中年男性,左侧腰背部间断性胀痛不适。第一眼“乳头或囊肿”,有无意外---(有结果)
胡志勇HZY 达人已点赞病例信息
【患者信息】:41岁/男
【主诉】:左侧腰背部间断性胀痛不适1周
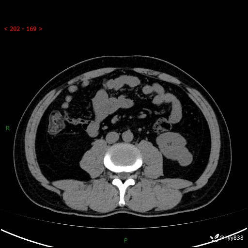
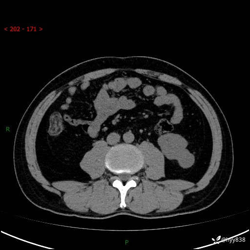
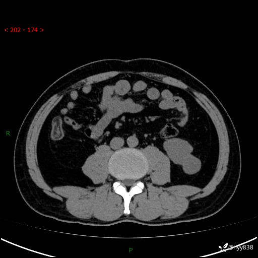
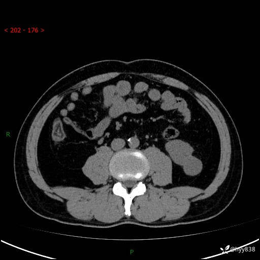
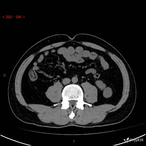
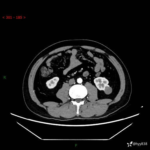
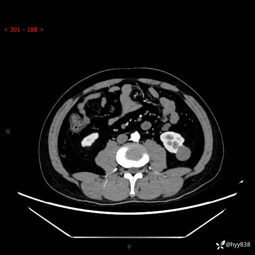
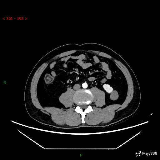
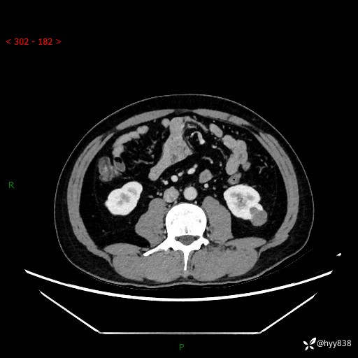
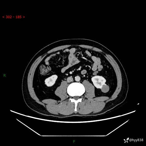
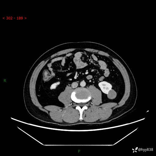
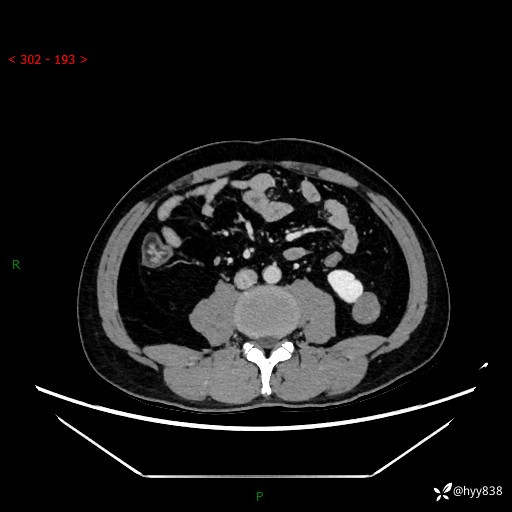
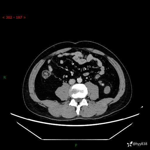
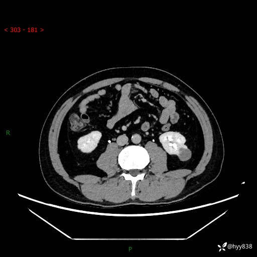
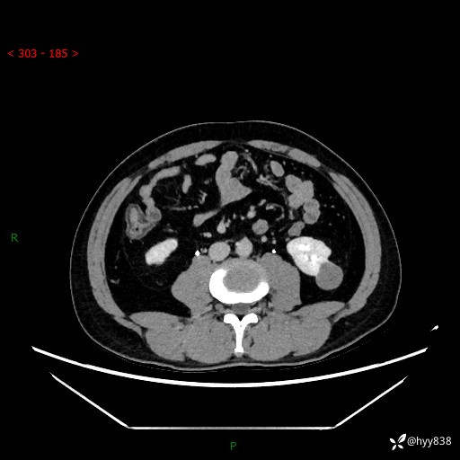
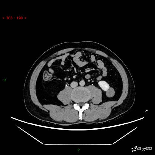
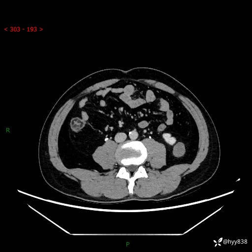
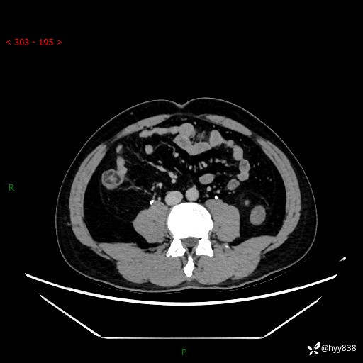
【现病史及既往史】:患者1周前无明显诱因出现左侧腰部疼痛,呈间断性胀痛,休息后可缓解,无放射痛,偶可见肉眼血尿,无血块,无尿频尿急尿痛,无夜尿增多,无畏寒发热、咳嗽咳痰等症状。于我院查双肾CT示:左肾占位性病变,左肾下极囊性病变,左肾轻度积水,胆囊多发结石。今为求进一步诊治来我院,门诊以“左肾占位性病变”收治入院。 起病以来,患者精神佳,饮食、睡眠良好,大便正常,小便如上诉,体力体重无明显变化。
【检查】:肾脏CT平扫+增强






















【临床诊断】:
【治疗经过及结果】:















































