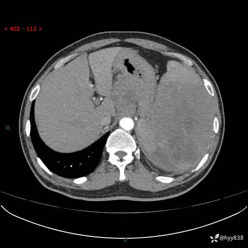
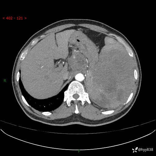
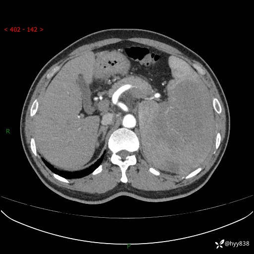
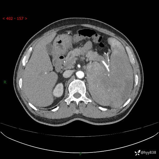
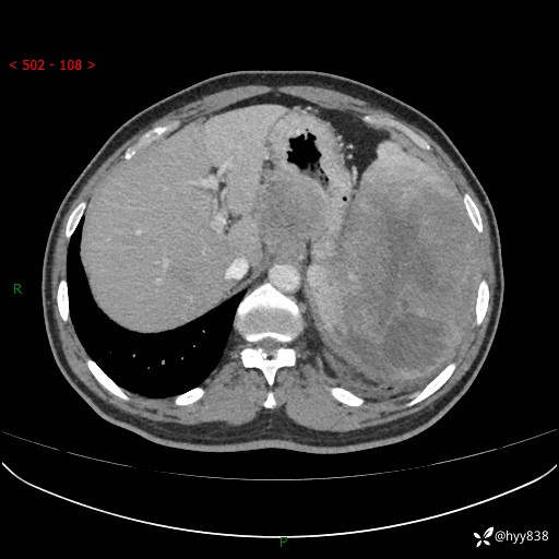
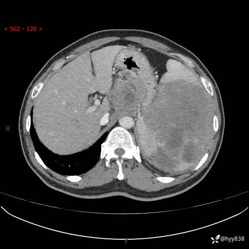
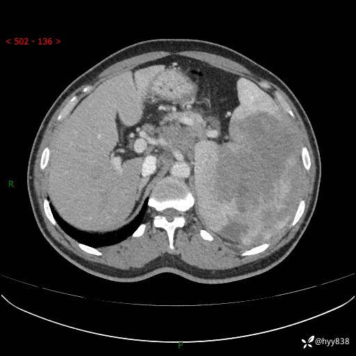
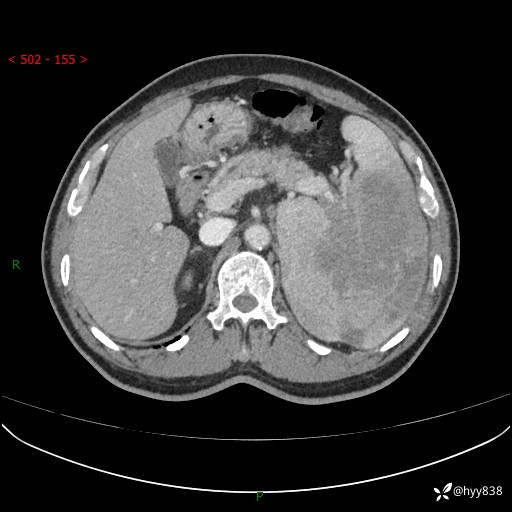
老年男性,腹痛伴腹胀2月。脾脏巨大占位,淋巴瘤 VS 肉瘤 VS 转移瘤--结果公布
华夏览雄 等 2 位达人已点赞病例信息
性别:男
年龄:58岁
主诉:腹痛伴腹胀2月
现病史:患者自诉2024年2月无明显诱因下出现剑突下隐痛,进食后加重,伴腹胀、夜间盗汗,当时无畏寒、发热、胸闷、胸痛、气促、恶心、呕吐、腹泻、皮肤巩膜黄染,自行口服布洛芬片1片止痛治疗(口服20余天)后腹痛减轻。后腹胀逐渐加重,4月12日患者早餐时突然出现剑突下剧烈疼痛,放射至后背,伴恶心、呕吐、大汗淋漓、呼吸困难,呕吐为胃内容物,无畏寒、寒战、发热、头晕、头痛、胸闷、胸痛、意识丧失,遂立即至当地第五人民医院住院,心电图、心肌酶未见明显异常,腹部CT示脾脏占位性病变、腹膜后淋巴结增大,予抗感染、解痉止痛等对症治疗,仍有明显腹胀。现为求进一步诊治前来我院门诊就诊,拟“脾脏占位?”收入我科。 自起病,患者食欲差,精神、睡眠可,二便正常,体重下降3kg左右。
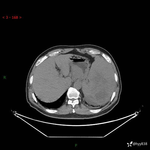
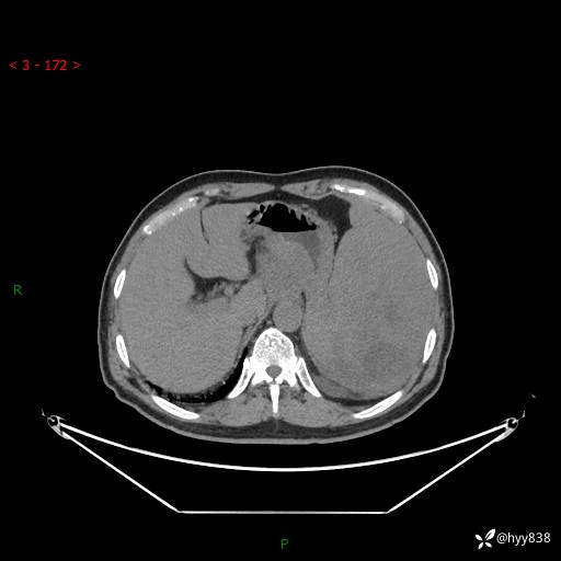
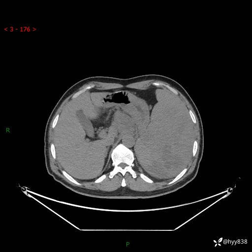
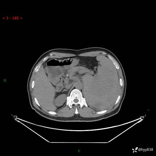
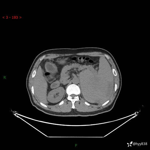
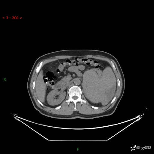
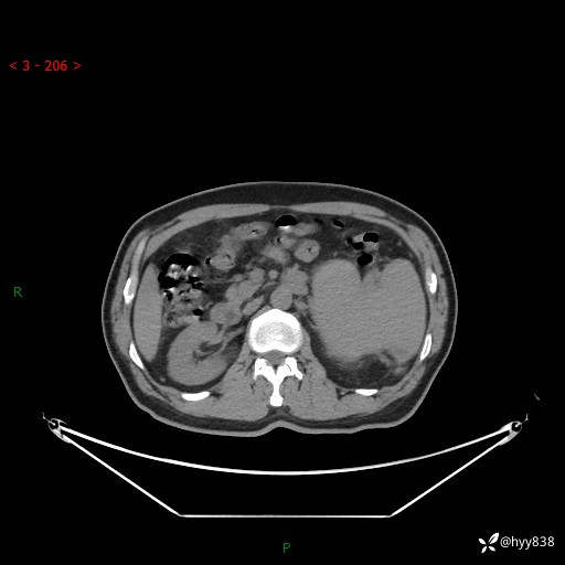
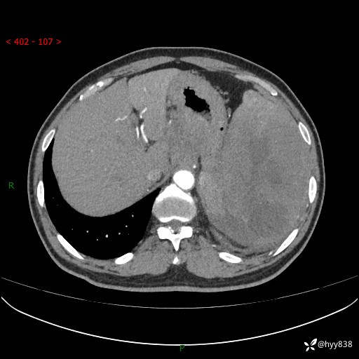
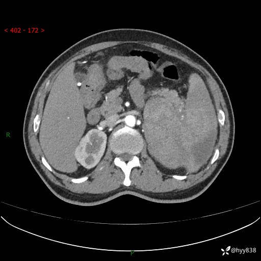
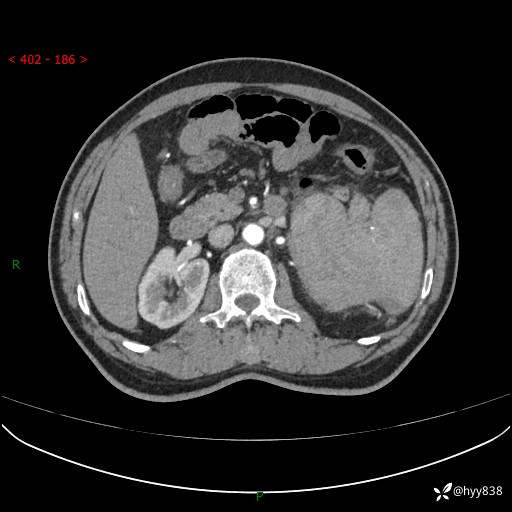
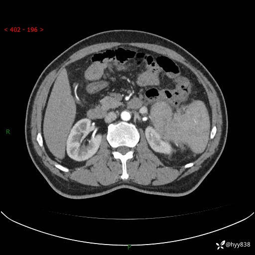
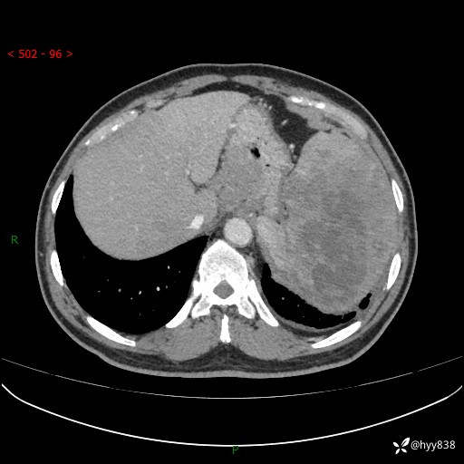
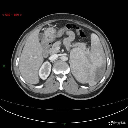
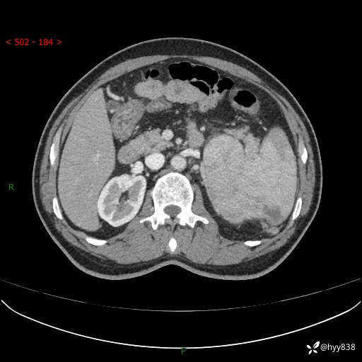
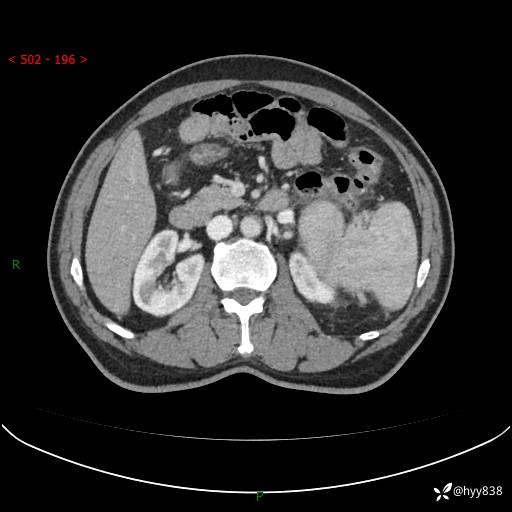
上腹部CT平扫







增强(动脉期+静脉期)
































































