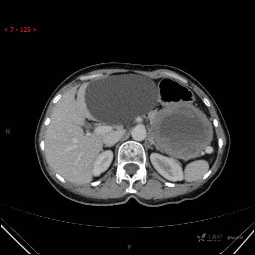
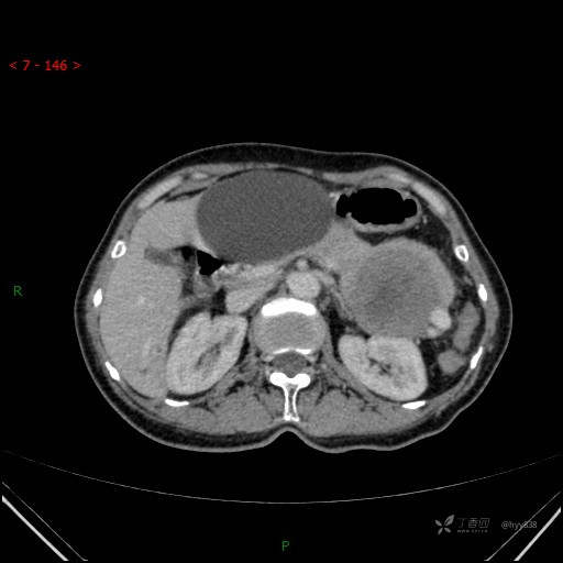
简要病史:患者于1周前无明显诱因出现间断性腹胀,无发热,呕吐,寒颤,食欲欠佳,无皮肤巩膜黄染,大小便正常。遂于我院行上腹部CT增强示:胃及胰腺区域占位,考虑肿瘤性病变;肝内多发囊肿;右肾囊肿,左肾错构瘤;今为求进一步治疗来我院,门诊以“肝内多发囊肿”收住院。 起病以来,患者神清,精神、饮食、睡眠可,大小便正常,体力体重无明显下降。
体格检查:(-)
辅助检查:CT
临床诊断:腹腔占位
治疗经过:手术
讨论:病变起源和性质?
腹部CT平扫







增强动脉期







增强静脉期




















































