2410骨肌影像病例|体检发现胰尾部肿块4年,现发现右侧顶部包块
李梦杰huxi 等 3 位达人已点赞病例信息
【患者信息】:女,72岁
【主诉】:
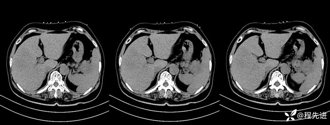
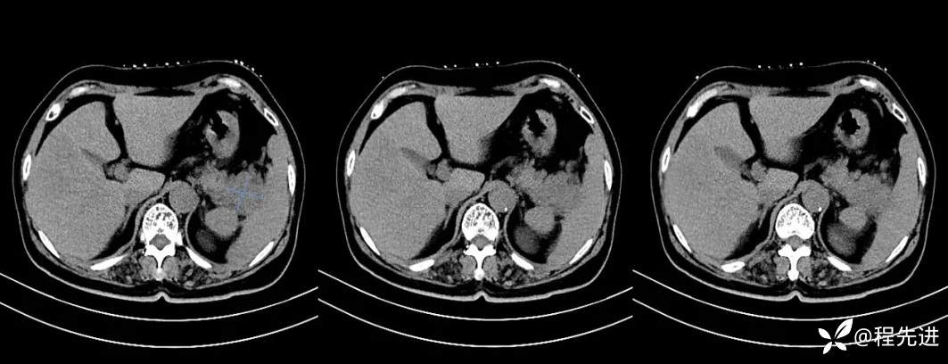
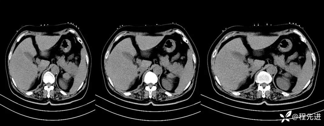
【现病史及既往史】:体检发现胰尾部肿块4年,当时手术病理提示异常增生性病变,现发现右侧顶部包块,逐渐增大,无明显感觉不适
【检查】:
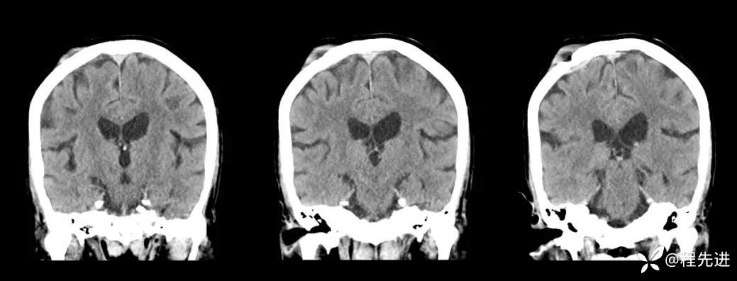
查体:右侧顶部皮下可触及一包块,长约23mm,压痛(+),波动感(+-),可推动,边界清晰。
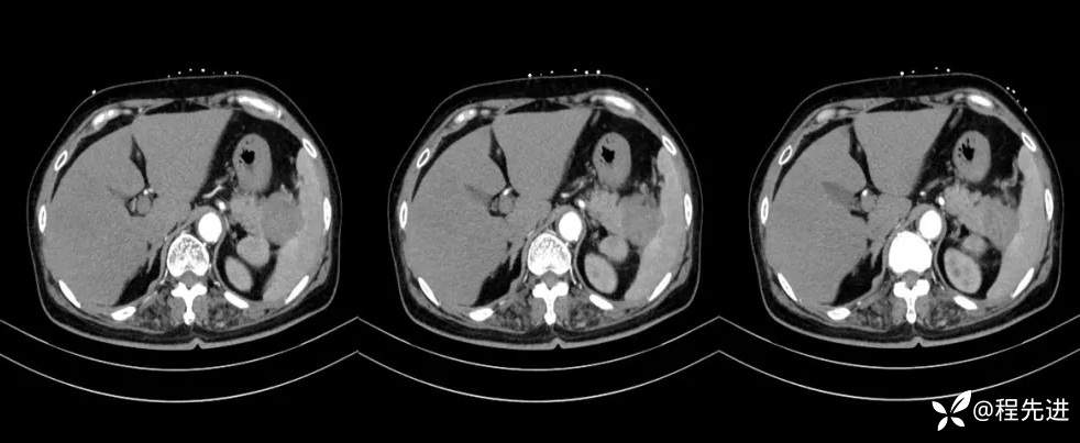
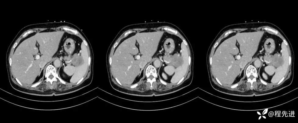
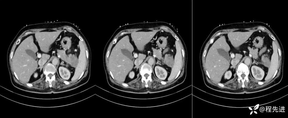
影像检查:



















李梦杰huxi 等 3 位达人已点赞病例信息
【患者信息】:女,72岁
【主诉】:
【现病史及既往史】:体检发现胰尾部肿块4年,当时手术病理提示异常增生性病变,现发现右侧顶部包块,逐渐增大,无明显感觉不适
【检查】:
查体:右侧顶部皮下可触及一包块,长约23mm,压痛(+),波动感(+-),可推动,边界清晰。
影像检查:



















