偶然发现纵隔占位,如何解读CT“结中结”---结果公布~
胡志勇HZY 达人已点赞患者性别:女
患者年龄:49岁
主诉:上腹部不适7天,CT偶然发现纵隔占位
简要病史:患者7天无明显诱因出现剑突下隐痛不适,程度不剧,可耐受,进食后疼痛可加重,未向其他部位放射,无黑便、血便,无腹胀、腹泻、腹痛、恶心呕吐、反酸、嗳气等不适,无心慌、胸痛、气促不适,遂今日于我科门诊行胃镜检查提示:胃角溃疡(A1期,待病理),现为求进一步治疗来我院,门诊以“胃多发息肉”收入院。 起病以来,患者精神、饮食、睡眠可,大小便正常,体力体重无明显变化。
体格检查:(-)
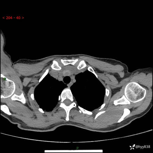
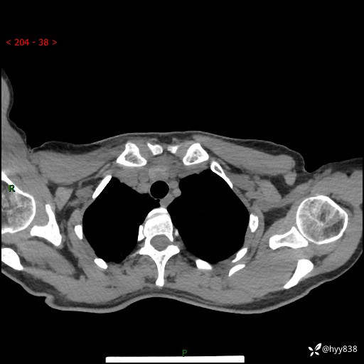
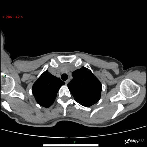
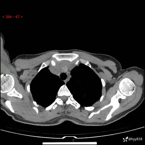
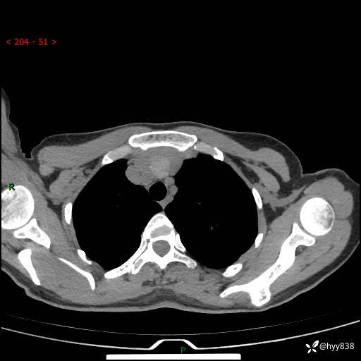
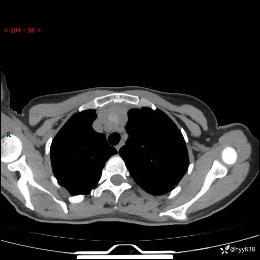
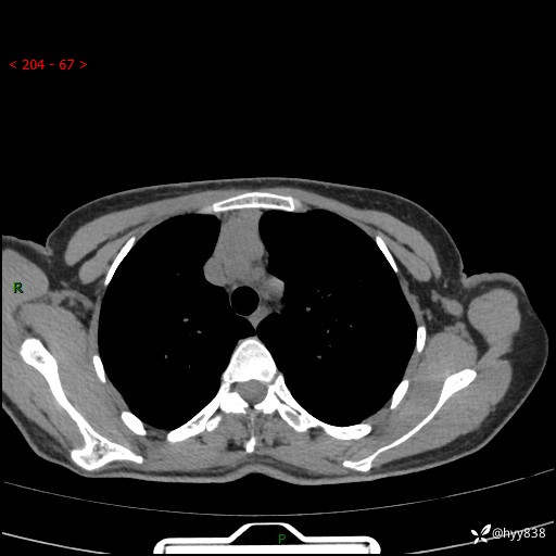
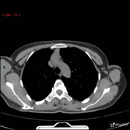
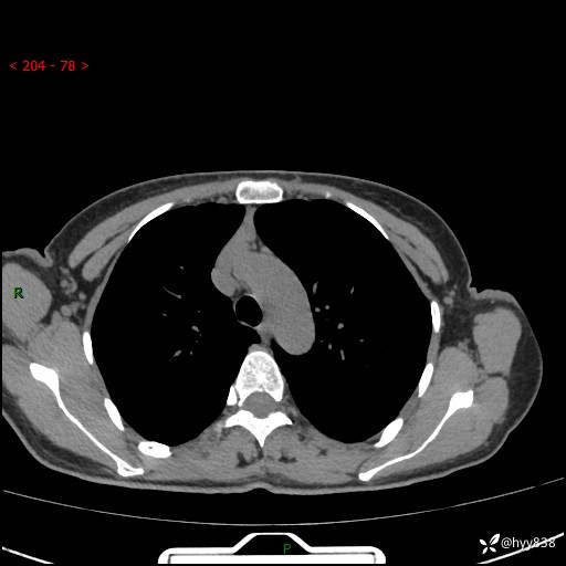
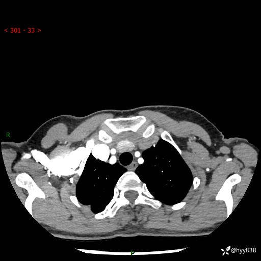
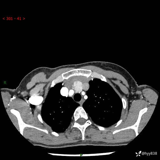
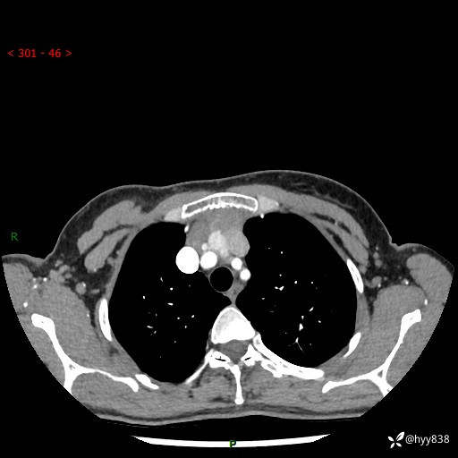
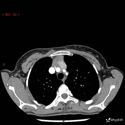
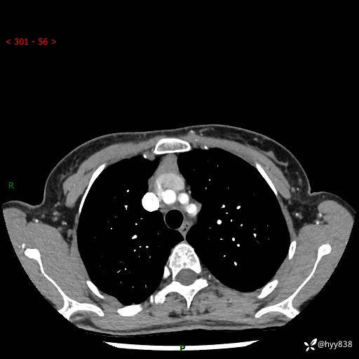
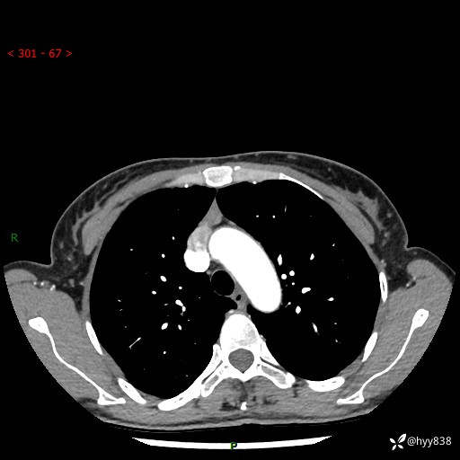
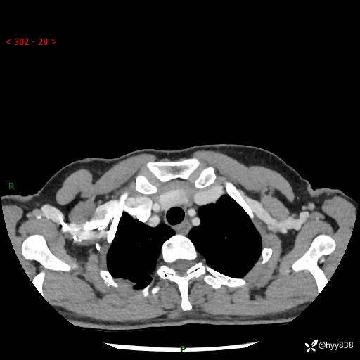
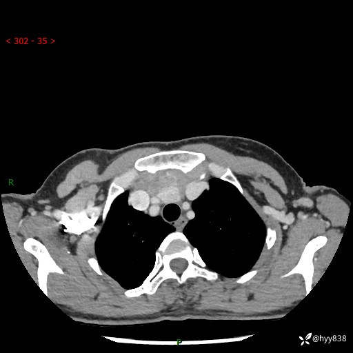
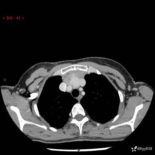
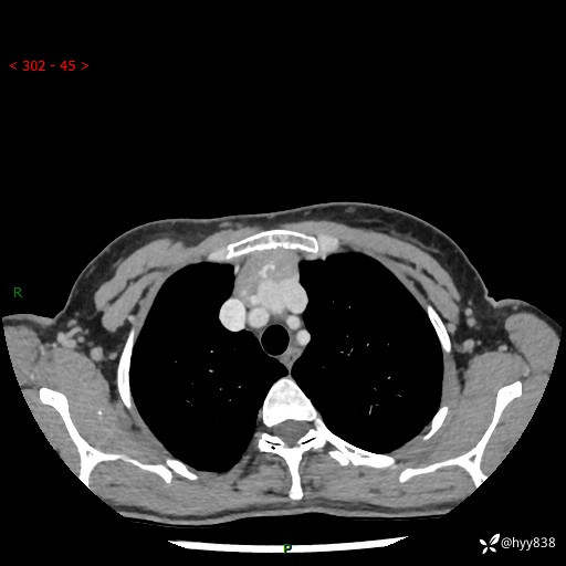
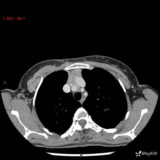
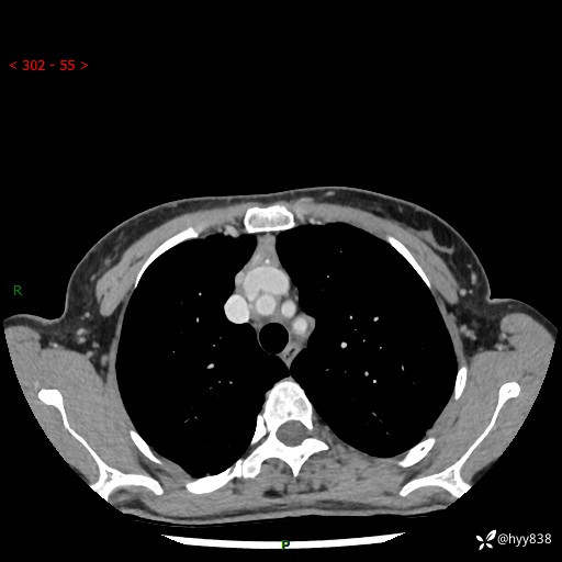
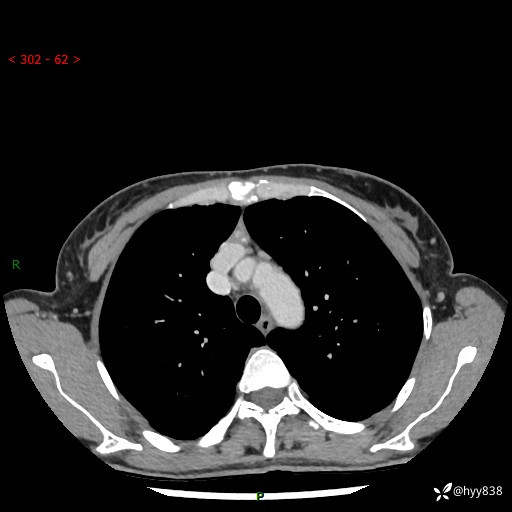
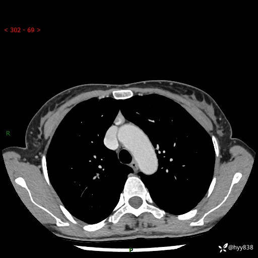
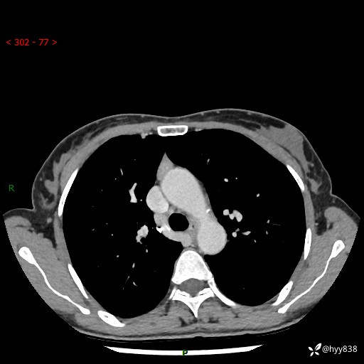
辅助检查:CT
临床诊断:纵隔占位
治疗经过:手术
讨论:病变性质?
胸部CT平扫











增强动脉期+静脉期






























































