dxy logo
首页丁香园病例库全部版块
搜索
登录

12月特别精彩病例|中老年女性,头痛头晕4年余,典型病例【全军覆没,回帖可看答案】

影像核医学版版主 · 发布于 2022-12-11 · IP 江西江西
6749 浏览
推荐、达人点赞 2 项荣誉
这个帖子发布于 2 年零 349 天前,其中的信息可能已发生改变或有所发展。

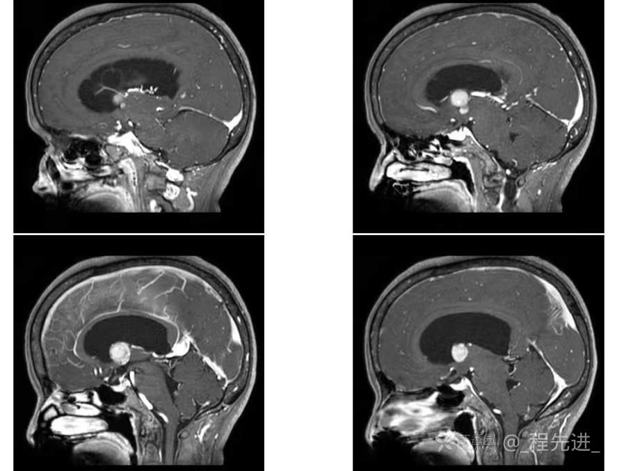
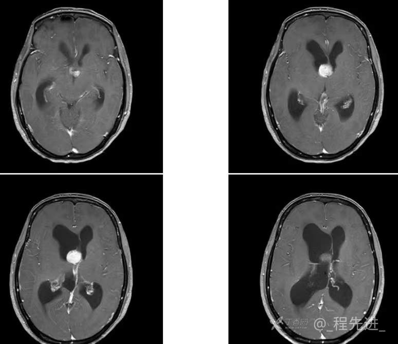
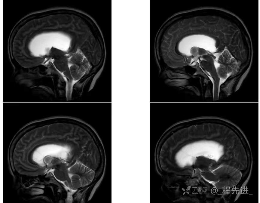
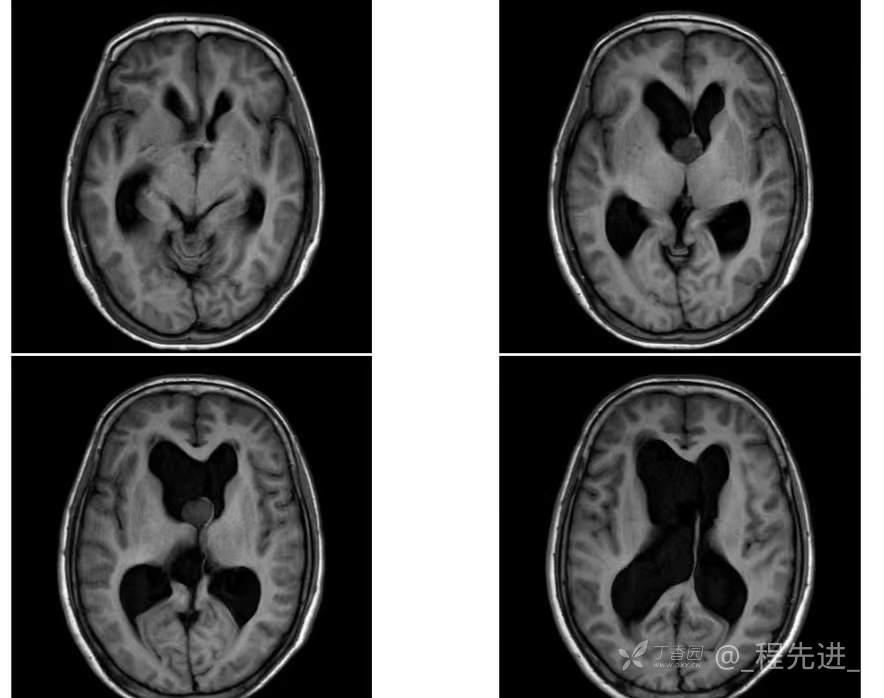
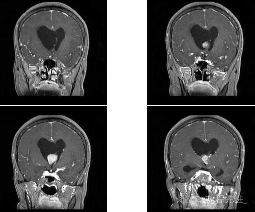
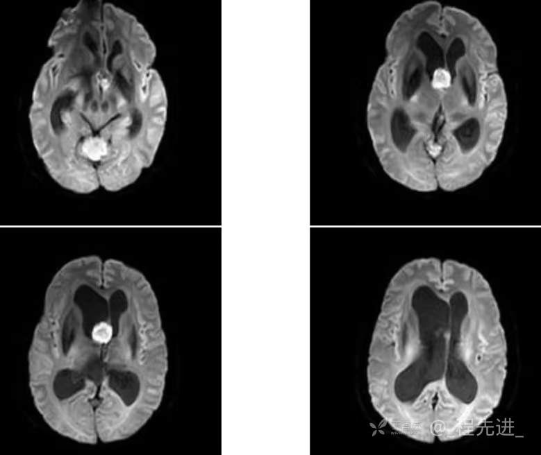
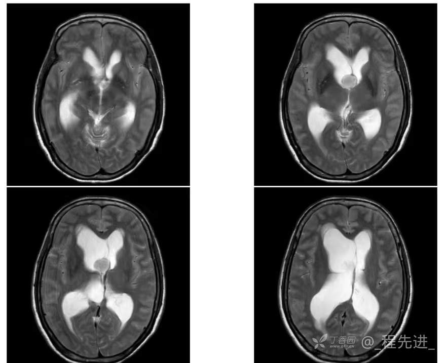
患者性别:女

患者年龄:55岁

简要病史:头痛头晕4年余,无明显诱因,10余年前因“输卵管破裂大出血”手术治疗

辅助检查:实验室检查无特殊


img
img
img
img
img
img
img
脑膜瘤 (78)
过渡型(混合性)脑膜瘤 (1)
纠错
209 8 12
同行评议(0)
已评议
不开通精选
开通精选
精选已授权,待上线
评议结果暂未公布
参与评议
去邀请
NaN
病例完整NaN
临床实用NaN
诊疗科学NaN
学术价值NaN

全部讨论(0)

默认最新
avatar
209
分享帖子
share-weibo分享到微博
share-weibo分享到微信
认证
返回顶部