1月特别精彩病例|中老年女性,盆腔包块近半年持续增大【病理已公布】
呱呱叫了 等 2 位达人已点赞患者性别:女
患者年龄:53岁
简要病史:4年前体检时发现盆腔包块及子宫肌瘤,近半年复查盆腔彩超发现包块持续增大,近1年月经欠规律,伴腰、腹胀。
体格检查:宫颈举痛(+),子宫增大,质地中等,活动可,无压痛;右下腹轻压痛,无反跳痛,左侧附件区未扪及明显包块,无压痛。
辅助检查:
肿标:(—),余(—)
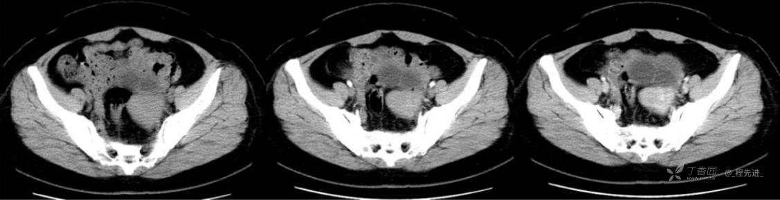
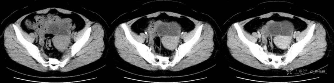
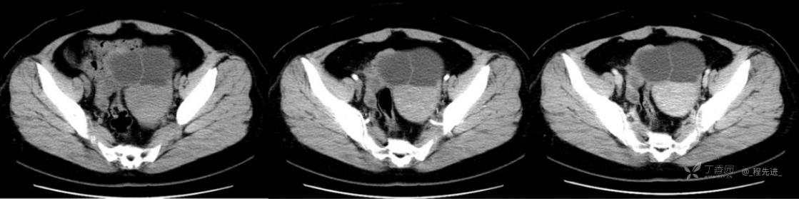
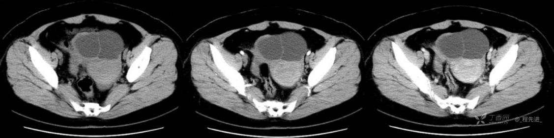
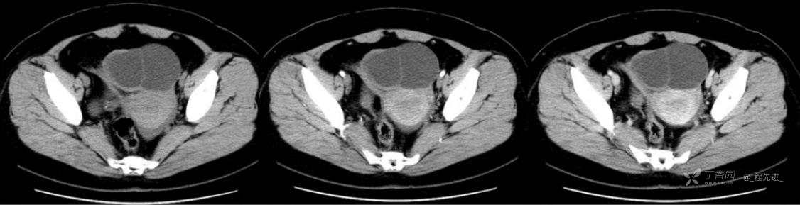
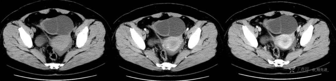
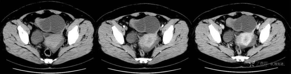
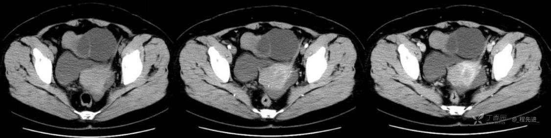
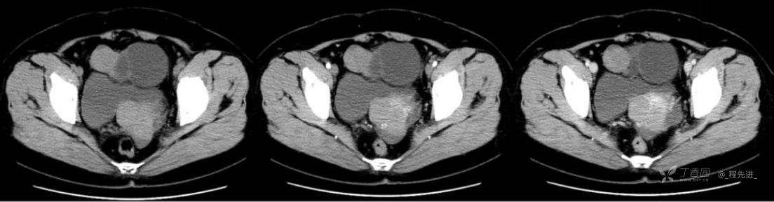
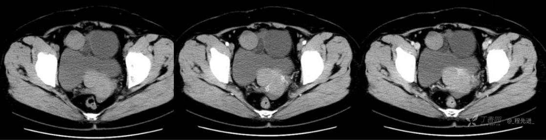
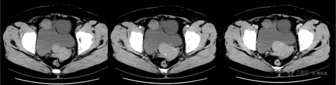
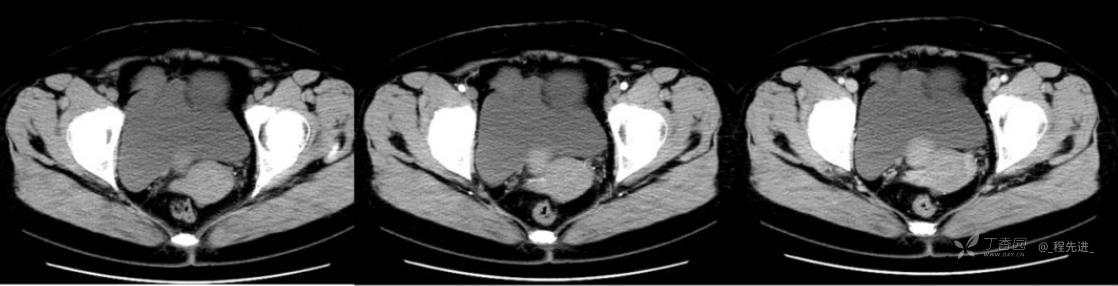
阴式彩超:子宫约65*58*44mm大小,子宫肌层可见多个低回声块影,较大的为35*27mm(位于子宫前壁下段偏右侧壁),边界清,内回声欠均匀,后方回声衰减。考虑子宫多发肌瘤。子宫后壁可见一混合回声包块,大小约31*20mm,边界不清,内呈强弱回声,分布不均,考虑子宫腺肌瘤,其他疾患待删。子宫内膜厚6mm,宫颈可见多个囊性暗区,边界清,内透声好,后壁效应增强,较大的为15*11mm。子宫前方偏左侧可探及一大小89*75mm囊性肿块,边界清,壁薄光滑,内透声好,可见分隔光带



























































