【神经】特别精彩病例|皮肤黄染伴腹痛20余天
病例信息
【患者信息】:男,10岁
【主诉】:皮肤黄染伴腹痛20余天
【现病史及既往史】:20余天前患儿无明显诱因出现皮肤黄染,伴阵发性腹痛,后患儿皮肤黄染加重,伴巩膜黄染,外院腹部CT示:慢性肝病可能性大,脾脏略增大
既往史:1月余前因发热于当地医院注射药物退热治疗,具体不详
【检查】:
铜蓝蛋白测定:0.08g/L,尿铜:3530.5ug/24h,总胆红素:70.28umol/L,直接胆红素:56.67umol/L,血红蛋白:64g,谷丙转氨酶:78.62U/L
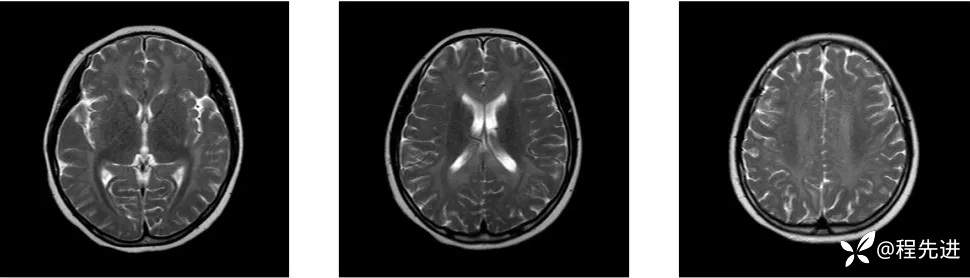
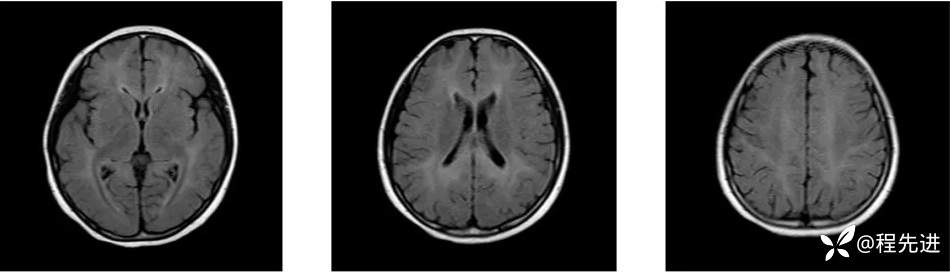
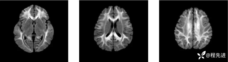
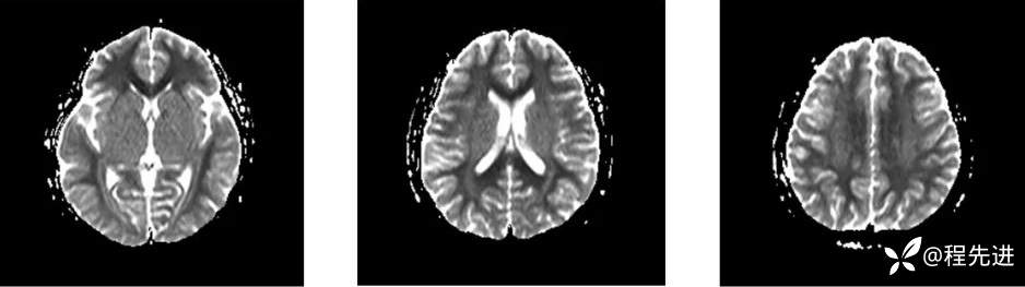
MRI:



















































