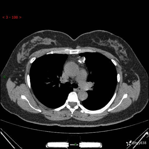
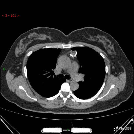
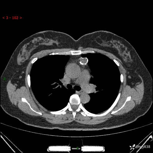
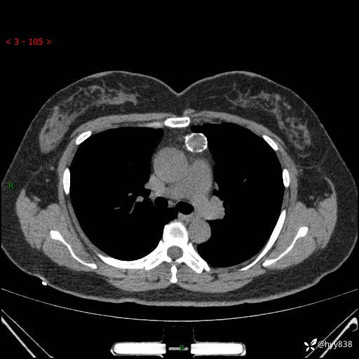
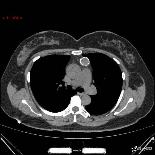
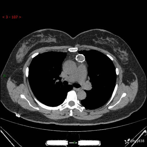
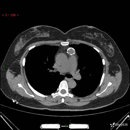
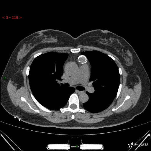
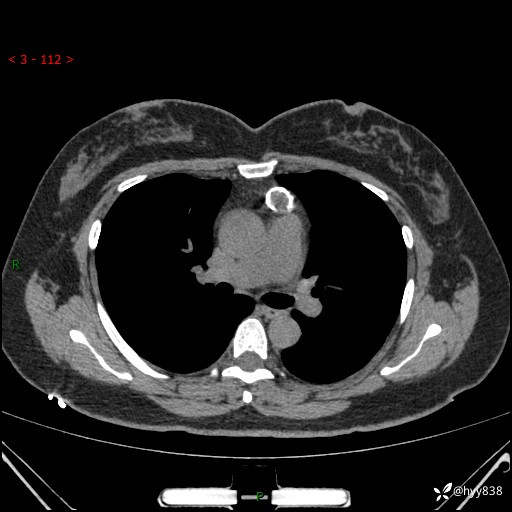
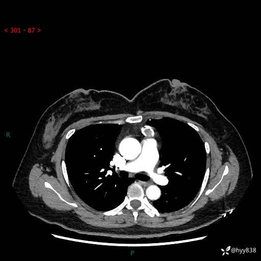
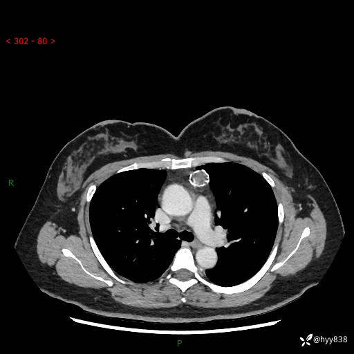
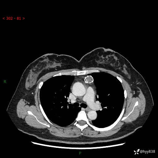
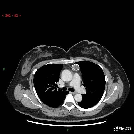
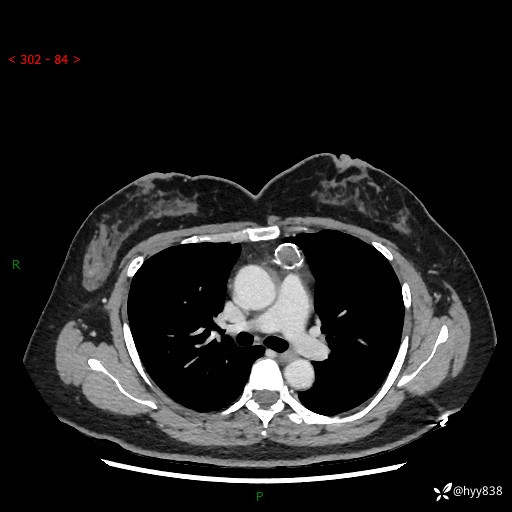
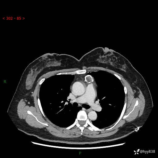
中年女性,检查发现纵隔占位3月余。圆圆的肿物,周围环绕一圈钙化---结果公布~
华夏览雄 等 2 位达人已点赞病例信息
性别:女
年龄:43岁
主诉:检查发现纵隔占位3月余。
现病史:患者于3月前体检行胸部CT检查发现纵隔占位,患者平素无明显咳嗽咳痰,无心慌、胸闷、胸痛、呼吸困难、低热、盗汗,无头痛、头晕,无腹痛、腹胀等不适。现患者欲求进一步治疗,遂来我院就诊,以“纵隔占位”收入我科。 患者自起病以来,精神可,睡眠可,饮食可,大小便正常,体重无明显改变。
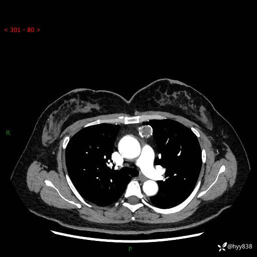
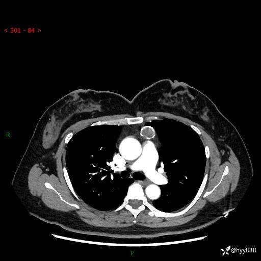
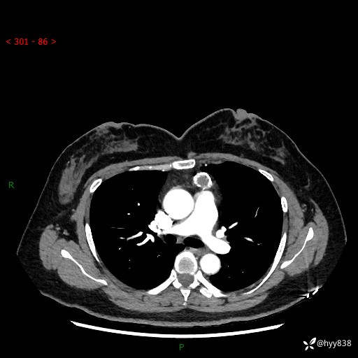
胸部CT平扫+增强




















华夏览雄 等 2 位达人已点赞病例信息
性别:女
年龄:43岁
主诉:检查发现纵隔占位3月余。
现病史:患者于3月前体检行胸部CT检查发现纵隔占位,患者平素无明显咳嗽咳痰,无心慌、胸闷、胸痛、呼吸困难、低热、盗汗,无头痛、头晕,无腹痛、腹胀等不适。现患者欲求进一步治疗,遂来我院就诊,以“纵隔占位”收入我科。 患者自起病以来,精神可,睡眠可,饮食可,大小便正常,体重无明显改变。
胸部CT平扫+增强




















