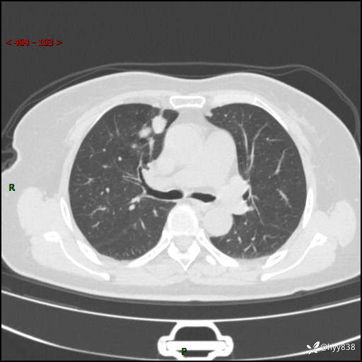
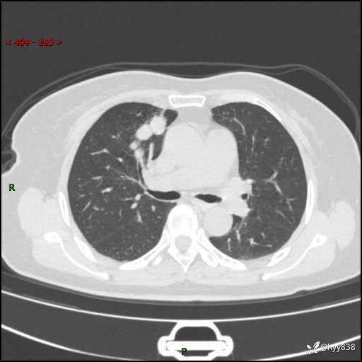
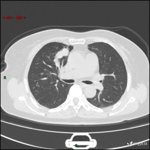
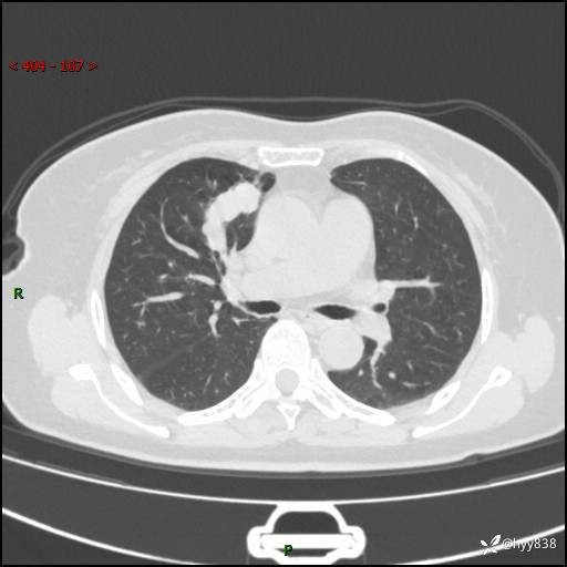
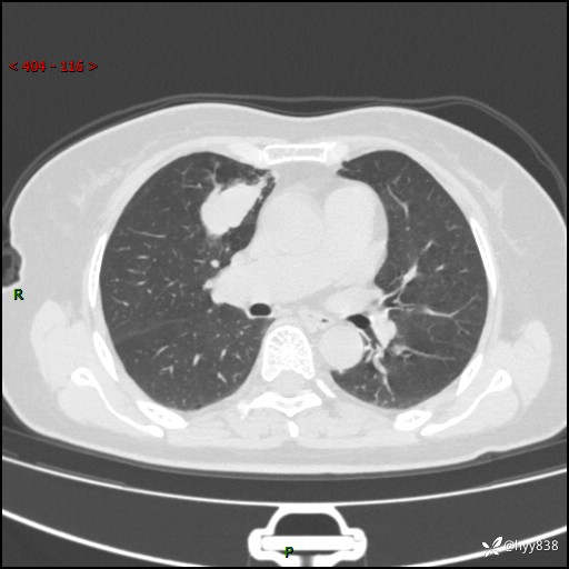
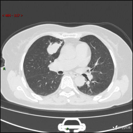
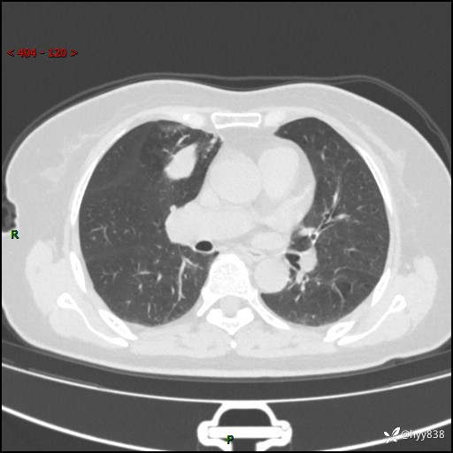
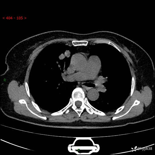
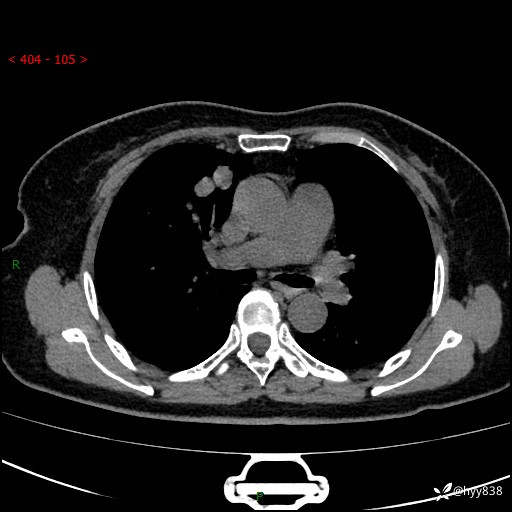
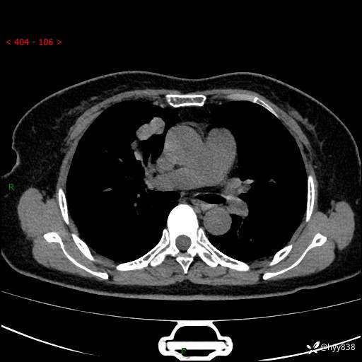
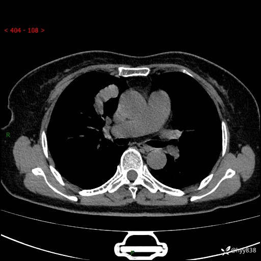
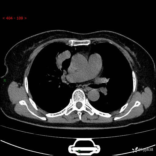
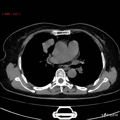
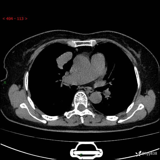
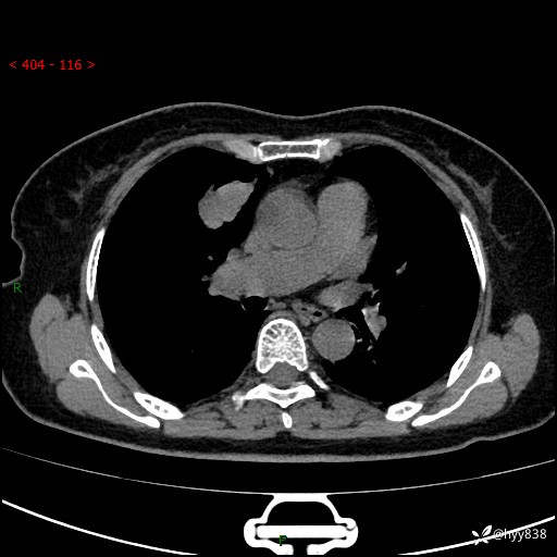
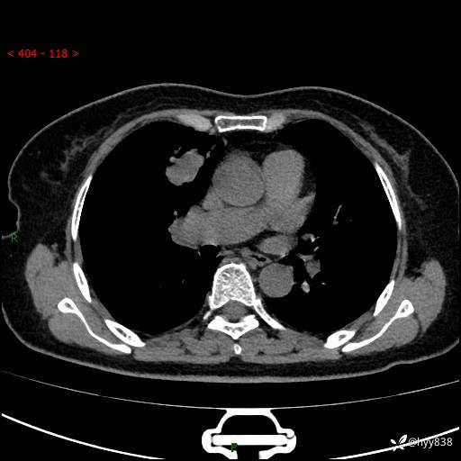
70岁/女,发现右上肺肿物10天。患者过敏体质,只有平扫,错过了一定可惜---结果公布~
