dxy logo
首页丁香园病例库全部版块
搜索
登录

红五月特别精彩病例|中老年女性,胸闷半年,期待你完美解析【结果已公布】

影像核医学版版主 · 最后编辑于 2023-05-18 · IP 江西江西
3639 浏览
推荐、达人点赞 2 项荣誉
这个帖子发布于 2 年零 149 天前,其中的信息可能已发生改变或有所发展。

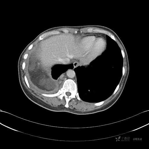
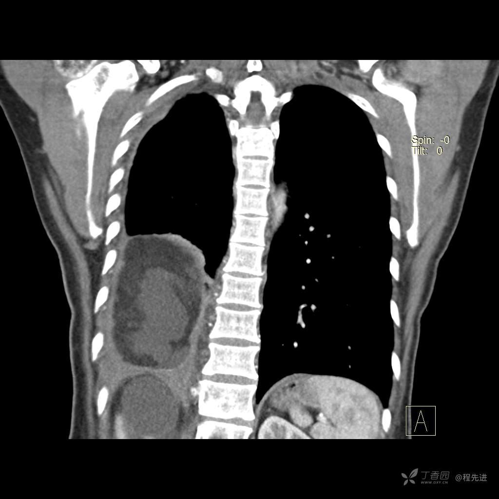
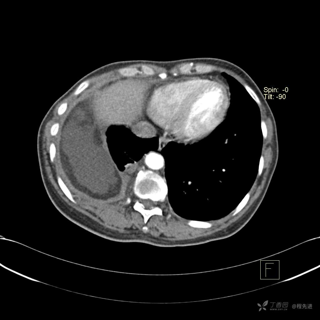
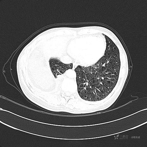
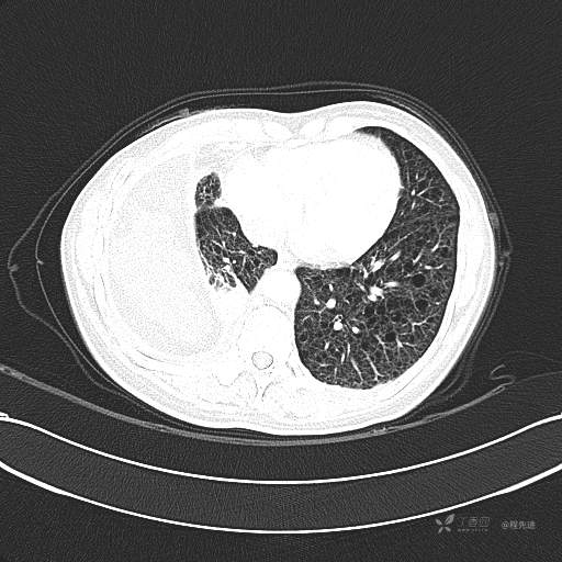
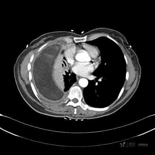
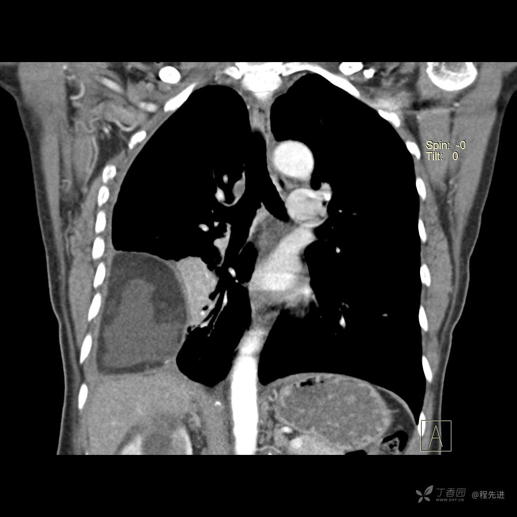
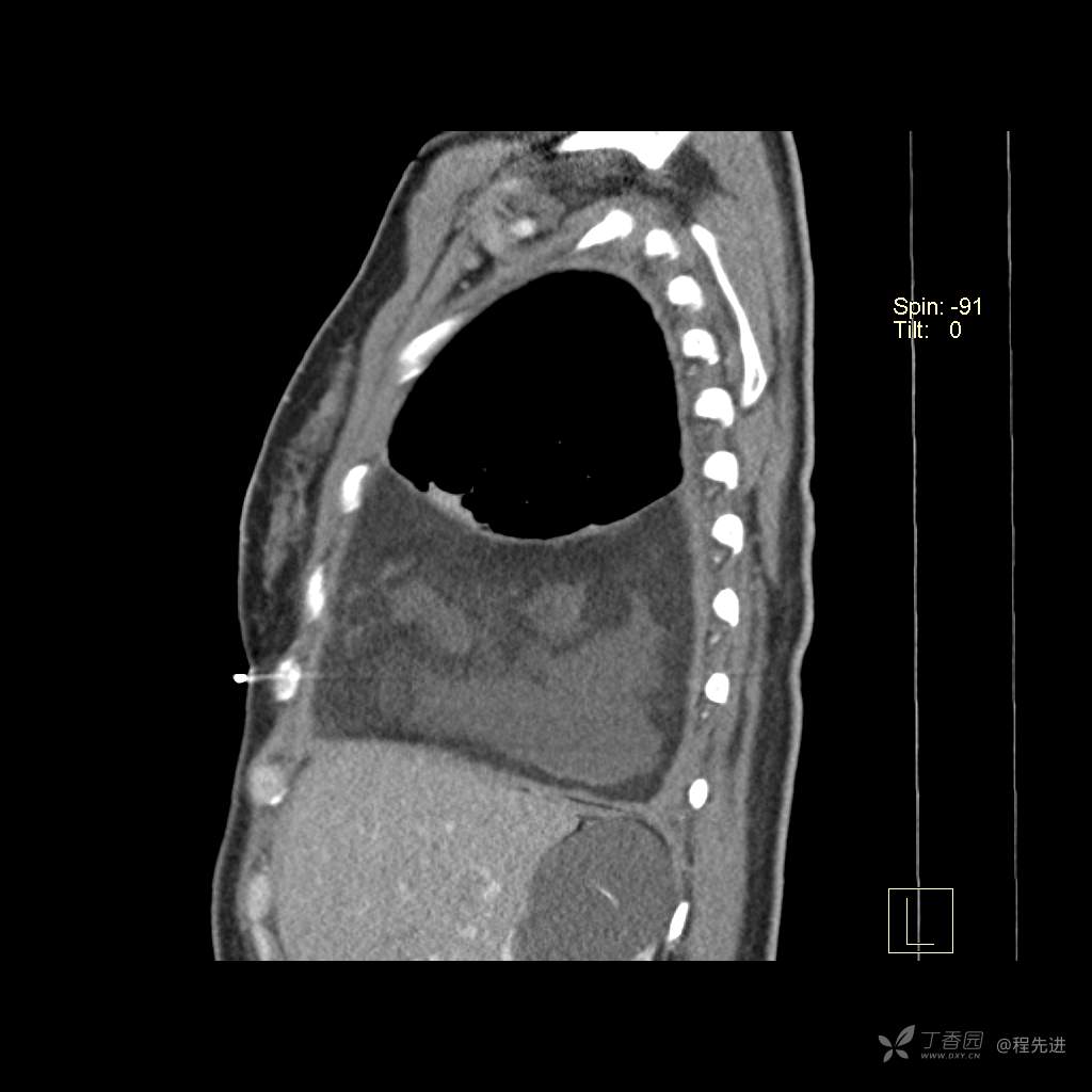
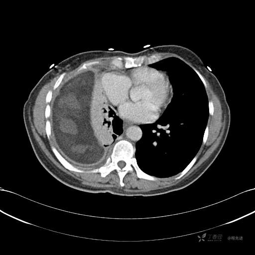
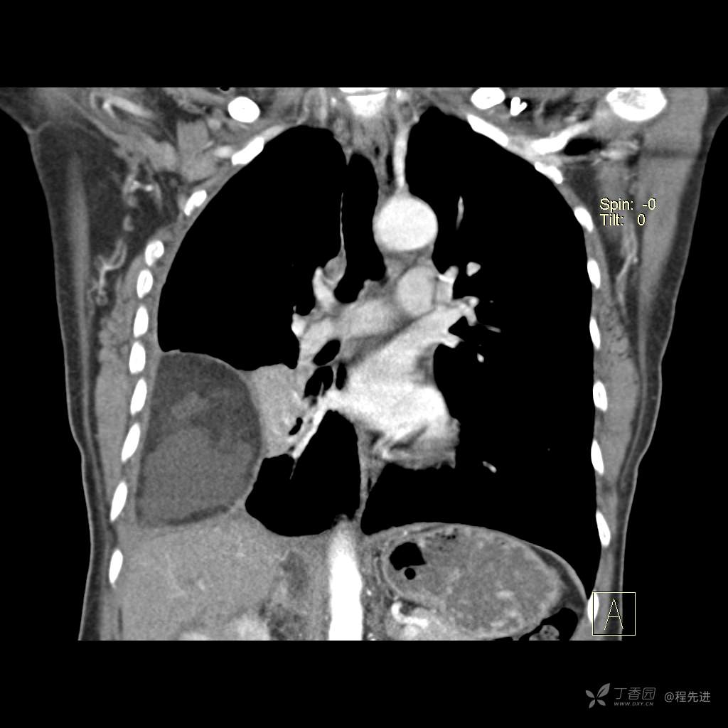
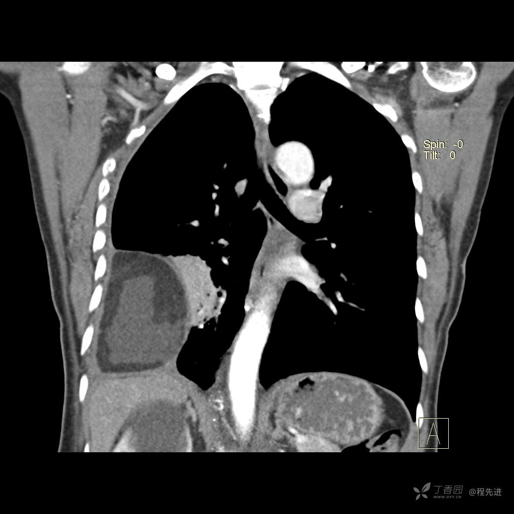
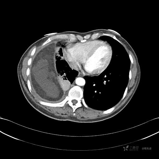
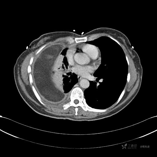
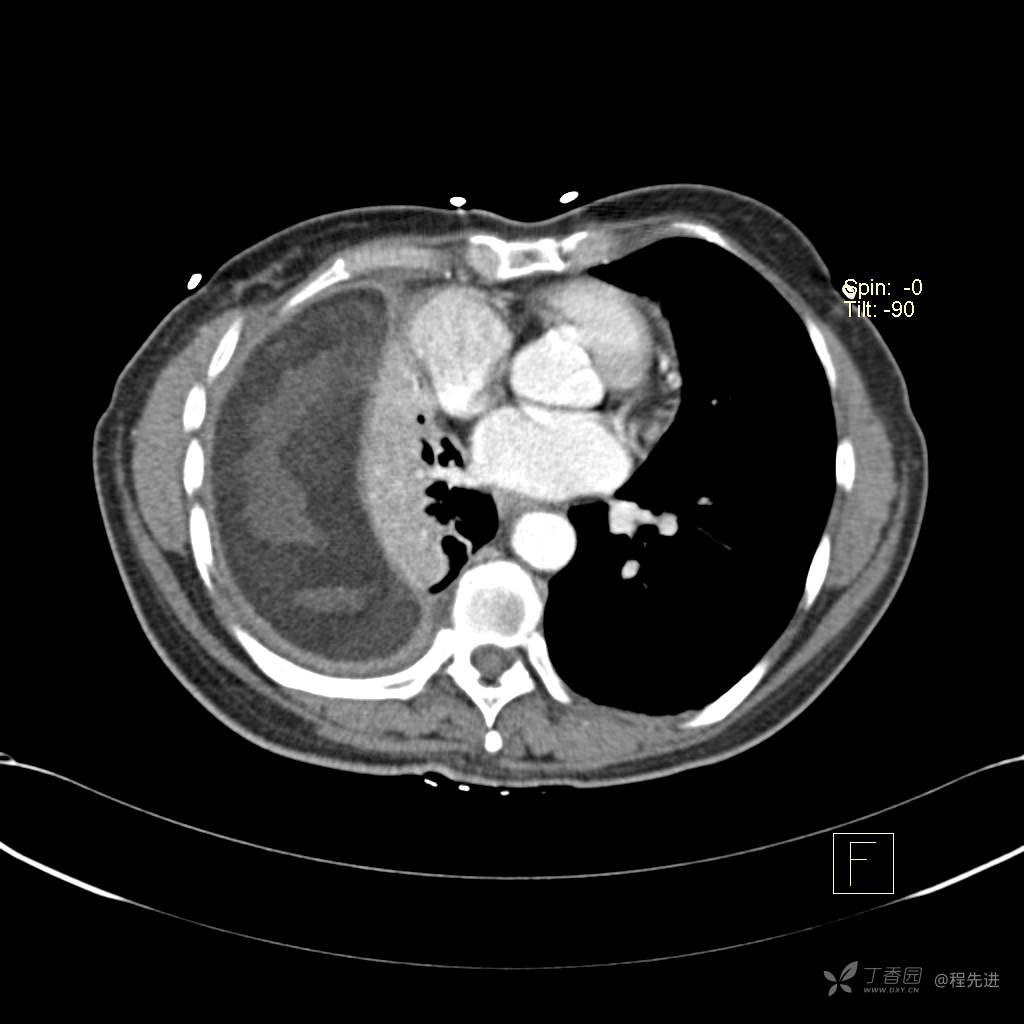
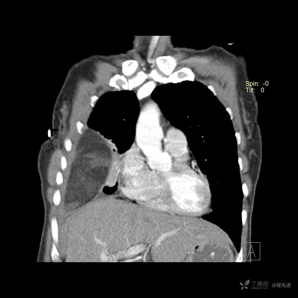
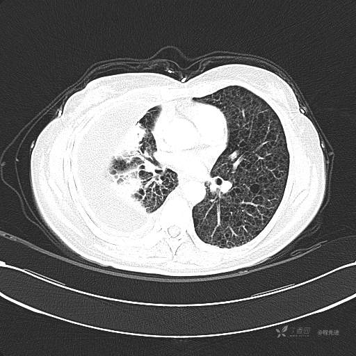
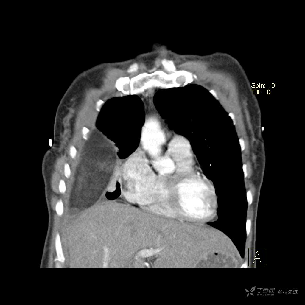
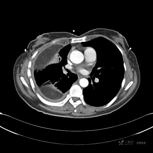
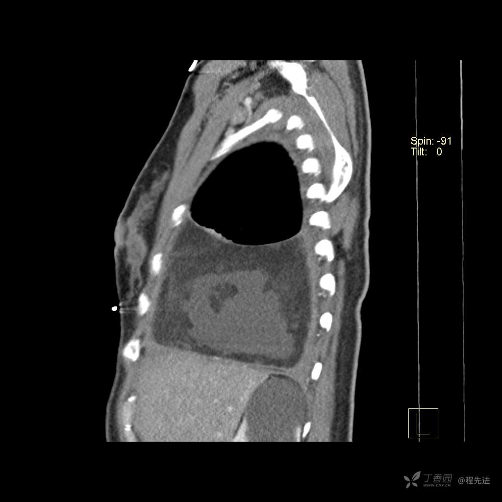
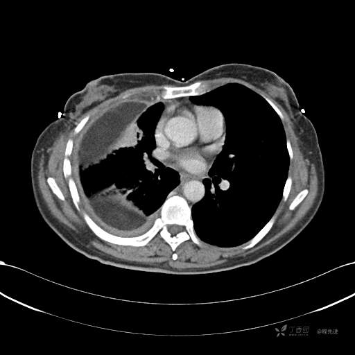
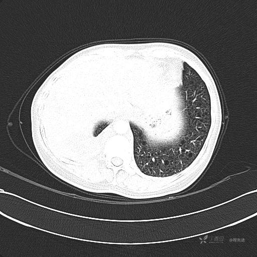
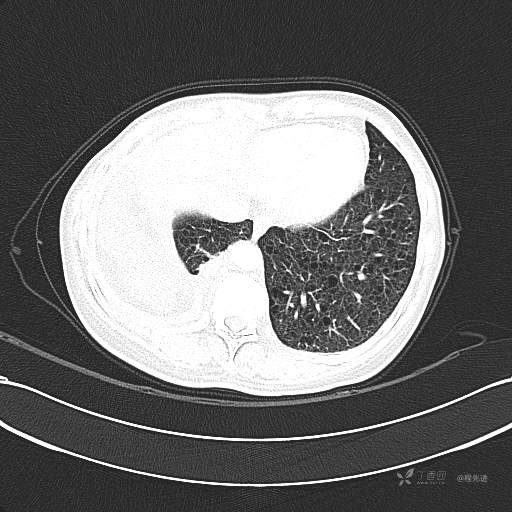
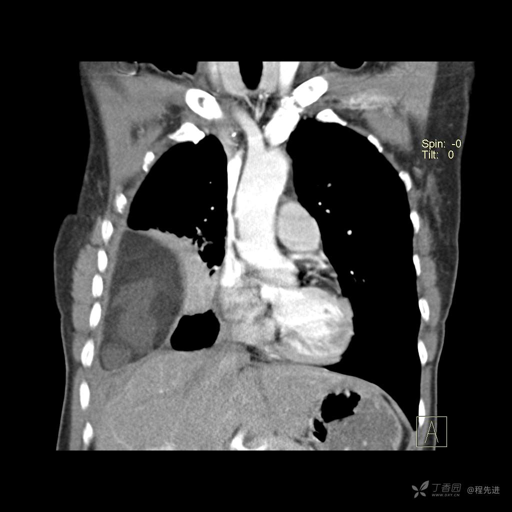
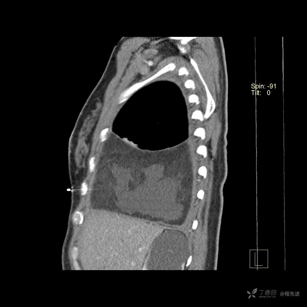
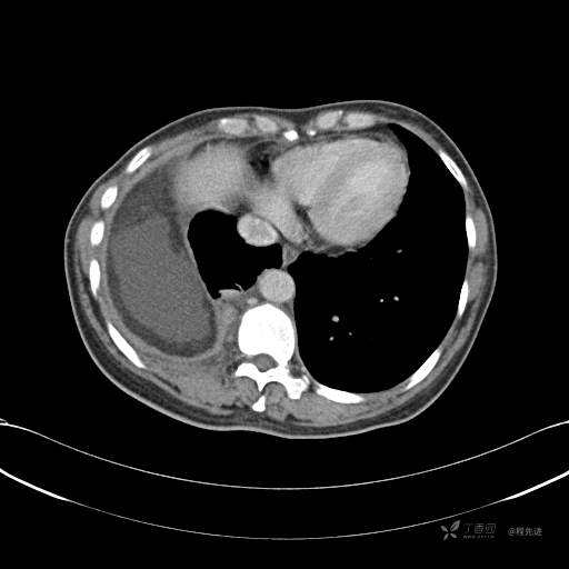
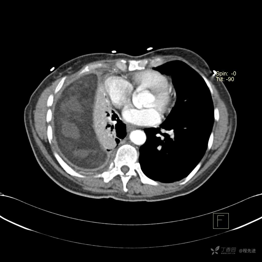
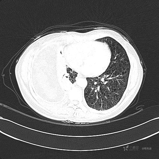
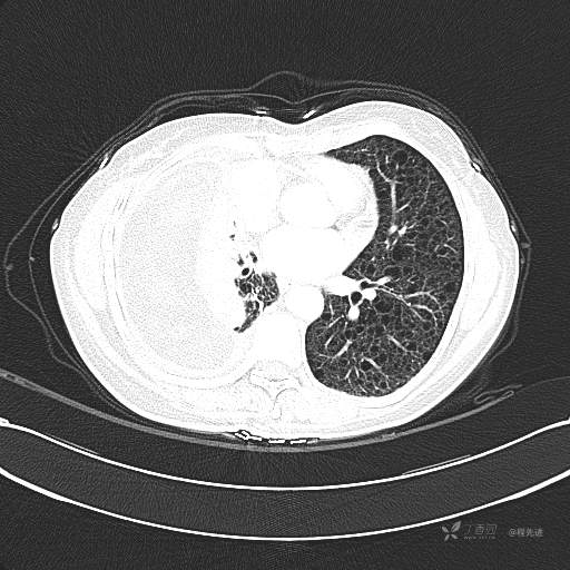
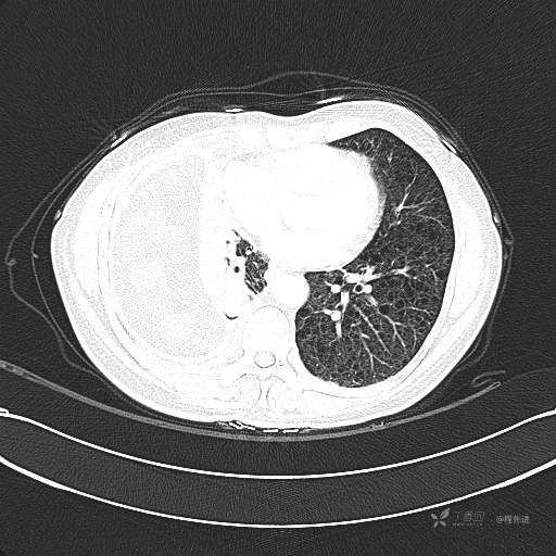
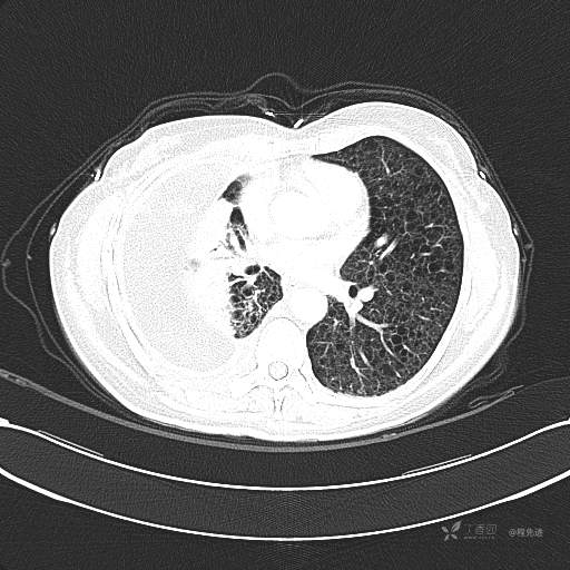
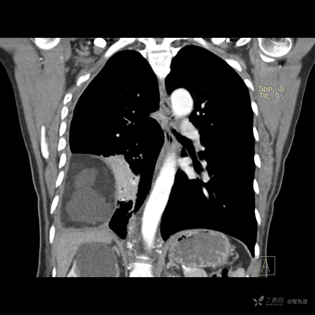
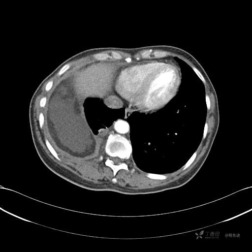
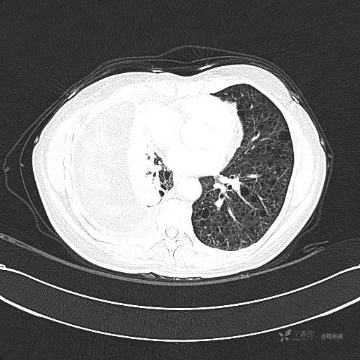
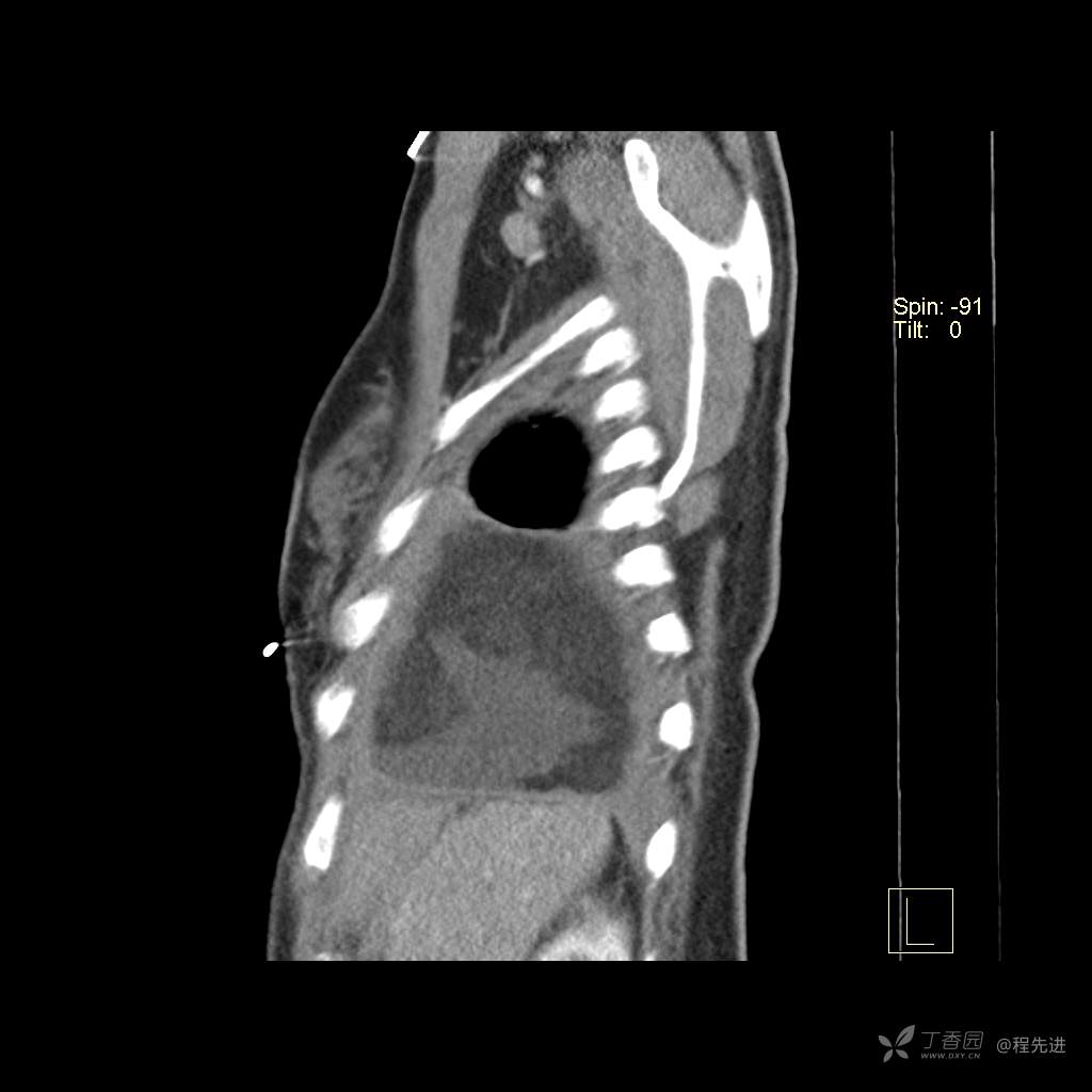
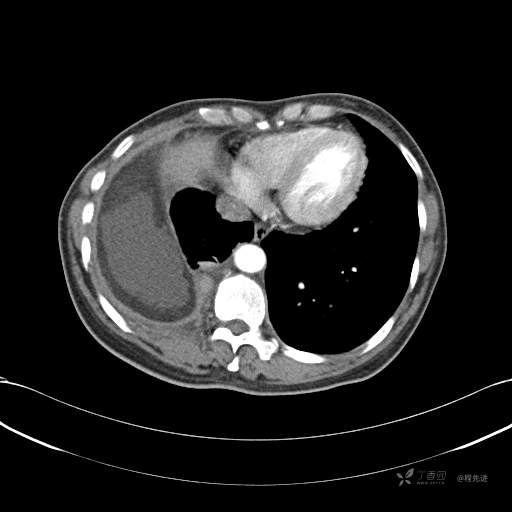
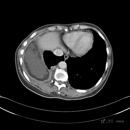
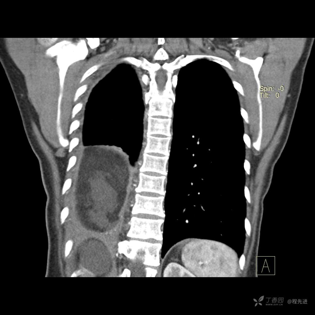
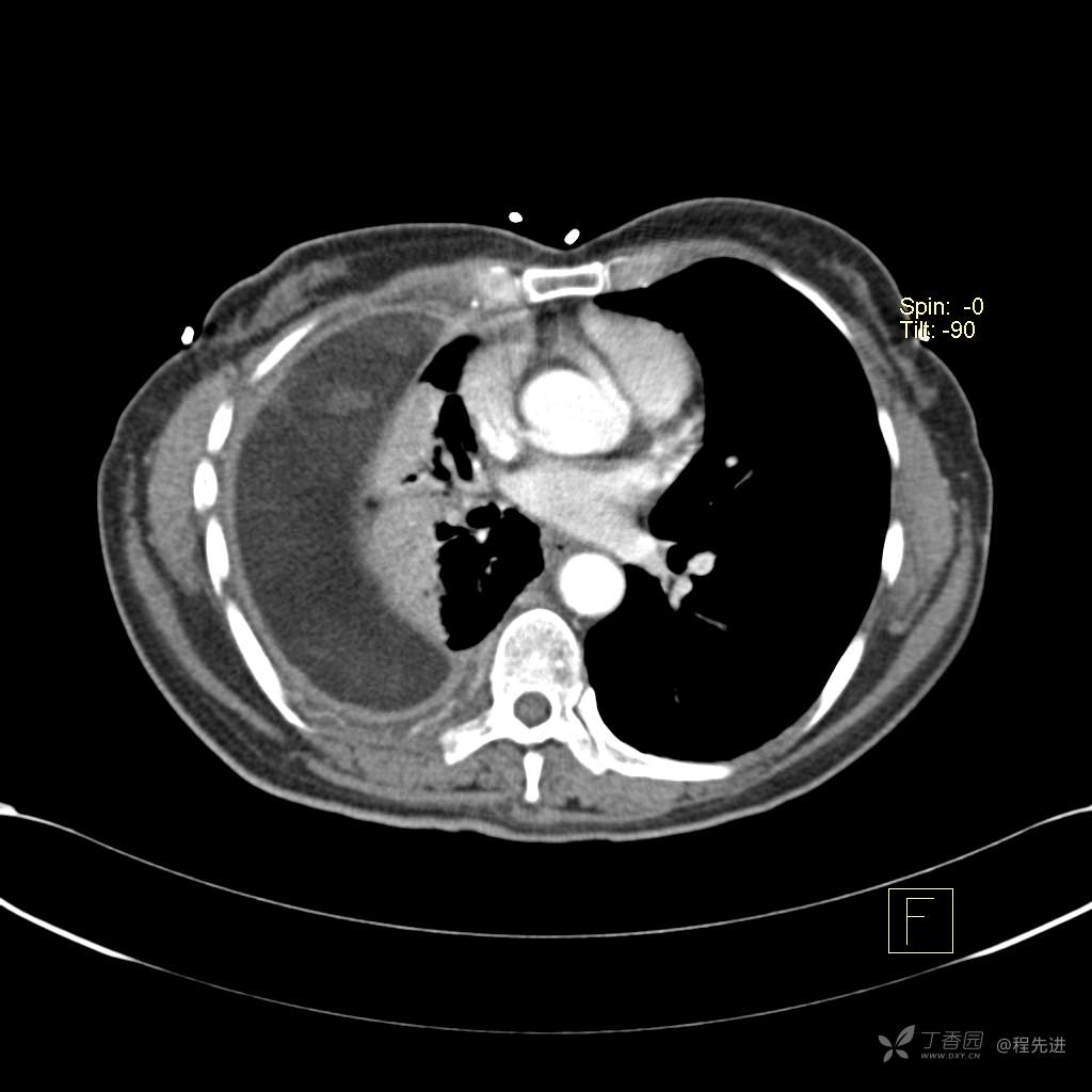
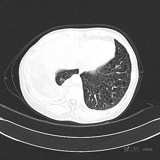
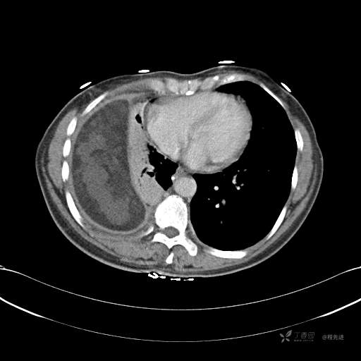
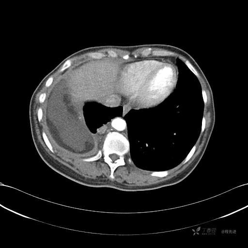
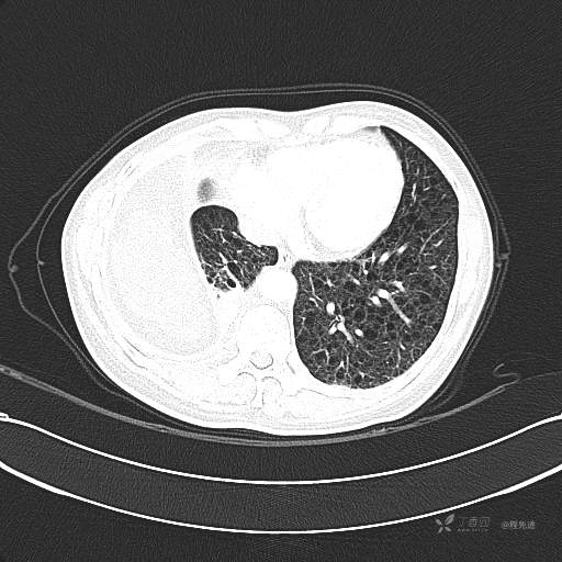
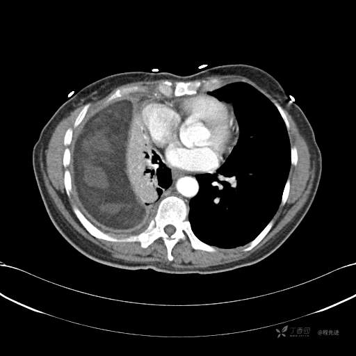
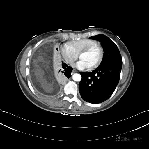
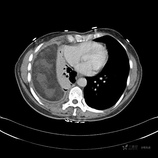
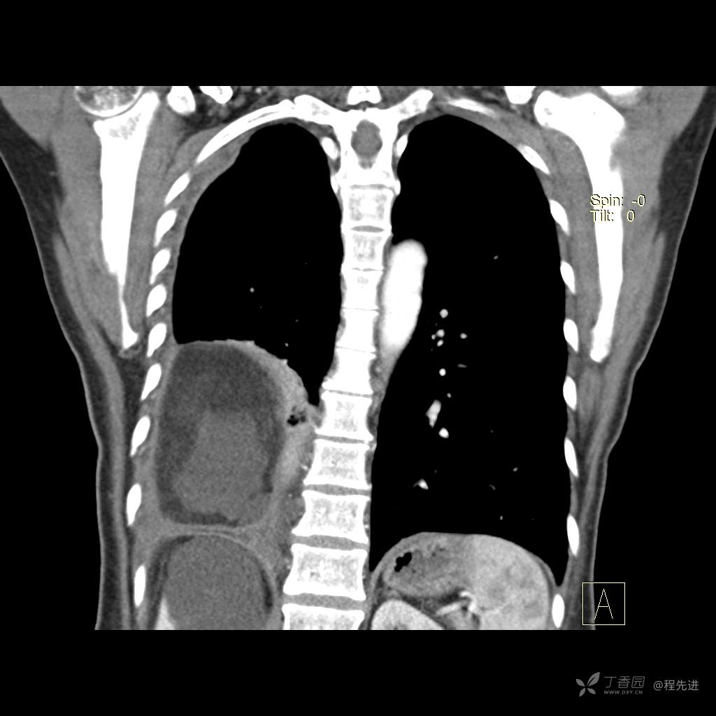
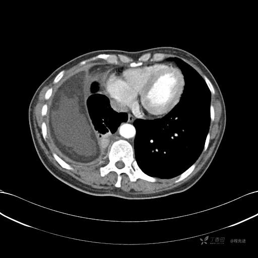
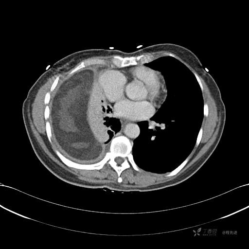
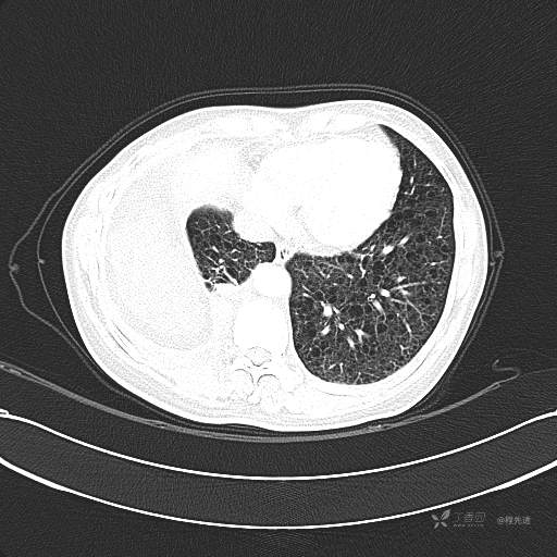
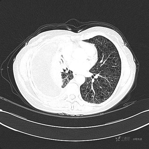
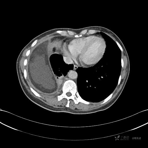
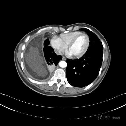
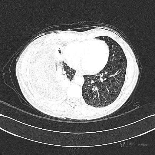
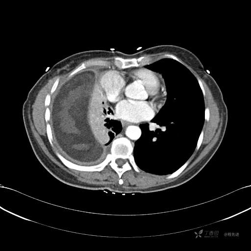
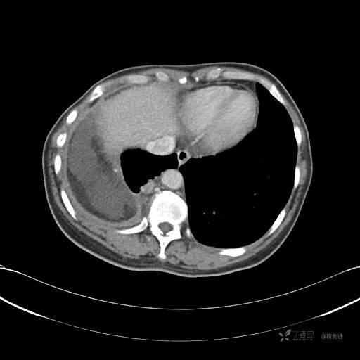
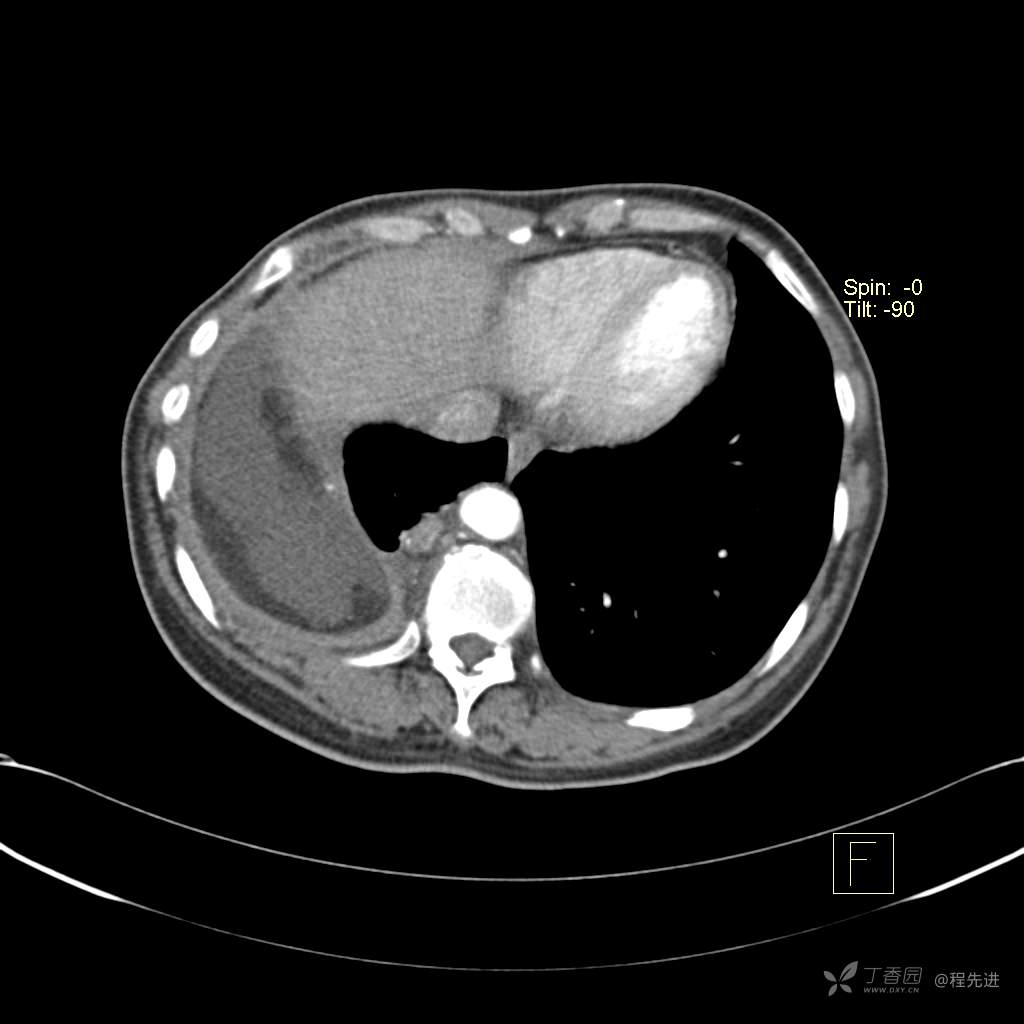
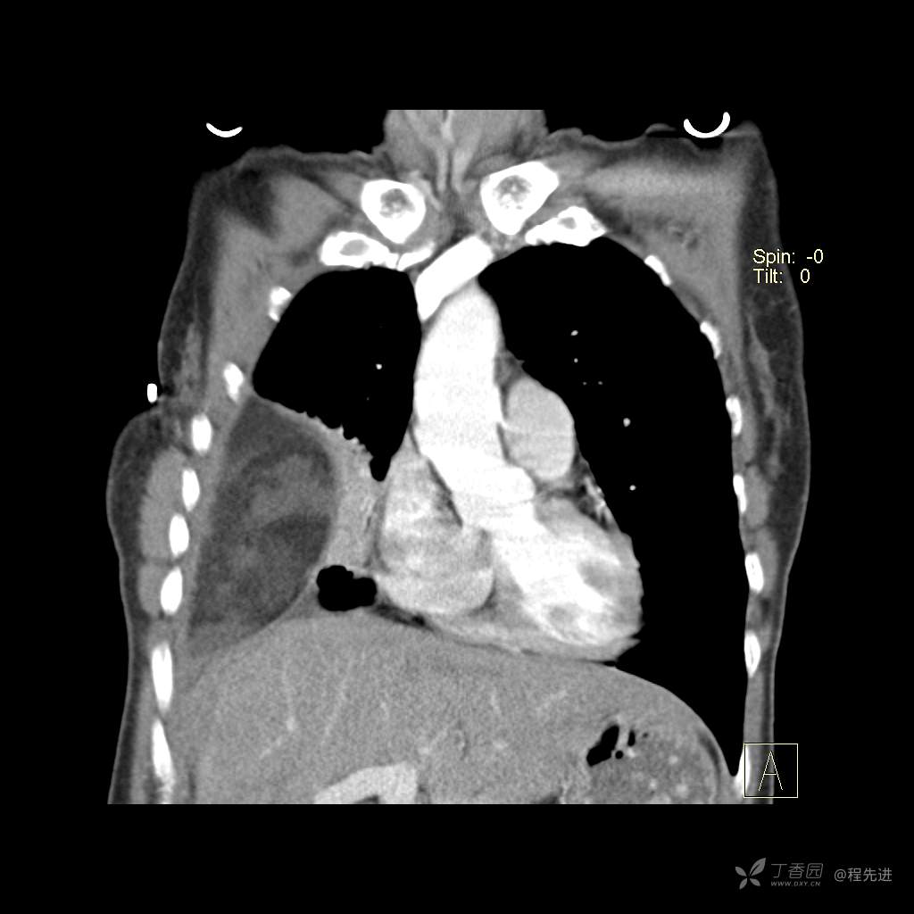
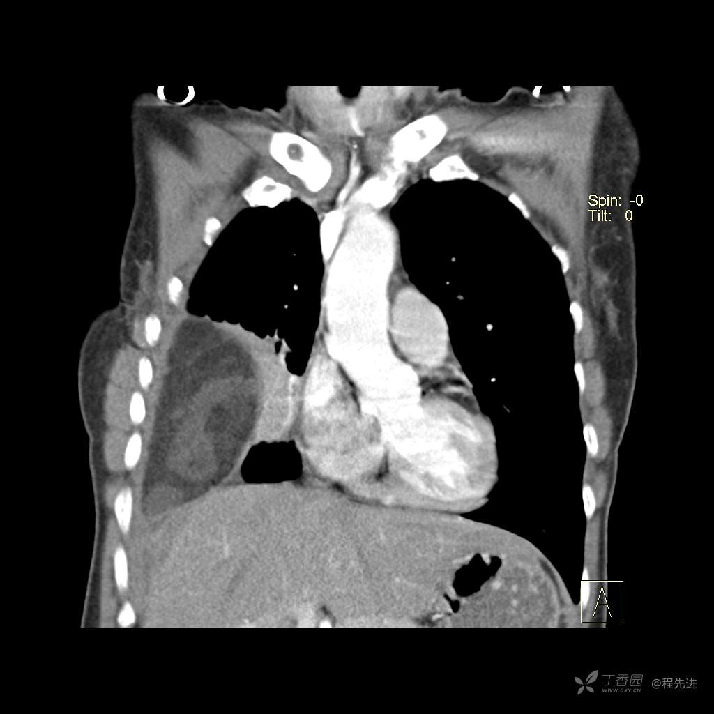
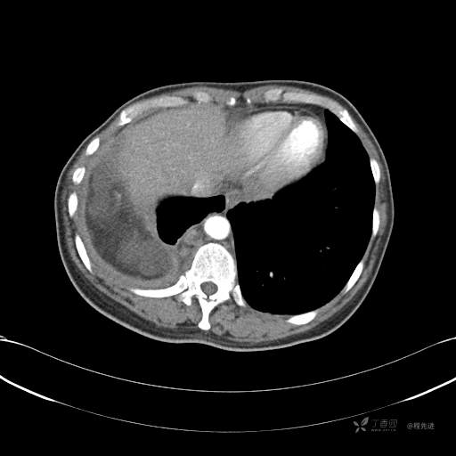
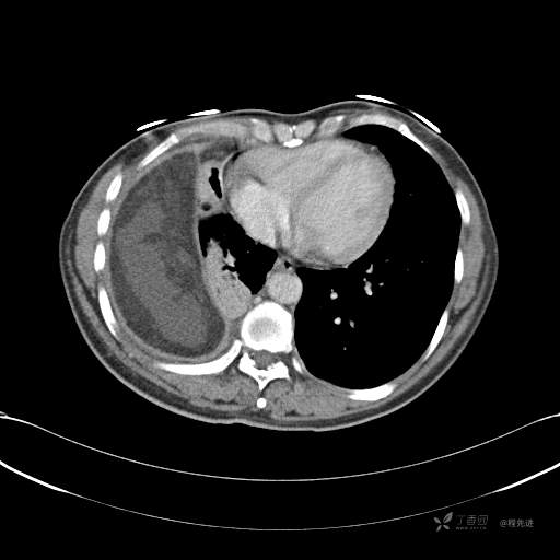
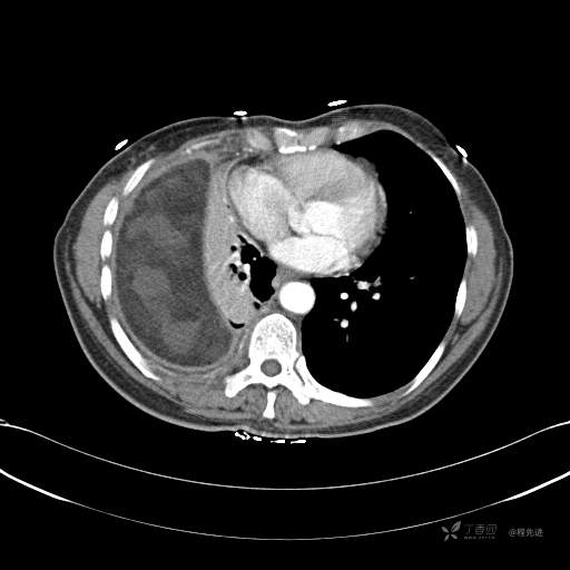
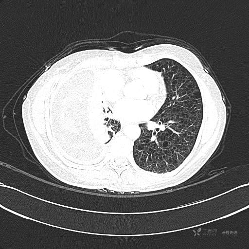
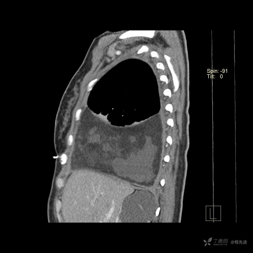
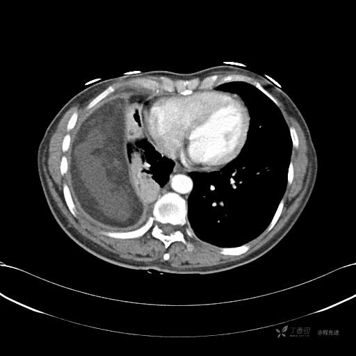
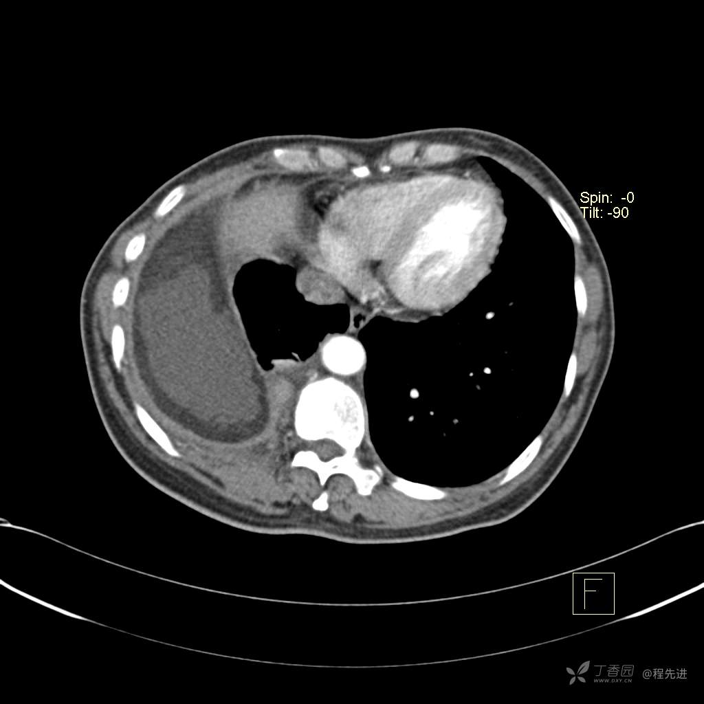
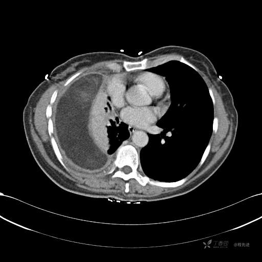
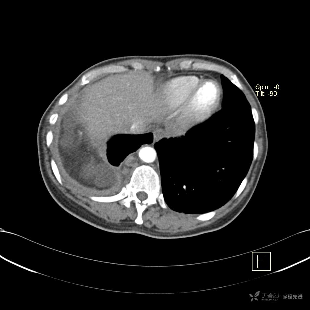
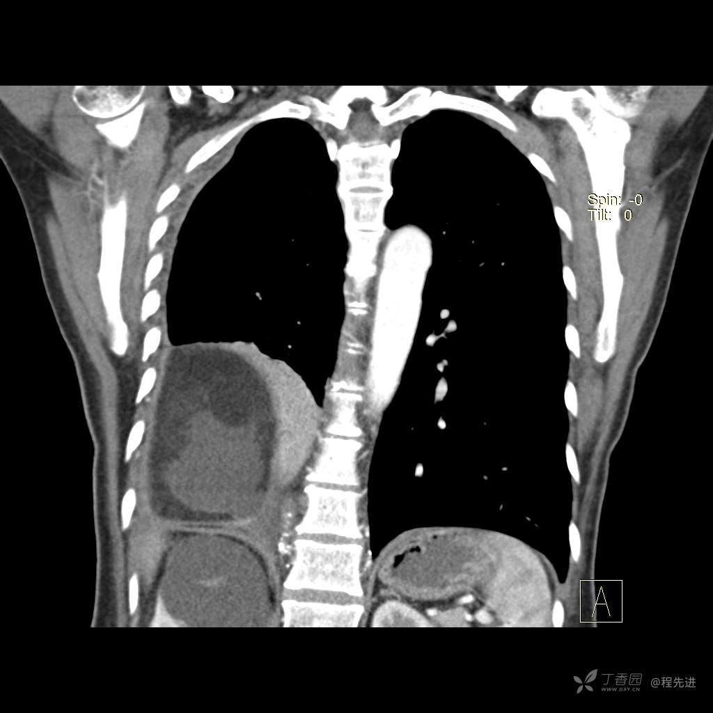
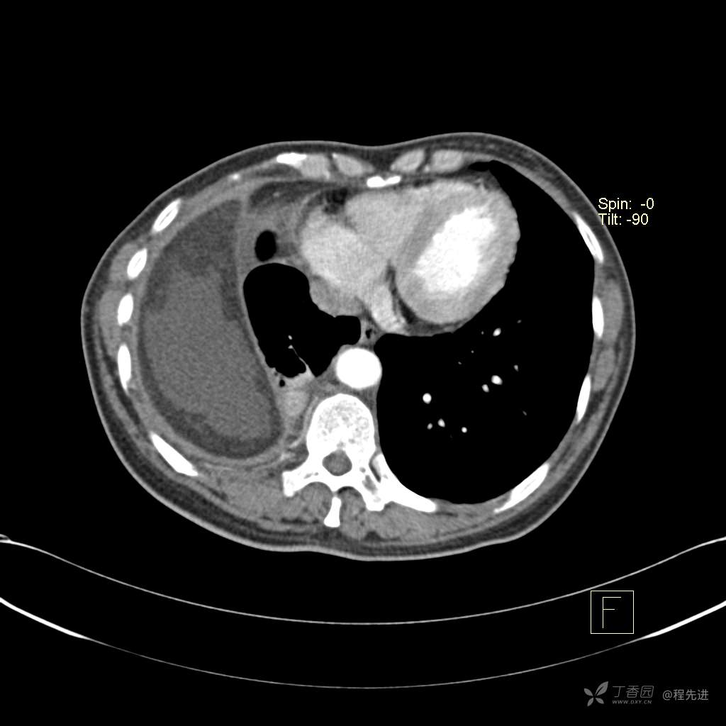
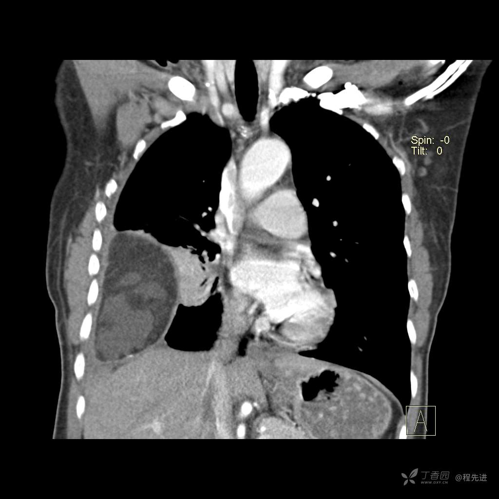
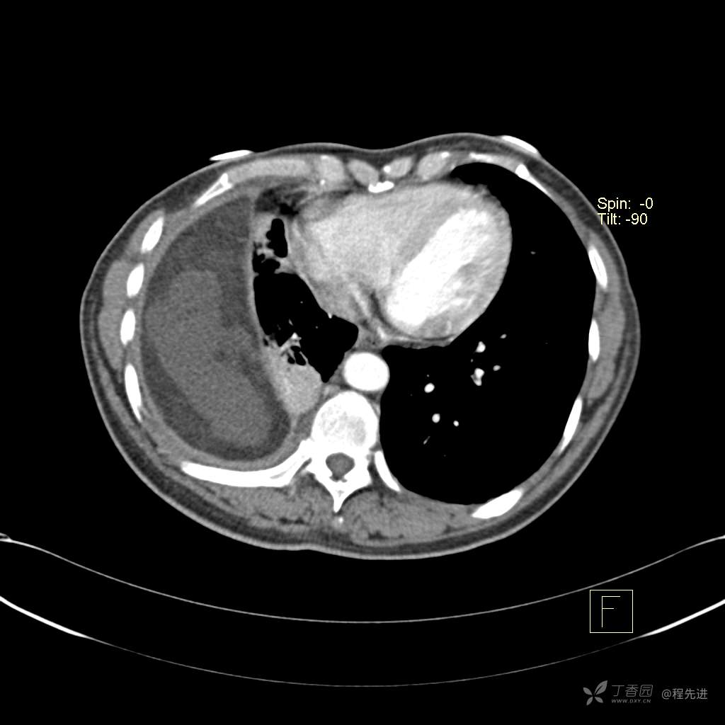
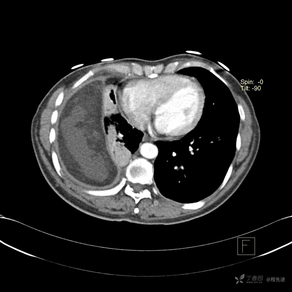
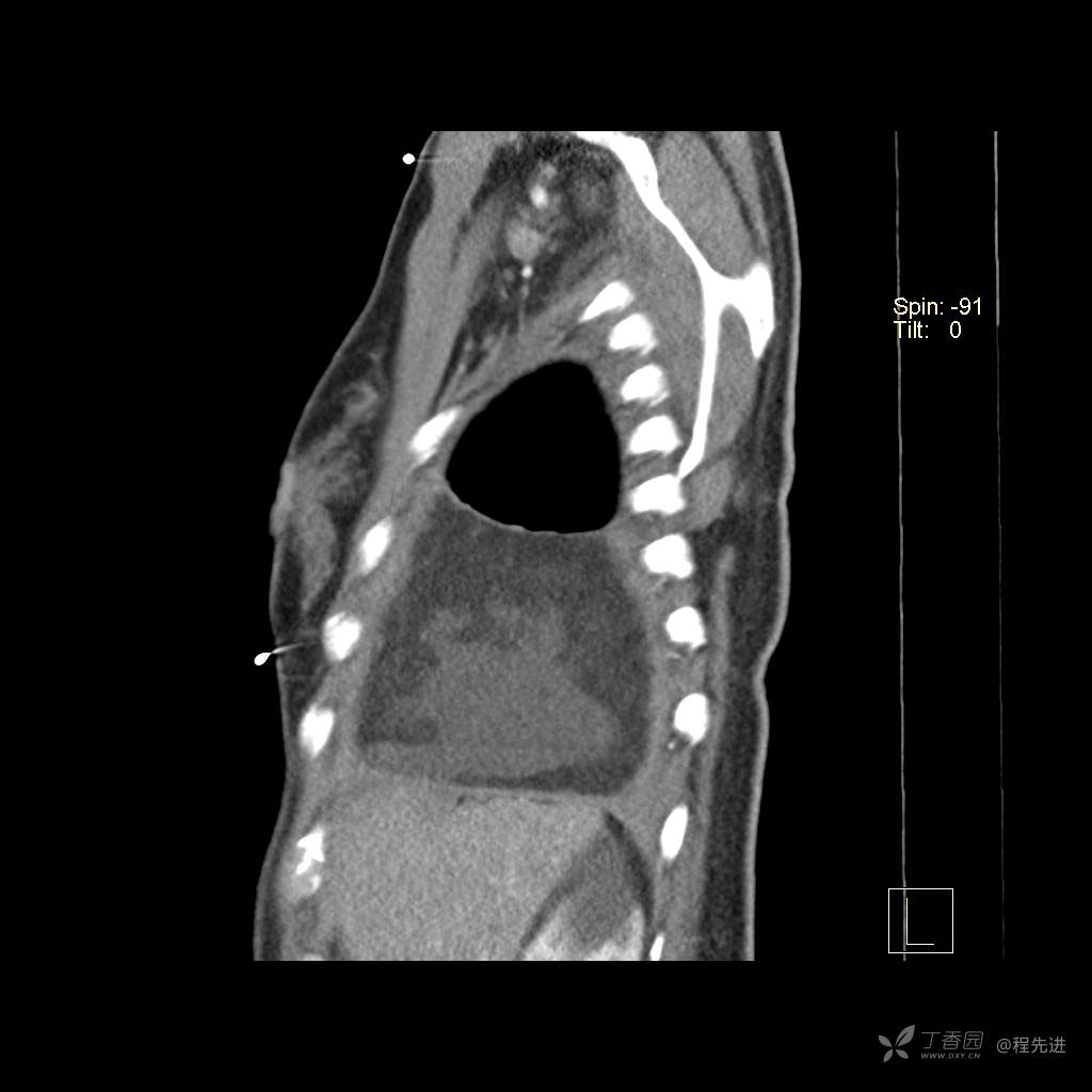
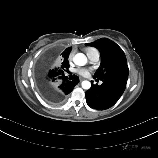
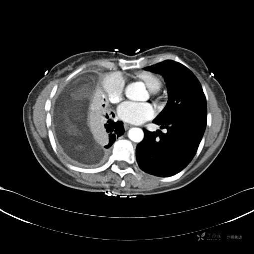
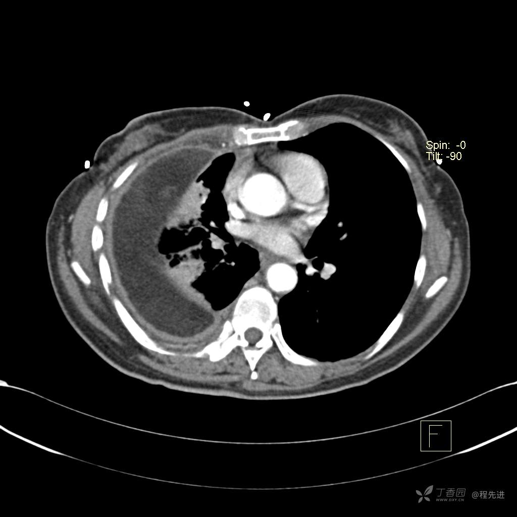
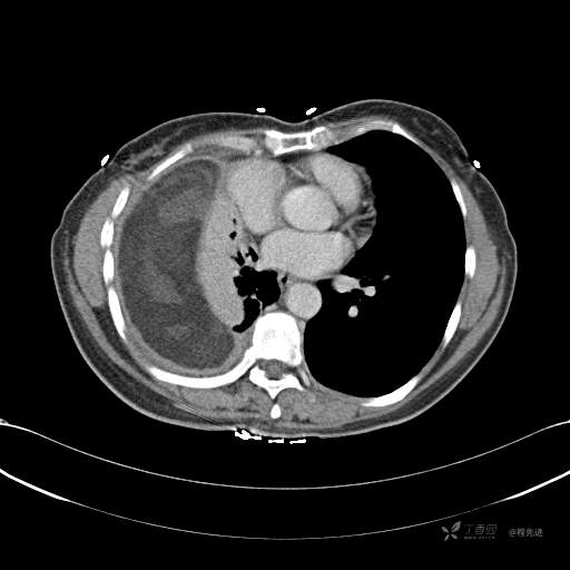
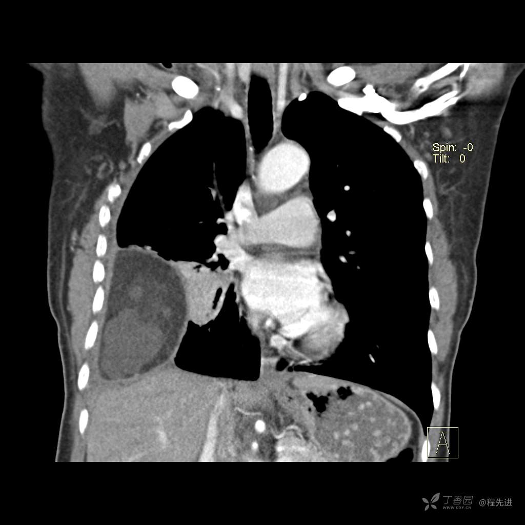
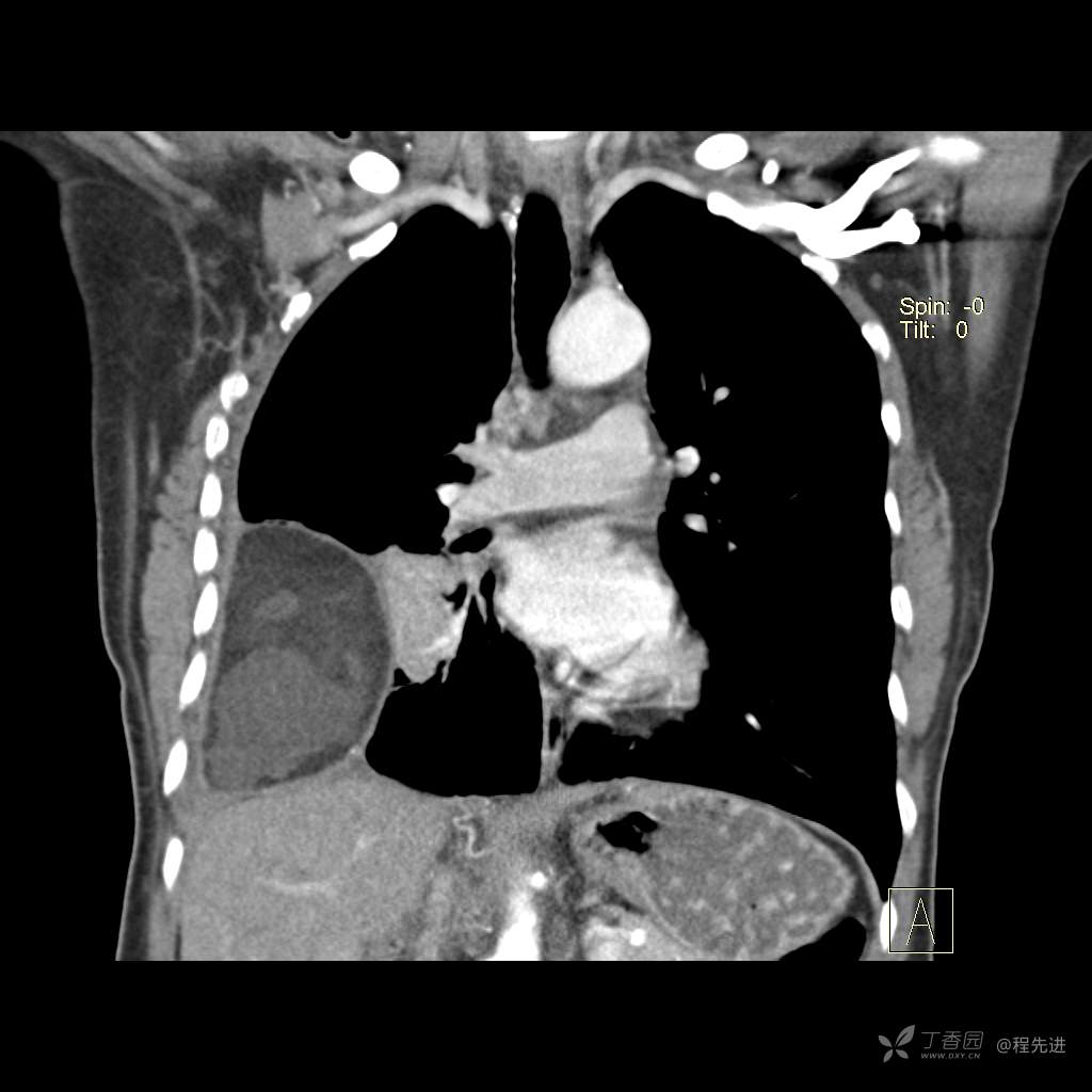
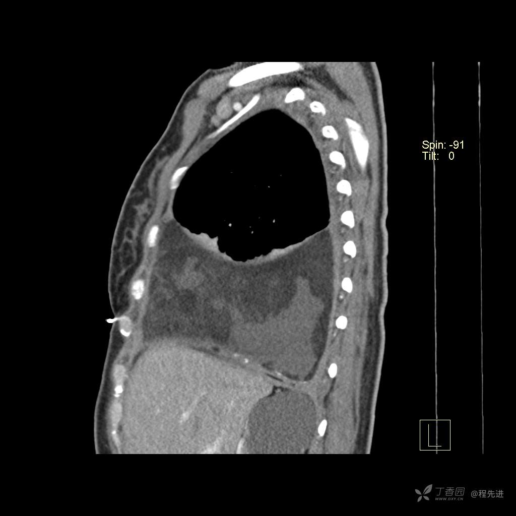
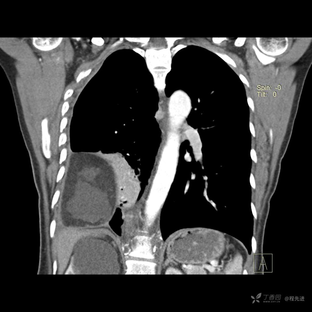
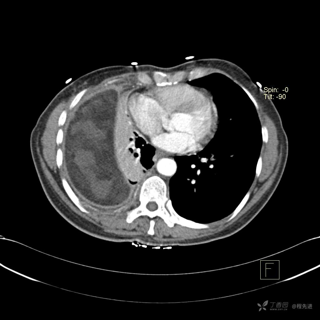
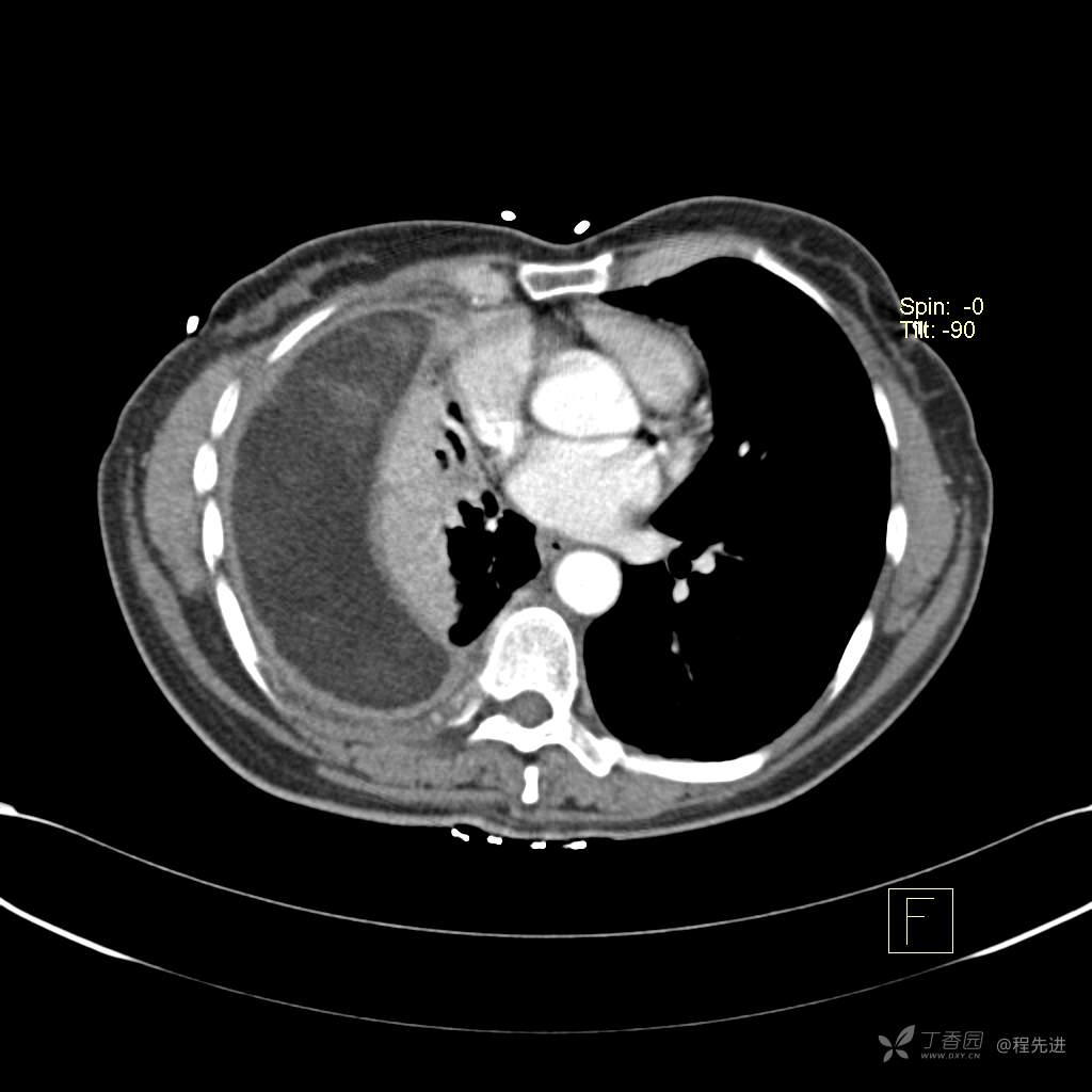
患者性别:女

患者年龄:51岁

简要病史:胸闷半年

img
img
img
img
img
img
img
img
img
img
img
img
img
img
img
img
img
img
img
img
img
img
img
img
img
img
img
img
img
img
img
img
img
img
img
img
img
img
img
img
img
img
img
img
img
img
img
img
img
img
img
img
img
img
img
img
img
img
img
img
img
img
img
img
img
img
img
img
img
img
img
img
img
img
img
img
img
img
img
img
img
img
img
img
img
img
img
img
img
img
img
img
img
img
img
img
img
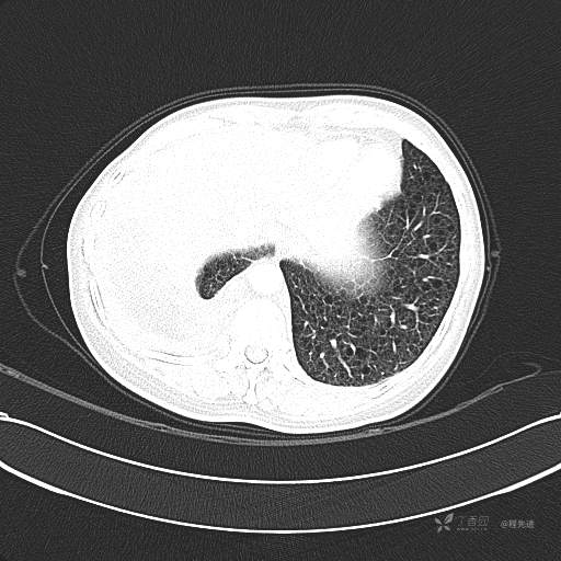
肺淋巴管肌瘤病 (7)
乳糜胸 (8)
纠错
150 11 17
同行评议(0)
已评议
不开通精选
开通精选
精选已授权,待上线
评议结果暂未公布
参与评议
去邀请
NaN
病例完整NaN
临床实用NaN
诊疗科学NaN
学术价值NaN

全部讨论(0)

默认最新
avatar
150
分享帖子
share-weibo分享到微博
share-weibo分享到微信
认证
返回顶部