dxy logo
首页丁香园病例库全部版块
搜索
登录

病例中老年女性,偶然发现纵隔占位---结果公布

影像核医学版版主 · 发布于 2024-01-25 · IP 湖北湖北
3166 浏览
icon胡志勇HZY 达人已点赞
这个帖子发布于 1 年零 304 天前,其中的信息可能已发生改变或有所发展。

患者性别:女

患者年龄:49岁

简要病史:跟骨骨折,常规CT发现纵隔占位

体格检查:(-)

辅助检查:CT

临床诊断:纵隔占位

治疗经过:手术

讨论:病变性质?

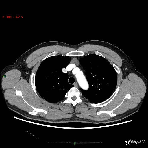
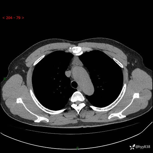
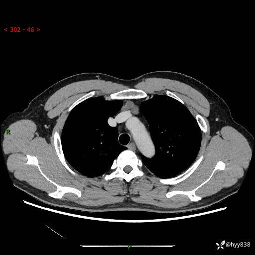
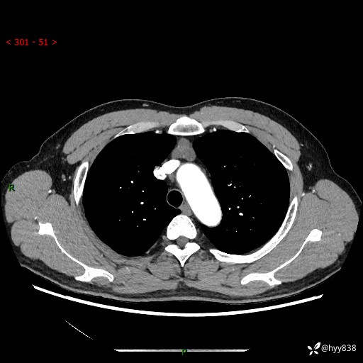
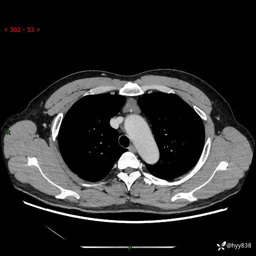
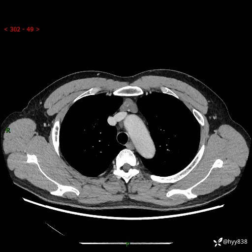
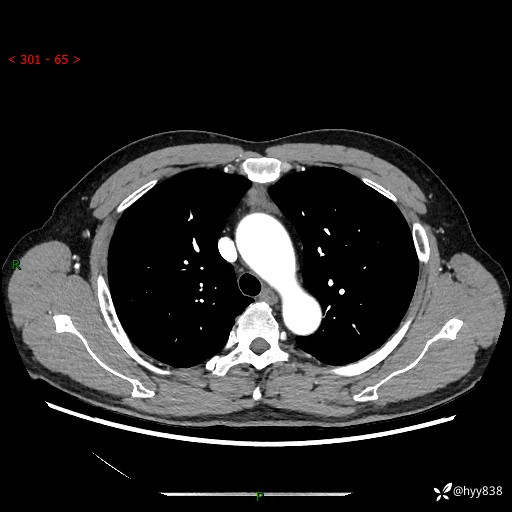
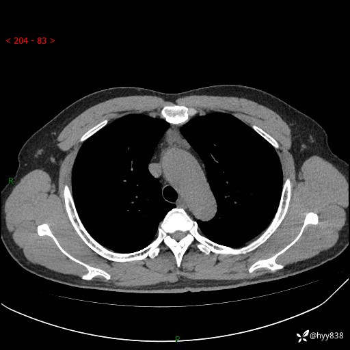
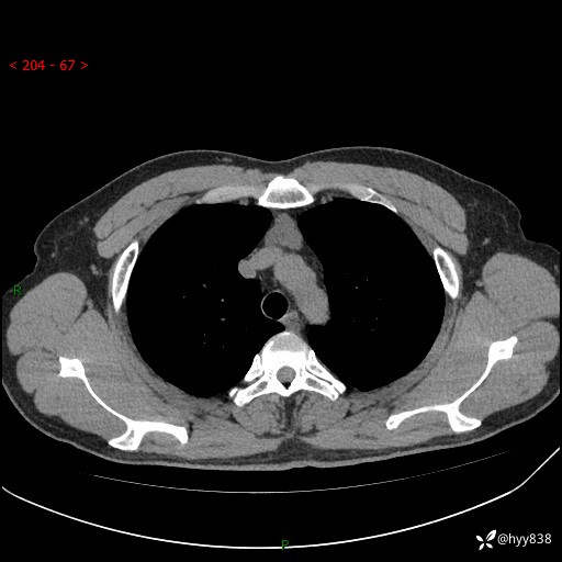
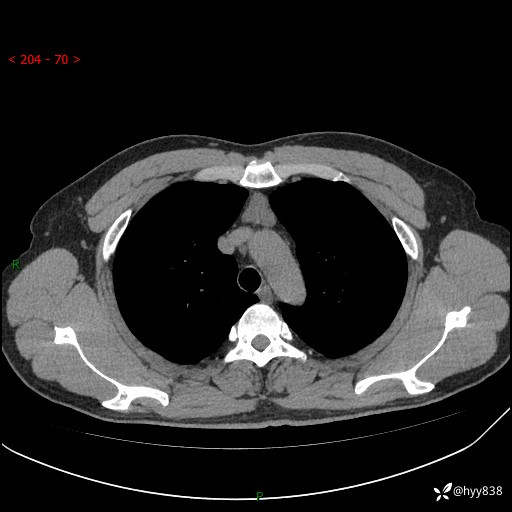
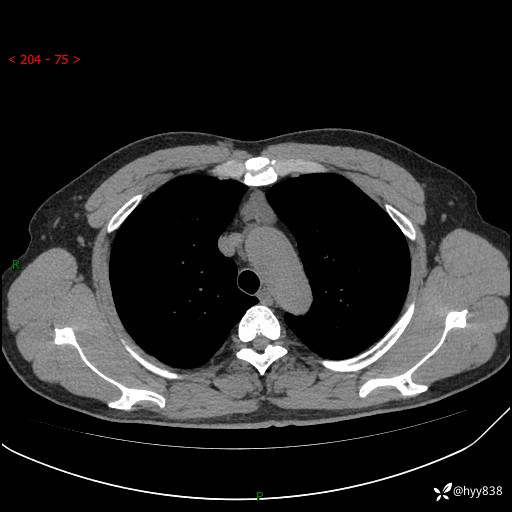
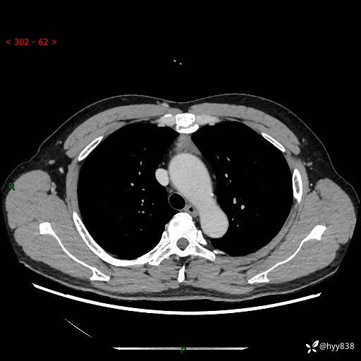
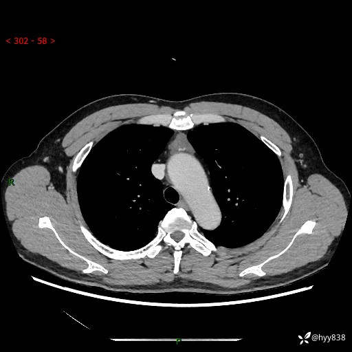
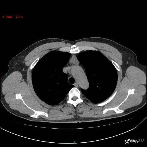
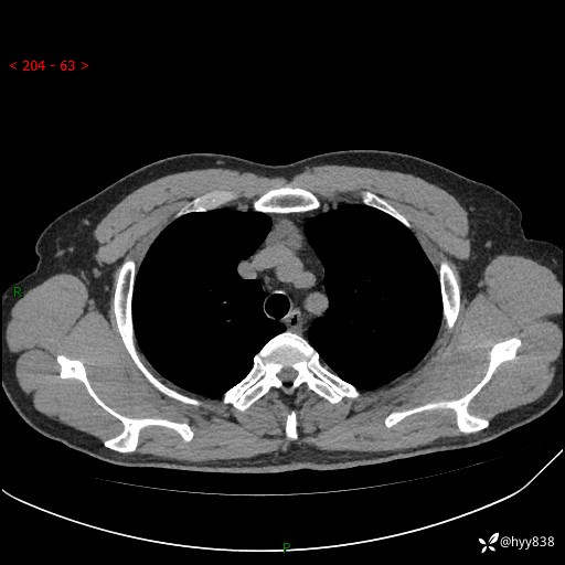
胸部CT平扫

img
img
img
img
img
img
img
img
img

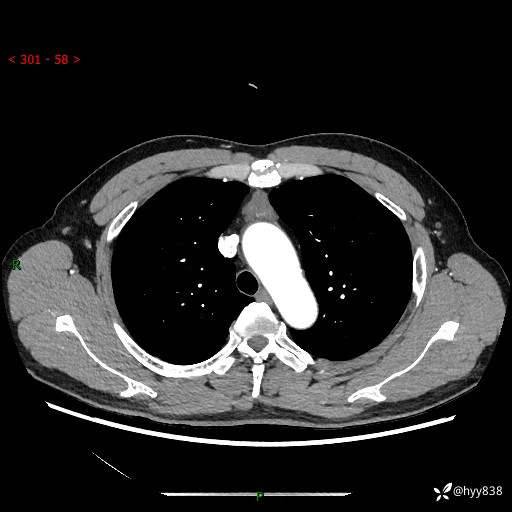
增强(动脉期+静脉期)

img
img
img
img
img
img
img
img
img
img
img
骨折 (1442)
纠错
21 3 7
同行评议(0)
已评议
不开通精选
开通精选
精选已授权,待上线
评议结果暂未公布
参与评议
去邀请
NaN
病例完整NaN
临床实用NaN
诊疗科学NaN
学术价值NaN

全部讨论(0)

默认最新
avatar
21
分享帖子
share-weibo分享到微博
share-weibo分享到微信
认证
返回顶部