老年男性,发现肺部结节10余天。工作中经常碰到,等你慧眼--结果公布
华夏览雄 等 2 位达人已点赞病例信息
性别:男
年龄:57岁
主诉:发现肺部结节10余天
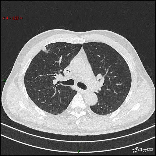
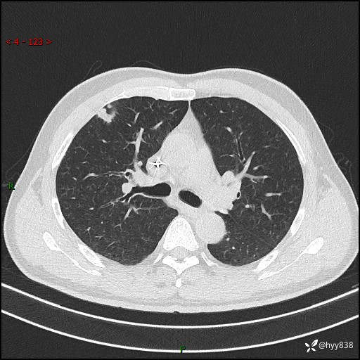
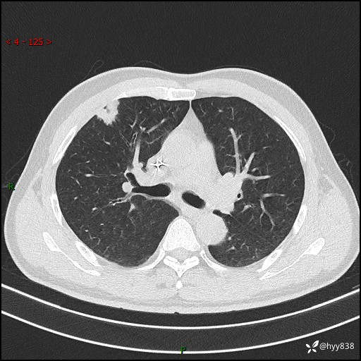
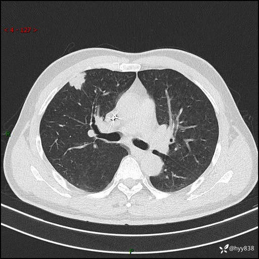
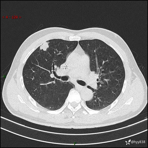
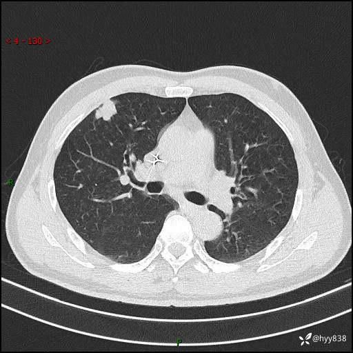
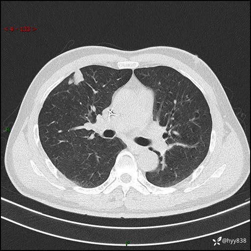
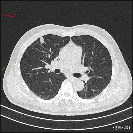
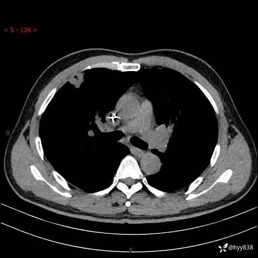
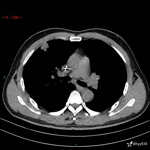
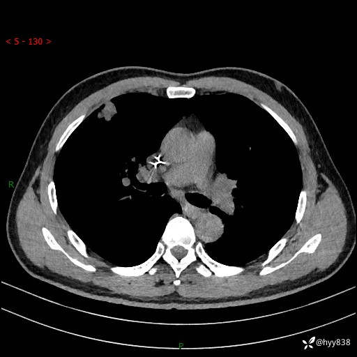
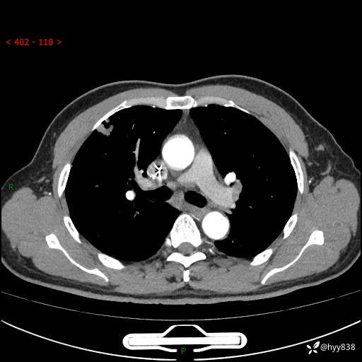
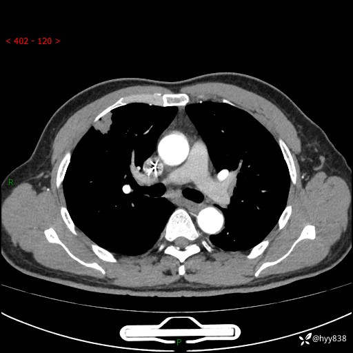
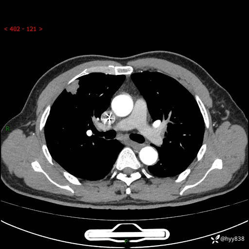
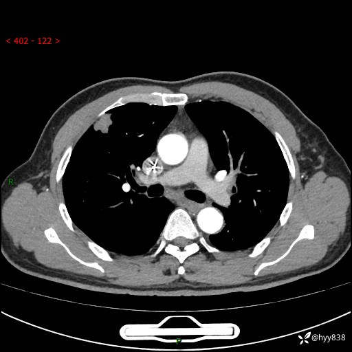
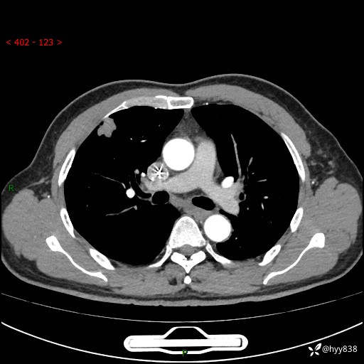
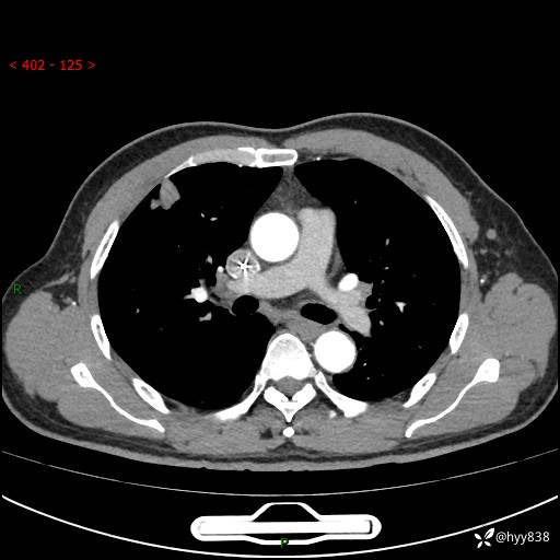
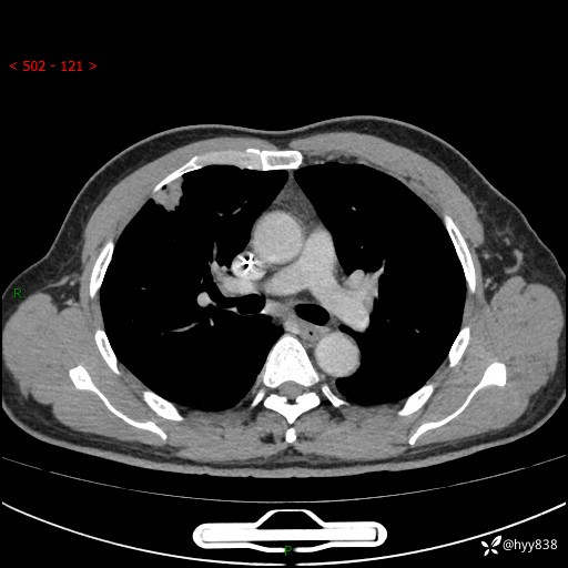
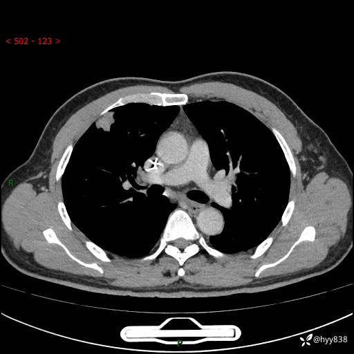
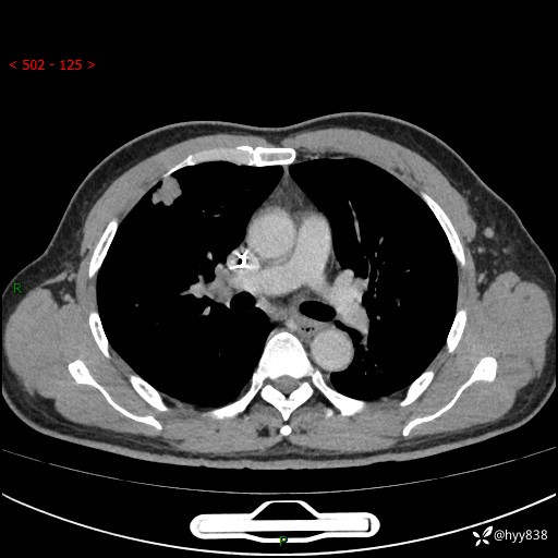
现病史:者10余天前因胸闷就诊于我院心血管内科,行胸部CT提示右肺上叶结节(24mm×16mm),考虑肿瘤性病变可能。无畏寒、发热、盗汗,无咳嗽咳痰,无咯血,无胸痛,无呼吸困难等不适,未予特殊处理。今为求进一步诊治,前来我院就诊,门诊以“肺结节待查”收住入院。 患者自起病来精神、食欲、睡眠尚可,体力下降,体重无明显变化。
胸部CT平扫+增强





































































