【腹盆】特别精彩病例|体检发现盆腔肿块半月余
呱呱叫了 等 3 位达人已点赞病例信息
【患者信息】:女,62岁
【主诉】:体检发现盆腔肿块半月余
【现病史及既往史】:患者半月余前于外院查B超示子宫巨大,子宫肌层明显不均匀。患者无畏寒发热,无腹痛腹胀,无异常阴道流血。精神胃纳好,二便如常,体重无改变。
【检查】:
专科情况:宫颈光滑,盆腔可扪及一包块,大小及边缘因患者肥胖扪及不清。
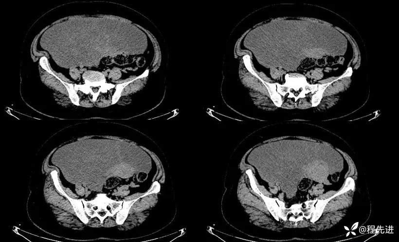
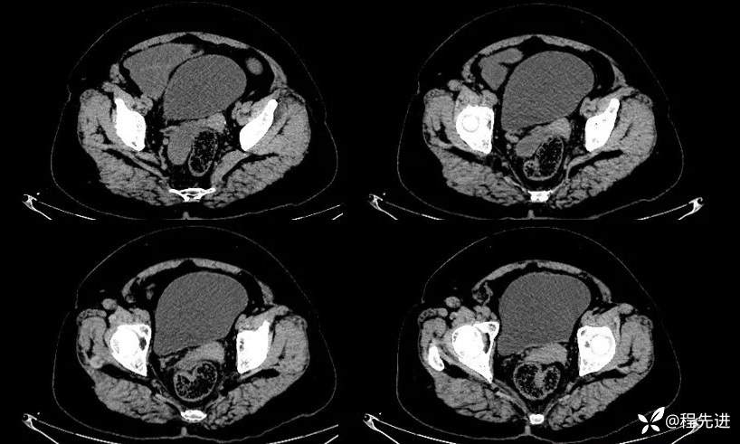
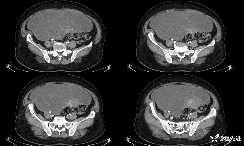
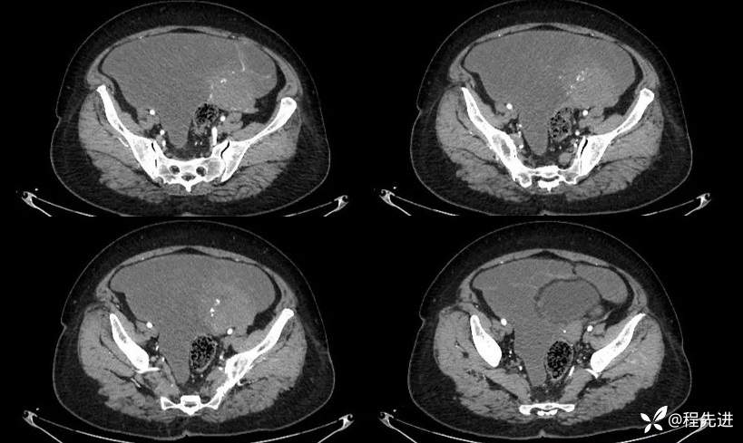
影像检查:
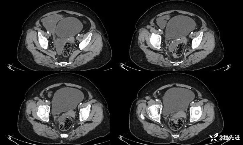
平扫:



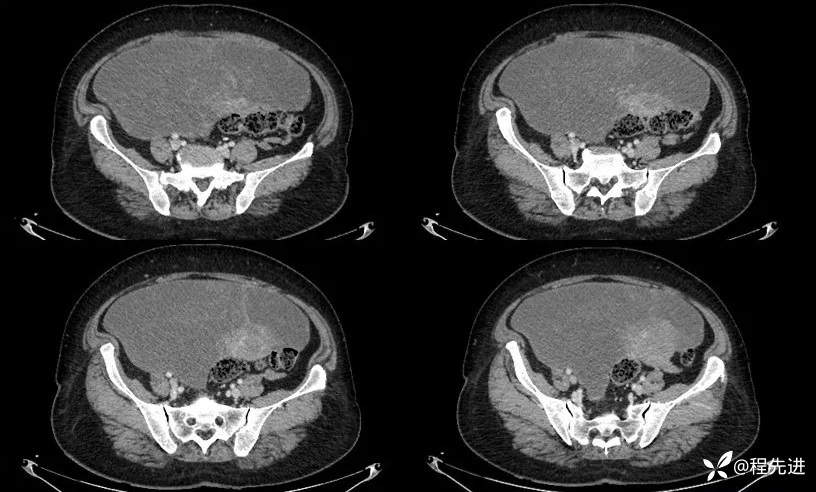
动脉期:



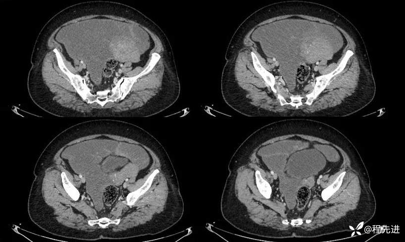
门脉期:



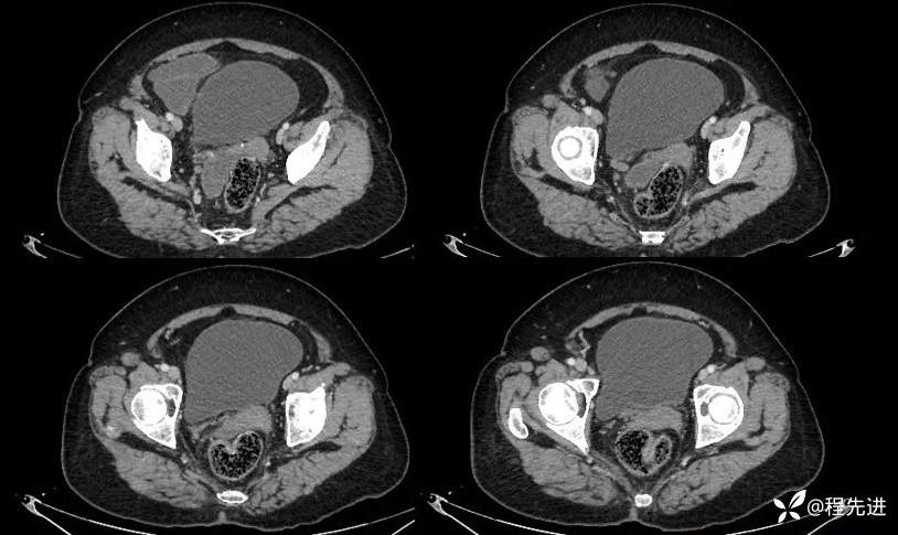
延迟期:






呱呱叫了 等 3 位达人已点赞病例信息
【患者信息】:女,62岁
【主诉】:体检发现盆腔肿块半月余
【现病史及既往史】:患者半月余前于外院查B超示子宫巨大,子宫肌层明显不均匀。患者无畏寒发热,无腹痛腹胀,无异常阴道流血。精神胃纳好,二便如常,体重无改变。
【检查】:
专科情况:宫颈光滑,盆腔可扪及一包块,大小及边缘因患者肥胖扪及不清。
影像检查:
平扫:



动脉期:



门脉期:



延迟期:






