是病灶太恶、还是患者能忍,腹腔超巨肿物,请会诊---结果公布~
过去的时光难忘怀 达人已点赞患者性别:男
患者年龄:57岁
主诉: 左上腹间断疼痛不适近1周
简要病史: 患者1周前出现左上腹间断疼痛,为钝痛,伴左肩部放射痛,无头晕、头痛,无恶心、呕吐、呕血,无便血等不适。为求进一步诊治,门诊以“腹部肿物”收入我科。
体格检查:(-)
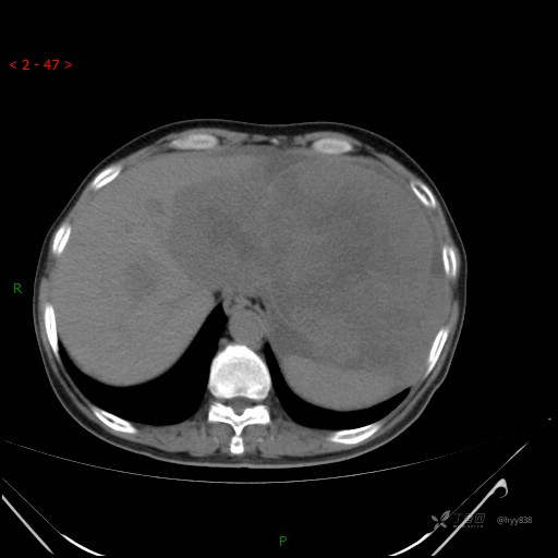
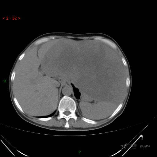
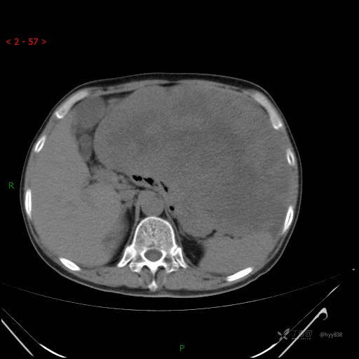
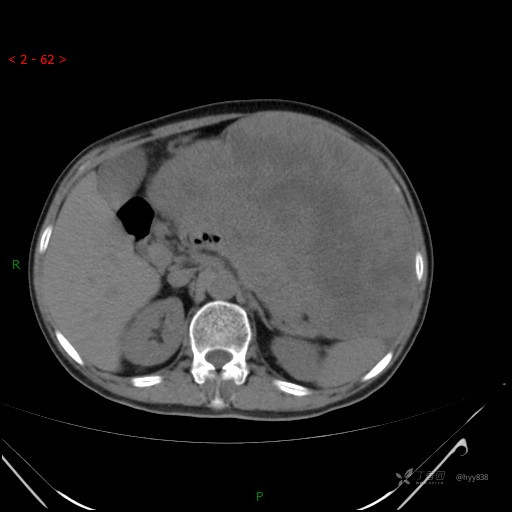
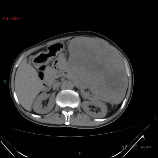
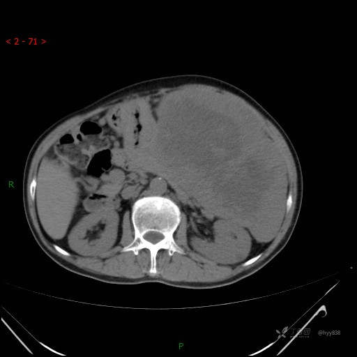
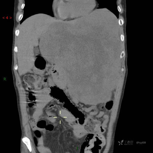
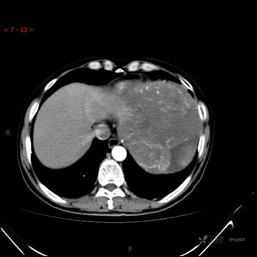
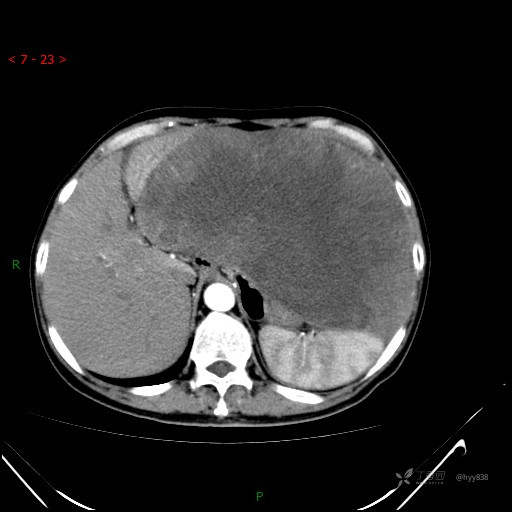
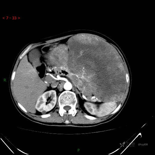
