中年女性,圆溜溜、富血管强化结节,难易适中,等你来诊-结果公布(非常意外,讨论)
患者性别:女
患者年龄:40岁
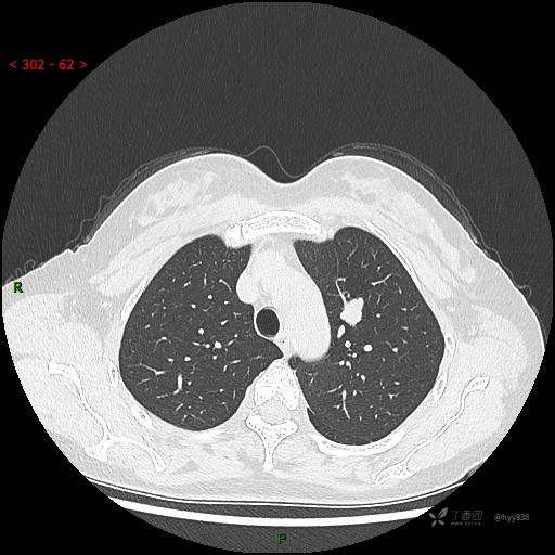
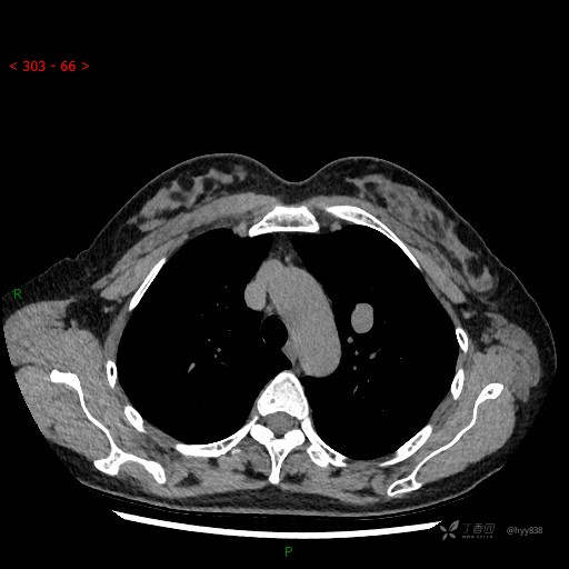
简要病史: 患者12天前因体检发现“左上肺12*16mm类圆形实性结节影”,无发热咳嗽咳痰,无咯血,无胸痛胸闷,无发热畏寒,无盗汗,无腹泻腹痛腹胀等不适,未诊治,现为求进一步治疗,遂来我院就诊,门诊以“孤立性肺结节”收入我科。 自起病以来,精神,饮食,睡眠尚可,大小便如常,体力体重无明显变化。
体格检查:(-)
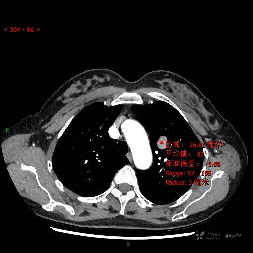
辅助检查:CT
临床诊断:肺结节
治疗经过:---
讨论:结节性质?
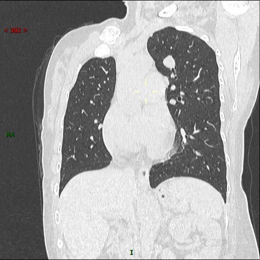
胸部CT平扫








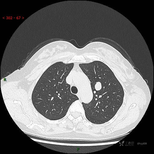
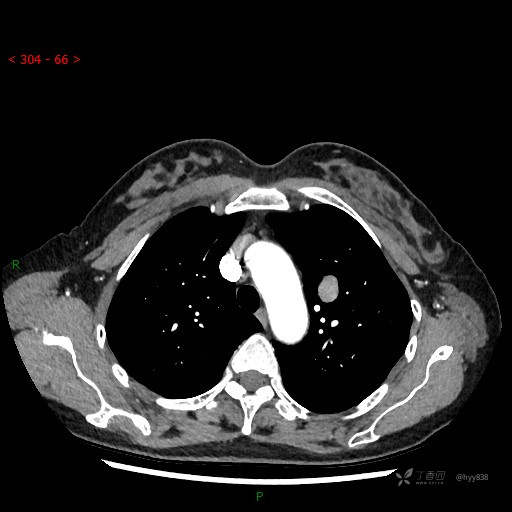
增强动脉期


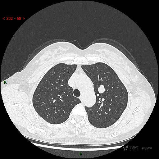
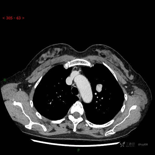
增强静脉期


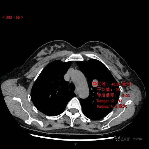
CT值


















































