51岁/女,腹痛腹胀1天。白班偶遇,收藏教学备用---(公布详细手术过程)
华夏览雄 等 2 位达人已点赞病例信息
性别:女
年龄:51岁
主诉:腹痛腹胀1天
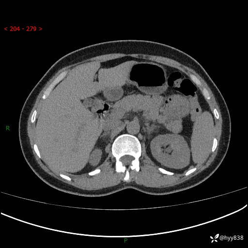
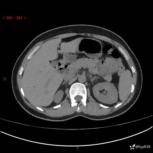
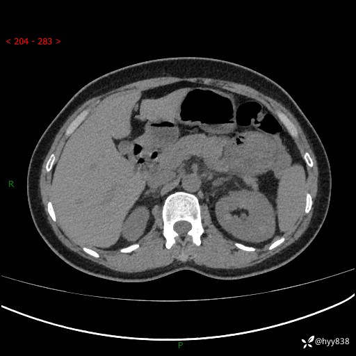
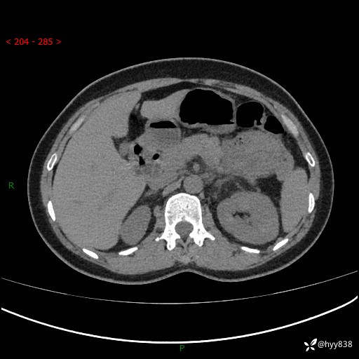
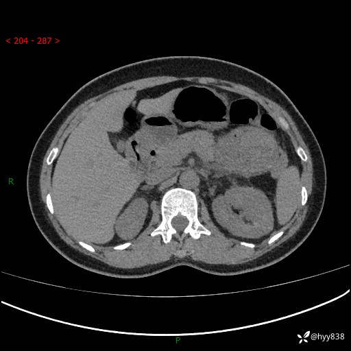
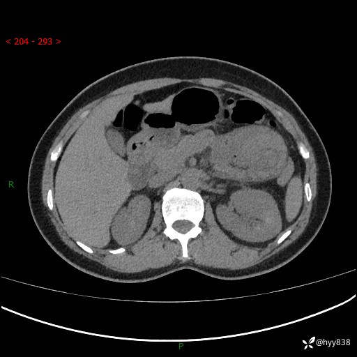
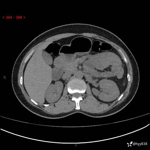
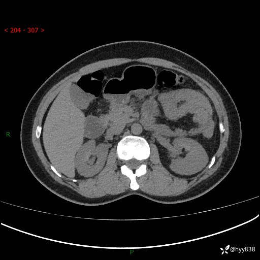
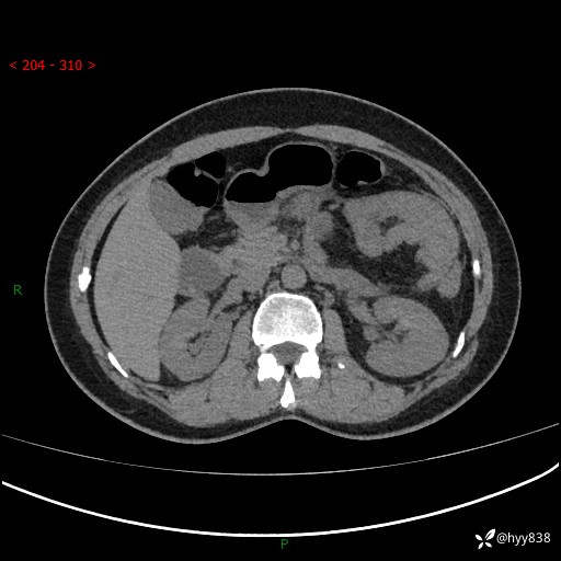
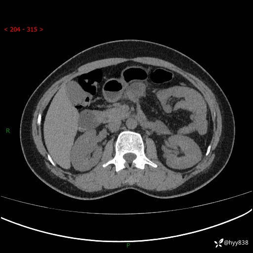
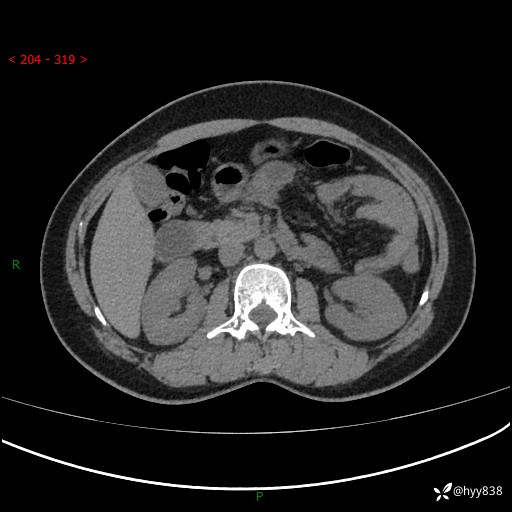
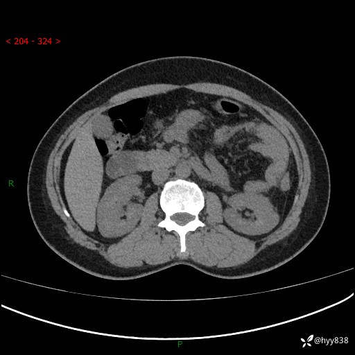
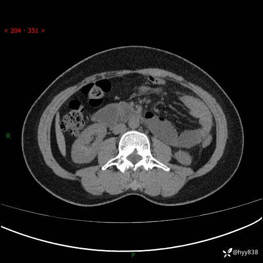
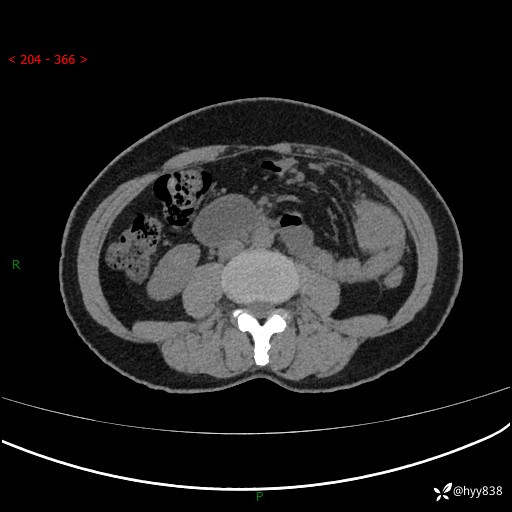
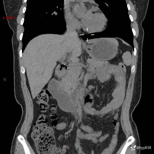
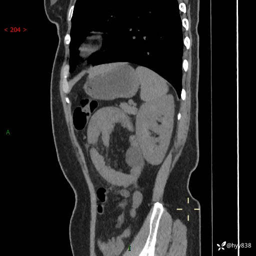
现病史:患者1天前无明显诱因下出现左上腹部及腰背部胀痛不适,阵发性加剧,伴肛门停止排气;无发热,无恶心呕吐,无畏寒发热,无心慌气短等不适,于当地市第二人民医院就诊,行腹部ct检查提示左上腹区肠系膜血管从剧聚集,分布紊乱伴肠管局限性稍扩张积液,不完全性肠梗阻;考虑子宫颈纳氏囊肿,双侧附件区囊状灶;予以抗炎及对症支持等治疗后未见明显缓解,现患者为求进一步治疗来我院急诊就诊,遂以“肠梗阻”收住入院。 病来,神志清,精神可,饮食睡眠不佳,经灌肠后排便2次,小便正常,体力体重无明显变化。
上腹部CT平扫





































































