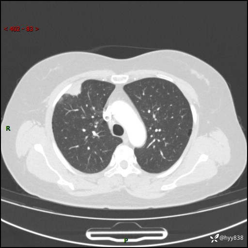
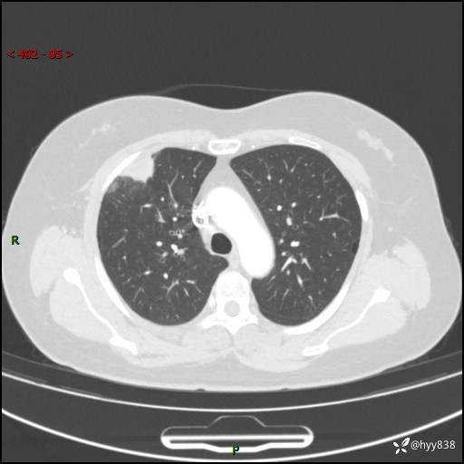
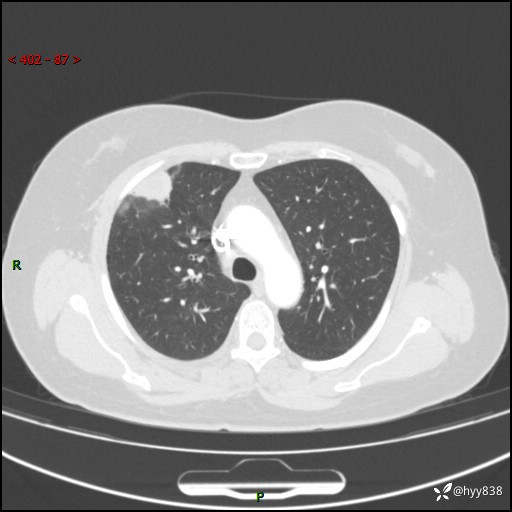
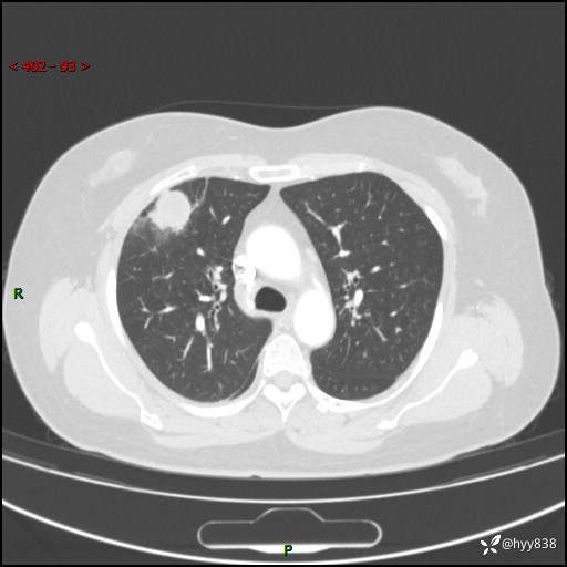
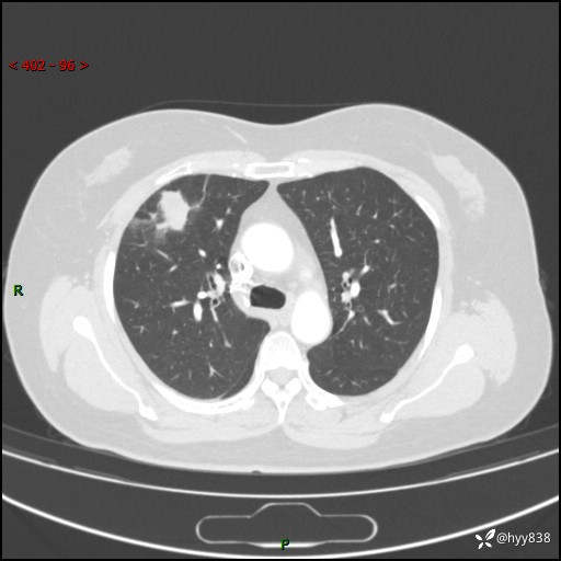
中年女性,间断胸痛2天。“又见”胸膜下团块,性质难定---结果公布~
胡志勇HZY 达人已点赞病例信息
性别:女
年龄:47岁
主诉:间断胸痛2天
现病史:患者于2天余前无明显出现间断胸痛,无头痛、头晕,无心慌、胸闷、胸痛、呼吸困难、低热、盗汗,无腹痛、腹胀等不适,未进行进一步诊治。于2024.04.14在当地市人民医院行胸部CT检查提示:右肺上叶胸膜下结节。现患者为求进一步诊治,来我院就诊。以“肺肿物”收入我科。 患者自起病以来,精神可,睡眠可,饮食可,大小便正常,体重无明显改变。
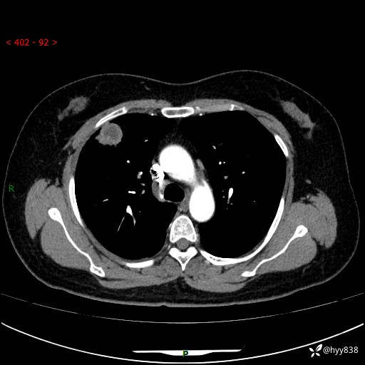
胸部CT增强(肺窗,外院平扫)
































































