【神经】特别精彩病例|体检发现颅内占位13天
呱呱叫了 等 2 位达人已点赞病例信息
【患者信息】:男,50岁
【主诉】:体检发现颅内占位13天
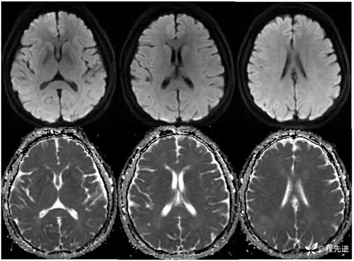
【现病史及既往史】:体检发规颅内占位13天。无恶心呕吐。外院磁共振示,右顶可疑占位,无明显强化。既往史:脑梗塞病史半月余;糖尿病史10余年。
【检查】:
查体:神情、语利,能正确对答。双瞳等大,直径左,右一2.5-2.5mm,光反应好,伸舌,示齿居中,颈软,四肢活动好。病理征阴性。
【临床诊断】:颅内占位性病变



呱呱叫了 等 2 位达人已点赞病例信息
【患者信息】:男,50岁
【主诉】:体检发现颅内占位13天
【现病史及既往史】:体检发规颅内占位13天。无恶心呕吐。外院磁共振示,右顶可疑占位,无明显强化。既往史:脑梗塞病史半月余;糖尿病史10余年。
【检查】:
查体:神情、语利,能正确对答。双瞳等大,直径左,右一2.5-2.5mm,光反应好,伸舌,示齿居中,颈软,四肢活动好。病理征阴性。
【临床诊断】:颅内占位性病变



