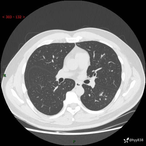
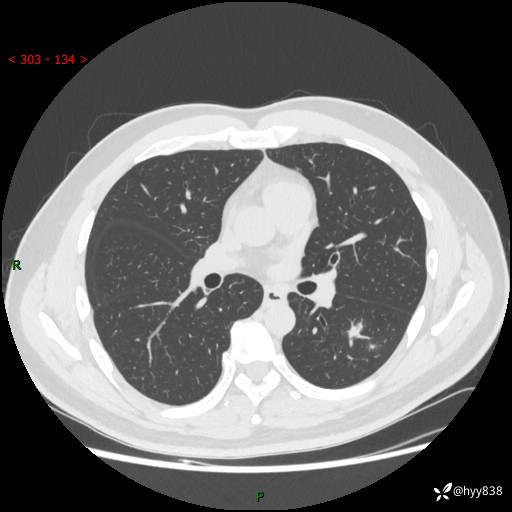
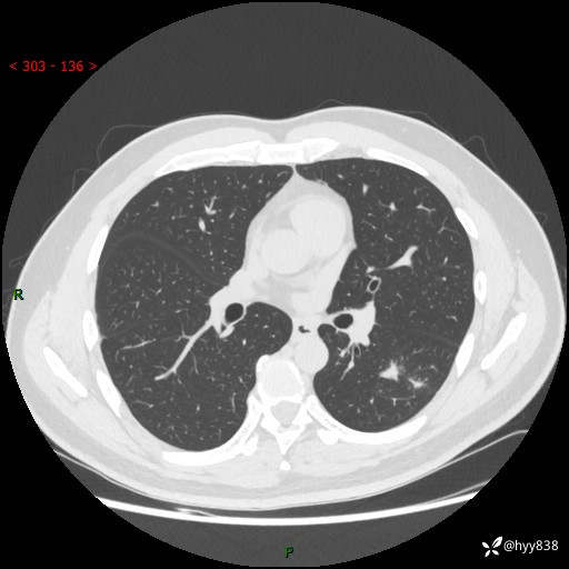
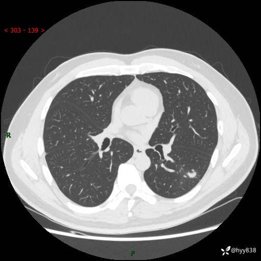
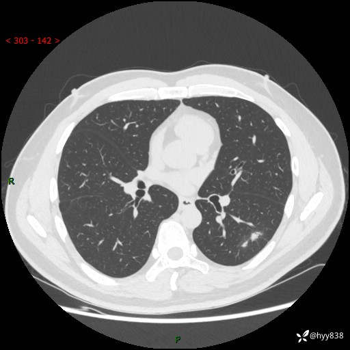
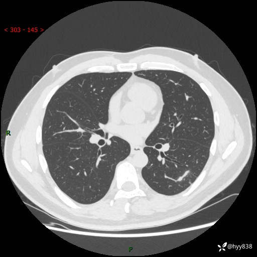
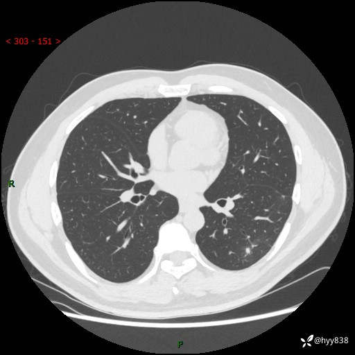
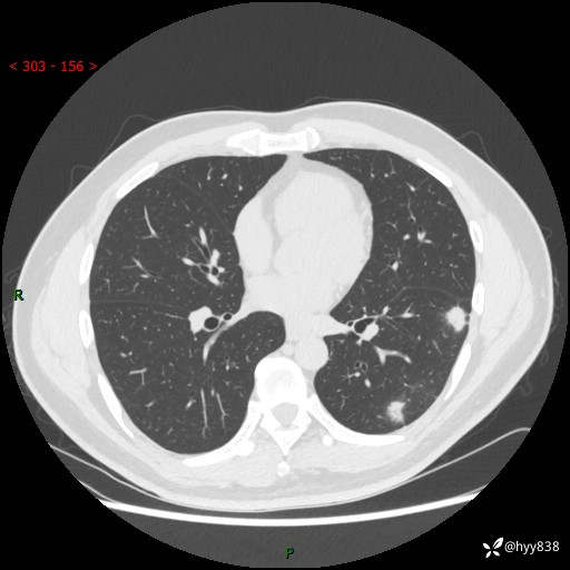
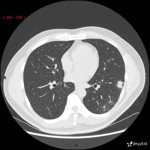
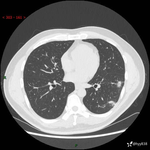
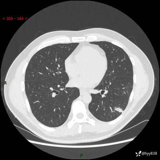
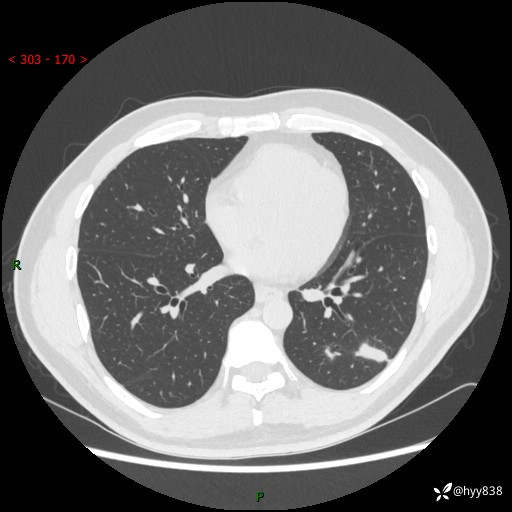
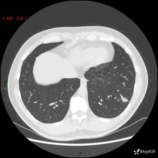
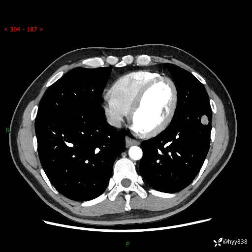
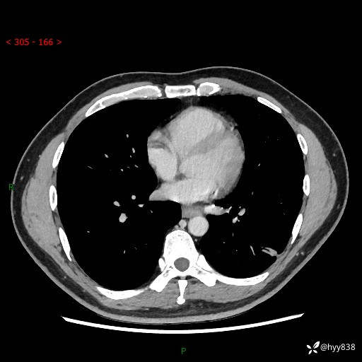
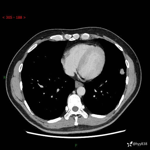
中年男性,胸闷3月余。多发团片、肺小叶分布、空气支气管征、明显强化---结果公布~
病例信息
性别:男
年龄:42岁
主诉:胸闷3月余
现病史:患者3月前出现胸闷,卧位时加重,坐位时缓解,无咽痛、咳嗽,无头痛,无全身酸痛,无结膜充血,无胸痛、心慌,无咯血,无呼吸困难,无咳痰,2024-07-02于当地市第一民医院行胸部CT,结果不详,2024-07-05就诊于我院急诊内科,行胸部CT同时增强,结果示:左肺下叶多发结节灶,考虑感染可能。今患者为求进一步诊治来我院,门诊以“肺部感染”收入我科。 患者本次起病来精神、食欲、睡眠尚可,大小便可,体力,体重无明显变化。
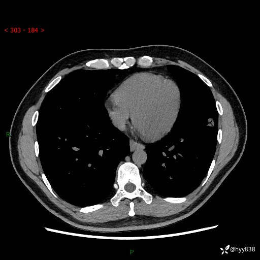
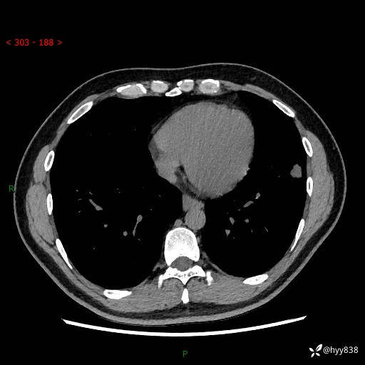
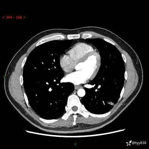
胸部CT平扫+增强

























各期CT值:30hu 90hu 77hu















































