12月特别精彩病例|腹痛、发热一天,结果已公布,回复才能查看答案
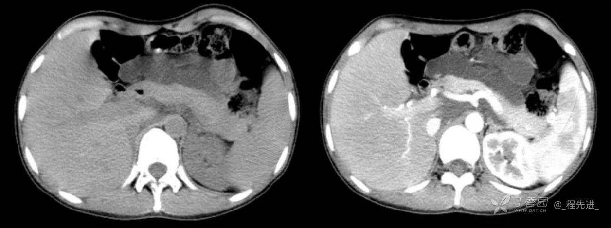
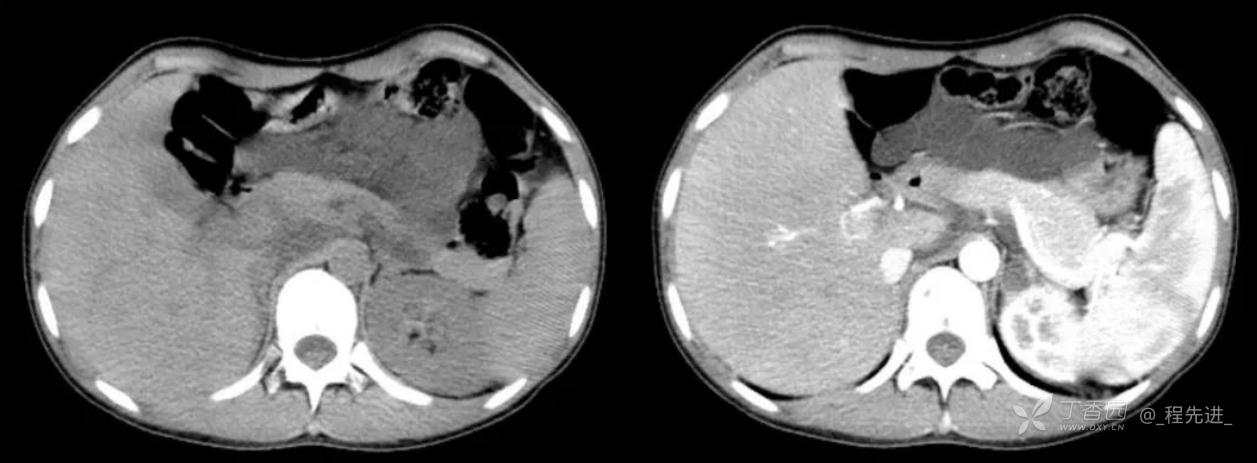
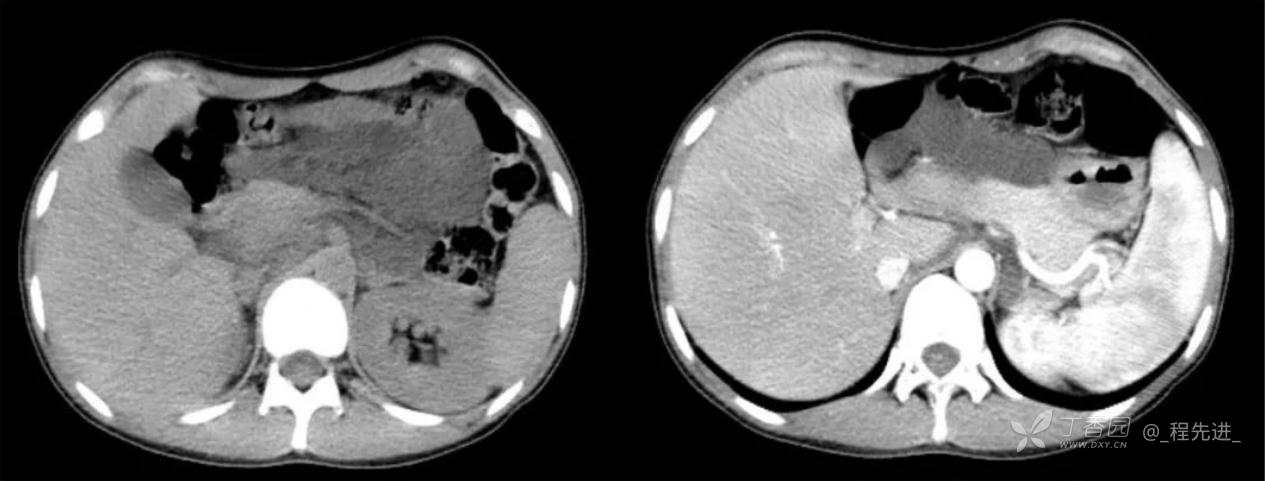
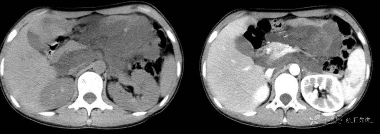
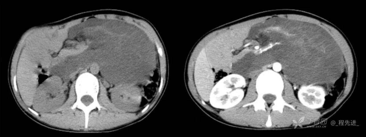
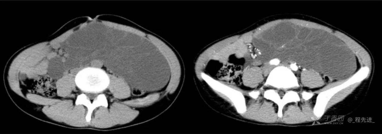
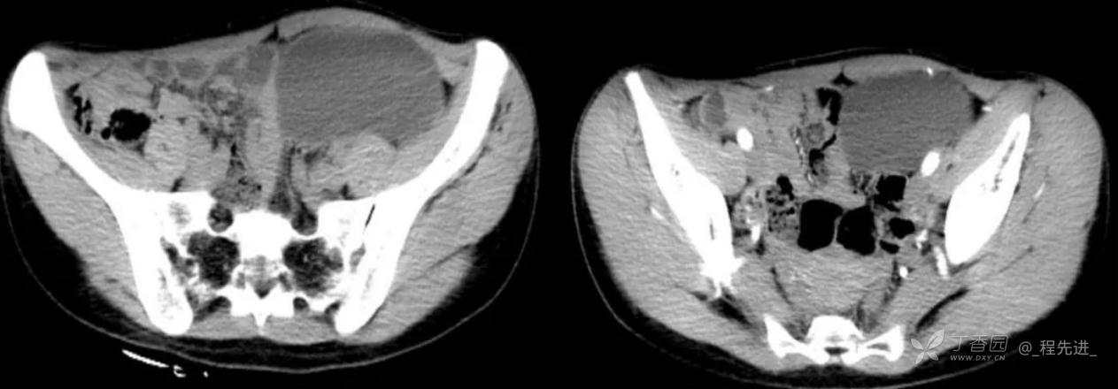
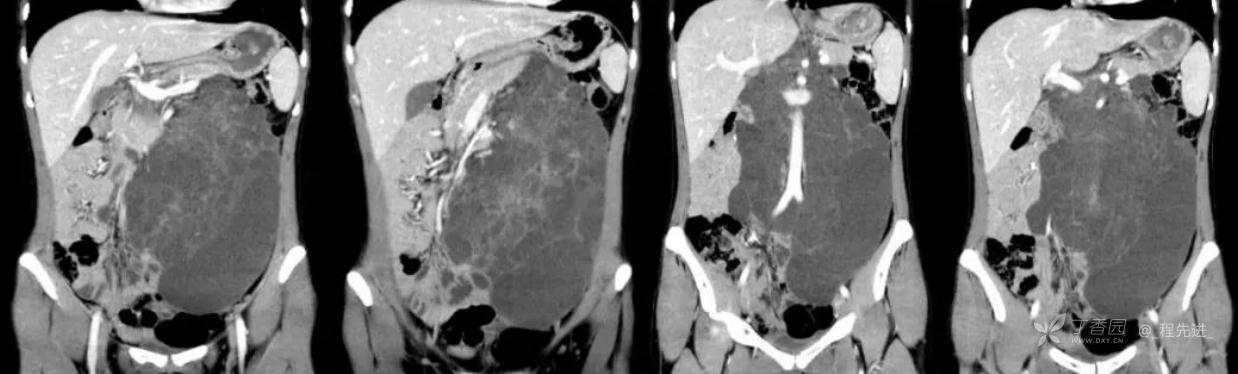
患者性别:女
患者年龄:24岁
主诉:腹痛、发热一天
现病史:一天前无明显诱因出现腹痛并发热不适,伴恶心、干呕,诊所肌注药物(具体用药不详),无缓解,无明显尿频、尿痛。
体格检查:腹肌稍紧张,右上腹部轻压痛,右肾区叩痛
辅助检查:(-)










患者性别:女
患者年龄:24岁
主诉:腹痛、发热一天
现病史:一天前无明显诱因出现腹痛并发热不适,伴恶心、干呕,诊所肌注药物(具体用药不详),无缓解,无明显尿频、尿痛。
体格检查:腹肌稍紧张,右上腹部轻压痛,右肾区叩痛
辅助检查:(-)










