【心胸】特别精彩病例|全身乏力近1月,发现纵隔占位20天
胡志勇HZY 等 2 位达人已点赞病例信息
【患者信息】:男,61岁
【主诉】:全身乏力近1月,发现纵隔占位20天
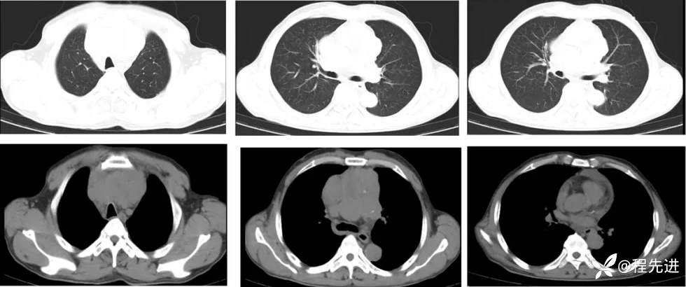
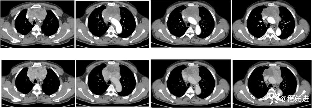
【现病史及既往史】:1月前因“脑梗死”就诊于外院进行治疗,住院期间行胸部CT检查提示纵隔占位
【检查】:
神经元特异性烯醇化酶 20.70(0-17)
影像检查:


胡志勇HZY 等 2 位达人已点赞病例信息
【患者信息】:男,61岁
【主诉】:全身乏力近1月,发现纵隔占位20天
【现病史及既往史】:1月前因“脑梗死”就诊于外院进行治疗,住院期间行胸部CT检查提示纵隔占位
【检查】:
神经元特异性烯醇化酶 20.70(0-17)
影像检查:


