【影诊笔记628】体检发现纵隔占位,请分析……有病理!
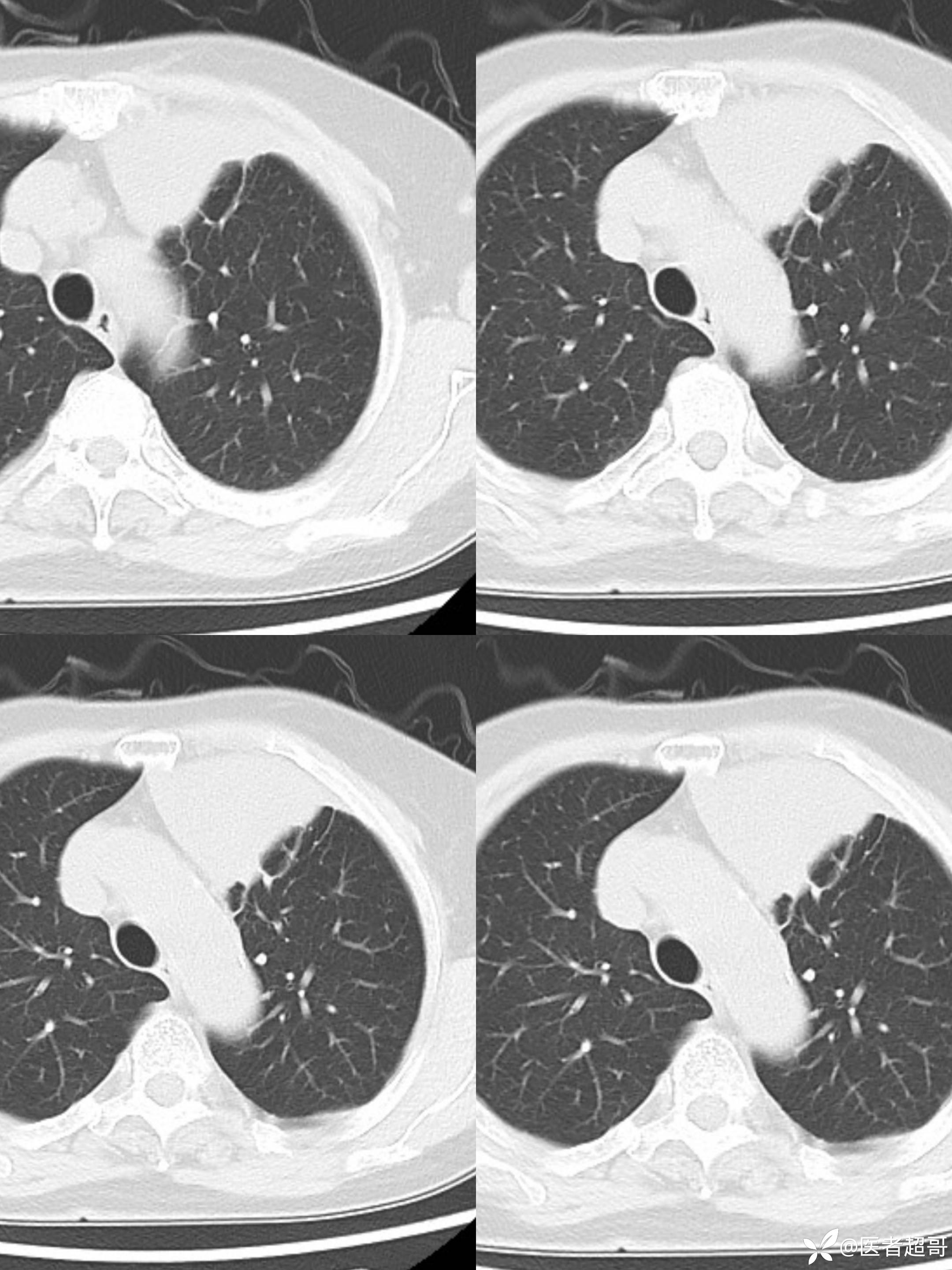
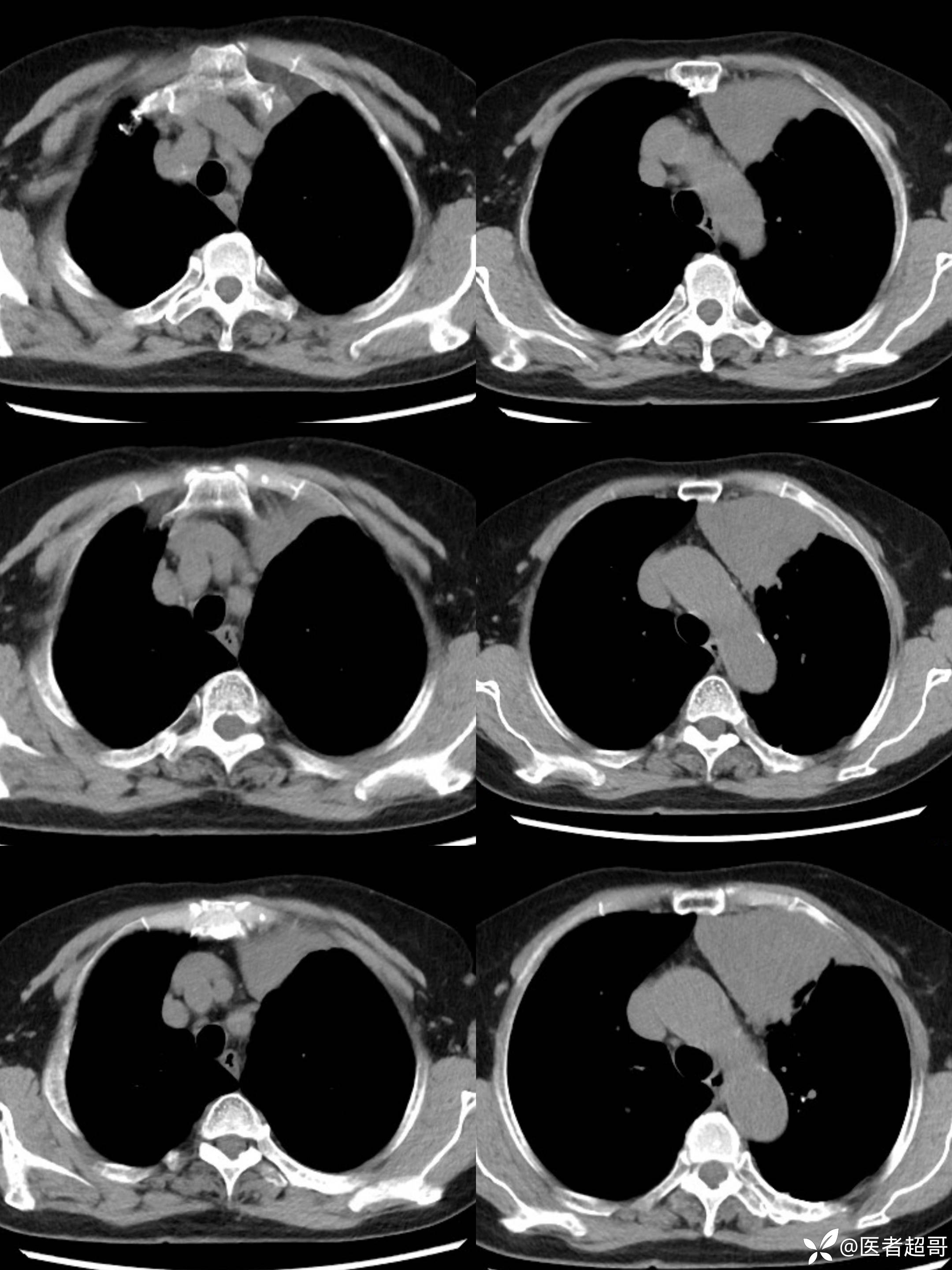
女73岁,体检发现左上纵隔占位1周
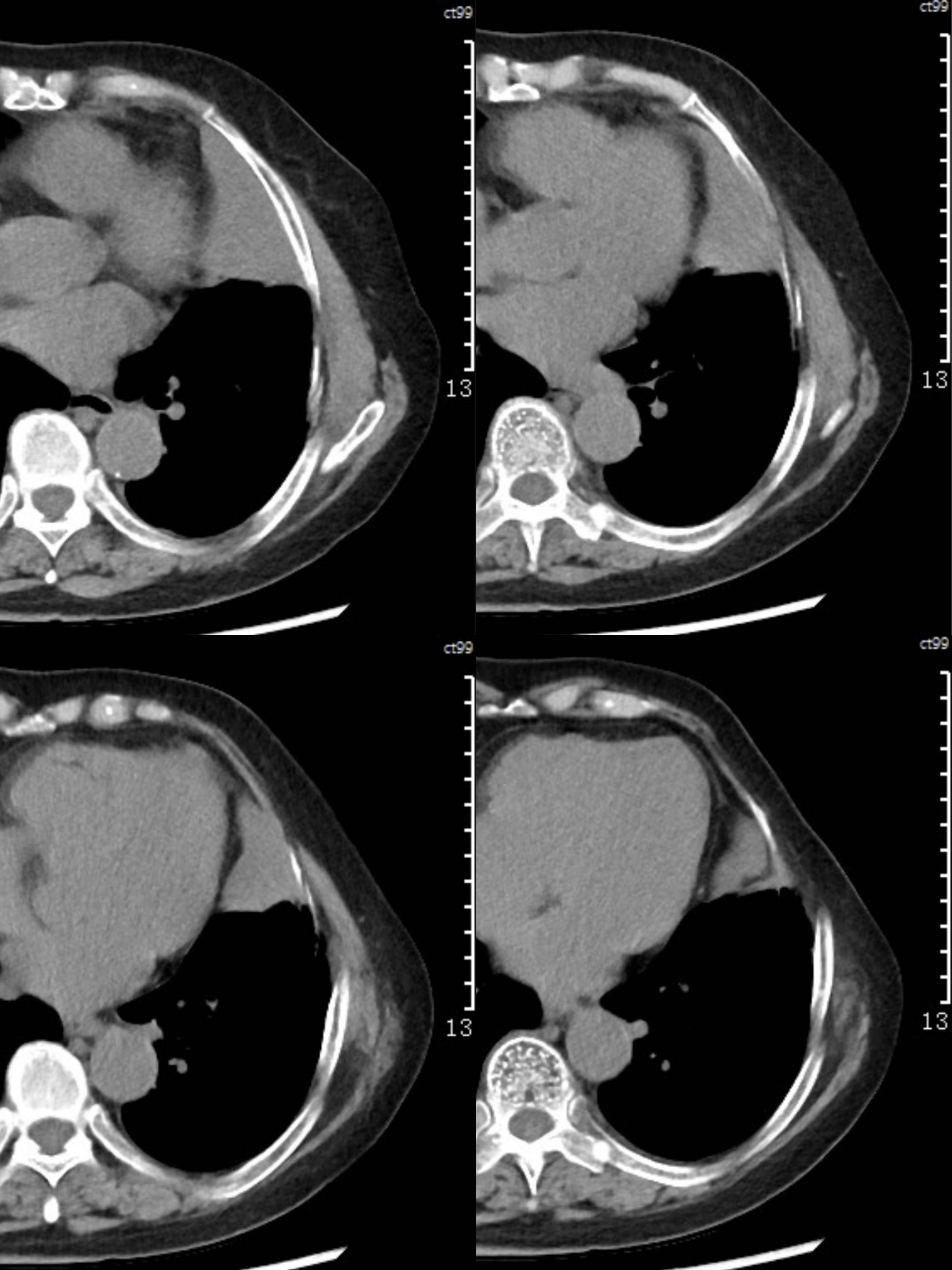
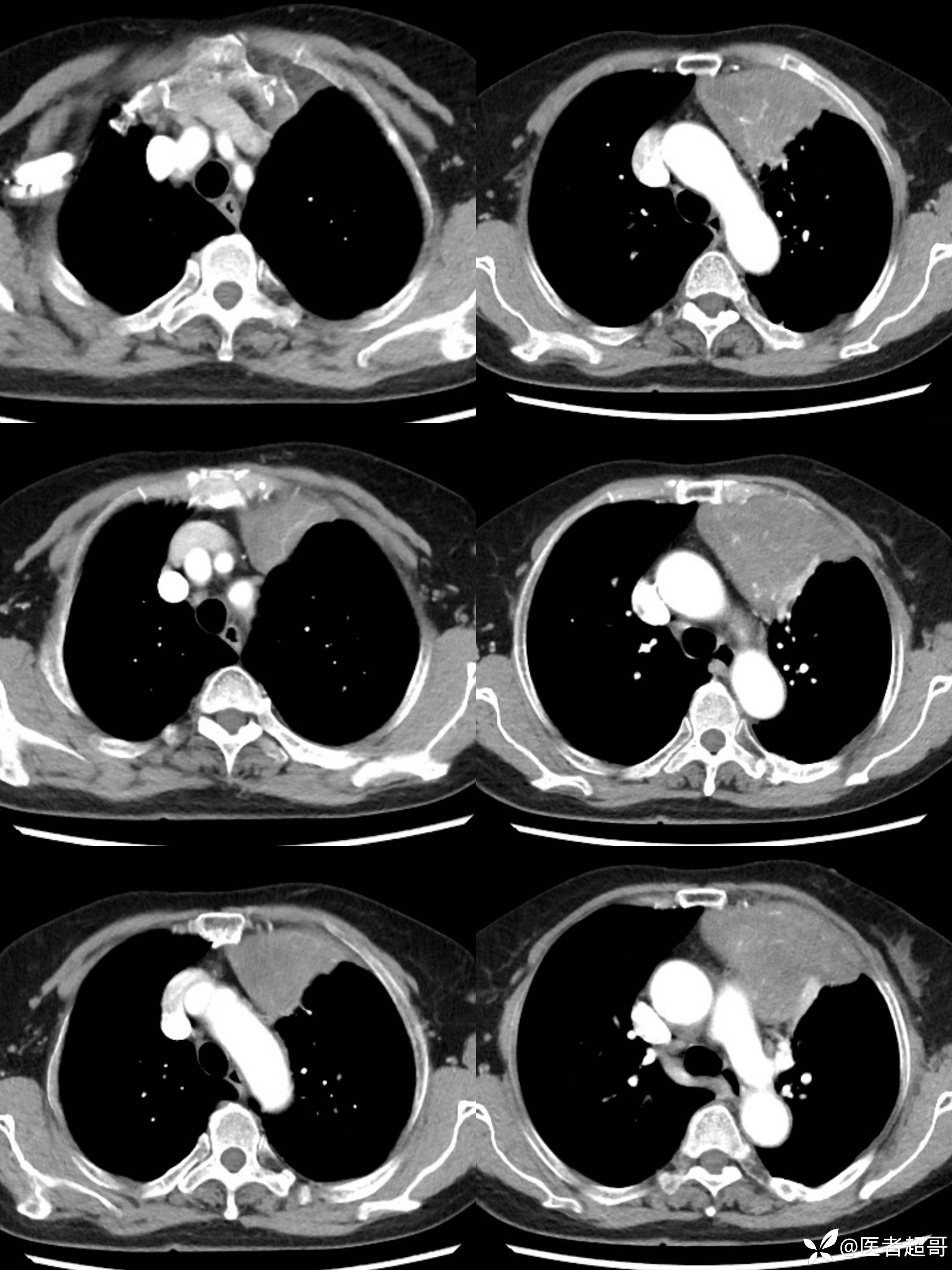
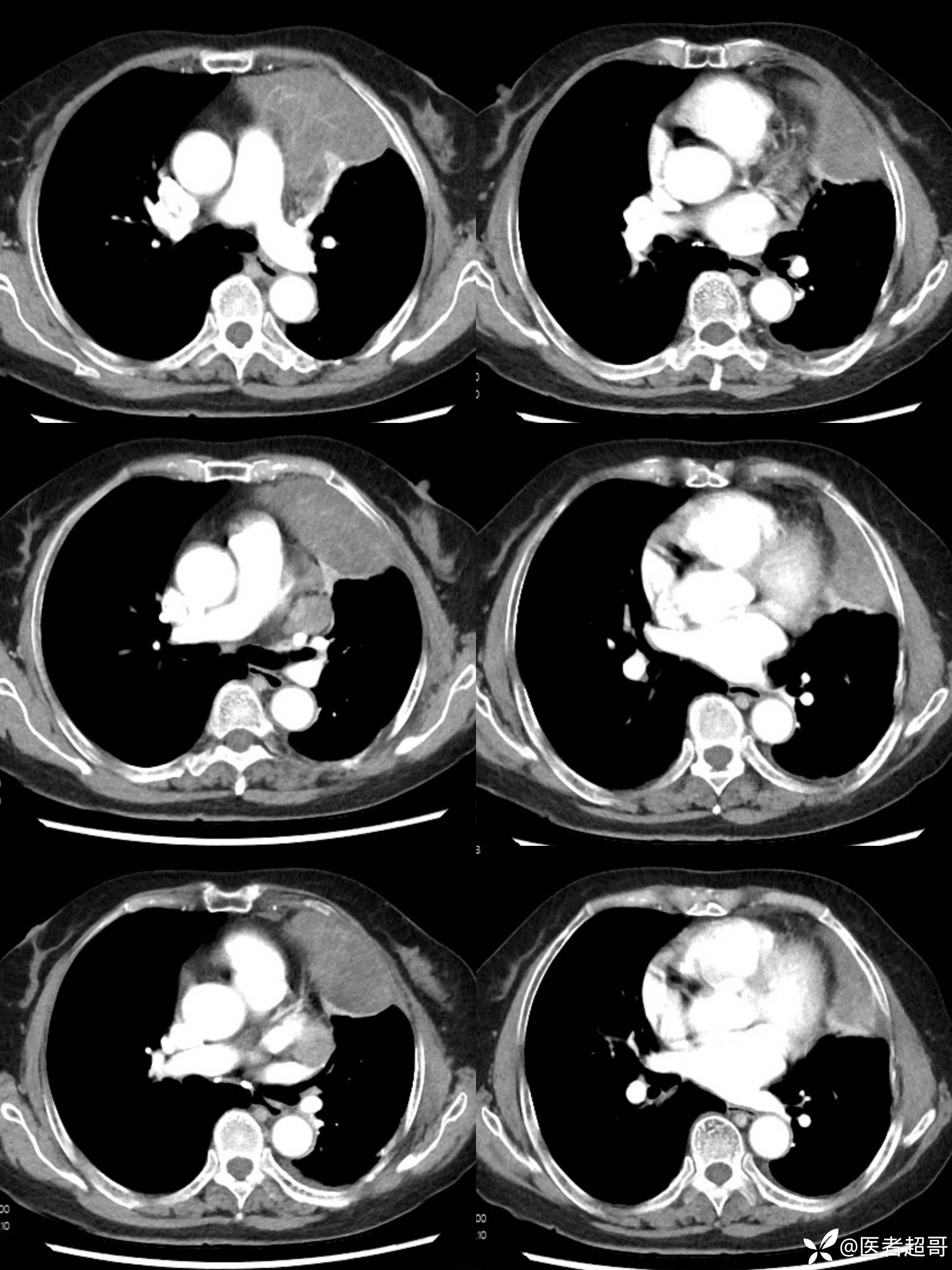
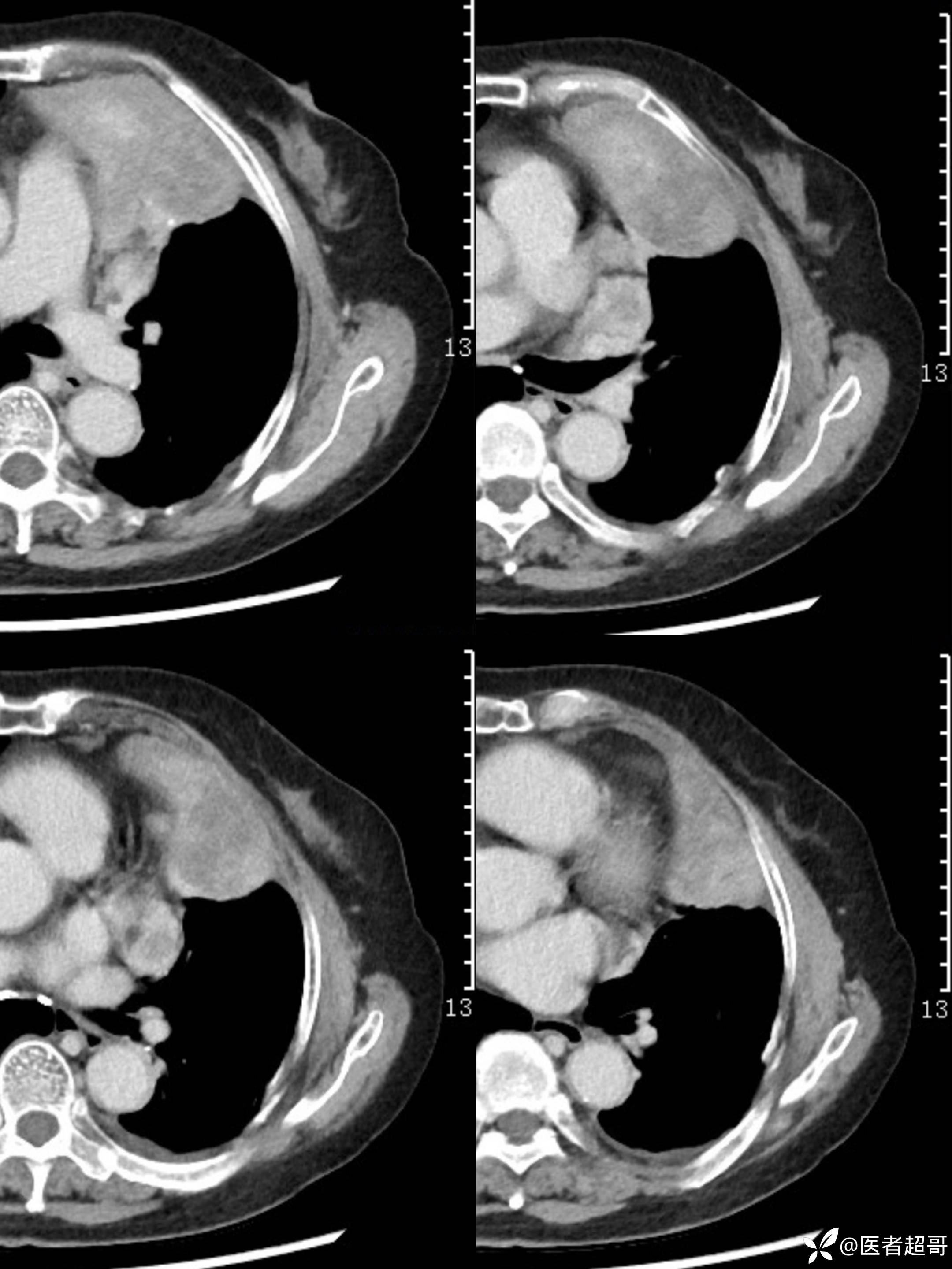
患者于1周前体检行CT检查提示:“左上纵隔见不规则团块状软组织密度影,大小约90*63mm”,患者平素偶有头晕,无明显胸闷气急,今为进一步治疗来我院就诊, 门诊以"左上纵隔肿物"收入院。
糖类抗原125(CA125):44.9(正常0-30.2),余实验室检查无殊
既往史无殊。









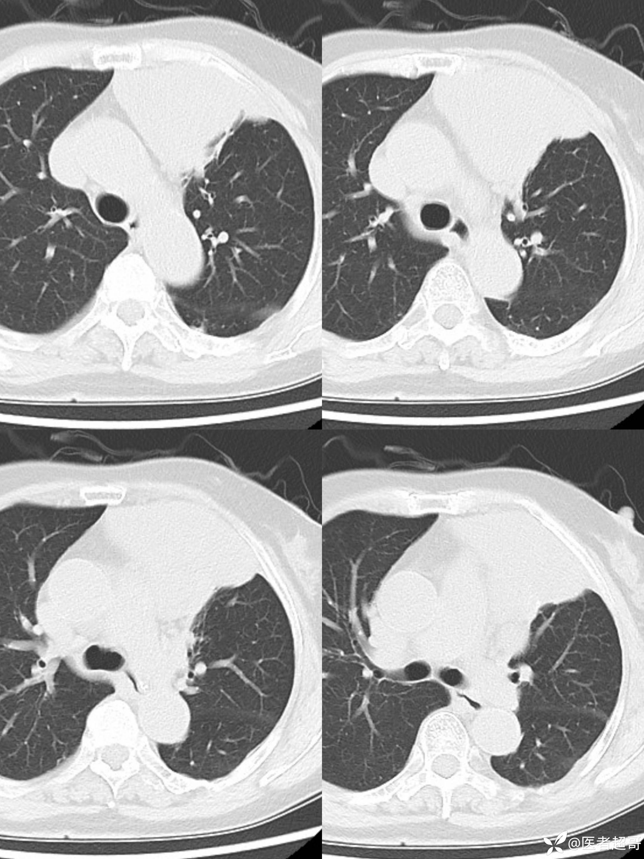
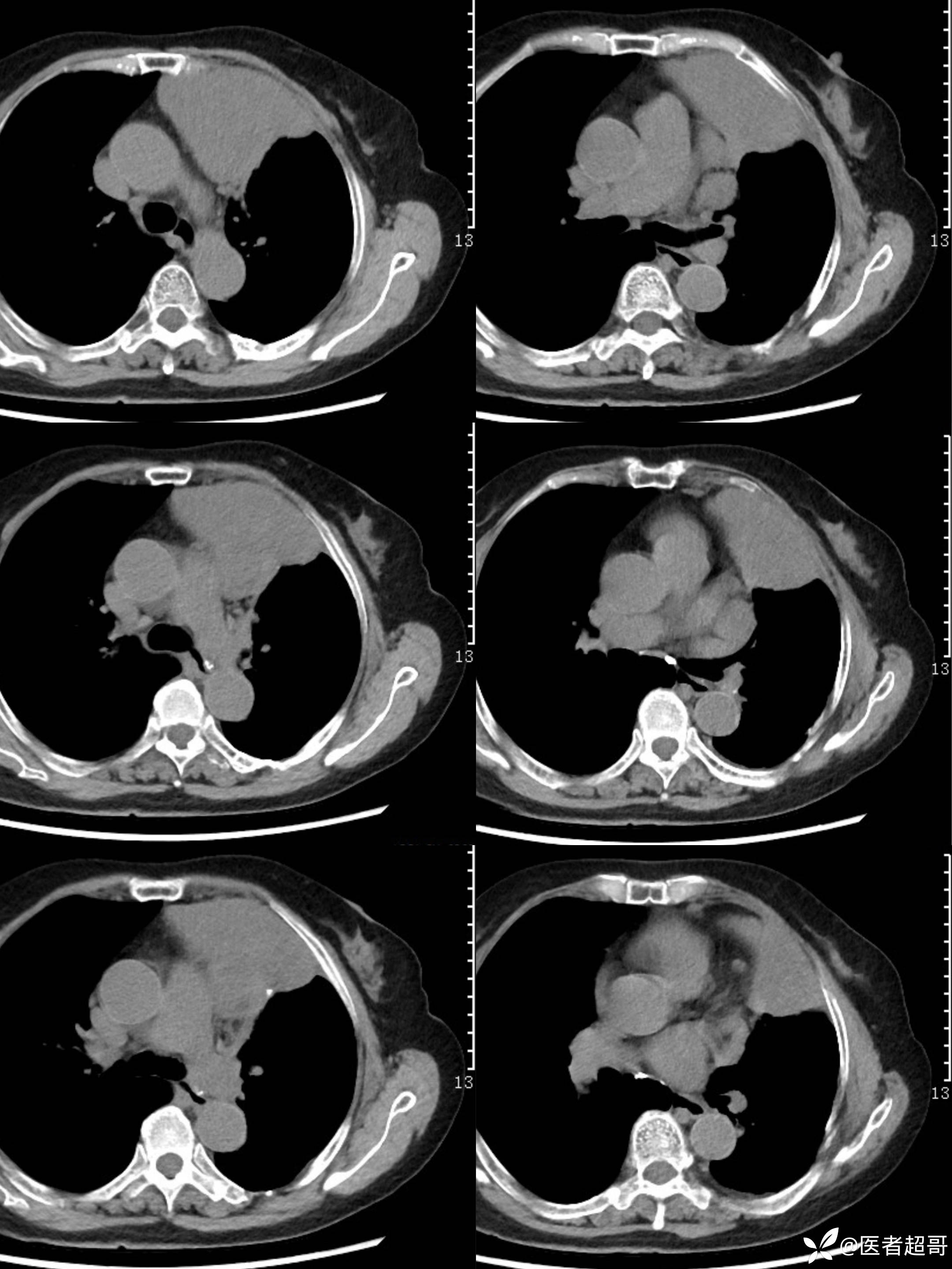
女73岁,体检发现左上纵隔占位1周
患者于1周前体检行CT检查提示:“左上纵隔见不规则团块状软组织密度影,大小约90*63mm”,患者平素偶有头晕,无明显胸闷气急,今为进一步治疗来我院就诊, 门诊以"左上纵隔肿物"收入院。
糖类抗原125(CA125):44.9(正常0-30.2),余实验室检查无殊
既往史无殊。









