dxy logo
首页丁香园病例库全部版块
搜索
登录

【心胸】特别精彩病例|胸闷1月余,好漂亮的反晕征呀

影像核医学版版主 · 发布于 2024-01-07 · IP 江西江西
8722 浏览
icon呱呱叫了 等 3 位达人已点赞
这个帖子发布于 1 年零 322 天前,其中的信息可能已发生改变或有所发展。

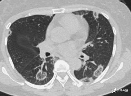
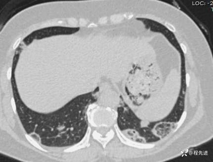
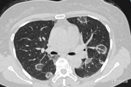
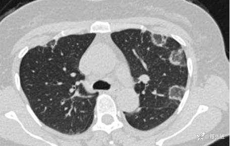
患者性别:女

患者年龄:57岁

简要病史:胸闷1月余

img
img
img
img
抗中性粒细胞胞质抗体相关性血管炎 (15)
纠错
145 43 47
同行评议(0)
已评议
不开通精选
开通精选
精选已授权,待上线
评议结果暂未公布
参与评议
去邀请
NaN
病例完整NaN
临床实用NaN
诊疗科学NaN
学术价值NaN

全部讨论(0)

默认最新
avatar
145
分享帖子
share-weibo分享到微博
share-weibo分享到微信
认证
返回顶部