dxy logo
首页丁香园病例库全部版块
搜索
登录

中年女性,间断腹痛月余。值得揣摩、讨论的好病例…结果公布~

影像核医学版版主 · 发布于 2024-01-06 · IP 湖北湖北
2379 浏览
推荐、达人点赞 2 项荣誉
这个帖子发布于 1 年零 323 天前,其中的信息可能已发生改变或有所发展。

患者性别:女

患者年龄:48岁

主诉:间断腹痛月余

体格检查:(-)

辅助检查:CT

临床诊断:腹痛

治疗经过:手术

讨论:病变性质?

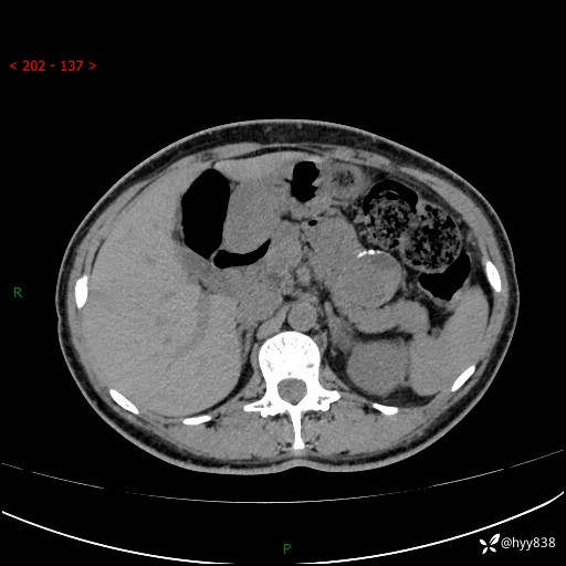
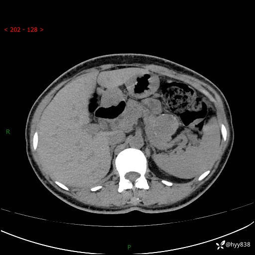
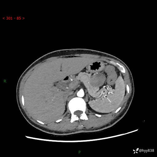
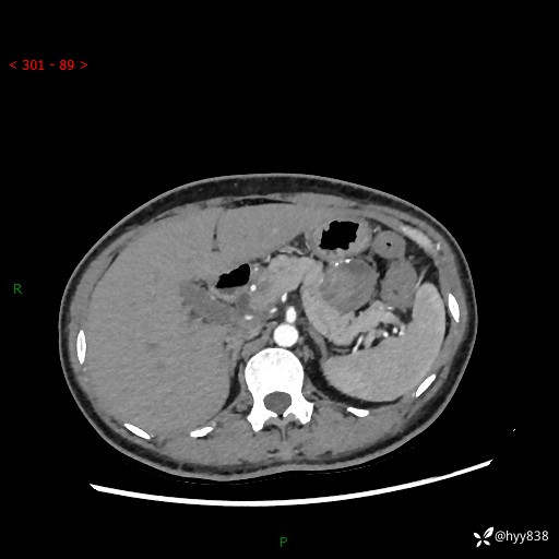
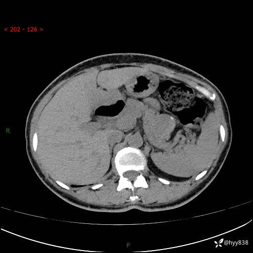
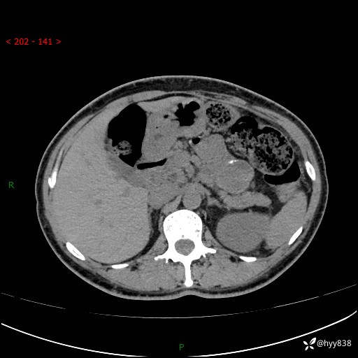
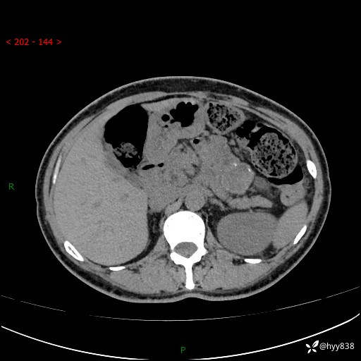
胰腺CT平扫

img
img
img
img
img
img
img
img

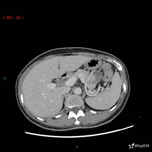
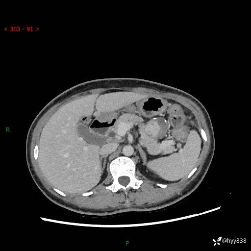
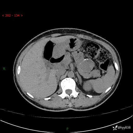
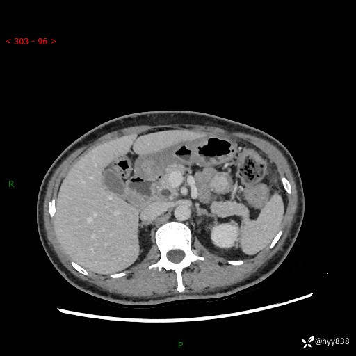
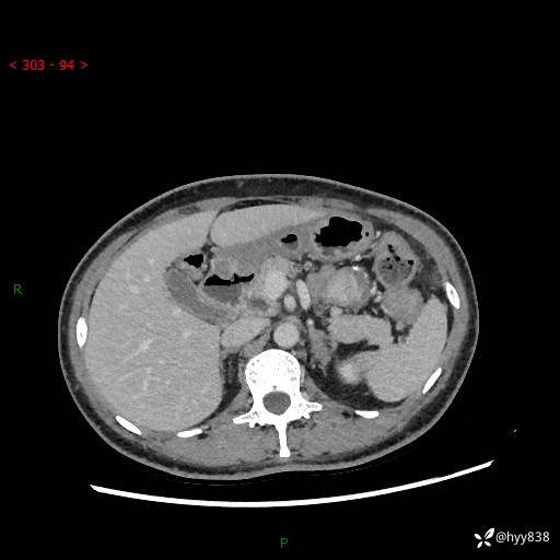
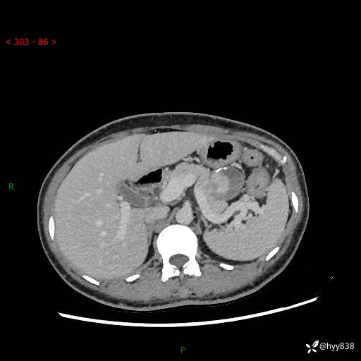
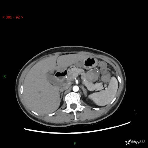
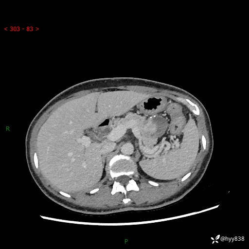
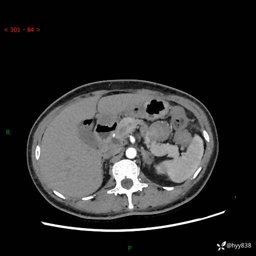
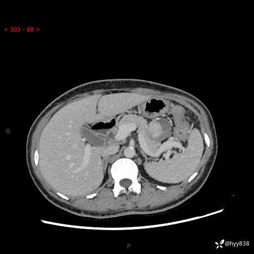
增强动脉期+静脉期

img
img
img
img
img
img
img
img
img
img
img
神经内分泌肿瘤 (50)
纠错
52 4 18
同行评议(0)
已评议
不开通精选
开通精选
精选已授权,待上线
评议结果暂未公布
参与评议
去邀请
NaN
病例完整NaN
临床实用NaN
诊疗科学NaN
学术价值NaN

全部讨论(0)

默认最新
avatar
52
分享帖子
share-weibo分享到微博
share-weibo分享到微信
认证
返回顶部