【心胸】特别精彩病例|发现左胸部软组织肿块伴左侧腋窝淋巴结肿大1周
华夏览雄 等 5 位达人已点赞病例信息
【患者信息】:女,53岁
【主诉】:发现左胸部软组织肿块伴左侧腋窝淋巴结肿大1周
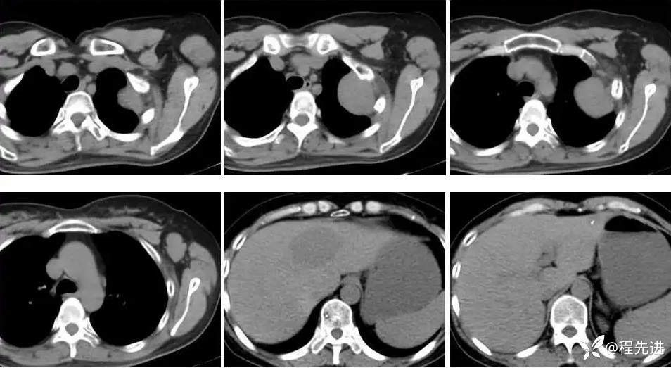
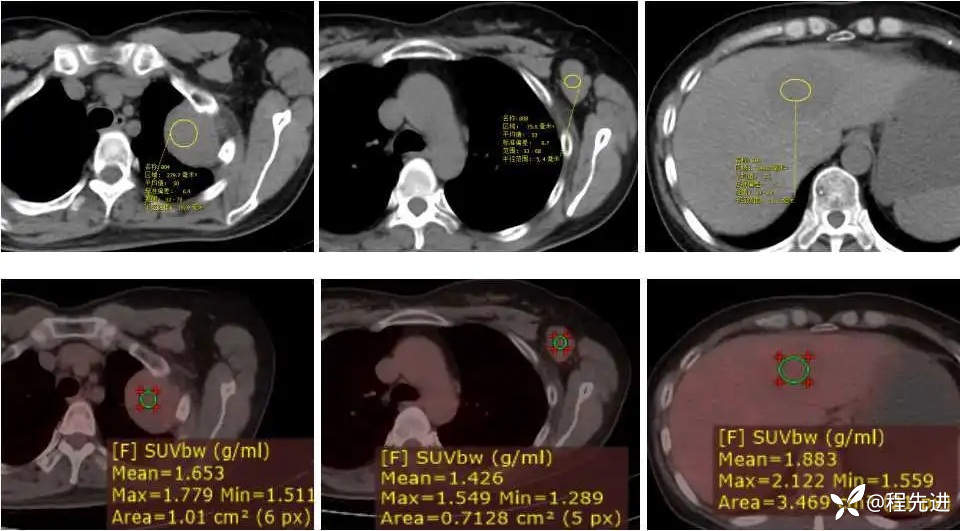
【现病史及既往史】:患者1周前因体检发现左肺上叶软组织肿块伴左侧腋窝淋巴结肿大。病程中患者无咳嗽咳痰,无胸闷胸痛,无发热、头痛、头昏、腹胀等不适精神及食纳尚可,二便正常
既往史:既往体健,否认“高血压、冠心病、糖尿病'肝炎、结核、伤寒”等病史,否认外伤史及输血史
【检查】:


华夏览雄 等 5 位达人已点赞病例信息
【患者信息】:女,53岁
【主诉】:发现左胸部软组织肿块伴左侧腋窝淋巴结肿大1周
【现病史及既往史】:患者1周前因体检发现左肺上叶软组织肿块伴左侧腋窝淋巴结肿大。病程中患者无咳嗽咳痰,无胸闷胸痛,无发热、头痛、头昏、腹胀等不适精神及食纳尚可,二便正常
既往史:既往体健,否认“高血压、冠心病、糖尿病'肝炎、结核、伤寒”等病史,否认外伤史及输血史
【检查】:


