中年女性,全身多处“疙瘩”,长了切,切了又长,分型是关键,已公布结果。
患者性别:女
患者年龄:44岁
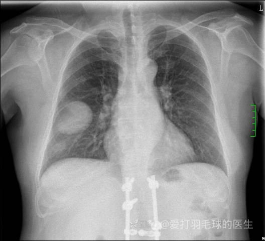
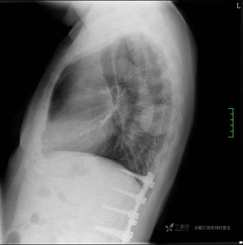
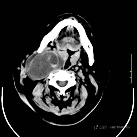
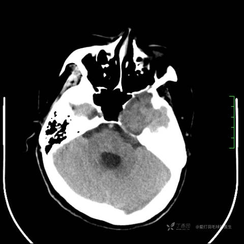
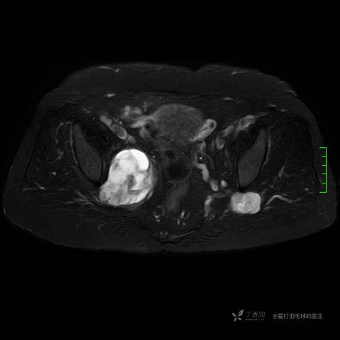
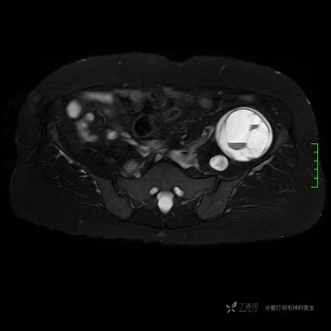
主诉:患者因反复右侧腰痛伴右下肢麻木2年余入院。
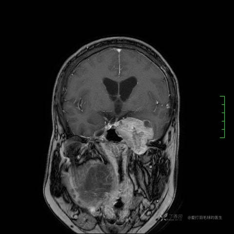
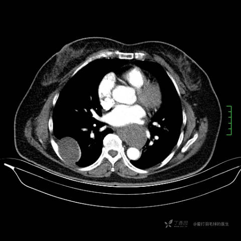
简要病史:自诉右甲状腺功能亢进症多年,规律服药,平素多有心悸、胸闷、活动后明显。既往腰椎椎管内肿瘤切除术。
体格检查:
辅助检查:
临床诊断:
治疗经过:














患者性别:女
患者年龄:44岁
主诉:患者因反复右侧腰痛伴右下肢麻木2年余入院。
简要病史:自诉右甲状腺功能亢进症多年,规律服药,平素多有心悸、胸闷、活动后明显。既往腰椎椎管内肿瘤切除术。
体格检查:
辅助检查:
临床诊断:
治疗经过:














