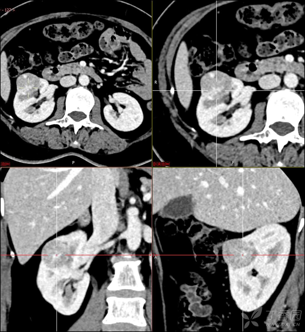
【影诊笔记516】中年女性,检查发现肾占位2周就诊~『嗜酸细胞腺瘤』
患者性别:女
患者年龄:47岁
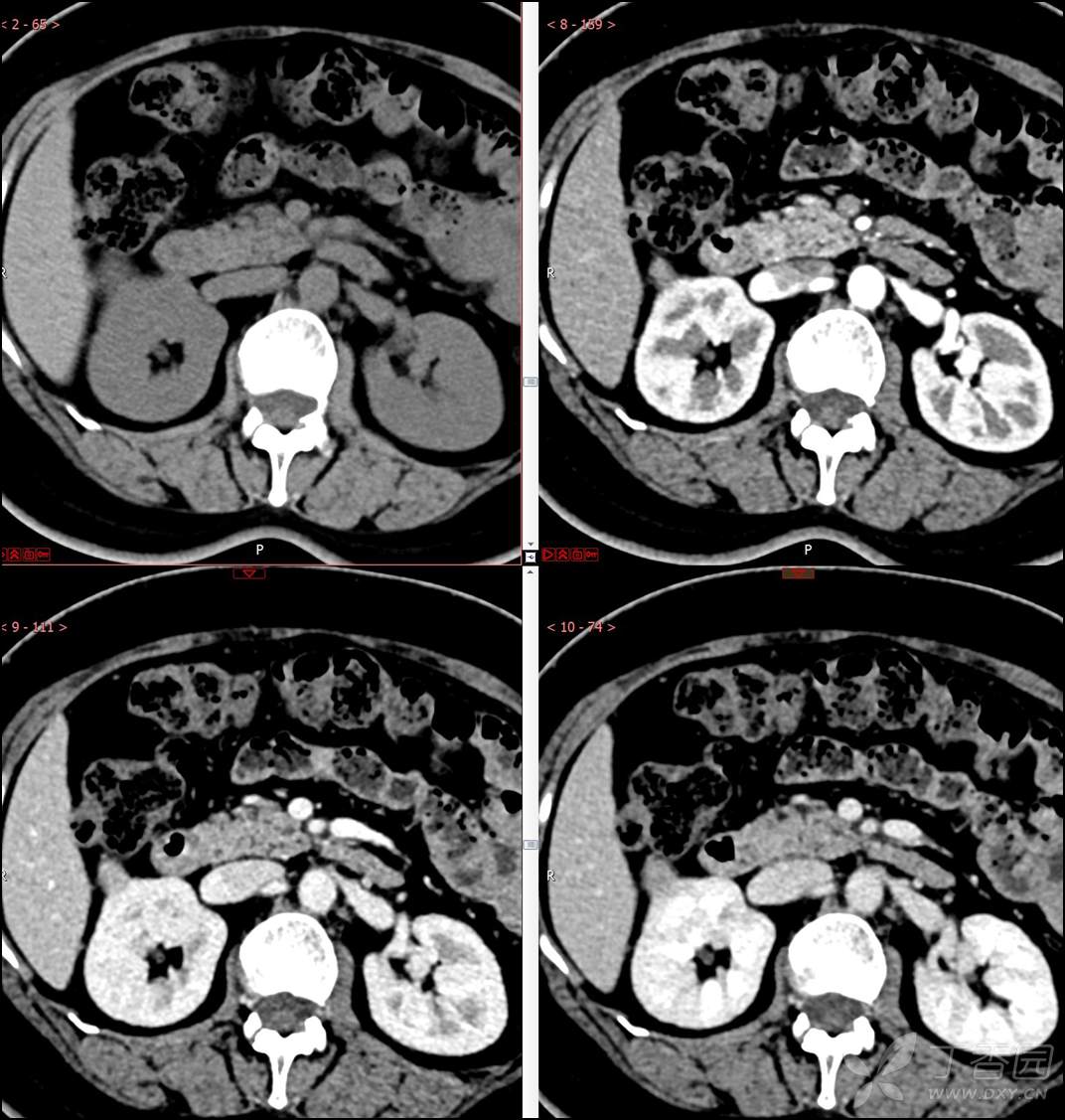
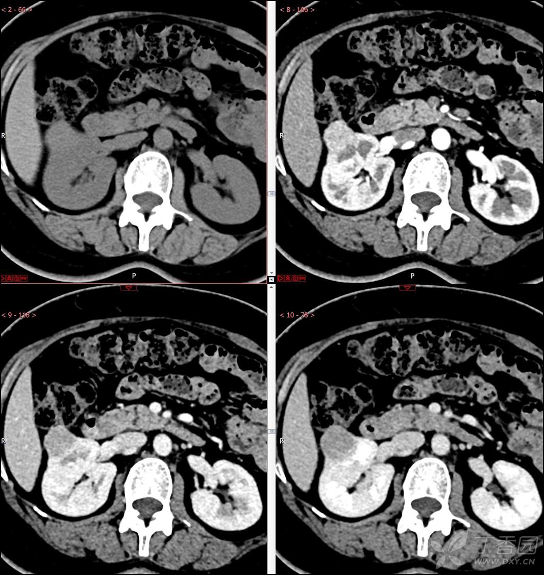
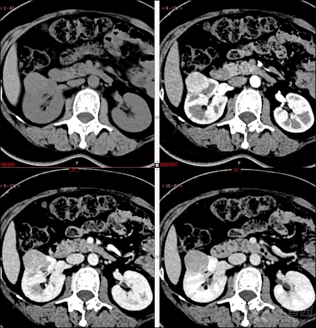
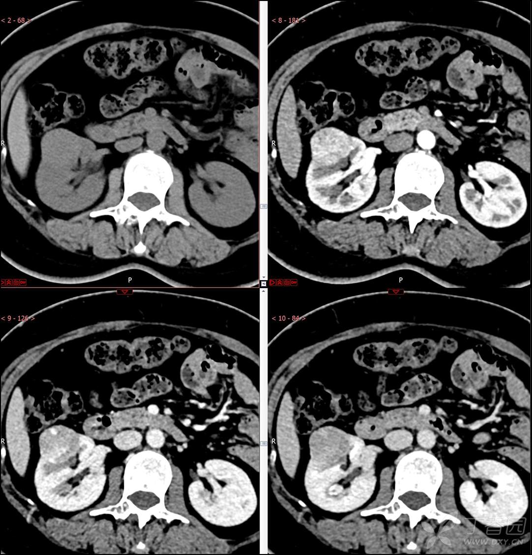
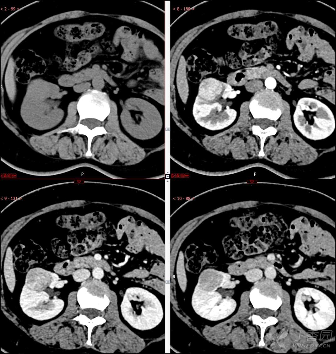
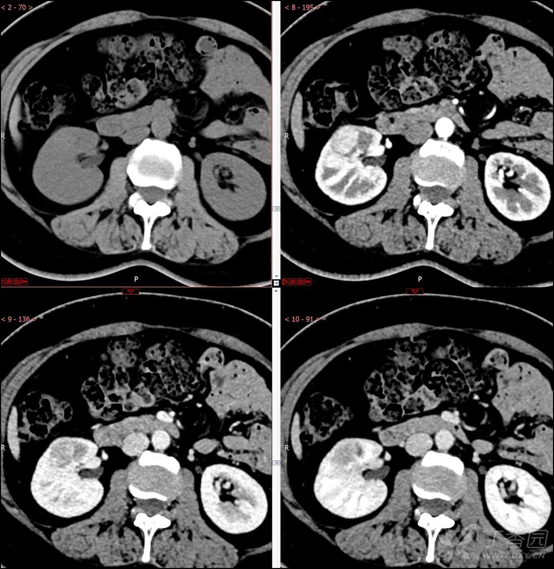
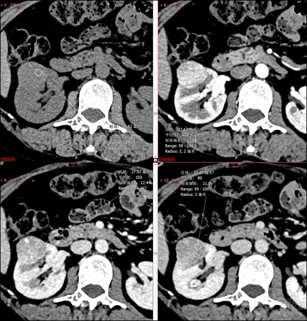
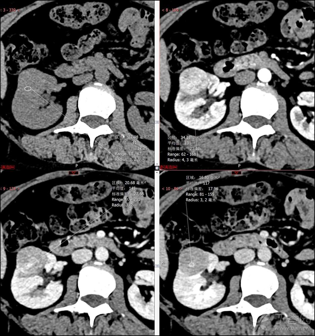
主诉:检查发现肾占位2周
简要病史:患者2周前体检发现肾实质性占位,无腰痛,无血尿,无尿频、尿急、尿痛,无发热,在外未行特殊治疗。患者为行进一步治疗就诊于我院,门诊以“肾占位性病变 ”收入我科,患者自发病以来,神志清,精神可,小便如上所述,大便正常,体重无显著变化。










患者性别:女
患者年龄:47岁
主诉:检查发现肾占位2周
简要病史:患者2周前体检发现肾实质性占位,无腰痛,无血尿,无尿频、尿急、尿痛,无发热,在外未行特殊治疗。患者为行进一步治疗就诊于我院,门诊以“肾占位性病变 ”收入我科,患者自发病以来,神志清,精神可,小便如上所述,大便正常,体重无显著变化。