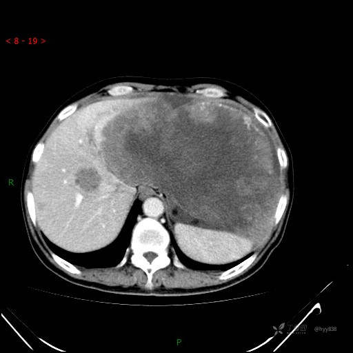
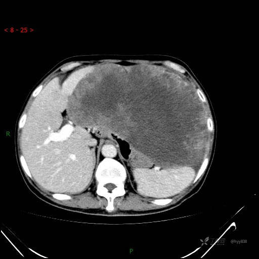
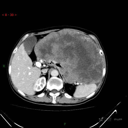
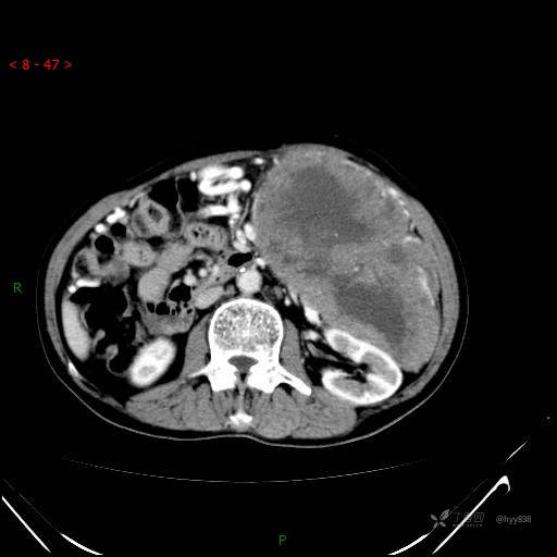
辅助检查:CT
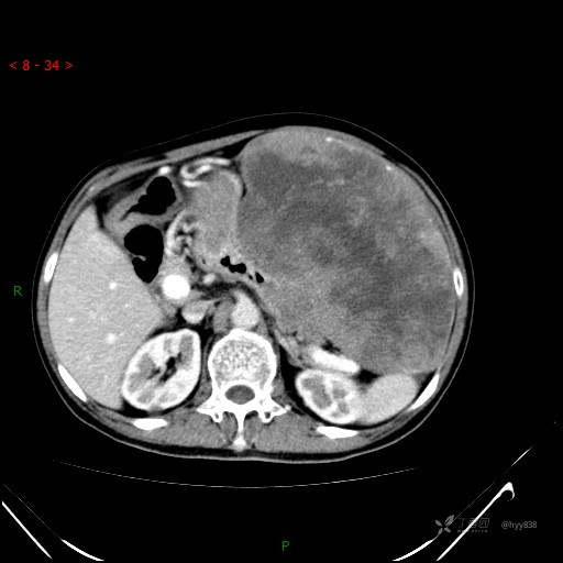
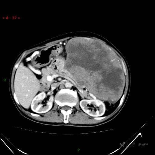
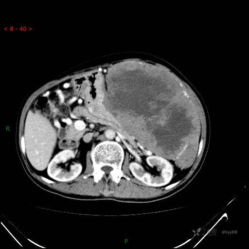
临床诊断:肿物
治疗经过:---
讨论:病变来源?病变性质?
腹部CT平扫








增强动脉期







增强静脉期







过去的时光难忘怀 达人已点赞患者性别:男
患者年龄:57岁
主诉: 左上腹间断疼痛不适近1周
简要病史: 患者1周前出现左上腹间断疼痛,为钝痛,伴左肩部放射痛,无头晕、头痛,无恶心、呕吐、呕血,无便血等不适。为求进一步诊治,门诊以“腹部肿物”收入我科。
体格检查:(-)
辅助检查:CT
临床诊断:肿物
治疗经过:---
讨论:病变来源?病变性质?
腹部CT平扫








增强动脉期







增强静脉期