胡志勇HZY 达人已点赞病例信息
【患者信息】:70岁/女
【主诉】:发现右上肺肿物10天
【现病史及既往史】:者10天前因“背部酸痛”于当地治疗,无发热,无呕吐,无头痛头晕等不适,胸部CT示右上肺肿物。遂来我科就诊,门诊看过病人后以“”收入我科, 自患病以来,精神、饮食、睡眠尚可,大小便正常,体力体重无明显减轻。
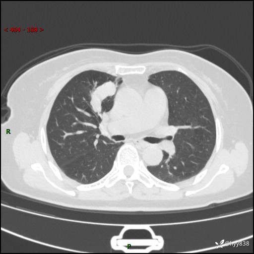
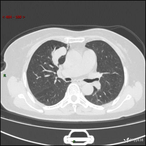
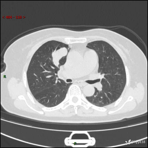
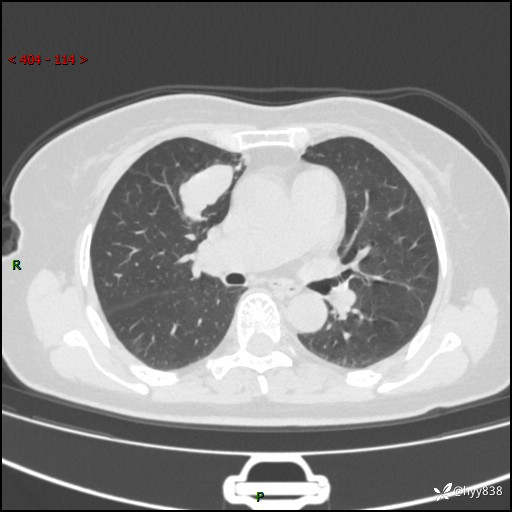
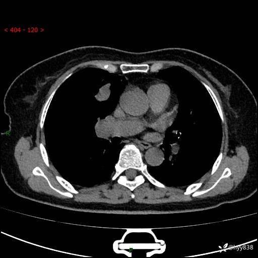
【检查】:胸部CT平扫(患者过敏体质,不能增强)
























【临床诊断】:
【治疗经过及结果】:
胡志勇HZY 达人已点赞病例信息
【患者信息】:70岁/女
【主诉】:发现右上肺肿物10天
【现病史及既往史】:者10天前因“背部酸痛”于当地治疗,无发热,无呕吐,无头痛头晕等不适,胸部CT示右上肺肿物。遂来我科就诊,门诊看过病人后以“”收入我科, 自患病以来,精神、饮食、睡眠尚可,大小便正常,体力体重无明显减轻。
【检查】:胸部CT平扫(患者过敏体质,不能增强)
























【临床诊断】:
【治疗经过及结果】:
