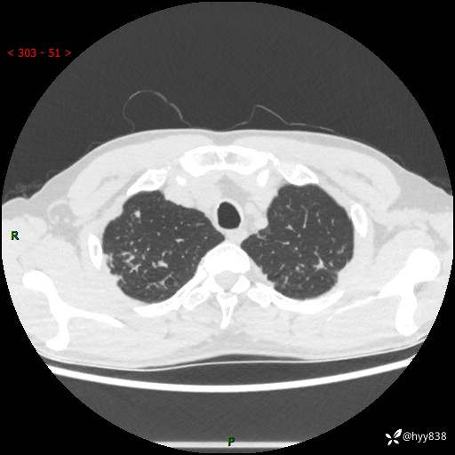
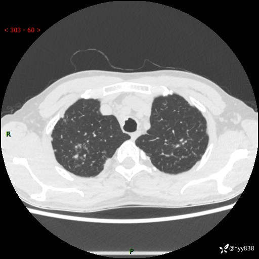
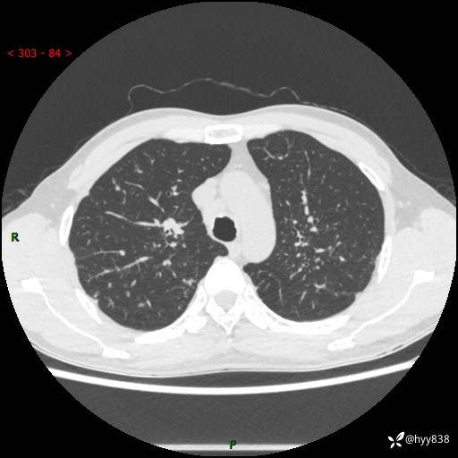
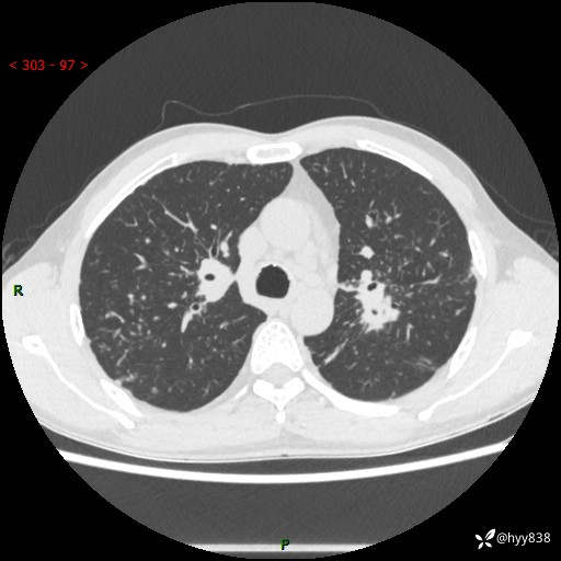
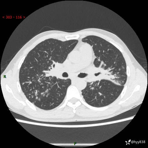
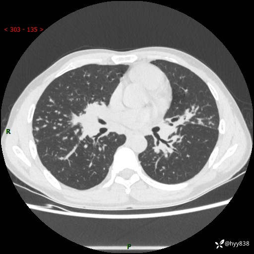
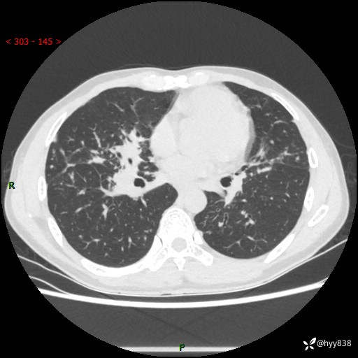
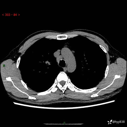
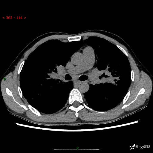
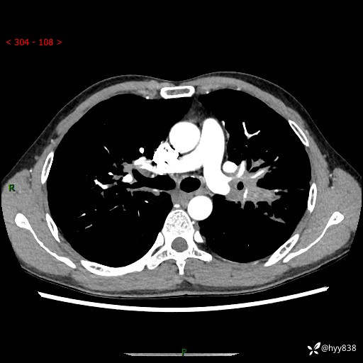
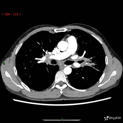
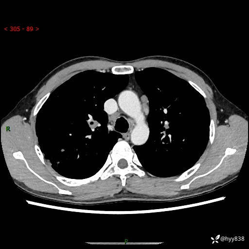
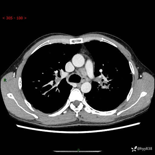
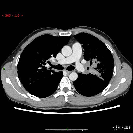
中年男性,咳嗽咳痰1月余。细看:肺、肺门、气管,貌似都有问题---(有结果)
胡志勇HZY 等 2 位达人已点赞病例信息
性别:男
年龄:43岁
主诉:咳嗽咳痰1月余
现病史:患者于1个月前受凉后出现间断性咳嗽,伴白色泡沫样痰,无发热寒战、咯血、胸痛胸闷、恶心呕吐、呼吸困难等特殊不适,起初未予特殊处理,后患者就诊当地中医医院,查胸部CT提示支气管炎并双肺感染性病变,经抗感染(哌拉西林舒巴坦),止咳化痰(溴己新、三拗片)等治疗后,患者自诉咳嗽咳痰症状较前缓解,未诉发热等其他特殊不适,近期复查CT提示“肺部感染灶未见消退,双侧肺门增大,双肺散在小结节”,今为求进一步诊治,前来我院就诊,门诊以“肺部感染”收住入院。 患者自起病来精神、食欲、睡眠尚可,大小便正常,体力、体重无明显变化。
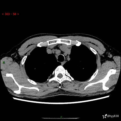
胸部CT平扫+增强(两期)







































































