中年男性,病情进展迅速,一周成“白肺”,受邀参加全院讨论(结果公布)
患者性别:男
患者年龄:48岁
主诉:咳嗽、气短11月余,加重伴发热10余天
简要病史:患者于2022年06月无明显诱因出现咳嗽,发热,未测体温,伴胸闷、气短,无咳痰、胸痛、咯血等,自行口服消炎药(具体不详)后症状无明显好转,并逐渐加重,为求诊治遂来我院就诊,完善相关检查后考虑“间质性肺炎 结缔组织疾病”,因病情复杂患者出院并于6月7日就诊于上级医院,诊断为:“急性间质性肺炎 结缔组织病(干燥综合征)”,后患者口服“吡非尼酮、强的松、乙酰半胱氨酸及复方甘草酸苷”治疗。患者口服“吡非尼酮”后出现全身酸痛,半年前停服。现患者口服强的松1片/次,已维持2个月,自2022年09月开始每半月予以环磷酰胺治疗,至今已输注10次,2023年04月10日予以最近一次环磷酰胺治疗。1周前患者无明显诱因再次出现低热,并有呼吸困难症状加重,于我院住院诊治1天后建议转上级医院进一步诊治,遂于04-18于上级医院进一步诊治,家属诉住院期间仍发热,最高体温达39℃,予以抗感染等对症治疗,另加用尼达尼布抗纤维化治疗。后于04-28出院。患者昨日夜间再次出现发热,最高达38℃,伴稍活动后气短加重,伴咳嗽、咳白色黏痰,伴食欲差,无畏寒寒战、胸痛、咯血、无反酸、恶心、呕吐,无腹痛、腹泻等不适。现为求进一步诊治门诊收治我科。 患者本次起病来精神、食欲、睡眠差,体力下降,体重无明显变化。
体格检查:(-)
辅助检查:CT
临床诊断:间质性肺炎
治疗经过:---
讨论:病变性质?
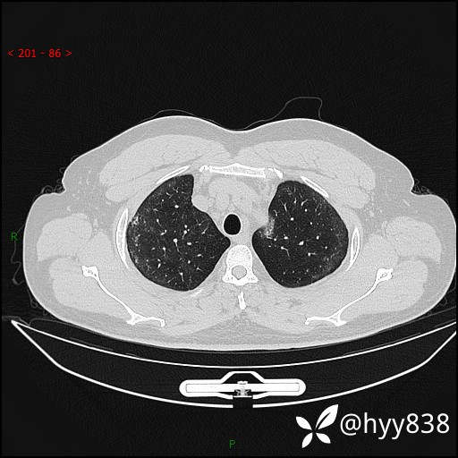
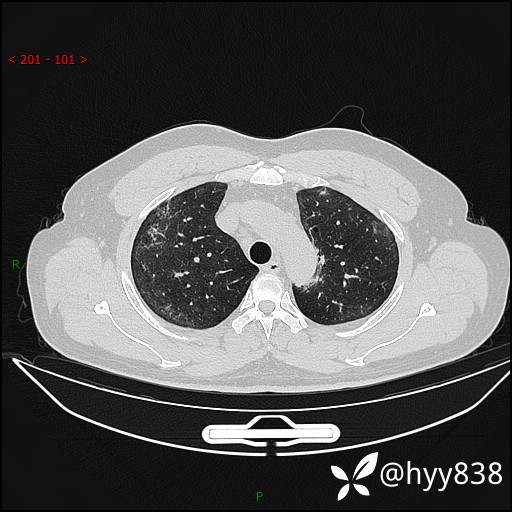
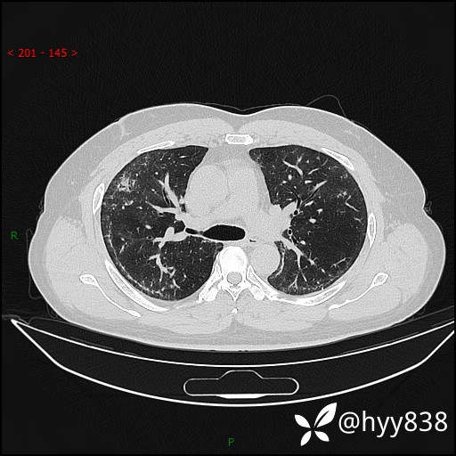
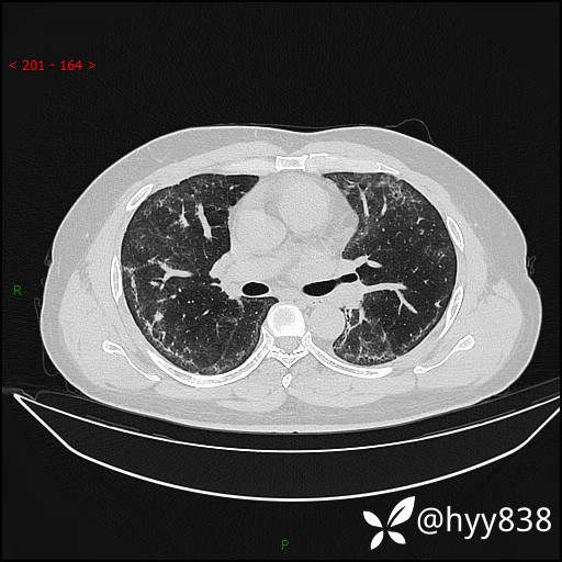
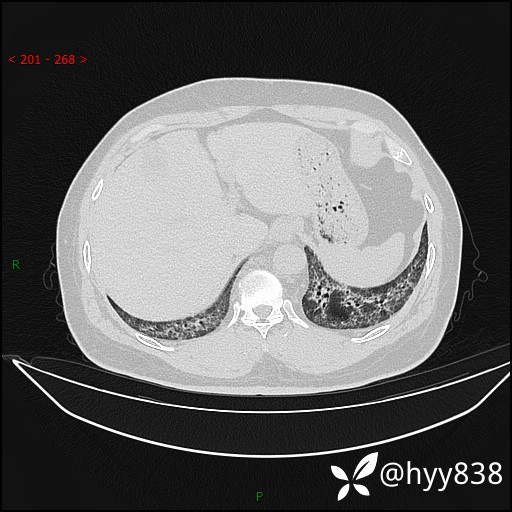
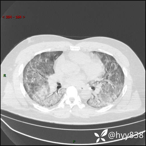
第一次胸部CT









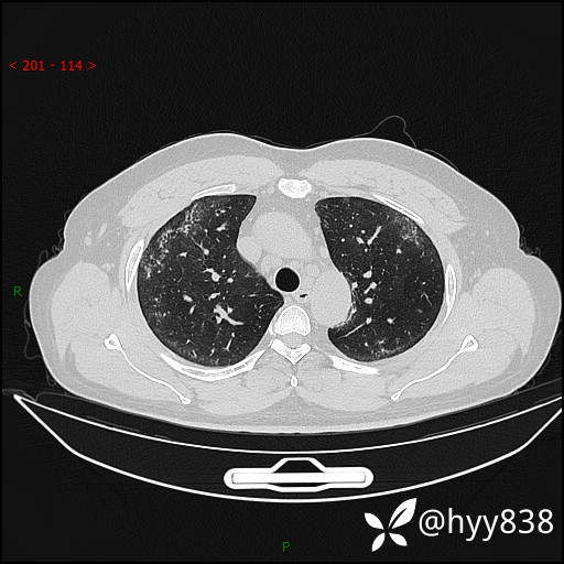
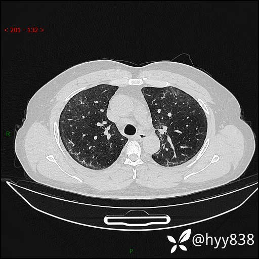
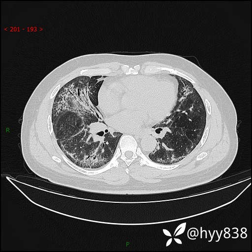
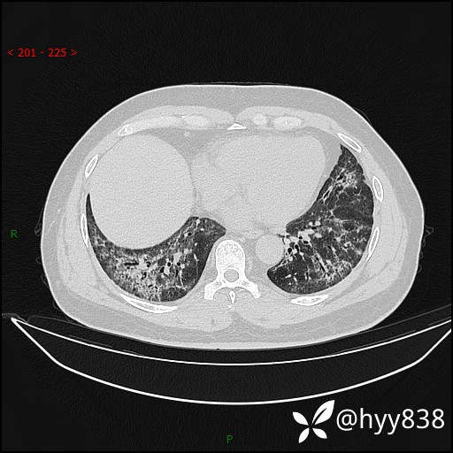
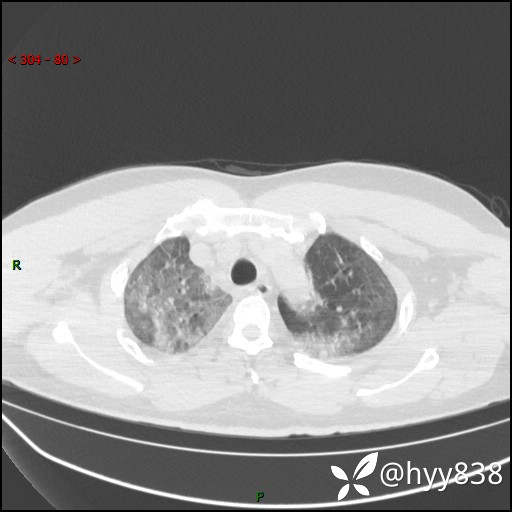
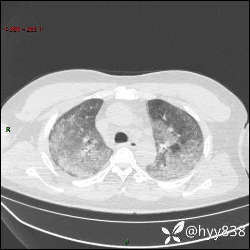
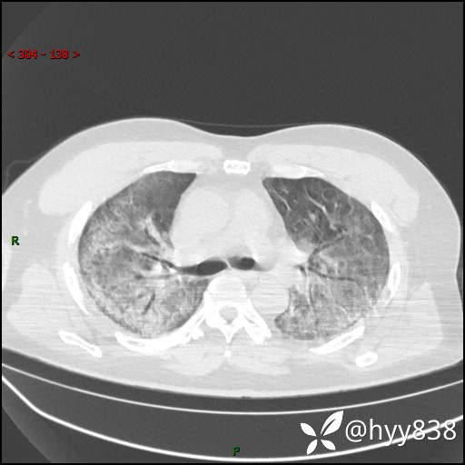
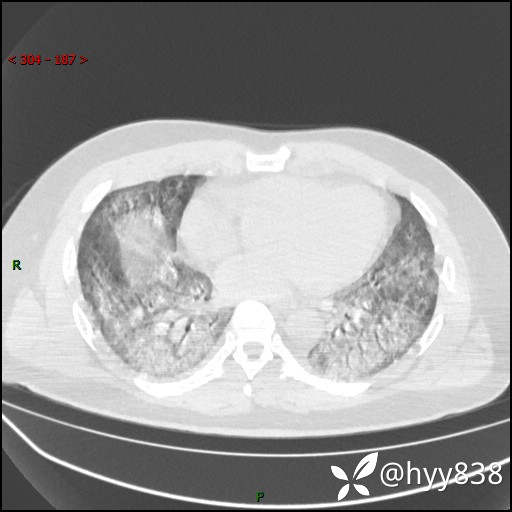
第二次CT(7天后)























































